Bệnh cầu thận màng

(Viêm cầu thận màng)

TheoFrank O'Brien, MD, Washington University in St. Louis
Xem xét bởiNavin Jaipaul, MD, MHS, Loma Linda University School of Medicine
Đã xem xét/Đã chỉnh sửa đã sửa đổi Thg 4 2025
v8400004_vi

Bệnh thận màng là sự lắng đọng các phức hợp miễn dịch trên màng đáy cầu thận (GBM) với sự dày lên của màng đáy cầu thận. Thường không rõ nguyên nhân, mặc dù có các nguyên nhân thứ phát bao gồm thuốc men, nhiễm trùng, bệnh tự miễn và ung thư. Biểu hiện bao gồm phù nề âm thầm và protein niệu nặng với cặn niệu lành tính, chức năng thận bình thường và huyết áp bình thường hoặc tăng cao. Chẩn đoán dựa vào sinh thiết thận. Bệnh tự thuyên giảm thường gặp. Điều trị bệnh nhân có nguy cơ tiến triển cao thường bằng corticosteroid và các thuốc ức chế miễn dịch khác (ví dụ: rituximab hoặc cyclophosphamide).

Các thụ thể phospholipase A2 loại M (PLA2R) trong tế bào cầu thận là kháng nguyên mục tiêu chính trong các phức hợp miễn dịch lắng đọng.

Bệnh thận màng chủ yếu ảnh hưởng đến người lớn, đây là nguyên nhân phổ biến gây ra hội chứng thận hư (1).

Tài liệu tham khảo chung

  1. 1. Alsharhan L, Beck LH Jr. Membranous Nephropathy: Core Curriculum 2021. Am J Kidney Dis 2021;77(3):440-453. doi:10.1053/j.ajkd.2020.10.009

Nguyên nhân của bệnh thận màng

Bệnh thận màng thường là nguyên phát, nhưng nó có thể là thứ phát sau các nguyên nhân sau đây:

  • Thuốc (ví dụ: liệu pháp vàng, penicillamine, thuốc chống viêm không steroid [NSAID])

  • Nhiễm trùng (ví dụ viêm gan B hoặc C, giang mai, nhiễm HIV)

  • Rối loạn tự miễn dịch (ví dụ, lupus ban đỏ hệ thống [SLE])

  • Viêm tuyến giáp

  • Ung thư

  • Các bệnh ký sinh trùng (ví dụ: bệnh sốt rét, bệnh sán máng, bệnh do leishmania)

6% đến 15% số bệnh nhân mắc bệnh thận màng có ung thư là bệnh nền, bao gồm ung thư đặc ở phổi, tuyến tiền liệt, đại tràng, dạ dày, hoặc thận; u lympho Hodgkin hoặc u lympho không Hodgkin; bệnh bạch cầu kinh dòng lympho; và ung thư tế bào hắc tố (1).

Bệnh thận màng hiếm gặp ở trẻ em và khi xảy ra, thường là do nhiễm vi rút viêm gan B mạn tính, SLE hoặc bệnh tuyến giáp tự miễn.

Huyết khối tĩnh mạch thận thường gặp hơn trong bệnh thận màng và thường không có triệu chứng nhưng có thể biểu hiện bằng đau mạn sườn, đái máu và tăng huyết áp. Nó có thể tiến triển gây tắc động mạch phổi.

Tài liệu tham khảo nguyên nhân gây bệnh

  1. 1. Leeaphorn N, Kue-A-Pai P, Thamcharoen N, Ungprasert P, Stokes MB, Knight EL. Prevalence of cancer in membranous nephropathy: a systematic review and meta-analysis of observational studies. Am J Nephrol 2014;40(1):29-35. doi:10.1159/000364782

Các triệu chứng và dấu hiệu của bệnh thận màng

Bệnh nhân thường có biểu hiện phù nề và protein niệu ở mức độ thận hư ( 3 g/ngày) và đôi khi có đi tiểu ra máu vi thể và tăng huyết áp. Triệu chứng cơ năng và triệu chứng thực thể của bệnh gây ra bệnh thận màng (ví dụ ung thư) có thể xuất hiện trước tiên.

Chẩn đoán bệnh thận màng

  • Sinh thiết thận

  • Đánh giá tìm các nguyên nhân thứ phát

Chẩn đoán được nghĩ đến khi có hội chứng thận hư đặc biệt ở những bệnh nhân có các nguyên nhân tiềm ẩn gây bệnh thận màng. Chẩn đoán được xác nhận bằng sinh thiết thận.

Protein niệu ở mức độ thận hư ở 80% bệnh nhân (1). Xét nghiệm trong phòng thí nghiệm được thực hiện khi cần thiết cho hội chứng thận hư. Mức lọc cầu thận bình thường hoặc giảm.

Phức hợp miễn dịch được quan sát thấy dưới dạng các chất lắng đọng dày đặc trên kính hiển vi điện tử (xem hình Đặc điểm kính hiển vi điện tử trong các bệnh cầu thận miễn dịch). Các lắng đọng đặc dưới biểu mô xuất hiện ở giai đoạn sớm với các gai nổi lên ở lớp sáng giữa các lắng đọng. Sau đó, các lắng đọng xuất hiện trong màng đáy cầu thận (GBM) và dày lên rõ rệt. Lắng đọng IgG dạng hạt lan tỏa xuất hiện dọc theo màng đáy cầu thận không kèm theo sự tăng sinh tế bào, xuất tiết hoặc hoại tử.

Xác định sự có mặt hay không có mặt của kháng thể PLA2R và các lắng đọng dưới lớp IgG có thể giúp phân biệt bệnh thận màng nguyên phát hay thứ phát. Ví dụ: các chất lắng đọng trong bệnh thận màng vô căn có kháng thể PLA2R dương tính và chủ yếu là IgG 4, trong khi kháng thể PLA2R thường âm tính và IgG 1 và 2 chiếm ưu thế trong bệnh thận màng liên quan đến ác tính (2).

Đặc điểm của kính hiển vi điện tử trong các bệnh cầu thận miễn dịch

Bệnh cầu thận màng
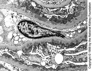
Bệnh thận màng (lắng đọng dày đặc)
Bệnh thận màng (lắng đọng dày đặc)

Các chất lắng đọng dày đặc dưới biểu mô có kích thước trung bình được quan sát thấy trên kính hiển vi điện tử truyền qua trong bệnh giai đoạn I muộn (×10.200).

Các chất lắng đọng dày đặc dưới biểu mô có kích thước trung bình được quan sát thấy trên kính hiển vi điện tử truyền qu

... đọc thêm

Hình ảnh do bác sĩ Agnes Fogo và American Journal of Kidney Diseases' Atlas of Renal Pathology cung cấp (xem www.ajkd.org).

Bệnh thận màng (gai màng đáy)
Bệnh thận màng (gai màng đáy)

Các gai của chất liệu nhuộm bạc màng đáy nhô ra khỏi màng đáy (chế độ xem ngâm trong dầu công suất cao, nhuộm bạc Jones, độ phóng đại ban đầu ×1000).

Các gai của chất liệu nhuộm bạc màng đáy nhô ra khỏi màng đáy (chế độ xem ngâm trong dầu công suất cao, nhuộm bạc Jones

... đọc thêm

Hình ảnh do bác sĩ Agnes Fogo và American Journal of Kidney Diseases' Atlas of Renal Pathology cung cấp (xem www.ajkd.org).

Bệnh thận màng (lắng đọng IgG)
Bệnh thận màng (lắng đọng IgG)

Lắng đọng IgG dạng hạt thô lan tỏa dọc theo thành mao mạch cầu thận (miễn dịch huỳnh quang có kháng IgG, độ phóng đại ban đầu ×100).

Lắng đọng IgG dạng hạt thô lan tỏa dọc theo thành mao mạch cầu thận (miễn dịch huỳnh quang có kháng IgG, độ phóng đại b

... đọc thêm

Hình ảnh do bác sĩ Agnes Fogo và American Journal of Kidney Diseases' Atlas of Renal Pathology cung cấp (xem www.ajkd.org).

Chẩn đoán nguyên nhân

Đánh giá các bệnh nhân được chẩn đoán bệnh thận màng thường bao gồm:

  • Tìm kiếm các ung thư tiềm ẩn, đặc biệt là ở bệnh nhân có gầy sút cân, thiếu máu không rõ nguyên nhân hoặc đại tiện phân máu hoặc ở người cao tuổi

  • Xem xét bệnh thận màng do thuốc

  • Xét nghiệm huyết thanh học tìm viêm gan B và C

  • Xét nghiệm kháng thể kháng nhân

Việc tìm kiếm ung thư tiềm ẩn thường được giới hạn ở sàng lọc phù hợp với lứa tuổi.

Tài liệu tham khảo chẩn đoán

  1. 1. Couser WG. Primary Membranous Nephropathy [published correction appears in Clin J Am Soc Nephrol ngày 7 tháng 9 năm 2017;12(9):1528. doi: 10.2215/CJN.07190717]. Clin J Am Soc Nephrol 2017;12(6):983-997. doi:10.2215/CJN.11761116

  2. 2. Beck LH, Bonegio RG, Lambeau G: M-type phospholipase A2 receptor as target antigen in idiopathic membranous nephropathy. N Engl J Med 361(1):11, 2009. doi: 10.1056/NEJMoa0810457

Điều trị bệnh thận màng

  • Kiểm soát protein niệu ở mức thận hư và/hoặc kiểm soát phù bằng thuốc lợi tiểu

  • Điều trị nguyên nhân thứ phát của hội chứng thận hư theo chỉ định

  • Liệu pháp ức chế miễn dịch cho bệnh nhân mắc bệnh thận màng vô căn có triệu chứng có nguy cơ tiến triển cao

  • Ghép thận cho bệnh nhân suy thận

Điều trị chủ yếu là điều trị nguyên nhân. Trong số những bệnh nhân mắc bệnh thận màng vô căn, những người không có triệu chứng và có protein niệu không ở mức thận hư không cần điều trị; chức năng thận cần được theo dõi định kỳ (ví dụ: hai lần một năm khi tình trạng ổn định).

Bệnh nhân có protein niệu ở mức thận hư không có triệu chứng hoặc phù nên được điều trị bằng thuốc lợi tiểu.

Bệnh nhân tăng huyết áp nên được dùng thuốc ức chế men chuyển angiotensin (ACE) hoặc thuốc chẹn thụ thể angiotensin II (ARB); những loại thuốc này cũng có thể có lợi cho những bệnh nhân không bị tăng huyết áp bằng cách làm giảm protein niệu.

Liệu pháp ức chế miễn dịch

Thuốc ức chế miễn dịch chỉ nên được xem xét sử dụng cho những bệnh nhân mắc bệnh thận màng vô căn có triệu chứng và những người có nguy cơ mắc bệnh tiến triển cao nhất. Mặc dù không có bằng chứng mạnh mẽ nào cho thấy liệu pháp ức chế miễn dịch có lợi ích lâu dài cho sự sống còn của bệnh nhân hoặc của thận, nhưng nó có vẻ cải thiện tỷ lệ thuyên giảm và có thể làm chậm tốc độ tiến triển thành suy thận (1, 2, 3). Bệnh nhân cao tuổi hoặc mắc bệnh mạn tính có nguy cơ cao hơn bị các biến chứng nhiễm trùng do thuốc ức chế miễn dịch.

Không có quy trình đồng thuận, nhưng trong lịch sử, một phác đồ phổ biến bao gồm corticosteroid, sau đó là chlorambucil. Tuy nhiên, chlorambucil không còn được ưa chuộng vì có các lựa chọn điều trị khác với hồ sơ an toàn tốt hơn. Hầu hết các chuyên gia ủng hộ việc sử dụng phối hợp rituximab và corticosteroid (2). Các lựa chọn thay thế cho rituximab bao gồm thuốc ức chế calcineurin và cyclophosphamide. Việc lựa chọn thuốc được dẫn hướng bằng mức độ nặng của bệnh và mức độ kháng thể kháng PLA2R.

Các liệu pháp điều trị chưa có đánh giá hiệu quả lâu dài bao gồm globulin miễn dịch truyền tĩnh mạch và NSAID.

Ghép thận là một phương án cho bệnh nhân bị suy thận. Bệnh thận màng tái phát ở khoảng 30% số bệnh nhân ở thời điểm 10 năm, với mất mô ghép ở khoảng 10% số bệnh nhân (4).

Tài liệu tham khảo về điều trị

  1. 1. von Groote TC, Williams G,  Au EH, et al: Immunosuppressive treatment for primary membranous nephropathy in adults with nephrotic syndrome. Cochrane Database Syst Rev 11(11):CD004293, 2021. doi: 10.1002/14651858.CD004293.pub4

  2. 2. Fervenza FC, Appel GB, Barbour SJ, et al: Rituximab or cyclosporine in the treatment of membranous nephropathy. N Engl J Med 381(1):36-46, 2019. doi: 10.1056/NEJMoa1814427

  3. 3. Ponticelli C, Altieri P, Scolari F, et al: A randomized study comparing methylprednisolone plus chlorambucil versus methylprednisolone plus cyclophosphamide in idiopathic membranous nephropathy. J Am Soc Nephrol 9(3):444, 1998 doi: 10.1681/ASN.V93444

  4. 4. Hullekes F, Uffing A, Verhoeff R, et al: Recurrence of membranous nephropathy after kidney transplantation: A multicenter retrospective cohort study. Am J Transplant 24(6):1016–1026, 2024. doi:10.1016/j.ajt.2024.01.036

Tiên lượng về bệnh thận màng

Khoảng một phần ba số bệnh nhân tự khỏi bệnh, một phần ba phát triển bệnh thận mạn tính ổn định và một phần ba tiến triển thành suy thận. (1). Phụ nữ, trẻ em và người lớn trẻ tuổi mắc chứng protein niệu không ở ngưỡng thận hư và những bệnh nhân có chức năng thận bình thường liên tục trong 3 năm sau khi chẩn đoán có xu hướng bệnh ít tiến triển. Bệnh nhân bị protein niệu ở mức độ thận hư không có triệu chứng hoặc bị phù nề có thể kiểm soát bằng thuốc lợi tiểu sẽ thuyên giảm một phần hoặc toàn bộ trong vòng 3 năm đến 4 năm.

Nguy cơ tiến triển thành suy thận là cao nhất trong số các bệnh nhân bị:

  • Protein niệu dai dẳng 8 g/ngày, đặc biệt là ở nam giới > 50 tuổi

  • Nồng độ creatinine huyết thanh tăng cao khi bệnh biểu hiện lâm sàng hoặc được chẩn đoán

  • Bằng chứng sinh thiết có viêm thận kẽ đáng kể

Tài liệu tham khảo về tiên lượng bệnh

  1. 1. Couser WG. Primary Membranous Nephropathy [published correction appears in Clin J Am Soc Nephrol ngày 7 tháng 9 năm 2017;12(9):1528. doi: 10.2215/CJN.07190717]. Clin J Am Soc Nephrol 2017;12(6):983-997. doi:10.2215/CJN.11761116

Những điểm chính

  • Bệnh thận màng thường vô căn; tuy nhiên, bệnh nhân có thể mắc các bệnh liên quan có thể điều trị được, chẳng hạn như ung thư, bệnh tự miễn hoặc nhiễm trùng.

  • Các triệu chứng ban đầu thường giống như trong hội chứng thận hư (ví dụ, phù, protein niệu ngưỡng thận hư, đôi khi có đái máu hoặc tăng huyết áp).

  • Chẩn đoán xác định dựa vào sinh thiết thận và xem xét đánh giá các nguyên nhân và các bệnh lý liên quan.

  • Điều trị hội chứng thận hư và điều trị cao huyết áp ban đầu bằng thuốc ức chế angiotensin.

  • Cân nhắc liệu pháp ức chế miễn dịch chỉ dành cho những bệnh nhân mắc bệnh thận màng vô căn có nguy cơ tiến triển.

quizzes_lightbulb_red
Test your KnowledgeTake a Quiz!