Die intrazerebrale Blutung ist eine fokale Blutung aus einem Blutgefäß in das Hirnparenchym. Die häufigste Ursache ist Hypertonie. Typische Symptome umfassen fokale neurologische Defizite, häufig mit plötzlich beginnendem Kopfschmerz, Übelkeit und Bewusstseinsstörungen. Die Diagnose erfolgt durch CT oder MRT. Die Behandlung schließt Blutdruckkontrollen, unterstützende Maßnahmen und bei einigen Patienten die chirurgische Entfernung ein.
Die meisten intrazerebralen Blutungen ereignen sich im Bereich der Basalganglien, der Großhirnlappen, dem Kleinhirn oder der Pons. Die häufigste Lokalisation für Blutungen aufgrund von Hypertonie ist das Putamen. Hirnblutungen können auch in anderen Teilen des Hirnstamms oder im Mittelhirn auftreten.
Ätiologie der intrazerebralen Blutung
Die intrazerebrale Blutung wird meist verursacht durch die Ruptur einer kleinen arteriosklerotisch veränderten Arterie, die eine Wandschwäche aufweist, v. a. bei einer chronischen arteriellen Hypertonie. Eine solche Blutung ist in der Regel groß, einzelnd und in ihren Auswirkungen katastrophal. Andere veränderbare Risikofaktoren, die zu arteriosklerotischen hypertensiven intrazerebralen Blutungen beitragen, sind Rauchen, Übergewicht und eine Hochrisiko-Diät (z. B. hoher Anteil an gesättigten Fettsäuren, Transfettsäuren, und Kalorien). Kokainkonsum oder fallweise auch der Gebrauch anderer sympathomimetischer Drogen oder Arzneimittel kann vorübergehende schwere hypertensive Entgleisungen verursachen, die zu Blutungen führen.
Seltener beruht eine intrazerebrale Blutung auf einem angeborenen Aneurysma, arteriovenösen Fehlbildungen, anderen Gefäßfehlbildungen, einem Trauma, einem mykotischen Aneurysma, einem Hirninfarkt (hämorrhagischer Infarkt), primären oder metastatischen Hirntumoren, exzessiver Antikoagulation, gestörter Blutzusammensetzung, intrakranialer arterieller Dissektion, Moyamoya-Krankheit oder einer Blutungsstörung oder Vaskulitis. Zu den häufigsten Ursachen für metastasierende intrazerebrale Blutungen gehören Melanome, Nierenzellkarzinome und Choriokarzinome.
Lobäre intrazerebrale Blutungen (Hämatome in den Hirnlappen, außerhalb der Basalganglien) sind meist die Folge einer Angiopathie aufgrund von Amyloidablagerungen in Hirnarterien (zerebrale Amyloidangiopathie) und betreffen vorwiegend ältere Patienten. Lobäre Blutungen können mehrfach auftreten und immer wiederkehren.
Pathophysiologie der intrazerebralen Blutung
Die chronische arterielle Hypertonie führt zur Bildung von Mikroaneurysmen (Charcot-Bouchard-Aneurysmen) in kleinen perforierenden Arterien, die rupturieren und eine intrazerebrale Blutung verursachen können.
Blut aus einer intrazerebralen Blutung sammelt sich als Raumforderung, die durch angrenzendes Hirngewebe sickern und dieses komprimieren kann und damit eine neuronale Funktionsstörung verursacht. Große Hämatome lassen den intrakraniellen Druck ansteigen. Der Druck durch supratentorielle Hämatome und das Begleitödem kann eine transtentorielle Einklemmung des Gehirns verursachen, den Hirnstamm komprimieren und häufig sekundäre Blutungen im Mittelhirn und in der Pons verursachen.
Wenn die Blutung in das Ventrikelsystem eindringt (intraventrikuläre Blutung), kann das Blut einen akuten Hydrozephalus verursachen, der ein unabhängiger Prädiktor für ein schlechteres Ergebnis nach einer intrazerebralen Blutung ist. Kleinhirnhämatome können sich ausdehnen und zur Blockade des IV. Ventrikels führen und damit ebenfalls einen akuten Hydrozephalus verursachen, oder sie können sich in den Hirnstamm einschneiden. Zerebelläre Hämatome mit einem Durchmesser > 3 cm können eine Verschiebung oder einen Vorfall der Mittellinie verursachen.
Durch Herniation, Mittelhirn- oder Pons-Blutung, intraventrikuläre Blutung, akuten Hydrozephalus oder Dissektion in den Hirnstamm kann das Bewusstsein gestört und Koma und Tod verursacht werden.
Symptome und Anzeichen einer intrazerebralen Blutung
Typischerweise beginnen die Symptome einer interzerebralen Blutung mit plötzlichem Kopfschmerz, häufig bei körperlicher Aktivität. Jedoch kann der Kopfschmerz auch leicht sein oder bei Älteren ganz fehlen. Bewusstseinsverlust ist häufig, oft innerhalb von Sekunden oder wenigen Minuten. Übelkeit, Erbrechen, Delir und fokale oder generalisierte Anfälle sind ebenfalls häufig.
Die neurologischen Defizite treten meist plötzlich auf und sind progressiv. Große Blutungen, die in den Hemisphären lokalisiert sind, führen zur Hemiparese; wenn sie in der hinteren Schädelgrube gelegen sind, verursachen sie Kleinhirn- oder Hirnstammdefizite (z. B. konjugierte Blickdeviation oder Ophthalmoplegie, röchelnde Atmung, Stecknadelpupillen, Koma).
Große Blutungen führen bei etwa der Hälfte der Patienten innerhalb weniger Tage zum Tod. Bei Überlebenden kehrt das Bewusstsein zurück, und die neurologischen Defizite vermindern sich nach und nach in unterschiedlichem Umfang, so wie das ausgetretene Blut resorbiert wird. Einige Patienten haben erstaunlich wenige neurologische Defizite, weil eine Blutung das Hirngewebe weniger zerstört als eine Infarzierung.
Kleine Blutungen können fokale Defizite ohne Bewusstseinsstörung verursachen, mit minimalen oder ohne Kopfschmerzen und mit Übelkeit. Kleine Blutungen können klinisch einen ischämischen Insult imitieren.
Diagnose der intrazerebralen Blutung
Zerebrale Bildgebung
Die Diagnose einer intrazerebralen Blutung. liegt nahe bei plötzlichem Kopfschmerz, fokalen neurologischen Defiziten und gestörtem Bewusstein, besonders bei Patienten mit Risikofaktoren.
Intrazerebrale Blutung muss unterschieden werden von
Andere Ursachen für akute neurologische Defizite (z. B. Beschlagnahme, Hypoglykämie)
Der Blutzuckerspiegel sollte sofort am Krankenbett gemessen werden.
Es werden ein Gesamtblutbild (CBC) und Gerinnungstests (International Normalized Ratio [INR], partielle Thromboplastinzeit [PTT]) durchgeführt.
Sofortige Computertomographie oder MRT sind notwendig. Zerebrale Bildgebung führt in der Regel zur Diagnose. Wenn die neurologische Bildgebung keine Blutung zeigt, aber klinisch der Verdacht auf eine Subarachnoidalblutung besteht, ist eine Lumbalpunktion notwendig um nach Xanthochromie zu suchen.
Eine CT-Angiographie, innerhalb von Stunden nach Ausbruch der Blutung durchgeführt, kann Bereiche zeigen, wo Kontrast in das Gerinnsel extravasiert (Spot-Zeichen); dieser Befund zeigt, dass die Blutung andauert und legt nahe, dass sich das Hämatom erweitern wird und das Ergebnis schlecht sein wird.
Die erhöhte Dichte im linken Gehirn auf diesem nicht kontrastverstärkten CT ist konsistent mit einer intrazerebralen Blutung.
© 2017 Elliot K. Fishman, MD.
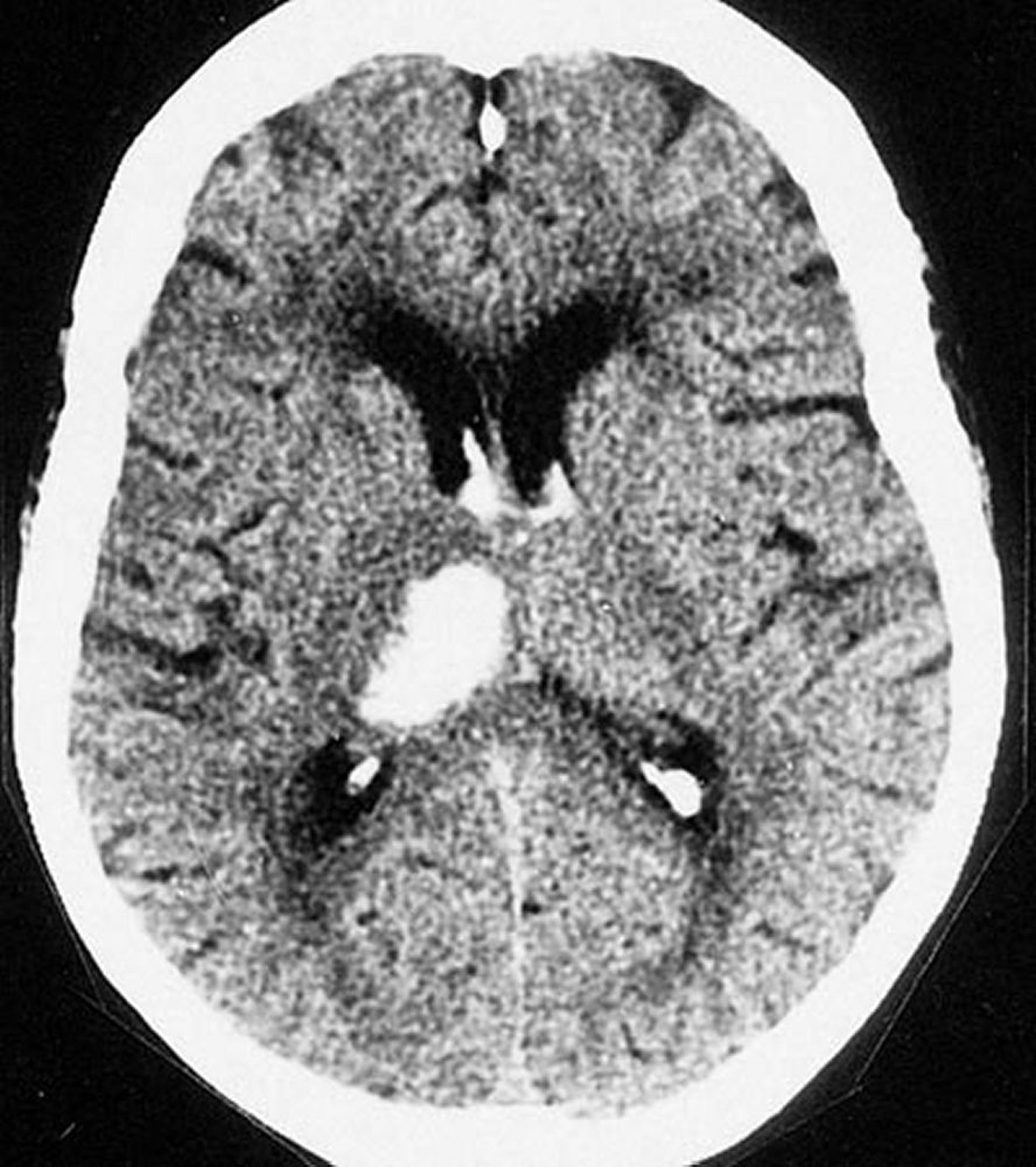
Diese CT-Aufnahme zeigt eine Blutung im Thalamus. Intrazerebrale Blutungen treten am häufigsten im Thalamus und in den Basalganglien auf.
By permission of the publisher. From Furie K, et al. In Atlas of Clinical Neurology. Edited by RN Rosenberg. Philadelphia, Current Medicine, 2002.
Behandlung der intrazerebralen Blutung
Unterstützende Maßnahmen
Kontrolle der veränderbaren Risikofaktoren
Manchmal chirurgische Ausräumung (z. B. bei vielen Kleinhirnhämatomen > 3 cm)
Die Behandlung der intrazerebralen Blutung umfasst unterstützende Maßnahmen und die Kontrolle der beeinflussbaren Risikofaktoren.
Antikoagulanzien und Thrombozytenaggregationshemmer sind kontraindiziert. Wenn die Patienten Antikoagulanzien eingenommen haben, werden die Effekte nach Möglichkeit antagonisiert durch die Gabe von Fresh-Frozen-Plasma, Prothrombinkomplex-Konzentrat, Vitamin K oder die Infusion von Thrombozytenkonzentraten, wenn indiziert. Antidote für direkte orale Antikoagulanzien sind Idarucizumab für Dabigatran und Andexanet alfa für Apixaban und Rivaroxaban.
Wie von den Leitlinien der American Heart Association und der American Stroke Association 2022 empfohlen, kann Hypertonie sicher auf systolische Blutdruckwerte von 140 mmHg abgesenkt werden, wenn der systolische Blutdruck zwischen 150 mmHg und 220 mmHg liegt und eine akute antihypertensive Behandlung nicht kontraindiziert ist (1). Wenn der systolische Blutdruck > 220 mmHg beträgt, kann der Bluthochdruck aggressiv mit einer kontinuierlichen i.v. Infusion von Nicardipin behandelt werden, mit sorgfältig titrierten Dosen und häufiger Überwachung des systolischen Blutdrucks, um ihn um 10 % bis 15 % zu senken. Ziel ist es, hohe Blutdruckspitzen und -schwankungen zu vermeiden, um eine nachhaltige Blutdruckkontrolle zu gewährleisten und die funktionellen Ergebnisse zu verbessern. Es wird empfohlen, den Blutdruck in der Nähe von 140/80 mmHg zu halten und häufig zu überwachen, um hypotensive Episoden zu vermeiden. Bei Patienten mit einem systolischen Blutdruck von über 150 mmHg kann eine plötzliche Senkung auf Werte unter 120 mmHg zu schlechten Ergebnissen führen (z. B. akute Nierenschäden).
Bei Hämatomen in den Kleinhirnhemisphären, die Durchmesser > 3 cm aufweisen und eine Verlagerung oder Herniation der Mittellinie verursachen können, ist die chirurgische Ausräumung oft lebensrettend. Auch die frühe Evakuierung eines großen zerebralen Hemisphärenhämatoms kann lebensrettend sein, allerdings kommen erneute Blutungen häufig vor, manchmal mit Zunahme der neurologischen Ausfälle. Eine frühe operative Ausräumung tiefliegender zerebraler Hämatome ist selten angezeigt, weil die operative Mortalität hoch ist und die neurologischen Defizite meist schwer sind.
Da das Vorhandensein eines Hydrozephalus ein schlechteres Outcome nach einer intrazerebralen Blutung voraussagt, können Chirurgen eine externe ventrikuläre Drainage legen, um den intrakraniellen Druck schnell zu senken. Dieser Eingriff kann lebensrettend sein.
Antikonvulsiva werden nur eingesetzt, wenn Patienten einen epileptischen Anfall hatten, jedoch in der Regel nicht prophylaktisch verabreicht.
Literatur zur Therapie
1. Greenberg SM, Ziai WC, Cordonnier C, et al. 2022 Guideline for the management of patients with spontaneous intracerebral hemorrhage: A guideline from the American Heart Association/American Stroke Association. Stroke. 53 (7):e282–e361, 2022. doi: 10.1161/STR.0000000000000407 Epub 2022 May 17.
Wichtige Punkte
Bei einer intrazerebralen Blutung sind plötzliche, schwere Symptome (z. B. plötzlich starke Kopfschmerzen, Bewusstseinsverlust, Erbrechen) häufig, aber Kopfschmerzen können auch fehlen oder mild sein (insbesondere bei älteren Menschen), und kleine Blutungen können einen ischämischen Schlaganfall imitieren.
Führen sie sofort eine CT oder MRT und einen Nachtglukosetest durch.
Zu den wesentlichen unterstützenden Maßnahmen gehören die Umkehrung der Antikoagulation und die Senkung des Blutdrucks auf 140 mmHg, wenn der systolische Blutdruck zwischen 150 mmHg und 220 mmHg liegt; bei einem systolischen Blutdruck von mehr als 220 mmHg ist eine aggressive Blutdrucksenkung durch kontinuierliche Infusion von intravenösem Nicardipin zu erwägen.
Vermeiden Sie Blutdruckschwankungen und halten Sie den systolischen Blutdruck < 140 mmHg, aber nicht niedriger als 130 mmHg.
Ziehen Sie eine chirurgische Entfernung für große lobare zerebrale Hämatome und Hämatome > 3 cm in einer Kleinhirnhemisphäre in Betracht.
Bei ausgewählten Patienten mit Anzeichen eines Hydrozephalus und erhöhtem intrazerebralen Druck ist die Anlage einer externen Ventrikeldrainage in Betracht zu ziehen.



