Neumonitis por hipersensibilidad

(Alveolitis alérgica extrínseca)

PorJoyce Lee, MD, MAS, University of Colorado School of Medicine
Reviewed ByRichard K. Albert, MD, Department of Medicine, University of Colorado Denver - Anschutz Medical
Revisado/Modificado Modificado jun 2025
v919823_es
Vista para pacientes

La neumonitis por hipersensibilidad es un síndrome con tos, disnea y astenia causado por la sensibilización y la subsiguiente hipersensibilidad contra antígenos medioambientales (con frecuencia, ocupacionales o domésticos). Existen formas agudas, subagudas y crónicas; todas se caracterizan por inflamación intersticial aguda y desarrollo de granulomas mal formados y fibrosis con la exposición prolongada. El diagnóstico se basa en una combinación de datos obtenidos por los antecedentes, el examen físico, los estudios por la imagen, el lavado broncoalveolar y la biopsia. El tratamiento a corto plazo se realiza con glucocorticoides; el tratamiento a largo plazo consiste en evitar el antígeno y, si hay fibrosis, a menudo se administra inmunosupresión y/o terapia antifibrótica.

La neumonitis por hipersensibilidad es un síndrome raro y complejo que surge de la inhalación crónica de varios antígenos extraños en individuos genéticamente predispuestos. Aunque es una causa común de enfermedad pulmonar intersticial, su prevalencia general permanece baja, estimada en aproximadamente 1 a 2 casos cada 100.000 individuos por año en ambientes con abundantes recursos (1). Las tasas de prevalencia pueden ser más altas en regiones específicas o entre ciertos grupos ocupacionales, como agricultores o criadores de aves, aunque la prevalencia general dentro de estas poblaciones de mayor riesgo no está bien documentada. Las variaciones estacionales también son comunes, con ciertos mohos implicados como desencadenantes solo en climas calientes y húmedos. El tabaquismo activo parece estar asociado con un riesgo disminuido de desarrollar neumonitis por hipersensibilidad (2).

Referencias generales

  1. 1. Fernández Pérez ER, Kong AM, Raimundo K, Koelsch TL, Kulkarni R, Cole AL. Epidemiology of Hypersensitivity Pneumonitis among an Insured Population in the United States: A Claims-based Cohort Analysis. Ann Am Thorac Soc 2018;15(4):460-469. doi:10.1513/AnnalsATS.201704-288OC

  2. 2. Solaymani-Dodaran M, West J, Smith C, Hubbard R. Extrinsic allergic alveolitis: incidence and mortality in the general population. QJM. 2007;100(4):233-237. doi:10.1093/qjmed/hcm008

Etiología de la neumonitis por hipersensibilidad

Todos los casos de neumonitis por hipersensibilidad se deben a hiperreactividad inmunológica después de la exposición a un antígeno extraño, a menudo en individuos que tienen algún grado de susceptibilidad genética. Se han identificado más de 300 antígenos como desencadenantes de la neumonitis por hipersensibilidad. Los antígenos hallados a través de las tareas agrícolas, el contacto con aves y la contaminación del agua determinan cerca del 75% de los casos.

Los antígenos suelen clasificarse según el tipo y la ocupación (véase tabla Ejemplos de neumonitis por hipersensibilidad); el pulmón del granjero, causado por la inhalación de polvo de heno que contiene actinomicetos termófilos, es el prototipo. Existe una superposición sustancial entre la neumonitis por hipersensibilidad y la bronquitis crónica en los granjeros, en quienes la bronquitis crónica es mucho más común, aparece en forma independientemente del hábito de fumar, está asociada con la exposición a actinomicetos termófilos y conduce a hallazgos similares a los de la neumonitis por hipersensibilidad en las pruebas diagnósticas.

Tabla
Tabla

Fisiopatología de la neumonitis por hipersensibilidad

El trastorno parece representar una reacción de hipersensibilidad tipo IV, en la cual la exposición repetida al antígeno en personas genéticamente susceptibles conduce a inflamación aguda o subaguda seguida de inflamación crónica y fibrosis. Inicialmente, en la fase aguda, prevalece la alveolitis neutrofílica y mononuclear. Posteriormente, en la fase subaguda, la infiltración linfocítica intersticial Th1 y Th17 y la formación y depósito de complejos inmunes se dirigen contra el antígeno extraño. En casos más crónicos, pueden ocurrir reacciones granulomatosas debido a la afluencia de células CD4+ Th1 (similar a la patogénesa de los granulomas sarcoideos o tuberculosos). Finalmente, con la exposición continua, la invasión de fibroblastos puede causar fibrosis con obliteración bronquiolar. El papel principal de la respuesta inmune parece ser un intento de eliminar o, si no tiene éxito, de aislar el antígeno nocivo. Ciertos polimorfismos genéticos, como MUC5B, pueden influir en el riesgo de un paciente de desarrollar neumonitis por hipersensibilidad y contribuir al aumento de la morbilidad de la enfermedad (1).

Las precipitinas circulantes de IgG (anticuerpos sensibilizados al antígeno) no parecen tener una participación etiológica primaria, y el antecedente clínico de alergia (como asma y alergias estacionales) no es un factor predisponente. El consumo de cigarrillo parece retrasar o impedir el desarrollo, quizá a través de la inhibición de la respuesta inmunitaria del pulmón a los antígenos inhalados. Sin embargo, el hábito de fumar puede exacerbar la enfermedad una vez establecida.

La neumonitis por hipersensibilidad tiene similitudes clínicas con otros trastornos que tienen fisiopatologías diferentes.

  • El síndrome tóxico por polvo orgánico (micotoxicosis pulmonar, fiebre por granos), por ejemplo, es un síndrome que consiste en fiebre, escalofríos, mialgias y disnea que no requiere sensibilización previa y se cree que es causada por la inhalación de toxinas producidas por hongos u otros contaminantes del polvo orgánico.

  • La enfermedad de los llenadores de silos puede conducir a la insuficiencia respiratoria, la bronquitis y la bronquiolitis obliterante o al síndrome de dificultad respiratoria aguda (SDRA), pero es causada por la inhalación de óxidos de nitrógeno tóxicos producidos por el ensilaje del maíz o la alfalfa recién fermentados.

  • El asma ocupacional causa disnea en personas previamente sensibilizadas a un antígeno inhalado, pero características como la obstrucción del flujo aéreo, la eosinofilia de las vías respiratorias, la historia negativa de contacto o exposición y las diferencias resultantes en los antígenos desencadenantes ayudan a distinguirla de la neumonitis por hipersensibilidad.

Referencia de la fisiopatología

  1. 1. Ley B, Newton CA, Arnould I, et al. The MUC5B promoter polymorphism and telomere length in patients with chronic hypersensitivity pneumonitis: an observational cohort-control study. Lancet Respir Med 2017;5(8):639-647. doi:10.1016/S2213-2600(17)30216-3

Signos y síntomas de la neumonitis por hipersensibilidad

Los signos y síntomas tienden a depender de si la aparición es

  • Aguda (días)

  • Subaguda (semanas)

  • Crónica (meses a años)

Sólo una pequeña proporción de personas expuestas presenta síntomas y en la mayoría de los casos sólo después de semanas a meses de exposición y sensibilización.

Neumonitis por hipersensibilidad aguda

La enfermedad aguda se observa en personas previamente sensibilizadas y exposición reciente a gran cantidad de antígeno; se manifiesta como fiebre, escalofríos, tos, opresión torácica bilateral (como en el asma) y disnea 4 a 8 h después de la exposición. También puede haber anorexia, náuseas y vómitos. El examen físico muestra taquipnea, crepitantes difusos en la mitad o al final de la inspiración y, en casi todos los casos, ausencia de sibilancias. Los síntomas pueden imitar los de la neumonía bacteriana aguda.

Neumonitis por hipersensibilidad subaguda

La enfermedad subaguda se manifiesta ya sea como tos, disnea, fatiga y anorexia que se desarrollan durante días a semanas o como síntomas agudos superpuestos a los crónicos. Las sibilancias pueden comenzar por primera vez en la etapa subaguda.

Neumonitis crónica por hipersensibilidad

La enfermedad crónica se presenta en personas con exposición prolongada a bajos niveles de antígeno (como propietarios de aves). Durante meses a años, los pacientes pueden presentarse con disnea de esfuerzo, tos productiva, fatiga y pérdida de peso. Hay pocos hallazgos físicos; con mucha infrecuencia, puede haber hipocratismo digital y no hay fiebre. Aunque es poco frecuente, en casos avanzados, la fibrosis pulmonar causa signos y síntomas de insuficiencia cardíaca derecha, insuficiencia respiratoria, o ambas.

Diagnóstico de neumonitis por hipersensibilidad

  • TC de alta resolución (TCAR)

  • Pruebas de la función pulmonar

  • Pruebas serológicas para inmunoglobulinas específicas de antígeno

  • Lavado broncoalveolar

  • Examen histológico

El diagnóstico de neumonitis por hipersensibilidad requiere un alto índice de sospecha en pacientes con síntomas compatibles y antecedentes compatibles de exposición ocupacional, recreacional o doméstica. Debe considerarse la neumonitis por hipersensibilidad en pacientes con enfermedad pulmonar intersticial recién diagnosticada (1, 2). Se realiza TC de alta resolución para identificar los hallazgos radiográficos característicos. También se pueden realizar pruebas de función pulmonar para evaluar el grado de deterioro respiratorio. Se puede medir el nivel sérico de la inmunoglobulina (Ig) G o A específica contra antígenos sospechosos, pero su utilidad diagnóstica es limitada y un resultado negativo no excluye el diagnóstico (1). El lavado broncoalveolar y/o la biopsia pulmonar pueden ser necesarios si los resultados no son concluyentes. Los diagnósticos diferenciales incluyen enfermedades pulmonares medioambientales, sarcoidosis, bronquiolitis obliterante, enfermedad pulmonar asociada con trastornos reumáticos sistémicos y otras enfermedades pulmonares intersticiales.

Los indicios en la anamnesis incluyen:

  • Neumonías atípicas recurrentes

  • Inicio de los síntomas después de ocupar un nuevo puesto de trabajo o vivienda

  • Una bañera de hidromasaje, sauna, piscina u otras fuentes de agua estancada o daños causados por el agua en la exposición doméstica o regular a ellos en otros sitios

  • Tener aves como mascotas

  • Trabajar en una granja

  • Trabajar en ciertas industrias (p. ej., carpintería; elaboración de queso, vino o pan; ganadería; textiles)

  • La exacerbación y el alivio de los síntomas en determinados ámbitos específicos y fuera de ellos

El examen físico a menudo no ayuda al diagnóstico, aunque pueden estar presentes ruidos pulmonares anormales (p. ej. chirridos inspiratorios, crepitantes basilares) e hipocratismo digital.

Estudios de diagnóstico por imágenes

En general, estos estudios se realizan en pacientes con antecedentes, signos y síntomas que los justifiquen.

La radiografía de tórax no es sensible ni específica para detectar enfermedades y con frecuencia es normal en pacientes con las formas aguda y subaguda de esta enfermedad. Puede mostrar opacidades reticulares o nodulares, en general cuando los síntomas están presentes. Las radiografías de tórax de pacientes con enfermedad crónica con más probabilidad muestran opacidades reticulares o nodulares en los lóbulos superiores con volúmenes pulmonares reducidos y panal de abejas, similares a las de la fibrosis pulmonar idiopática.

La TC de alta resolución es la modalidad de diagnóstico por imágenes de elección para evaluar cambios parenquimatosos en la neumonitis por hipersensibilidad, y es más probable que muestre anormalidades que la TC convencional o las radiografías (2).

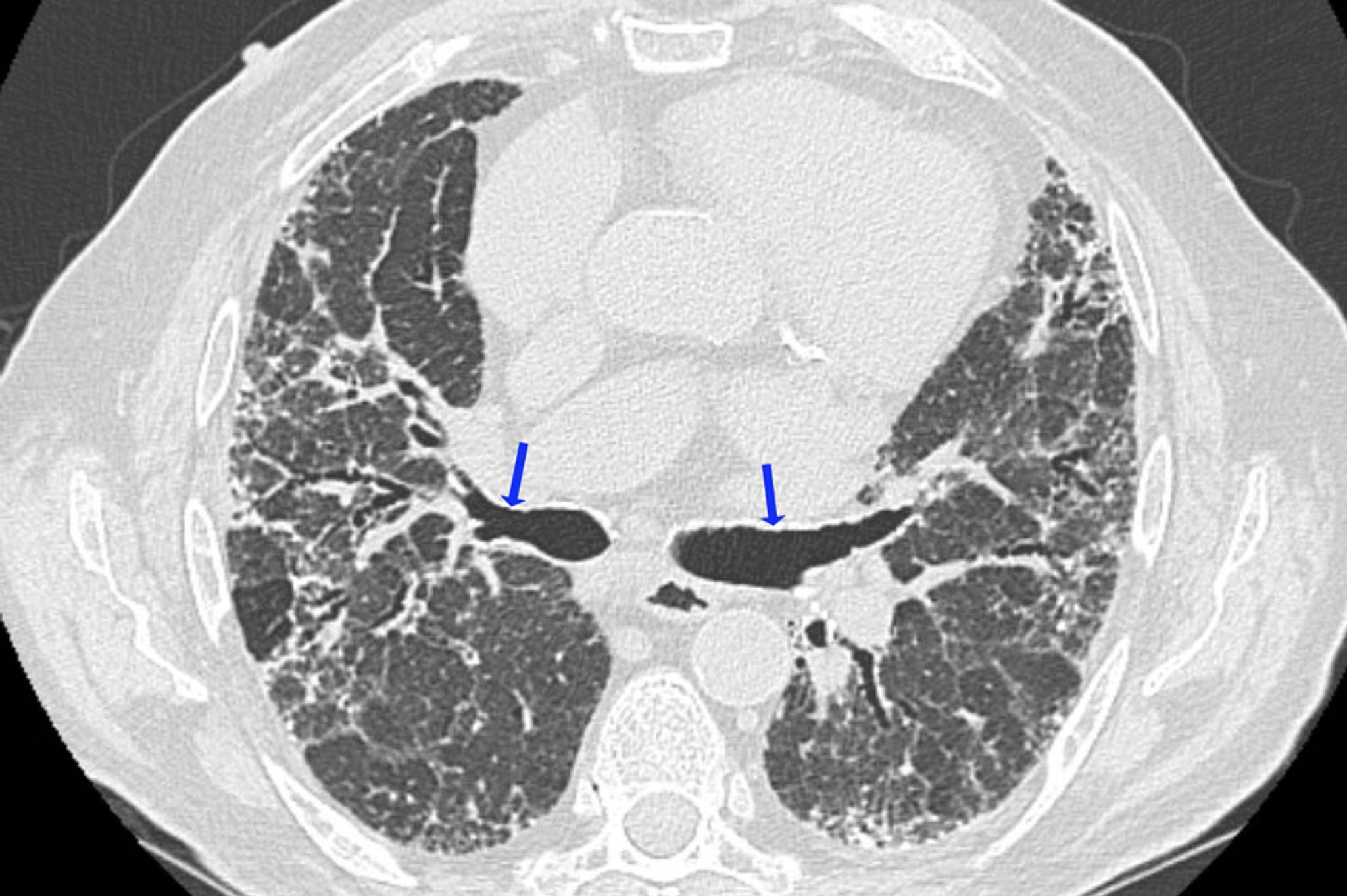
En las neumonitis por hipersensibilidad aguda y subaguda, los hallazgos más típicos en la TC de alta resolución son micronódulos centrolobulillares, que miden en forma típica menos de 3 mm de diámetro, usualmente ubicados cerca de las vías aéreas centrales de esos lobulillos. En ocasiones, la opacificación (atenuación) en vidrio esmerilado es el hallazgo predominante o a veces el único. Es generalmente difuso, pero a veces perdona la periferia del lóbulo secundario. Áreas focales de hiperclaridad, similares a los presentes en la bronquiolitis obliterante, pueden ser una característica destacada en algunos pacientes (p. ej., atenuación en mosaico con atrapamiento de aire en la TC de alta resolución espiratoria).

En la neumonitis por hipersensibilidad crónica, hay hallazgos de fibrosis pulmonar, que incluyen pérdida de volumen lobular, opacidades lineales o reticulares, aspecto en panal de abejas y bronquiectasias por tracción. Pueden aparecer micronódulos centrolobulillares, opacificación en vidrio esmerilado y áreas de hiperlucencia, pero son menos prominentes. Algunos pacientes no fumadores con neumonitis por hipersensibilidad crónica tienen hallazgos de enfisema del lóbulo superior. La linfadenopatía mediastínica es infrecuente, lo que permite distinguir la neumonitis por hipersensibilidad de la sarcoidosis.

Pruebas de la función pulmonar

Las pruebas de función pulmonar deben indicarse como parte de la evaluación convencional de casos presuntos de neumonitis por hipersensibilidad. El síndrome puede causar un patrón obstructivo, restrictivo o mixto de las alteraciones de las vías aéreas. La enfermedad avanzada causa mayoritariamente un defecto restrictivo (volúmenes pulmonares reducidos), una disminución de la capacidad de difusión pulmonar del monóxido de carbono (DLCO) e hipoxemia de esfuerzo que progresa a hipoxemia en reposo. La obstrucción de las vías aéreas es inusual en la enfermedad aguda, pero puede desarrollarse en la enfermedad crónica.

Lavado broncoalveolar

Los resultados del lavado broncoalveolar rara vez son específicos para la neumonitis por hipersensibilidad, pero a menudo constituyen un componente de la evaluación diagnóstica de los síntomas respiratorios crónicos y las alteraciones de la función pulmonar. La linfocitosis en el líquido de lavado (> 40%) con relación CD4+/CD8+ < 1,0 (la relación normal ± error estándar de la media = 2,3 ± 0,2) es característica de la enfermedad (3); por el contrario, la linfocitosis con predominio de CD4+ (relación > 1,0) es más característica de la sarcoidosis. Otros hallazgos pueden incluir mastocitos > 1% (después de la exposición aguda) y aumento de neutrófilos y eosinófilos. La edad avanzada y el tabaquismo están asociados con recuentos de linfocitos más bajos (a veces falsamente bajos) en el líquido del lavado (2).

Biopsia de pulmón

La biopsia de pulmón transbronquial o quirúrgica puede estar indicada cuando las pruebas no invasivas no son concluyentes. Los hallazgos varían, pero típicamente incluyen metaplasia peribronquiolar, granulomas no necrosantes poco formados y neumonía organizada. La fibrosis intersticial puede estar presente en los casos crónicos.

Otras pruebas

Otras pruebas se indican cuando es necesario un apoyo adicional para el diagnóstico o para detectar otras causas de enfermedad pulmonar intersticial. La detección de IgG/IgA específica contra el antígeno en suero, a veces también llamadas precipitinas, puede sugerir una exposición asociada con la enfermedad. Sin embargo, la presencia de precipitinas circulantes no es sensible ni específica. La identificación de un antígeno precipitante específico puede requerir que especialistas en higiene industrial realicen una evaluación aerobiológica o microbiológica detallada en el lugar de trabajo, si bien estas evaluaciones normalmente están guiadas por fuentes conocidas de antígenos desencadenantes (p. ej., Bacillus subtilis en fábricas de detergentes).

Las pruebas cutáneas de alergia no son útiles y la eosinofilia periférica acostumbra a estar ausente.

Las pruebas útiles para detectar otros trastornos incluyen pruebas serológicas y cultivos (para la psitacosis y otras neumonías) y autoanticuerpos (para trastornos reumáticos sistémicos). Los niveles elevados de eosinófilos pueden sugerir neumonias eosinofílicas crónicas. El aumento de tamaño de los ganglios hiliares y paratraqueales es más característico de la sarcoidosis.

Referencias del diagnóstico

  1. 1. Fernández Pérez ER, Travis WD, Lynch DA, et al. Diagnosis and Evaluation of Hypersensitivity Pneumonitis: CHEST Guideline and Expert Panel Report. Chest 2021;160(2):e97-e156. doi:10.1016/j.chest.2021.03.066

  2. 2. Raghu G, Remy-Jardin M, Ryerson CJ, et al: Diagnosis of hypersensitivity pneumonitis in adults. An Official ATS/JRS/ALAT Clinical Practice Guideline. Am J Respir Crit Care Med 202(3):e36–e69, 2020. doi: 10.1164/rccm.202005-2032ST

  3. 3. Walsh SL, Sverzellati N, Devaraj A, Wells AU, Hansell DM. Chronic hypersensitivity pneumonitis: high resolution computed tomography patterns and pulmonary function indices as prognostic determinants. Eur Radiol. 2012;22(8):1672-1679. doi:10.1007/s00330-012-2427-0

Tratamiento de la neumonitis por hipersensibilidad

  • Identificación y mitigación de antígenos

  • glucocorticoides

  • A veces, tratamiento antifibrótico

El tratamiento de la neumonitis por hipersensibilidad aguda o subaguda se realiza con glucocorticoides, en general dosis altas de prednisona durante 1 a 2 semanas, que luego se reduce gradualmente durante las siguientes semanas hasta que se suspende el medicamento. Este régimen alivia los síntomas iniciales, pero no parece alterar el resultado a largo plazo.

El tratamiento de la neumonitis por hipersensibilidad crónica suele hacerse con cursos más largos de prednisona de mantenimiento en dosis bajas con disminución en función de la respuesta clínica. Algunos pacientes requieren agentes ahorradores de corticosteroides (p. ej., micofenolato mofetil, azatioprina) para el tratamiento a largo plazo.

En pacientes con fibrosis progresiva a pesar de la terapia inmunosupresora, se puede considerar la terapia antifibrótica. El nintedanib, un inhibidor de la tirosina cinasa, parece ralentizar la tasa de deterioro de la función pulmonar en pacientes con fibrosis pulmonar progresiva, incluyendo aquellos con neumonitis por hipersensibilidad crónica (1). Pirfenidona, otro medicamento antifibrótico, a veces se usa como alternativa si no se tolera el nintedanib. Ha sido menos estudiado en neumonitis por hipersensibilidad, pero también puede ralentizar la progresión de la enfermedad pulmonar (2).

Referencias del tratamiento

  1. 1. Flaherty KR, Wells AU, Cottin V, et al.Nintedanib in Progressive Fibrosing Interstitial Lung Diseases. N Engl J Med 2019;381(18):1718-1727. doi:10.1056/NEJMoa1908681

  2. 2. Behr J, Prasse A, Kreuter M, et al. Pirfenidone in patients with progressive fibrotic interstitial lung diseases other than idiopathic pulmonary fibrosis (RELIEF): a double-blind, randomised, placebo-controlled, phase 2b trial. Lancet Respir Med 2021;9(5):476-486. doi:10.1016/S2213-2600(20)30554-3

Pronóstico de la neumonitis por hipersensibilidad

Los cambios anatomopatológicos de la neumonitis por hipersensibilidad aguda son totalmente reversibles si se detecta temprano y si se elimina la exposición al antígeno. La enfermedad aguda es autolimitada si se evita el antígeno; los síntomas suelen disminuir en el transcurso de horas. Las formas no fibróticas de neumonitis por hipersensibilidad subaguda generalmente tienen un pronóstico favorable si se identifica el antígeno desencadenante y se evita la exposición. El pronóstico es menos favorable para los pacientes con neumonitis por hipersensibilidad fibrótica. En la enfermedad crónica, la fibrosis suele ser irreversible y puede progresar incluso si el paciente ya no está expuesto al antígeno.

Prevención de la neumonitis por hipersensibilidad

El aspecto más importante del tratamiento a largo plazo de la neumonitis por hipersensibilidad es evitar la exposición a los antígenos. Un cambio completo del ambiente es poco realista, sobre todo para los granjeros y otros trabajadores, en cuyo caso pueden ser eficaces las medidas de control del polvo (como humedecer el compost antes de removerlo) o utilizar filtros de aire o máscaras protectoras. Pueden utilizarse fungicidas para evitar el crecimiento de microorganismos antigénicos (p. ej., en el heno o en la caña de azúcar), pero se desconoce la seguridad a largo plazo de esta estrategia. La limpieza amplia de los sistemas de ventilación húmeda, la eliminación de alfombras húmedas y el mantenimiento de baja humedad mediante deshumidificadores también son eficaces en algunos lugares. Sin embargo, se debe informar a los pacientes que estas medidas pueden ser inadecuadas si la exposición continúa.

Conceptos clave

  • La neumonitis por hipersensibilidad es una reacción de hipersensibilidad de tipo IV que puede ser activada por una amplia variedad de alérgenos.

  • En los pacientes en situación de riesgo y que tienen síntomas compatibles, obtener antecedentes completos de la exposición ocupacional, en el tiempo libre y doméstica.

  • Se debe realizar una TC de alta resolución y pruebas de función pulmonar y, si el diagnóstico no está claro, posiblemente un lavado broncoalveolar y pruebas serológicas de precipitinas.

  • Tratar a la mayoría de los pacientes con prednisona oral.

  • Los casos avanzados pueden responder a agentes antifibróticos.

quizzes_lightbulb_red
Test your KnowledgeTake a Quiz!
ANDROID iOS
ANDROID iOS
ANDROID iOS