Eine Globusverletzung kann durch stumpfe oder penetrierende Traumata am Auge entstehen.
Ein Trauma des Globus kann Folgendes verursachen:
Bulbusruptur (Riss)
Traumatische Optikusneuropathie
(Siehe auch Augenverletzungen im Überblick.)
Die folgenden Verletzungen, die an anderer Stelle im Manual behandelt werden, können eine Vielzahl von Ursachen haben, einschließlich einer auslösenden traumatischen Verletzung:
Weitere häufige Verletzungen des Augapfels sind konjunktivale, subkonjunktivale und sklerale Blutungen, die in der Regel keine Behandlung erfordern, Netzhautblutungen, Netzhautödeme oder Netzhautablösungen, Glaskörperblutungen, Risse in der Iris und eine dislozierte Linse, die in der Regel dringend von einem Augenarzt untersucht werden müssen.
Die Beurteilung kann schwierig sein, wenn massives Lidödem, Ekchymose oder eine Lazeration vorliegt. Trotzdem sollte das Lid geöffnet werden (wobei darauf geachtet werden muss, dass kein Druck auf den Bulbus ausgeübt wird), um das Auge so gut wie möglich zu untersuchen – es sei denn, die Notwendigkeit zu einer sofortigen Augenchirurgie ist offensichtlich. In diesem Fall muss so schnell wie möglich eine Untersuchung durch einen Ophtalmologen erfolgen. Wenigstens die folgenden Faktoren sollten untersucht werden:
Pupillenform und -reaktionen
Extraokuläre Bewegungen
Vorderkammertiefe oder Blutung
Rotreflex
Intraokulärer Druck
Ein Analgetikum oder ein Anxiolytikum kann verabreicht werden, um die Untersuchung zu erleichtern. Sanfte und vorsichtige Anwendung von Lidhaltern oder einem Lidspekulum ermöglicht es, die Augenlider zu öffnen, wenn der Patient Unterstützung benötigt. Wenn ein kommerzielles Instrument nicht verfügbar ist, können die Augenlider mit behelfsmäßigen Aufrolleinrichtung hergestellt werden, indem eine Büroklammer zu einer S-Form gebogen wird, und dann die U-förmigen Enden in einem Winkel von 180° aufgebogen werden. Die Instrumente sollten keinen Druck auf den Globus ausüben. Bulbusverletzungen sollten vermutet werden, wenn eines der folgenden Symptome vorliegt:
Eine Hornhaut- oder Sklerawunde ist sichtbar.
Das Kammerwasser ist undicht (positives Seidel- Zeichen).
Die vordere Kammer ist sehr flach (z. B. scheint die Hornhaut Falten zu schlagen) oder sehr tief (durch eine Ruptur hinter der Linse).
Die Pupille ist unregelmäßig oder unförmig (was möglicherweise auf eine Perforation des Globus oder eine Herniation der Iris hindeutet).
Der Rotreflex ist nicht vorhanden (möglicherweise ein Hinweis auf eine Glaskörperblutung oder eine Netzhautverletzung).
Wenn eine Globuslazeration vermutet wird, sollten Maßnahmen ergriffen werden, bevor ein Ophthalmologe verfügbar ist, dazu gehören das Anbringen eines Schutzschildes und Verabreichung von intravenösen Antibiotika (z. B. Ceftazidim und Vancomycin) (1). Eine CT-Untersuchung sollte durchgeführt werden, um nach einem Fremdkörper und anderen Verletzungen, wie Frakturen, zu suchen; eine MRT wird vermieden, da die Möglichkeit eines verborgenen metallischen Fremdkörpers besteht. Topische Antibiotika werden nicht angewendet. Einem Erbrechen, das den Augeninnendruck (IOP) erhöht und ein Austreten von okulären Inhalten bewirken kann, wird durch Antiemetika vorgebeugt, falls nötig. Da eine Pilzinfektion offener Wunden gefährlich ist, sind Kortikosteroide kontraindiziert, bis die Wunden chirurgisch geschlossen wurden. Eine Tetanusprophylaxe ist bei offenen Bulbusverletzungen angezeigt. Die operative Reparatur erfordert in der Regel die Exploration des Augapfels, die Entfernung von Fremdkörpern, den schichtweisen Verschluss von Sklera und Hornhaut sowie die Injektion von intravitrealen Antibiotika und/oder Antimykotika unter Vollnarkose. PPostoperativ wird das Auge abgedeckt. Je nach der spezifischen Ätiologie der ursprünglichen Verletzung und dem intraoperativen Befund werden Mydriatika und topische Antibiotika/Antimykotika eingesetzt. Der Augeninnendruck wird überwacht, und jeder Anstieg wird mit topischen Medikamenten behandelt. Der Patient wird mehrere Tage lang engmaschig überwacht, da die Gefahr einer posttraumatischen Endophthalmitis besteht. Ganz selten entzündet sich bei einer Verletzung des Bulbus das unverletzte kontralaterale Auge mit (sympathische Ophthalmie), dies kann unbehandelt bis zur Erblindung führen. Der Mechanismus ist eine Autoimmunreaktion, und der zeitliche Verlauf ist variabel (2).
Intraokuläre Fremdkörper
Eine Penetrationsverletzung des Auges kann auch zu einem zurückgehaltenen intraokularen Fremdkörper führen (z. B. abgebrochener Bleistift, Metallfragment von einem rotierenden Werkzeug). Intraokuläre Fremdkörper machen eine sofortige chirurgische Behandlung durch den Ophtalmologen notwendig. Intravitreale, systemische und topische antimikrobielle Mittel sind wegen ihrer Wirksamkeit gegen Bacillus cereus indiziert, der in jeder mit Erde oder Pflanzen kontaminierten Verletzung vorhanden sein kann; zu diesen antimikrobiellen Mitteln gehören intravitreales Ceftazidim in Kombination mit Vancomycin, gefolgt von intravenösen Dosen, und topisches Vancomycin und Ceftazidim oder ein Fluorchinolon wie Moxifloxacin (1, 3). Bei einer Bulbusverletzung werden keine Salben angewendet.
Ein Augenschutz (z. B. eine Augenklappe aus Kunststoff oder Aluminium oder das untere Drittel eines Pappbechers) wird über das Auge gelegt und mit Klebeband befestigt, um unbeabsichtigten Druck zu vermeiden, der Augeninhalt durch die Einstichstelle austreten lassen könnte. Pflaster müssen vermieden werden, da sie auch unbeabsichtigt Druck auf den Globus ausüben können. Eine Tetanusprophylaxe sollte nach offenen Bulbusverletzungen erfolgen.
Wie bei jeder Verletzung des Bulbus, sollte ein Erbrechen (z. B. aufgrund von Schmerzen), das den Augeninnendruck erhöhen kann, verhindert werden. Wenn Übelkeit auftritt, sollten Antiemetika verschrieben werden.
Hyphaema (Hämorrhagie in der Vorderkammer)
Ein Hyphaema entsteht in der Regel durch eine Verletzung des vorderen Augenabschnitts, insbesondere der Iris und ihres Ansatzes an der Sklera, was zu einer Blutung in die vordere Augenkammer führt. Auf ein Hyphaema können wiederkehrende Blutungen, Anomalien des Augeninnendrucks (IOD) und/oder Blutverfärbungen auf der Hornhaut folgen, die zu einem dauerhaften Sehverlust führen können. Im Vordergrund stehen die Symptome der assoziierten Verletzungen, bis das Hyphaema so groß ist, dass es das Sehen behindert. Die direkte Inspektion zeigt typischerweise Blutzellen in der Vorderkammer, mit oder ohne Schichtung von Blut und/oder das Vorhandensein eines Gerinnsels in der Vorderkammer. Die Blutung stellt sich als meniskusförmiger Blutspiegel in der damit zusammenhängenden (meist der unteren) Vorderkammer dar. Mikrohyphema, eine weniger schwere Form des Hyphemas, ist möglicherweise nur bei direkter Inspektion der Vorderkammer durch eine Spaltlampenuntersuchung nachweisbar, die die Visualisierung von suspendierten roten Blutkörperchen ermöglicht
Ein Ophtalmologe sollte sobald wie möglich hinzugezogen werden. Der Patient hält Bettruhe mit um 30–45° erhöhtem Kopf und erhält einen Augenschutz, um das Auge vor weiteren Traumata zu schützen (siehe Korneale Erosionen und Fremdkörper). Patienten mit einem hohen Risiko für Rezidivblutungen (d. h. solche mit großen Hyphemen, Blutungsneigungen oder Sichelzellenkrankheit sowie solche, die Antikoagulanzien verwenden), deren Augeninnendruck schwer zu kontrollieren ist oder die wahrscheinlich die empfohlene Behandlung nicht einhalten, können hospitalisiert werden. Wenn die Ursache des Hyphaemas nicht bekannt ist, sollte eine Untersuchung auf Blutungsanomalien in Betracht gezogen werden. Orale oder topische NSAIDs sind kontraindiziert, da sie eine Blutungsneigung verstärken können. Antifibrinolytika, wie z. B. Tranexamsäure, werden nicht routinemäßig eingesetzt, können aber bei Patienten mit hohem Risiko für eine erneute Blutung oder andere Komplikationen hilfreich sein (4).
Die Behandlung des Hyphaemas konzentriert sich hauptsächlich auf die Behandlung des Augeninnendrucks. Der Augeninnendruck kann akut ansteigen (innerhalb von Stunden, normalerweise bei Patienten mit Sichelzellenkrankheit oder -merkmal) oder Monate bis Jahre später. Daher wird der Augeninnendruck täglich über mehrere Tage und dann regelmäßig über die folgenden Wochen und Monate überwacht und falls Symptome auftreten (z. B. Augenschmerzen, verminderte Sehkraft, Übelkeit, die alle den Symptomen eines akuten Winkelverschlussglaukoms ähneln). Bei steigendem Druck gibt man Timolol 0,5% 2-mal täglich, Brimonidin 0,2% oder 0,15% 2-mal täglich oder beides. Anschließend wird der Druck gewöhnlich 1- oder 2-mal täglich geprüft. Das Ansprechen auf die Behandlung wird über den IOP ermittelt, der alle 1 oder 2 Stunden kontrolliert wird oder bis sich ein signifikanter Druckabfall einstellt. Oft werden mydriatische Tropfen verschrieben, z. B. Scopolamin 0,25% 3-mal täglich oder Atropin 1% 3-mal täglich über 5 Tage) und topische Kortikosteroide (z. B. Prednisolon-Acetat 1% 4–8 mal täglich über 2–3 Wochen, um Entzündung und Narbenbildung zu verhindern. Die Beweise zur Unterstützung der Anwendung von Mydriatika und Kortikosteroiden bei Hyphema sind jedoch nicht eindeutig (5).
Eine erneute Blutung aufgrund der Retraktion des Gerinnsels kann bei bis zu 38% der Patienten auftreten (4). Für die Behandlung sollte ein Ophthalmologe konsultiert werden, da die erneute Blutung stärker sein kann als die ursprüngliche Blutung. Die Verabreichung von Antifibrinolytika kann in Erwägung gezogen werden, und miotische oder mydriatische Medikamente sind mögliche Optionen. Der Augeninnendruck sollte auch bei einer erneuten Blutung überwacht werden. Selten ist bei rezidivierenden Blutungen in Verbindung mit einem Sekundärglaukom ein chirurgischer Eingriff zur Blutentfernung notwendig.
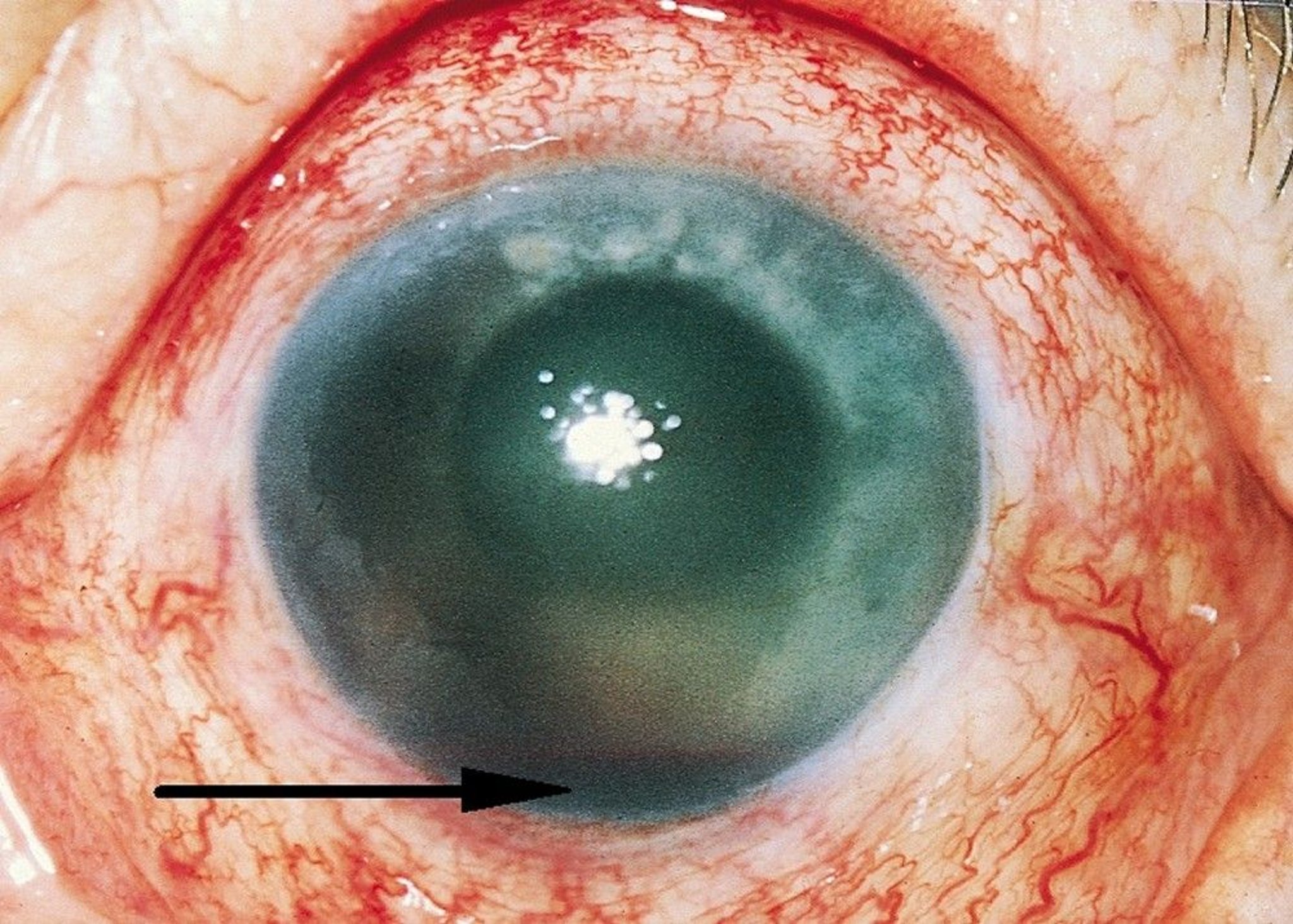
Dieser Patient hat ein traumatisches Hyphema (Pfeil) und eine konjunktivale Injektion nach einer traumatischen Augenverletzung.
© Springer Science+Business Media
Blow-out-Fraktur
Zu einer Blow-out-Fraktur kommt es, wenn ein stumpfes Trauma den Orbitainhalt durch einer der schwächsten Stellen der Orbita treibt, was typischerweise der Orbitaboden ist (6). Mediale, laterale und Orbitadachfrakturen können ebenfalls auftreten. Patienten können Gesichts- oder Orbital-Schmerzen, Doppelbilder, Enophthalmus, Hypästhesie der Wange und Oberlippe (aufgrund einer Verletzung des infraorbitalen Nervs), Nasenbluten und/oder subkutanes Emphysem haben. Andere Gesichtsfrakturen oder Verletzungen müssen ebenfalls ausgeschlossen werden. Verletzungen des Globus, des Sehnervs und des Gehirns müssen in allen Fällen von Orbitalfrakturen in Betracht gezogen und je nach Bedarf untersucht werden.
Die Diagnose wird am besten unter Verwendung einer CT mit dünnen Schnitten durch die Gesichtsknochen gestellt. Wenn die Motilität des Auges beeinträchtigt ist (z. B. Doppelbilder), sollten die Augenmuskeln auf Anzeichen von Einklemmung untersucht werden.
Wenn Diplopie oder klinisch signifikanter Enophthalmus vorliegen, kann eine chirurgische Reparatur indiziert sein. Viele, wenn nicht sogar die meisten Patienten mit Orbitabodenfrakturen können jedoch konservativ und ohne Operation behandelt werden. Die Patienten sollten darauf hingewiesen werden, die Nase nicht zu schneuzen, um ein orbitales Kompartmentsyndrom durch Luftrückfluss zu vermeiden (7). Die Anwendung eines topischen intranasalen Vasokonstriktors für 2 bis 3 Tage kann Nasenbluten lindern. Orale Antibiotika könnten verwendet werden, wenn Patienten eine Sinusitis haben.
Orbitales Kompartmentsyndrom
Das orbitale Kompartmentsyndrom (OCS) ist ein ophthalmologischer Notfall. Eine OCS tritt auf, wenn der Druck in der Augenhöhle plötzlich ansteigt, in der Regel aufgrund eines Traumas, das eine Orbitalblutung verursacht. Alles, was das Orbitalvolumen vergrößert (Luft, Blut oder Eiter in der Orbita), kann zu einem orbitalen Kompartmentsyndrom (OCS) führen. Zu den Symptomen gehören plötzlicher Sehverlust, Diplopie, Augenschmerzen und Lidschwellungen (8).
Die körperlichen Untersuchungsbefunde können Visusreduktion, Chemosis, Ekchymose, eingeschränkte und/oder schmerzhafte Augenmotilität, afferenter Pupillendefekt, Proptosis, Ophthalmoplegie und erhöhter Augeninnendruck (IOP) umfassen. Die Diagnose erfolgt klinisch, und die Behandlung sollte für die Bildgebung nicht verzögert werden (9).
Die Behandlung besteht in einer sofortigen lateralen Kanthotomie und Kantholyse (chirurgische Freilegung der lateralen Kanthalsehne mit Inzision ihres inferioren Astes), gefolgt von:
Überwachung bei möglicher stationärer Hospitalisierung mit Erhöhung des Kopfendes des Bettes auf 45°
Behandlung des erhöhten Augeninnendrucks; in der akuten Phase kann intravenöses Mannitol zur kurzfristigen Überbrückung verabreicht werden (sofern keine systemischen oder neurochirurgischen Kontraindikationen vorliegen) (10)
Umkehrung jeglicher Koagulopathie
Vorbeugung einer weiteren Erhöhung des intraorbitalen Druckes (Verhinderung oder Minimierung von Schmerzen, Übelkeit, Husten, Anstrengung, schwerer Hypertonie)
Anwendung von Eis oder kühlen Kompressen
Eine ophtalmologische Konsultation zur Erwägung einer Operation und/oder anderer spezialisierter Behandlungen ist angezeigt; die medikamentöse Therapie sollte die Konsultation und die chirurgische Erwägung nicht verzögern."
Literatur
1. Bhagat N, Nagori S, Zarbin M. Post-traumatic infectious endophthalmitis. Surv Ophthalmol 6(3):214-251, 2011. doi: 10.1016/j.survophthal.2010.09.002
2. Parchand S, Agrawal D, Ayyadurai N, et al: Sympathetic ophthalmia: A comprehensive update. Indian J Ophthalmol 70(6):1931-1944, 2022. doi: 10.4103/ijo.IJO_2363_21
3. Knox FA, Best RM, Kinsella F, et al: Management of endophthalmitis with retained intraocular foreign body. Eye (Lond) 18(2):179-182, 2004. doi: 10.1038/sj.eye.6700567
4. Deans R, Noël LP, Clarke WN. Oral administration of tranexamic acid in the management of traumatic hyphema in children. Can J Ophthalmol 27(4):181-183, 1992. PMID: 1633590
5. Woreta FA, Lindsley KB, Gharaibeh A, Ng SM, Scherer RW, Goldberg MF. Medical interventions for traumatic hyphema. Cochrane Database Syst Rev 3(3):CD005431, 2023. doi: 10.1002/14651858.CD005431.pub5
6. Iftikhar M, Canner JK, Hall L, Ahmad M, Srikumaran D, Woreta FA. Characteristics of orbital floor fractures in the United States from 2006 to 2017. Ophthalmology 128(3):463-470, 2021. doi: 10.1016/j.ophtha.2020.06.065
7. Kersten RC, Vagefi MR, Bartley GB. Orbital "blowout" fractures: Time for a new paradigm. Ophthalmology 125(6):796-798, 2018. doi: 10.1016/j.ophtha.2018.02.014
8. Papadiochos I, Petsinis V, Sarivalasis S-E: Acute orbital compartment syndrome due to traumatic hemorrhage: 4-year case series and relevant literature review with emphasis on its management. Oral Maxillofac Surg 27(1):101-116, 2023. doi: 10.1007/s10006-021-01036-9
9. Hatton MP, Rubin PA. Management of orbital compartment syndrome. Arch Ophthalmol 125(3):433-434, 2007; author reply 434. doi: 10.1001/archopht.125.3.433-b
10. Johnson D, Winterborn A, Kratky V. Efficacy of intravenous mannitol in the management of orbital compartment syndrome: A nonhuman primate model. Ophthalmic Plast Reconstr Surg 32(3):187-190, 2016. doi: 10.1097/IOP.0000000000000463
Wichtige Punkte
Ein Hyphaema, am besten durch Spaltlampenuntersuchung diagnostiziert, erfordert Bettruhe mit Kopfanhebung in einem Winkel von 30–45° und eine engmaschige Überwachung des Augeninnendrucks.
Patienten müssen chirurgisch behandelt werden, wenn sie Blowout-Frakturen haben, die eine andauernde Diplopie oder einen inakzeptablen Enophthalmus verursachen.
Führen Sie bei Patienten mit orbitalem Kompartmentsyndrom sofort eine laterale Kanthotomie und eine inferiore Kantholyse durch und holen Sie sofort eine ophthalmologische Konsultation ein.
Bulbusverletzungen können Bulbusrisse, Katarakt, Linsendislokation, Glaukom, Glaskörperhämorrhagie oder Schädigungen der Netzhaut (Blutungen, Ablösung oder Ödem) verursachen.
Behandeln Sie Fremdkörper, indem Sie das Fremdmaterial entfernen, ein topisches Antibiotikum verschreiben und manchmal ein Zykloplegikum verabreichen.
Ein intraokularer Fremdkörper sollte vermutet werden, wenn Fluoreszein von einem Hornhautdefekt abfließt, wenn die Pupille unregelmäßig ist oder wenn der Verletzungsmechanismus eine Hochgeschwindigkeitsmaschine (z.B. Bohrer, Säge, alles mit einem Metall-auf-Metall-Mechanismus), Hämmern oder eine Explosion umfasst.
Verbinden Sie niemals ein Auge mit einer vermuteten penetrierenden Verletzung. Verwenden Sie immer nur einen Augenschutz.
Bei intraokulären Fremdkörpern werden systemische und topische Antibiotika angewendet, ein Schutzverband angebracht, Schmerzen und Übelkeit kontrolliert und ein Ophtalmologen für die chirurgische Entfernung konsultiert.



