Carie

Revisionato/Rivisto mar 2024 | Modificata lug 2025
v34376601_it
CONSULTA LA VERSIONE PER I PROFESSIONISTI
Ottenere tutti i dettagli

La superficie esterna dura dei denti è chiamata smalto. La polpa è la parte interna profonda del dente; contiene vasi sanguigni e nervi. I batteri possono danneggiare parti diverse del dente.

Cos’è la carie?

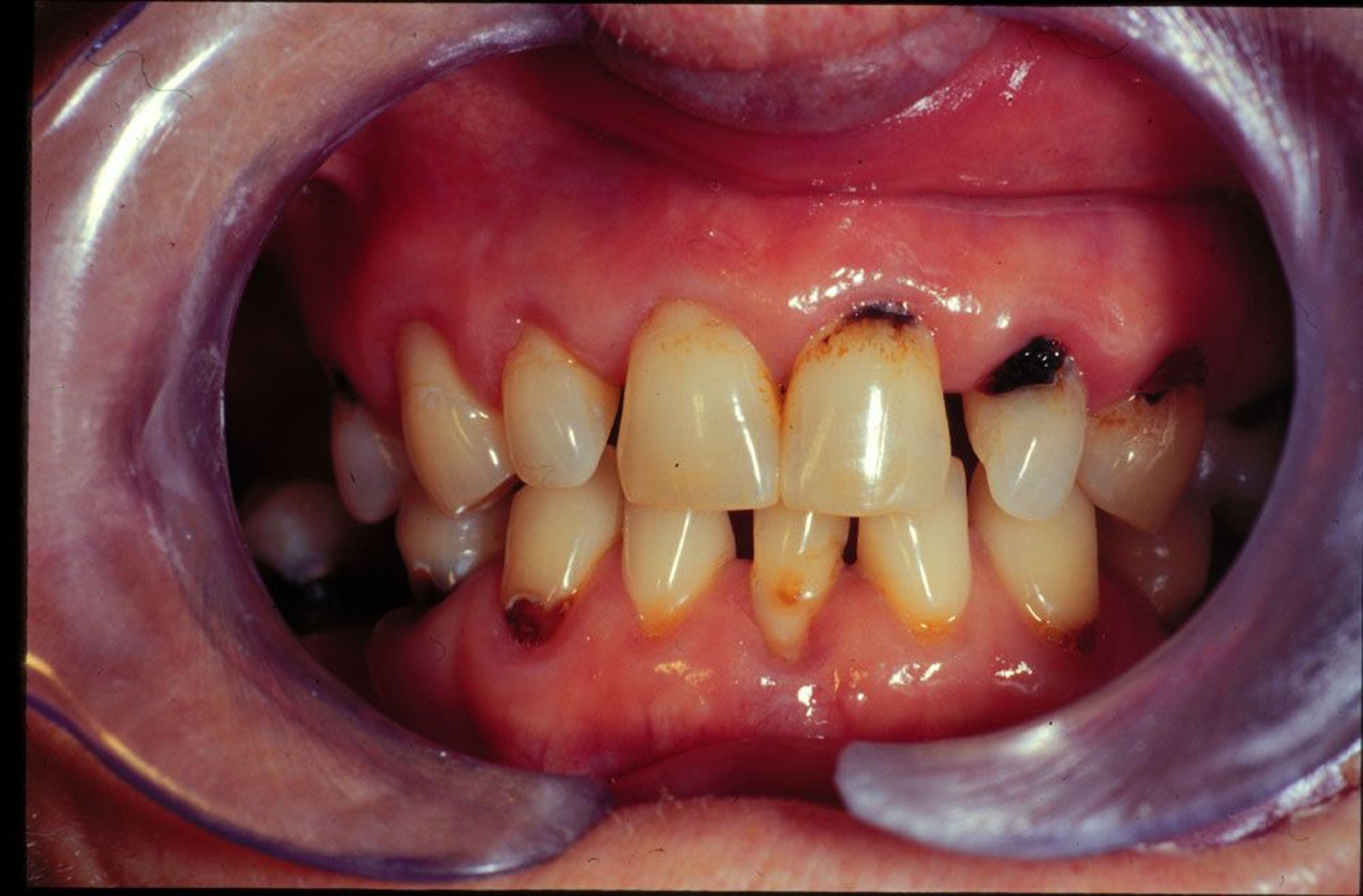
La carie danneggia parti dei denti.

  • I batteri si accumulano sullo smalto dei denti e producono acidi che forano il dente; questi fori sono chiamati carie

  • Quando la carie aumenta di dimensioni e attraversa lo smalto arrivando all’interno del dente, provoca dolore ai denti

  • I dentisti individuano la carie esaminando i denti e mediante radiografie

  • Il trattamento include la trapanazione della carie e il riempimento del foro

  • La pulizia regolare dei denti, controlli dentali ed evitare cibi zuccherati possono aiutare a prevenire la carie

Uno sguardo all’interno del dente

Quali sono le cause della carie?

I batteri si accumulano sui denti e producono acido che provoca la carie.

I batteri, la saliva e residui di cibo formano un sottile strato chiamato placca che aderisce al dente. La placca si indurisce nel tempo e si trasforma in tartaro. Il tartaro di solito è giallo ed è talvolta visibile alla base dei denti. I batteri che vivono nella placca e nel tartaro sono difficili da eliminare.

I batteri prosperano grazie allo zucchero. Ecco perché cibi e bevande zuccherati possono causare carie. La quantità di zucchero consumata è meno importante rispetto alla frequenza con cui lo si consuma. Ciò che conta è quanto tempo lo zucchero rimane a contatto con i denti. Pertanto, è più dannoso sorseggiare una bevanda zuccherata per un’ora che mangiare una caramella in 5 minuti, anche se la caramella può contenere più zucchero. Anche i bambini che vanno a letto col biberon, nonostante questo contenga solo latte o latte artificiale, sono a rischio di carie. Il biberon all’ora di dormire dovrebbe contenere solo acqua.

Lo sviluppo di carie è più probabile nelle seguenti situazioni:

  • Presenza di molta placca e tartaro in bocca

  • Consumo di cibi e bevande zuccherati o acidi, come le bibite o il succo di frutta

  • Carenza di fluoruro (un minerale che rende lo smalto più duro) nei denti

  • Poca saliva nella bocca (una condizione chiamata bocca secca)

  • Gengive ritirate alla base dei denti (recessione gengivale)

Quali sono i sintomi della carie?

Una cavità poco profonda nello smalto è indolore. Le carie un po’ più profonde possono provocare dolore quando si consumano cibi e bevande caldi, freddi o dolci.

Una carie che diventa sufficientemente profonda da raggiungere la polpa provoca pulpite. La pulpite causa mal di denti anche quando non si mangia o si beve. Se la polpa diventa infetta, si può sviluppare una sacca di pus chiamata un ascesso dentale.

Come vengono diagnosticate le carie?

Il dentista diagnostica le carie mediante:

  • L’esame e l’esplorazione dei denti mediante strumenti dentali

  • Radiografie dei denti

Come si trattano le carie?

Se la carie è molto piccola e interessa solo lo smalto, il dente può guarire da solo in presenza di sufficiente fluoruro.

I dentisti trattano le carie più profonde dello smalto trapanando la parte malata del dente e inserendo un’otturazione. L’otturazione può essere composta da:

  • Amalgama di argento (una combinazione di argento, mercurio, rame, stagno e talvolta altri metalli), spesso usato nei denti posteriori, dove non è visibile

  • Resine composite, dello stesso colore dei denti

  • Vetroionomero, del colore dei denti e che rilascia fluoruro, ottimo per chi ha molte carie

  • Oro

Trattamento del canale radicolare o estrazione del dente

Quando la carie dentale è sufficientemente profonda da raggiungere la polpa e diventa gravemente infiammata, il dentista somministra analgesici e:

  • Esegue un canale radicolare per rimuovere la polpa dal dente quindi riempe e sigilla il canale del dente

  • Estrae il dente se non può essere salvato

In presenza di un’infezione, somministra anche antibiotici.

Come si possono prevenire le carie?

Le carie si possono prevenire:

  • Lavandosi i denti con un dentifricio contenente fluoruro (mattino e sera e dopo aver mangiato cibi zuccherati)

  • Passando il filo interdentale ogni giorno

  • Con cure dentali regolari

  • Mediante un’alimentazione sana e riducendo il consumo di cibi e bevande ad alto contenuto di zuccheri o acidi

È importante assumere sufficiente fluoruro. Il fluoruro è un minerale che protegge i denti dalla carie. In alcune zone il fluoruro è aggiunto al sistema idrico pubblico. Se non è presente nell’acqua, il dentista potrebbe prescrivere integratori di fluoruro ai bambini fino a 8 anni o applicare trattamenti a base di fluoruro ai denti.

Se comunque si sviluppano molte carie, il dentista può:

  • Ricoprire i denti con un sigillante (i sigillanti sono un rivestimento plastico duro che previene la formazione di carie nei denti che presentano fessure profonde)

  • Prescrivere un colluttorio orale antibatterico che aiuta ad uccidere i batteri che causano la carie

quizzes_lightbulb_red
Test your KnowledgeTake a Quiz!