Tumoren, die sich im Knochen bilden, heißen primäre Knochentumoren. Primäre Knochentumoren können gutartig (benigne) oder bösartig (maligne) sein.
Nach der Krebsdiagnose wird das Stadium bestimmt. Hierbei wird anhand der Aggressivität (Wahrscheinlichkeit einer Streuung des Krebses aufgrund des Erscheinungsbildes der Tumorzellen unter dem Mikroskop), der Größe, des eventuellen Übergreifens auf benachbartes Gewebe oder weiter entfernte Lymphknoten oder andere Organe und anderer Kriterien festgestellt, wie weit die Erkrankung fortgeschritten ist.
(Siehe auch Übersicht über Knochentumoren und Krebs: Ein Überblick.)
Adamantinome
Adamantinome sind seltene Tumoren, die am häufigsten im Schienbein (Tibia) entstehen. Tumoren treten in der Regel bei jungen und Personen mittleren Alters auf, können aber in jedem Lebensalter auftreten. Sie verursachen oft Schmerzen, und der Tumor kann unter der Haut mit den Fingern abgetastet werden.
Diese Tumoren wachsen langsam und sind gut differenziert, d. h., sie bilden seltener Metastasen als einige andere Tumoren. In seltenen Fällen treten Metastasen aber dennoch auf (hauptsächlich in der Lunge).
Zur Diagnose eines Adamantinoms macht der Arzt Röntgenaufnahmen und entnimmt eine Gewebeprobe, die unter dem Mikroskop untersucht wird (Biopsie).
Zur Behandlung wird das Adamantinom chirurgisch entfernt, indem der Tumor sauber herausgeschnitten wird, sodass keine Tumorzellen zurückbleiben. Wenn dabei Zellen verloren gehen, tritt der Krebs möglicherweise erneut auf. In seltenen Fällen kann je nach Lage des Tumors oder abhängig davon, ob der Tumor erneut aufgetreten ist, eine operative Entfernung des betroffenen Beins (Amputation) notwendig sein.
Chondrosarkome
Chondrosarkome bestehen aus krebsartigen Knorpelzellen. Von diesen Tumoren sind vor allem ältere Erwachsene betroffen. Diese Tumoren treten häufig in Plattenknochen wie dem Becken oder Schulterblatt (Scapula) auf, können sich jedoch in allen Teilen von jedem Knochen und auch in den umgebenden Geweben der Knochen entwickeln. Viele Chondrosarkome wachsen langsam, sind nicht aggressiv und streuen (metastasieren) seltener als einige andere Tumoren. Einige wachsen jedoch schnell, sind aggressiv und metastasierend.
Zur Diagnose eines Chondrosarkoms macht der Arzt Röntgenaufnahmen, einen Knochenscan und eine Magnetresonanztomographie (MRT). Zudem wird eine Gewebeprobe zur Untersuchung unter dem Mikroskop entnommen (Biopsie).
Nicht aggressive Chondrosarkome werden häufig mit einem löffelförmigen Instrument aus dem Knochen geschabt (Kürettage). Danach werden die im Knochen eingebetteten Tumorzellen mit Flüssigstickstoff, Phenol, Knochenzement (Methylmethacrylat) oder einer Argonbestrahlung abgetötet. Fast alle nicht aggressiven Chondrosarkome werden mit diesen operativen Behandlungsverfahren geheilt.
Schlecht differenzierte oder schnell wachsende Chondrosarkome sind aggressiv und metastasieren eher als andere Tumoren. Sie müssen vollständig chirurgisch entfernt werden, ohne dabei in den Tumor zu schneiden, da sich hierdurch die Tumorzellen verteilen könnten. Wenn dabei Zellen verloren gehen, tritt der Krebs möglicherweise erneut auf.
Chondrosarkome aller Schweregrade sprechen auf Chemotherapie oder Bestrahlung nicht an. In sehr seltenen Fällen muss der betroffene Arm oder das Bein abgenommen werden (Amputation).
Chordome
Chordome sind seltene bösartige Tumoren, die vorwiegend die Enden der Wirbelsäule befallen, hauptsächlich in der Mitte des Kreuzbeins (Sakrum) oder Steißbeins oder an der Schädelbasis. Ein Chordom an Kreuzbein oder Steißbein verursacht erhebliche Schmerzen. Ein Chordom an der Schädelbasis kann zu Problemen an den Nerven an der Schädelbasis (den Hirnnerven) führen. Am häufigsten ist der Sehnerv betroffen. Vor einer Diagnose können bereits über Monate oder Jahre Symptome auftreten. Chordome verbreiten sich (metastasieren) in der Regel nur dann auf andere Bereiche wie die Lunge, wenn sie besonders aggressiv sind, können aber nach einer Behandlung wiederkehren.
Zur Diagnose eines Chordoms wird eine Magnetresonanztomographie (MRT) durchgeführt. Zudem nimmt der Arzt eine Biopsie vor.
Chordome an Kreuzbein oder Steißbein lassen sich durch operative Entfernung heilen. Chordome an der Schädelbasis sind normalerweise nicht operativ behandelbar; mit Bestrahlung lassen sie sich jedoch zeitweise verkleinern und die Schmerzen reduzieren.
Ewing-Sarkom im Knochen
Das Ewing-Sarkom tritt bei Männern häufiger auf als bei Frauen und ist vor allem bei Menschen im Alter von 10 bis 20 Jahren zu finden. Meistens entwickelt sich der Tumor in Armen oder Beinen, kann aber auch in jedem anderen Knochen vorkommen. Die häufigsten Symptome sind Schmerzen und Schwellungen. Die Tumoren können sehr groß werden und sich über die gesamte Länge eines Knochens erstrecken. Dabei kann er einen großen Teil des Weichgewebes befallen.
Zur Diagnose des Ewing-Sarkoms werden Röntgenuntersuchungen durchgeführt. Im Röntgenbild können zwar einige Details sichtbar sein, die exakte Tumorgröße ist jedoch mit der Magnetresonanztomographie (MRT) erkennbar. Zur Bestätigung der Diagnose wird eine Biopsie durchgeführt.
Bild mit freundlicher Genehmigung von Dr. med. Michael J. Joyce und Dr. med. Hakan Ilaslan.
Die Behandlung des Ewing-Sarkoms umfasst unterschiedliche Kombinationen aus operativem Eingriff, Chemotherapie und Bestrahlung, je nachdem, ob eine Operation möglich bzw. erfolgreich ist. Mehr als 60 Prozent aller Patienten mit Ewing-Sarkom können durch eine Kombination dieser Verfahren geheilt werden.
Knochenlymphom
Das Knochenlymphom ist ein bösartiger Tumor, der gewöhnlich Erwachsene betrifft. Es kann in jedem Knochen des Körpers entstehen und dann diffus in das Knochenmark streuen. Dieser Tumor verursacht für gewöhnlich Schmerzen und Schwellungen sowie eine Ansammlung von Weichgewebe. Der beschädigte Knochen kann leicht brechen (Fraktur).
Zur Diagnose eines Knochenlymphoms werden Röntgenaufnahmen und eine Magnetresonanztomographie (MRT) gemacht, um genauer zu bestimmen, wie viel des Weichteilgewebes und der Knochen beteiligt sind.
Die Behandlung des Knochenlymphoms besteht aus einer Kombination von Chemotherapie mit oder ohne Bestrahlung, was genauso wirksam zu sein scheint wie eine chirurgische Entfernung des Tumors. Eine Amputation ist selten erforderlich. Der Arzt kann einen brüchigen Knochen operativ stabilisieren, um einen Bruch zu verhindern.
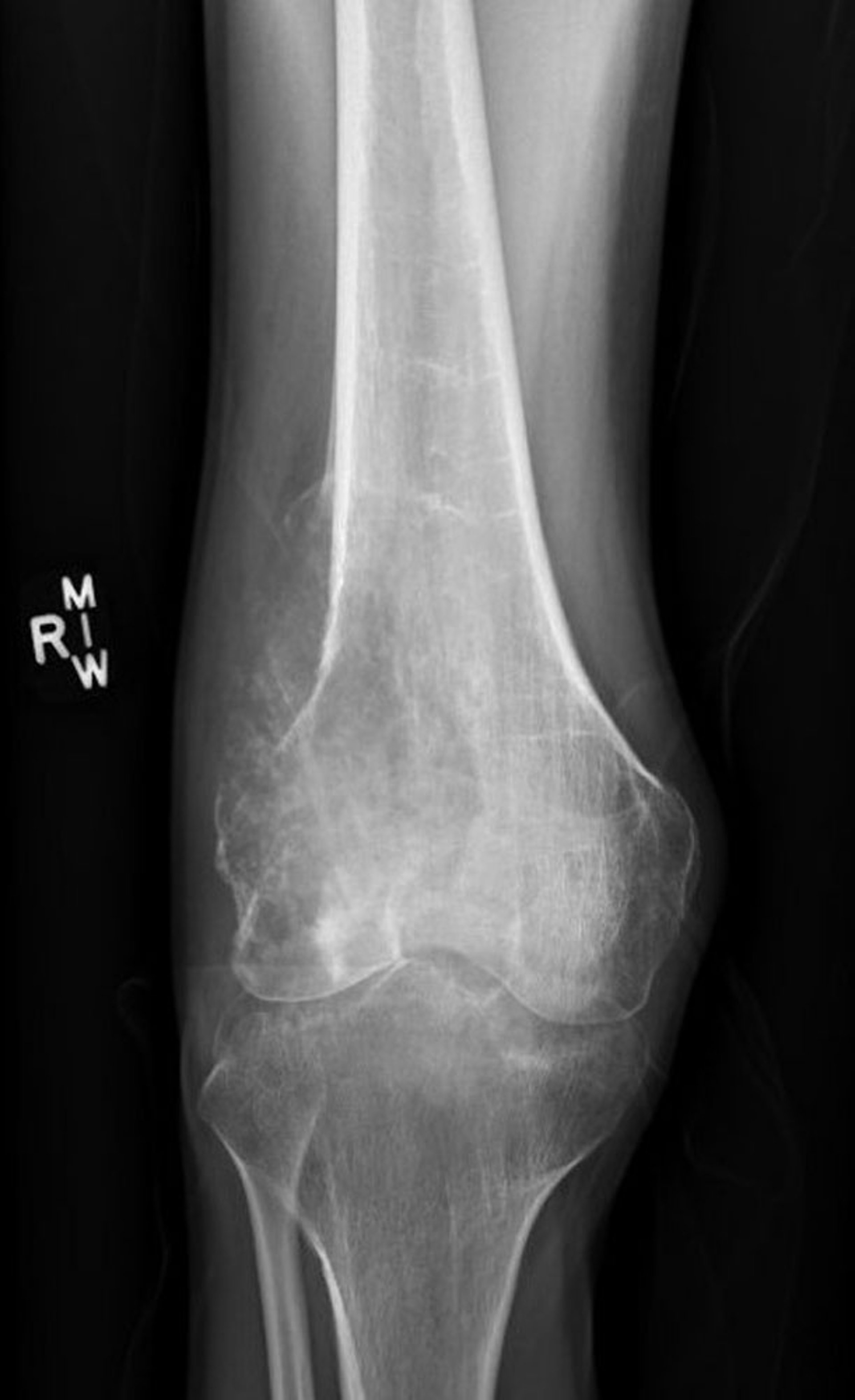
Osteosarkome (osteogenes Sarkom)
Das Osteosarkom ist die häufigste Form von primären bösartigen Knochentumoren, wenn man das multiple Myelom als hämatologischen Tumor betrachtet. Osteosarkome können in jedem Alter auftreten. Kinder, die das Gen für das hereditäre Retinoblastom und das Li-Fraumeni-Syndrom tragen, haben ein höheres Risiko, ein Osteosarkom zu entwickeln. Diese Tumorart kann bei Erwachsenen über 60 Jahren, insbesondere solchen mit Paget-Krankheit der Knochen, bei Patienten, die sich wegen einer anderen Krebserkrankung einer Knochenbestrahlung unterzogen haben, oder bei Personen mit abgestorbenem Knochengewebe (Knocheninfarkte) oder anderen Erkrankungen vorkommen.
Osteosarkome wachsen meist im Knie oder um das Knie herum, können jedoch auch in anderen Knochen entstehen. Sie streuen (metastasieren) häufig in die Lunge oder andere Knochen. Diese Tumoren verursachen für gewöhnlich Schmerzen, Schwellungen oder eine Ansammlung von Weichgewebe und reduzieren die Beweglichkeit von Gelenken.
Zusätzlich zu Röntgenaufnahmen ist die mikroskopische Untersuchung von Gewebeproben (Biopsie) für eine genaue Diagnose des Osteosarkoms erforderlich. Mithilfe einer Röntgenaufnahme des Brustkorbs und einer Computertomographie (CT) wird nach Metastasen in der Lunge gesucht, während Szintigramme verstreute Krebszellen in anderen Knochen aufzeigen. Magnetresonanztomographie (MRT) und Positronen-Emissions-Tomographie (PET) in Kombination mit Computertomographie (PET-CT) sind weitere bildgebende Verfahren, die ebenfalls vorgenommen werden.
Bild mit freundlicher Genehmigung von Dr. med. Lukas Nystrom.
Wenn eine Chemotherapie vorgenommen wird und keine Metastasen vorliegen, überleben mehr als 65 % aller Patienten mit dieser Tumorart die Diagnose um 5 Jahre. Wenn der Krebs fast vollständig durch Chemotherapie zerstört werden kann, besteht eine Chance von mehr als 90 %, mindestens die ersten 5 Jahre zu überleben. Durch die Verbesserung der operativen Maßnahmen kann die betroffene Gliedmaße häufig gerettet und wiederaufgebaut werden. Früher musste der Arm oder das Bein häufig amputiert werden.
Meist werden Osteosarkome mit einer Kombination aus Chemotherapie und operativem Eingriff behandelt. Normalerweise wird mit der Chemotherapie begonnen. Während dieser Behandlungsphase lassen die Schmerzen zumeist nach. Danach wird der Tumor operativ entfernt, ohne dabei in den Tumor zu schneiden. Wenn der Tumor beschädigt wird, setzt er Zellen frei, die ein erneutes Krebswachstum an derselben Stelle auslösen. Die Chemotherapie wird nach der Operation fortgesetzt.
