I gliomi sono tumori primitivi che originano nel parenchima cerebrale. I sintomi sono diversi e variano a seconda della localizzazione, manifestandosi come deficit neurologici focali, encefalopatia o convulsioni. La diagnosi si basa principalmente sulla RM, che comprende immagini standard pesate in T1 e T2, preferibilmente con enhancement del gadolinio, seguita da biopsia con profilatura molecolare. Il trattamento include l'escissione chirurgica, la radioterapia e, per alcuni tumori, la chemioterapia. L'asportazione chirurgica raramente è curativa.
(Vedi anche Panoramica sui tumori endocranici.)
I gliomi comprendono
Astrocitomi
Oligodendrogliomi
Glioblastoma multiforme
Ependimomi
Molti gliomi infiltrano il tessuto cerebrale in modo diffuso e irregolare.
Gli astrocitomi sono i gliomi più comuni (vedi anche Astrocytomi nei bambini). Sono classificati istologicamente e, in alcuni casi, in base alla presenza di specifici marcatori genetici, secondo la classificazione dell'OMS (1).
In ordine ascendente di malignità, gli astrocitomi sono classificati come
Grado I: astrocitomi pilocitici e astrocitomi subependimali a cellule giganti (più comuni nella sclerosi tuberosa)
Grado II: astrocitomi di basso grado, tra cui lo xantoastrocitoma pleomorfo
Grado III: astrocitomi anaplastici
Grado IV: glioblastomi e gliomi diffusi della linea mediana
Gli astrocitomi pilocitici, altri di basso grado, o quelli anaplastici tendono a svilupparsi in pazienti giovani. Gli astrocitomi anaplastici, in particolare, possono successivamente evolvere in glioblastomi (chiamati glioblastomi secondari). I glioblastomi possono anche svilupparsi de novo (chiamati glioblastomi primari), di solito in persone di mezza età o anziane. I glioblastomi contengono cellule eterogenee dal punto di vista cromosomico. Sia i glioblastomi primari che quelli secondari hanno caratteristiche genetiche distinte, che possono cambiare con l'evoluzione dei tumori. I glioblastomi secondari hanno tipicamente mutazioni nei geni IDH1 o IDH2.
Raramente, gli astrocitomi contengono cellule di astrocitoma e oligodendroglioma. Questi tumori erano designati come oligoastrocitomi; tuttavia, quel termine non è più utilizzato per riferirsi a un singolo tipo di tumore, ma piuttosto a una neoplasia mista.
Gli oligodendrogliomi (grado II secondo l'OMS) sono tra i gliomi che crescono più lentamente. Essi si trovano più frequentemente nella corteccia cerebrale, soprattutto i lobi frontali. Gli oligodendrogliomi sono tipicamente caratterizzati da delezione del braccio p del cromosoma 1 e del braccio q del cromosoma 19 (1p/19q codelezione). Queste delezioni sono diagnostiche per i tumori oligodendrogliali, determinano una sopravvivenza più lunga e prevedono una migliore risposta alla radioterapia e alla chemioterapia. Come gli astrocitomi, gli oligodendrogliomi possono evolvere in forme più aggressive, come gli oligodendrogliomi anaplastici (grado III secondo l'OMS), che sono gestiti di conseguenza.
Sia gli astrocitomi che gli oligodendrogliomi possono esprimere mutazioni dei geni IDH1 o IDH2, che provocano la produzione anomala di 2-idrossiglutarato; questo metabolita può modificare la metilazione del DNA delle normali cellule progenitrici neurali e gliali causandone la produzione di cellule di glioma neoplastico. I pazienti con la mutazione IDH1/2 tendono ad avere una prognosi migliore rispetto a quelli con tumori IDH1/2 wild-type, in parte perché i pazienti hanno una migliore risposta alla chemioterapia alchilante come la temozolomide. Gli oligodendrogliomi tendono ad avere la mutazione 1p/19q-codeletion e la mutazione IDH1/2. Gli astrocitomi hanno tipicamente la mutazione del IDH1/2 ma non la codelezione 1p/19q; invece, più tipicamente esprimono mutazioni o perdita del ATRX gene e mutazioni nella pTP53 (2).
I gliomi diffusi della linea mediana sono tumori astrocitari di alto grado (grado da III a IV secondo l'OMS) che colpiscono principalmente i bambini. Questi tumori comprendono gliomi pontini diffusi intrinseci, che sono tumori aggressivi e tipicamente letali che infiltrano nel tronco cerebrale con estensione rostrale nell'ipotalamo e nel talamo e che infiltrano inferiormente nella medulla e nel midollo spinale. I gliomi diffusi della linea mediana esprimono tipicamente la mutazione H3K27M.
I bambini con neurofibromatosi di tipo 1 sono ad aumentato rischio di sviluppare gliomi diffusi della linea mediana.
Gli ependimomi si verificano principalmente nei bambini e nei giovani adulti; sono rari dopo l'adolescenza (vedi anche Ependimomi nei bambini). Sono classificati come
Grado I: subependimoma
Grado II: ependimoma
Grado III: ependimomi anaplastici
Grado IV: ependimoblastoma (che è raro e si verifica principalmente nei neonati)
Tutti gli ependimomi sorgono tipicamente dalla parete ventricolare e quindi possono insorgere nel cervello, nel tronco cerebrale o nel midollo spinale. In quanto tali, sono classificati in base alla posizione: come sopratentoriale, fossa posteriore, o midollo spinale. Ognuna di queste categorie comprende 3 sottogruppi definiti molecolarmente e istologicamente, risultando in 9 tipi di ependimomi fenotipicamente e molecolarmente distinti, il cui trattamento e la prognosi differiscono significativamente tra loro. Gli ependimomi in particolare del quarto ventricolo possono manifestarsi con idrocefalo ostruttivo e possono quindi manifestarsi prima di altri ependimomi (3).
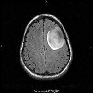
Questa scansione RM T2-FLAIR (fluid-attenuating inversion recovery) mostra un segnale bianco, che può indicare una massa o edema. Il segnale frontale sinistro è altamente demarcato, suggerendo una massa. L'uso del contrasto non lo migliora. È un oligodendroglioma di basso grado (grado II).
Questa scansione RM T2-FLAIR (fluid-attenuating inversion recovery) mostra un segnale bianco, che può indicare una mass
Image courtesy of William R. Shapiro, MD.
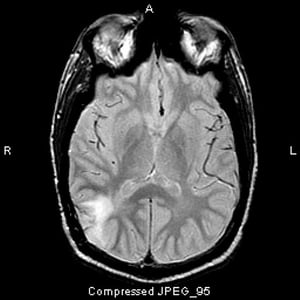
Questa scansione RM T2-FLAIR (fluid-attenuating inversion recovery) mostra un segnale bianco nel lobo temporale posteriore. Il segnale non è potenziato dal contrasto. È un astrocitoma anaplastico (grado III).
Questa scansione RM T2-FLAIR (fluid-attenuating inversion recovery) mostra un segnale bianco nel lobo temporale posteri
Image courtesy of William R. Shapiro, MD.
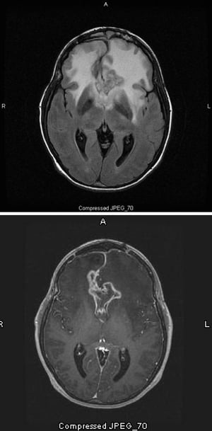
La scansione RM T2-FLAIR (fluid-attenuating inversion recovery) (in alto) mostra un grande segnale bianco bilaterale (iperdensità) attorno al glioblastoma, che è l’astrocitoma con il più alto grado di malignità. Questo particolare glioblastoma è chiamato glioma a farfalla perché il segnale bianco attorno al tumore forma le ali della farfalla; è causato da edema cerebrale. Nella scansione pesata in T1 (in basso), il contrasto delinea il bordo del tumore (enhancement dell'anello). L'edema appare come un'area scura (ipointensità) al T1.
La scansione RM T2-FLAIR (fluid-attenuating inversion recovery) (in alto) mostra un grande segnale bianco bilaterale (i
Images courtesy of William R. Shapiro, MD.
Riferimenti generali
1. Louis DN, Perry A, Reifenberger G, et al: The 2021 World Health Organization classification of tumors of the central nervous system: A summary. Neuro Oncol 23 (8):1231–1251, 2021. doi: 10.1093/neuonc/noab106
2. Reifenberger G, Wirsing H, Knobbe-Thomsen CB, Weller M: Advances in the molecular genetics of gliomas - implications for classification and therapy. Nat Rev Clin Oncol 14 (7):434-452 2017. doi: 10.1038/nrclinonc.2016.204
3. Pajtler K, Mack S, Ramaswamy V, et al: The current consensus on the clinical management of intracranial ependymoma and its distinct molecular variants. Neuropathologica 133:5–12, 2017. doi: 10.1007/s00401-016-1643-0
Diagnosi dei gliomi
RM pesata in T1 e T2
Biopsia
La diagnosi dei gliomi si basa principalmente sulla RM, che comprende immagini standard pesate in T1 e T2, preferibilmente con enhancement del gadolinio, seguita da biopsia con istopatologia e profilatura molecolare. L'istopatologia comprende la classica analisi patologica della morfologia cellulare, colorazioni immunoistochimiche (p. es., per mutazioni dell'IDH1/2) e ibridazione in situ (p. es., per mutazioni dell'EGFR).
Possono essere eseguiti pannelli di oncogeni selezionati, sequenziamento mirato o dell'intero esoma, sequenziamento dell'RNA e/o analisi della metilazione della metilguanina-DNA metil-transferasi (MGMT). La metilazione del promotore del gene MGMT è un fattore prognostico nei pazienti con glioblastoma multiforme; predice una buona risposta postoperatoria al temozolamide e un aumento della sopravvivenza (1).
Riferimento relativo alla diagnosi
1. Stupp R, Taillibert S, Kanner A, et al: Effect of tumor-treating fields plus maintenance temozolomide vs maintenance temozolomide alone on survival in patients with glioblastoma: A randomized clinical trial. JAMA 318 (23):2306–2316, 2017. doi: 10.1001/jama.2017.18718
Trattamento dei gliomi
Asportazione chirurgica
Radioterapia
Chemioterapia per alcuni tipi
Astrocitomi anaplastici e glioblastomi
Per ridurre la massa tumorale il trattamento comprende la chirurgia, la radioterapia e la chemioterapia. L'exeresi sicura di quanti più tumori è possibile (senza danneggiare eccessivamente aree del cervello eloquente [aree che assistono le funzioni come la parola e la funzione motoria]) prolunga la sopravvivenza e migliora le funzioni neurologiche.
Dopo la rimozione chirurgica i pazienti ricevono terapia radiante a pieno dosaggio (60 Gy in 6 settimane); idealmente, viene utilizzata la radioterapia conformazionale, che colpisce il tumore e risparmia il tessuto cerebrale normale.
Per i glioblastomi, la chemioterapia con temozolomide è attualmente somministrata di routine con la radioterapia.
Durante il trattamento con temozolomide, trimetoprim/sulfametossazolo 800 mg/160 mg viene somministrato 3 volte/settimana per prevenire una polmonite da Pneumocystis jirovecii.
I pazienti che ricevono la chemioterapia richiedono un emocromo con formula a intervalli variabili.
L'impianto di wafer chemioterapico durante la resezione chirurgica può essere appropriato per alcuni pazienti.
L'uso dei tumor-treating fields (campi elettrici alternanti con frequenza intermedia) in aggiunta alla temozolomide in adiuvante può essere appropriato per alcuni pazienti. I tumor-treating fields (campi elettrici alternanti con frequenza intermedia) per il trattamento dei tumori interferiscono con la mitosi del glioblastoma e l'assemblaggio degli organelli mediante campi elettrici alternati al cuoio capelluto. In uno studio clinico randomizzato, i tumor-treating fields (campi elettrici alternanti con frequenza intermedia) per il trattamento dei tumori sembrano migliorare la sopravvivenza nei pazienti con glioblastoma (1, 2).
Devono inoltre essere considerate terapie farmacologiche sperimentali (p. es., radiochirurgia stereotassica, nuovi farmaci chemioterapici, terapia genica o immunoterapia). Sono in corso studi clinici su numerosi inibitori del checkpoint immunitario, in particolare sulla modulazione immunitaria CTLA4- e PD1-dipendente.
Dopo la terapia multimodale convenzionale, il tasso di sopravvivenza per i pazienti affetti da glioblastoma è di circa il 50% a 1 anno, del 25% a 2 anni, e del 10-15% a 5 anni (3). La prognosi è migliore nei seguenti casi:
I pazienti hanno < 45 anni (4).
Istologia dell'astrocitoma anaplastico o di un tumore di grado inferiore (piuttosto che del glioblastoma) (4).
Escissione iniziale che migliora la funzione neurologica e lascia un minimo o nessun residuo tumorale.
Tumori con mutazione dell'IDH1 (5).
Metilazione del promotore MGMT (metilguanina-metiltransferasi) presente (2).
Con il trattamento standard, il tempo mediano di sopravvivenza è di circa 26 mesi per i pazienti con astrocitoma anaplastico e di circa 13 mesi per i pazienti con glioblastoma (6). Sono in corso numerosi studi clinici, in particolare quelli che comprendono una serie di immunoterapia sperimentale e inibitori del checkpoint immunitario. Gli studi in corso e quelli recentemente completati sono citati in clinical trials.gov.
Astrocitomi di basso grado e oligodendrogliomi di basso grado
La massima resezione chirurgica sicura è indicata per gli astrocitomi di basso grado e gli oligodendrogliomi. Dopo la resezione completa nei pazienti < 40, può essere presa in considerazione l'osservazione. Per gli altri pazienti, la radioterapia e la chemioterapia adiuvante prolungano la sopravvivenza (7).
La sopravvivenza mediana varia da 1 a 2 anni nei pazienti ad alto rischio (senza mutazione IDH1, con resezione incompleta) a > 10 anni in quelli con fattori prognostici favorevoli (8). Nei pazienti ad alto rischio, è probabile che la malignità progredisca ulteriormente.
Gliomi diffusi della linea mediana
In pazienti con gliomi diffusi della linea mediana, la radioterapia può essere utilizzata per rallentare la progressione della malattia, sebbene il suo uso sia in gran parte palliativo perché la sopravvivenza è in genere inferiore a un anno. Questi tumori tipicamente esprimono la mutazione dell'H3K27M in una proteina dell'istone; strategie epigenetiche che modificano il DNA e le proteine associate al DNA nella cellula per cambiare l'espressione genica sono in fase di studio (9). I pazienti con la mutazione H3K27M hanno una prognosi infausta indipendentemente dal grado istologico del tumore.
Ependimomi
La biopsia con l'analisi genetica, il prelievo di liquido cerebrospinale, e l'imaging craniospinale devono essere usati per stadiare gli ependimomi e per valutare la loro diffusione nel sistema nervoso centrale.
Il trattamento degli ependimomi include la massima resezione chirurgica sicura per la malattia unifocale o per i tumori sintomatici. Per i tumori di grado più elevato, la radioterapia può essere diretta a livello locale o includere l'intero asse craniospinale a seconda di quanto il tumore si è diffuso. Il ruolo della chemioterapia non è ben definito.
La prognosi varia in base alla localizzazione del tumore, alla genetica e allo stadio (10). In generale, con il trattamento, il tasso complessivo di sopravvivenza a 5 anni è circa ≥ 50% (11); tuttavia, per i pazienti senza tumore residuo, la percentuale di sopravvivenza a 5 anni è più elevata.
Riferimenti relativi al trattamento
1. Ballo MT, Conlon P, Lavy-Shahaf G, et al: Association of tumor treating fields (TTFields) therapy with survival in newly diagnosed glioblastoma: A systematic review and meta-analysis. J Neurooncol 164(1):1-9, 2023. doi: 10.1007/s11060-023-04348-w
2. Stupp R, Taillibert S, Kanner A, et al: Effect of tumor-treating fields plus maintenance temozolomide vs maintenance temozolomide alone on survival in patients with glioblastoma: A randomized clinical trial. JAMA 318 (23):2306–2316, 2017. doi: 10.1001/jama.2017.18718
3. Brown NF, Ottaviani D, Tazare J, et al: Survival outcomes and prognostic factors in glioblastoma. Cancers (Basel) 14(13):3161, 2022. doi: 10.3390/cancers14133161.
4. Liang J, Lv X, Lu C, et al: Prognostic factors of patients with gliomas – An analysis on 335 patients with glioblastoma and other forms of gliomas. BMC Cancer 20:35, 2020. https://doi.org/10.1186/s12885-019-6511-6Download citation
5. Cancer Genome Atlas Research Network; Brat DJ, Verhaak RG, Aldape KD, M et al: Comprehensive, integrative genomic analysis of diffuse lower-grade gliomas. N Engl J Med 372(26):2481-2498, 2015. doi: 10.1056/NEJMoa1402121.
6. Noiphithak R, Veerasarn K: Clinical predictors for survival and treatment outcome of high-grade glioma in Prasat Neurological Institute. Asian J Neurosurg 12(1):28-33, 2017. doi: 10.4103/1793-5482.148791
7. Buckner JC, Shaw EG, Pugh SL, et al: Radiation plus procarbazine, CCNU, and vincristine in low-grade glioma. N Engl J Med 374(14):1344-1355, 2016. doi: 10.1056/NEJMoa1500925
8. Choi J, Kim SH, et al: Extent of resection and molecular pathologic subtype are potent prognostic factors of adult WHO grade II glioma. Sci Rep 10(1):2086, 2020. doi: 10.1038/s41598-020-59089-x
9. Miklja Z, Pasternak A, Stallard S, et al: Molecular profiling and targeted therapy in pediatric gliomas: Review and consensus recommendations. Neuro Oncol 21:968–980, 2019.
10. Pajtler K, Mack S, Ramaswamy V, et al: The current consensus on the clinical management of intracranial ependymoma and its distinct molecular variants. Neuropathologica 133:5–12, 2017. doi: 10.1007/s00401-016-1643-0
11. McGuire CS, Sainani KL, Fisher PG: Both location and age predict survival in ependymoma: A SEER study. Pediatric Blood Cancer 52(1):65-69, 2008. Wiley Online Library. https://doi.org/10.1002/pbc.21806
Punti chiave
I gliomi sono tumori primitivi che hanno origine nel parenchima cerebrale; comprendono gli astrocitomi, gli oligodendrogliomi, e gli ependimomi.
I gliomi variano in localizzazione, grado di malignità, trattamento e prognosi.
Per la maggior parte dei gliomi, asportare chirurgicamente la maggior quantità possibile di tumore (resezione totale) senza danneggiare eccessivamente le aree del cervello eloquente, quindi seguire con radioterapia e/o chemioterapia.



