Masern sind eine hoch ansteckende Virusinfektion und verursachen zahlreiche Erkältungssymptome, darunter einen charakteristischen Hautausschlag. Sie können schwere Komplikationen verursachen und bei manchen Menschen tödlich verlaufen. Eine Impfung ist zur Vorbeugung wirksam.
Masern werden durch ein Virus ausgelöst.
Zu den Symptomen zählen Fieber, eine laufende Nase, trockener Husten, rote Augen und ein roter Ausschlag.
Die Diagnose stützt sich in der Regel auf die typischen Symptome, den charakteristischen Ausschlag oder weiße Punkte im Rachenbereich.
Laboruntersuchungen werden durchgeführt, um die Diagnose von Masern bei Personen mit hartnäckigen Symptomen und bei jenen mit Risikofaktoren für den Kontakt mit Masern zu bestätigen.
Es gibt keine antiviralen Medikamente gegen Masern - daher zielt die Behandlung auf die Linderung der Symptome ab.
Kinder mit Masern können mit Vitamin A behandelt werden.
Obwohl die meisten Betroffenen sich erholen, können Masern tödlich verlaufen oder zu Hirnschädigungen führen.
Eine Routineimpfung verhindert eine Infektion.
Maserninfektionen sind in Gegenden, in denen die meisten Menschen den Masernimpfstoff erhalten haben, selten. Bevor die Masernimpfung verfügbar wurde, gab es alle 2 bis 3 Jahre Masern-Epidemien, insbesondere unter Kindern im Kindergarten- und Schulalter. In den anderen Jahren kam es zu kleineren, lokalen Ausbrüchen.
In einigen Ländern kommen die Masern noch häufig vor. Jedes Jahr infizieren sich weltweit etwa 10 Millionen Menschen mit Masern und verursachen etwa 100.000 Todesfälle, zumeist unter Kindern.
Durch die routinemäßigen Kinderimpfung sind die Masern in den USA jedoch selten geworden. Von 2000 bis 2010 wurden den Centers for Disease Control (CDC) in den USA durchschnittlich lediglich 71 Fälle im Jahr gemeldet.
Im Jahr 2019 wurden den CDC 1.274 Fälle mit Masern gemeldet. Dies war die höchste Fallzahl seit dem Jahr 1992. Dieser Anstieg im Jahr 2019 wurde hauptsächlich durch ungeimpfte Personen verursacht, die sich in Ländern infiziert hatten, in denen Masern häufiger vorkommen, und die dann in die USA einreisten. Im Jahr 2020 wurden in den USA mitten in der COVID-19-Pandemie nur 13 Fälle gemeldet. Zwischen 2020 und 2023 wurden in den USA insgesamt 242 Fälle gemeldet, und 2024 285 Fälle.
Sowohl die Gesamtzahl der Fälle als auch die Anzahl der Ausbrüche ist im Jahr 2025 stark gestiegen. Von Januar bis zum 22. Mai 2025 wurden in den USA 1.046 Fälle und 3 Todesfälle gemeldet. Es gab 14 Ausbrüche. 92 Prozent der Fälle wurden mit einem Ausbruch in Verbindung gebracht. Zum Vergleich: Im Jahr 2024 wurden 16 Ausbrüche für das gesamte Jahr gemeldet.
Die Zahl der Ausbrüche und Masernfälle insgesamt steigt, weil die Impfrate sinkt. Impfskepsis ist zu einer häufigeren Ursache für das Sinken der Impfraten geworden. Diese Impfskepsis äußert sich darin, dass die Eltern trotz verfügbarer Impfungen ihre Kinder nicht rechtzeitig oder nicht mit allen empfohlenen Impfstoffen impfen lassen. Beispielsweise sank die Impfrate bei Kindergartenkindern in den USA von 95,2 Prozent im Schuljahr 2019–2020 auf 92,7 Prozent im Schuljahr 2023–2024.
Übertragung von Masern
Menschen stecken sich zumeist durch Tröpfcheninfektion an, d. h. durch Einatmen von großen oder kleinen Tröpfchen, die von infizierten Personen ausgehustet wurden. Menschen können sich anstecken, indem sie Oberflächen berühren, auf denen die Tröpfchen landen. Aber dieser Infektionsweg ist viel seltener. Bei den meisten Menschen, die nicht immun gegen Masern sind, entsteht die Infektion, nachdem sie Kontakt mit dem Virus hatten.
Masern sind ab 4 Tagen vor Ausbruch des Ausschlags bis einschließlich 4 Tage nach dessen Abklingen ansteckend. Menschen mit Masern bemerken möglicherweise nicht, dass sie infiziert oder ansteckend sind, und übertragen so die Infektion unbewusst auf andere.
Reisen in Gebiete, in denen Masern verbreitet sind oder in denen derzeit ein Ausbruch ist, sind ein Risikofaktor für die Übertragung von Masern.
Eine schwangere Frau, die eine Masernerkrankung durchgemacht hat oder dagegen geimpft wurde, gibt ihre Immunität in Form von Antikörpern über die Plazenta an ihr Kind weiter. Diese Immunität hält für die ersten 6 bis 12 Lebensmonate an. Danach haben Kinder, die dem Masernvirus ausgesetzt sind, ein hohes Infektionsrisiko, sofern sie nicht geimpft wurden.
Eine Person, die einmal an Masern erkrankt ist, ist lebenslang immun und kann sich gewöhnlich nicht noch einmal mit Masern infizieren. Erwachsene, die vor 1957 geboren wurden, waren sehr wahrscheinlich Masern ausgesetzt und sind daher immun.
Symptome der Masern
Masern sind eine ansteckende Virusinfektion, die sich in der Regel in einem typischen Zeitmuster entwickelt (die Anzahl der Tage ist ungefähre Angabe und hängt von der infizierten Person ab):
Exposition: Zu diesem Zeitpunkt kommt jemand mit dem Virus in Kontakt.
Inkubationszeit: Nach der Exposition dauert es normalerweise etwa 7 bis 21 Tage (durchschnittlich 11 bis 12 Tage), bis die Symptome beginnen. Während dieser Zeit befindet sich das Virus im Körper, aber die Person fühlt sich nicht krank.
Prodrom: Diese Phase dauert etwa 3 bis 7 Tage. Während dieser Zeit treten Symptome wie Fieber, Husten, laufende Nase und rote Augen auf, und es können kleine weiße Flecken im Rachen entstehen, aber der Ausschlag hat sich noch nicht entwickelt.
Ausschlag: Der Masernausschlag tritt nach der Prodromphase auf und dauert etwa 4 bis 7 Tage. Er beginnt normalerweise im Gesicht und breitet sich auf den Rest des Körpers aus. Nach dieser Phase beginnt der Ausschlag schnell zu verschwinden. Wenn keine Komplikationen auftreten, beginnt sich der Patient besser zu fühlen.
Die Symptome von Masern beginnen etwa 11 bis 12 Tage nach dem Kontakt mit dem Virus (Exposition). Die infizierte Person bekommt zunächst Fieber, eine laufende Nase, trockenen Husten und rote Augen.
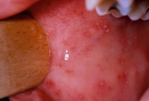
Bevor der Ausschlag beginnt, können Koplik-Flecken im Mund auftreten. Koplik-Flecken sind winzige hellrote Flecken mit einem weißen oder bläulich-weißen Zentrum. Diese Zentren in den Flecken können Sandkörnern ähneln.
Koplik-Flecken sind hellrote Flecken mit einem weißen oder bläulich-weißen Zentrum, die Sandkörnern ähneln. Sie können überall im Mund bei Personen auftreten, die an Masern erkrankt sind.
Koplik-Flecken sind hellrote Flecken mit einem weißen oder bläulich-weißen Zentrum, die Sandkörnern ähneln. Sie können
Bilder mit freundlicher Genehmigung der Public Health Image Library der Centers for Disease Control and Prevention.
Koplik-Flecken sind hellrote Flecken mit einem weißen oder bläulich-weißen Zentrum, die Sandkörnern ähneln. Sie können überall im Mund bei Personen auftreten, die an Masern erkrankt sind.
Koplik-Flecken sind hellrote Flecken mit einem weißen oder bläulich-weißen Zentrum, die Sandkörnern ähneln. Sie können
DR. P. MARAZZI/SCIENCE PHOTO LIBRARY
Koplik-Flecken sind hellrote Flecken mit einem weißen oder bläulich-weißen Zentrum, die Sandkörnern ähneln. Sie können überall im Mund bei Personen auftreten, die an Masern erkrankt sind.
Koplik-Flecken sind hellrote Flecken mit einem weißen oder bläulich-weißen Zentrum, die Sandkörnern ähneln. Sie können
DR. P. MARAZZI/SCIENCE PHOTO LIBRARY
Ein Ausschlag tritt 3 bis 7 Tage nach Beginn der Symptome auf. Er fängt im Gesicht vor und unter den Ohren und an der Seite des Halses an. Er sieht wie unregelmäßige rote Flecken aus, die zunächst flach sind, dann aber abstehen. Der Ausschlag ist bei Menschen mit heller Haut rot und kann bei Menschen mit dunkler Haut violett oder dunkler sein als die umliegende Haut. Der Ausschlag breitet sich in 1 bis 2 Tagen auf den Rumpf sowie auf die Arme und Beine aus und beginnt dann gleichzeitig im Gesicht zu verblassen. Die Haut kann sich nach dem Ausschlag im Gesicht schälen.
Dieses Bild zeigt einen Masernausschlag.
Dieses Bild zeigt einen Masernausschlag.
Bild mit freundlicher Genehmigung der Public Health Image Library der Centers for Disease Control and Prevention.
Dieses Bild zeigt einen Masernausschlag.
Dieses Bild zeigt einen Masernausschlag.
SCIENCE PHOTO LIBRARY
Dieses Bild zeigt einen Masernausschlag.
Dieses Bild zeigt einen Masernausschlag.
CDC/ Betty G. Partin
Bei einer sehr starken Infektion fühlt sich der Betroffene sehr krank und entwickelt eine Augenentzündung (Konjunktivitis), Schwellung und Empfindlichkeit gegenüber hellem Licht; der Ausschlag ist ausgedehnt; die Temperatur des Patienten kann 40 °C übersteigen.
Innerhalb von 4 bis 7 Tagen fällt die Temperatur, die betroffene Person beginnt sich besser zu fühlen und der verbliebene Ausschlag verblasst schnell. Der Ausschlag wird bräunlich, und die Haut schält sich.
Infizierte Menschen sind 4 Tage vor bis einschließlich 4 Tage nach dem Ausschlag ansteckend.
Komplikationen bei Masern
Kleine Kinder, Schwangere, unterernährte Personen oder Menschen mit geschwächtem Immunsystem haben ein höheres Risiko, Komplikationen aufgrund von Masern zu entwickeln. Eine Maserninfektion kann zu einer Immunschwäche führen, die nach der Genesung von Masern Monate oder Jahre andauert und zuvor infizierte Menschen für andere Infektionen anfällig macht.
Bakterielle Infektionen im Zusammenhang mit Masern, sogenannte Superinfektionen, umfassen Lungenentzündung, Bronchitis und Mittelohrentzündung (Otitis media).
Eine durch eine Maserninfektion der Lunge hervorgerufene Lungenentzündung (Pneumonie) tritt bei etwa 6 Prozent der Personen auf. Wenn Säuglinge nach einer Maserninfektion sterben, ist eine Lungenentzündung oft die Todesursache.
Während der Infektion kann es zu vorübergehender Infektion der Leber (Hepatitis) und Durchfall kommen.
Bei etwa einem von 1 von 1000 Kindern mit Masern tritt eine Gehirninfektion (siehe Enzephalitis) auf. Wenn es zu einer Enzephalitis kommt, beginnt diese oft mit hohem Fieber, Kopfschmerzen, Krampfanfällen und Koma, in der Regel 2 Tage bis 2 Wochen nach Auftreten des Ausschlags. Die Krankheit kann von kurzer Dauer sein, sodass sich die betroffene Person bereits nach 1 Woche wieder erholt, oder länger andauern und zu Hirnschädigungen oder zum Tod führen.
Nach Abklingen der Maserninfektionen kann es zu übermäßigen Blutungen kommen, da die Zahl der Blutplättchen abnimmt (Blutplättchenmangel). Normalerweise treten blaue Flecken auf der Haut und leichte Blutungen auf, bisweilen sind die Blutungen aber auch schwer.
Subakute sklerosierende Panenzephalitis: Das ist eine seltene, tödliche Komplikation der Masern. Sie verursacht Hirnschäden und einen fortschreitenden Abbau des Gehirns. Diese Symptome können sich bis zu 7 bis 10 Jahre nach einer Maserninfektion entwickeln und treten häufiger bei Menschen auf, die ursprünglich als kleine Kinder (unter 5 Jahren) mit Masern infiziert waren.
Diagnose der Masern
Untersuchung durch den Arzt
Laboruntersuchungen
Ärzte vermuten Masern bei Menschen, die typische erkältungsähnliche Symptome, Koplik-Flecken und den charakteristischen Ausschlag aufweisen.
Ärzte bestätigen die Diagnose, indem sie Blut-, Urin-, Nasen- und Rachenproben entnehmen bzw. sammeln und zur Untersuchung an ein Labor schicken. Diese Tests sind besonders hilfreich bei der Diagnose von Personen mit Symptomen, die zudem nicht geimpft oder nicht vollständig geimpft sind oder kürzlich mit dem Masernvirus in Kontakt gekommen sind.
Behandlung der Masern
Vitamin A für Kinder
Fiebersenkende Medikamente
Manchmal Antibiotika, wenn sich eine bakterielle Infektion entwickelt
Es gibt keine antiviralen Medikamente zur Behandlung von Masern.
Infizierte Personen, die ins Krankenhaus eingewiesen werden, sollten in spezielle Krankenzimmer verlegt und während ihrer Krankheit von anderen isoliert werden. Infizierte Personen, die nicht ins Krankenhaus eingewiesen werden, sollten den Kontakt mit anderen Personen während ihrer Krankheit auf das Nötigste beschränken.
Manche Ärzte verabreichen allen Kindern mit Masern Vitamin A, weil sich gezeigt hat, dass sich in Ländern, in denen ein Vitamin-A-Mangel häufig vorkommt, durch die Gabe von Vitamin A die Zahl der durch Masern verursachten Todesfälle und schweren Infektionen senken ließ.
Das Fieber kann mit Paracetamol oder Ibuprofen gesenkt werden.
Antibiotika können Menschen verabreicht werden, die andere Infektionen entwickeln, die durch Bakterien verursacht werden, wie z. B. eine Ohreninfektion.
Prognose zu Masern
In den Vereinigten Staaten verlaufen Masern bei etwa 1 bis 3 von 1.000 infizierten Personen tödlich. Weltweit verläuft Masern bei etwa 1 von 100 infizierten Personen tödlich.
Menschen, die als Säuglinge infiziert wurden, Menschen mit eingeschränktem Zugang zu medizinischer Versorgung, Menschen mit schwerer Mangelernährung und Vitamin-A-Mangel und Menschen, die an einer Lungenentzündung leiden, haben höhere Sterberaten aufgrund von Masern.
Siehe auch Komplikationen bei Masern.
Vorbeugung vor Masern
MMR-Impfstoff
Vorbeugung vor einer Ansteckung
Menschen, die in der Vergangenheit bereits mit Masern infiziert waren, sind immun. Dazu zählen alle Erwachsenen, die vor 1957 geboren wurden und vermutlich immun gegen Masern sind, weil sie wahrscheinlich dem Virus ausgesetzt waren.
Zwei Dosen des Masernimpfstoffs sind zu 96 Prozent wirksam bei der Vorbeugung von Masern. Die Masernimpfung wird als Teil des kombinierten Masern-Mumps-Röteln-Impfstoffs (MMR) verabreicht, der lebende, aber abgeschwächte Masern-, Mumps- und Rötelnviren enthält. Der MMR-Impfstoff ist eine der Grundimmunisierungen im Kindesalter und wird Kindern in den meisten Ländern mit einer robusten Gesundheitsversorgungsinfrastruktur verabreicht.
Der MMR-Impfplan mit 2 Dosen wurde 1989 eingeführt. Daher kann es sein, dass Erwachsene, die zwischen 1957 und 1989 geboren wurden, nur eine Einzeldosis erhalten haben. Für Erwachsene in dieser Gruppe werden zusätzliche 1 bis 2 Dosen bei denjenigen empfohlen, deren Bluttests nicht zeigen, dass sie immun sind und bei denen ein höheres Infektionsrisiko besteht (z. B. Hochschulstudenten, medizinische Fachkräfte, international Reisende, Personen, die mit immungeschwächten Personen in Kontakt kommen und Personen mit HIV-Infektion).
Der MMR-Impfstoff bietet im Allgemeinen eine dauerhafte Immunität und hat die Fälle von Masern in den USA um 99 % verringert.
Bei manchen Personen führt die Impfung zu leichtem Fieber und Ausschlag, sie sind aber nicht ansteckend. Der MMR-Impfstoff verursacht keine Autismus-Spektrum-Störung (siehe Masern-Mumps-Röteln-(MMR)-Impfstoff: Bedenken bezüglich einer Autismus-Spektrum-Störung).
MMR ist ein Lebendimpfstoff und wird während der Schwangerschaft nicht verabreicht. Der Impfstoff wird auch nicht an bestimmte Personen verabreicht, die ein stark geschwächtes Immunsystem haben, oder an Personen, die eine schwere, lebensbedrohliche allergische Reaktion (wie eine anaphylaktische Reaktion) auf eine Komponente des Impfstoffs oder eine vorherige Dosis des Impfstoffs hatten.
Für weitere Informationen darüber, wer den MMR-Impfstoff nicht erhalten sollte, siehe Dose of and Recommendations for MMR Vaccine. Siehe auch Nebenwirkungen des MMR-Impfstoffs.
Prophylaktische Behandlung nach einer Exposition
Kinder (und Erwachsene), die mit Masern in Berührung gekommen und nicht mit dem MMR-Impfstoff geimpft sind, können innerhalb von 3 Tagen nach dem Kontakt geimpft werden und dadurch unter Umständen geschützt sein. Wenn der Impfstoff nicht innerhalb von 3 Tagen verabreicht werden kann oder die betroffene Person nicht für den Impfstoff geeignet ist, wird sofort (innerhalb von 6 Tagen) Immunglobulin verabreicht.
Personen, die Immunglobulin als Injektion in einen Muskel erhalten haben, können 6 Monate später den MMR-Impfstoff erhalten. Personen, die Immunglobulin als Injektion in eine Vene erhalten haben, kann der MMR-Impfstoff 8 Monate später verabreicht werden.
