Lymphangioleiomyomatose (LAM) bezeichnet das geringe, progressive Wachstum glatter Muskelzellen im Bereich der gesamten Lungen, der pulmonalen Blutgefäße, des Lymphsystems und der Pleura. Sie ist selten und tritt meist bei jungen Frauen auf. Zu den Symptomen zählen Dyspnoe, Husten, Thoraxschmerzen und Hämoptysen; chylöse Ergüsse und Spontanpneumothorax sind häufig. Die Diagnose wird anhand der Symptome und der Ergebnisse der Thoraxaufnahme vermutet und durch eine hochauflösende CT bestätigt. Die Behandlung erfolgt mit Sirolimus oder durch Lungentransplantation. Die Prognose ist ungewiss. Die Erkrankung verläuft jedoch langsam progredient und führt im Laufe von Jahren häufig zu respiratorischer Insuffizienz und Tod.
Die Lymphangioleiomyomatose (LAM) ist eine seltene Krankheit, die in der Regel Frauen zwischen 20 und 40 Jahren betrifft. Weiße Frauen sind am stärksten gefährdet. LAM betrifft < 1 von 1 Million Menschen pro Jahr (1); jedoch steigt mit Fortschritten beim Screening die Prävalenz (2).
Lymphangioleiomyomatose ist gekennzeichnet durch eine Proliferation atypischer glatter Muskelzellen im gesamten Thorax, einschließlich des Lungenparenchyms, der Blutgefäße, des Lymphsystems und der Pleura, was zu Veränderungen der Lungenarchitektur, zystischem Emphysem und fortschreitender Verschlechterung der Lungenfunktion führt.
Allgemeine Literatur
1. Harknett EC, Chang WY, Byrnes S, et al. Use of variability in national and regional data to estimate the prevalence of lymphangioleiomyomatosis. QJM 2011;104(11):971-979. doi:10.1093/qjmed/hcr116
2. Lynn E, Forde SH, Franciosi AN, et al. Updated Prevalence of Lymphangioleiomyomatosis in Europe. Am J Respir Crit Care Med 2024;209(4):456-459. doi:10.1164/rccm.202310-1736LE
Ätiologie der Lymphangioleiomyomatose
Die Ursache der Lymphangioleiomyomatose wird auf Funktionsverlust-Mutationen der Proteine Tuberin und Hamartin zurückgeführt, die mit der tuberösen Sklerose assoziiert sind. Eine unregulierte Expression von Wachstumsfaktoren wird mit der Pathogenese in Verbindung gebracht. Die Hypothese, dass weibliche Geschlechtshormone eine pathogenetische Rolle spielen, ist nicht bewiesen.
Die Erkrankung tritt in der Regel spontan auf, weist jedoch viele Ähnlichkeiten mit den pulmonalen Befunden der tuberösen Sklerose auf; die LAM tritt bei einigen Patienten mit tuberöser Sklerose auf und wird von manchen als eine "forme fruste" der tuberösen Sklerose angesehen. Mutationen im tuberösen Sklerose-Komplex-2-Gen (TSC-2) wurden bei LAM-Zellen und Angiomyolipomen (benigne renale Hamartome, die aus glatter Muskulatur, Blutgefäßen und Fettgewebe entstehen) beschrieben. Angiomyolipome treten bei bis zu 50% der Patienten mit LAM auf. Diese Beobachtungen legen 1 von 2 Möglichkeiten nahe:
Somatisches Mosaik von TSC-2 -Mutationen in Lunge und Nieren führt zu Krankheitsherden, die zusätzlich vor einem Hintergrund normaler Zellen in diesen Geweben vorkommen (obwohl viele verschiedene Krankheitsherde erwartet werden könnten) Diese Mutationen führen zu einer unregulierten Überexpression von Wachstumsfaktoren (z.B. vaskulärer endothelialer Wachstumsfaktor [VEGF], Insulin-ähnlicher Wachstumsfaktor [IGF], Thrombozyten-abgeleiteter Wachstumsfaktor [PDGF], Fibroblasten-Wachstumsfaktor [FGF]), von denen ebenfalls angenommen wird, dass sie zur Krankheitsprogression beitragen. Matrix-Metalloproteinasen und Cathepsine können für die Zellmigration und -differenzierung verantwortlich sein und so zum Gewebeumbau beitragen.
Die Lymphangioleiomyomatose stellt eine niedriggradige, destruktive, metastasierende Neoplasie dar, möglicherweise uterinen Ursprungs, die sich über das lymphatische System ausbreitet.
Symptome und Anzeichen von Lymphangioleiomyomatose
Erste Symptome der Lymphangioleiomyomatose sind Fatigue und Dyspnoe (insbesondere bei körperlicher Belastung). Diese Symptome können als Erstsymptome von Asthma oder chronisch obstruktiver Lungenerkrankung (COPD) fehlgedeutet werden. Seltener können Husten, Brustschmerzen und Hämoptyse auftreten. Es gibt nur wenige objektivierbare Untersuchungsbefunde. Manche Frauen weisen feuchte RG und Giemen auf. Selten tritt eine pulmonale Hypertonie auf.
Viele Patienten stellen sich mit einem spontanen Pneumothorax sowie mit Pleuraergüssen vor. Sie können sich auch mit Manifestationen einer axialen Lymphadenopathie vorstellen, die oft eine lymphatische Obstruktion verursacht, einschließlich Chylothorax, chylösem Aszites und Chylurie. Symptome scheinen sich während der Schwangerschaft zu verschlechtern.
Renale Angiomyolipome können, obwohl sie in der Regel asymptomatisch sind, Blutungen verursachen, wenn sie sehr ausgedehnt sind (z. B. > 4 cm), die sich typischerweise in Hämaturie oder Flankenschmerzen äußern.
Diagnose von Lymphangioleiomyomatose
Röntgenthorax und hochauflösende CT (HRCT)
Lungenfunktionsprüfung
Untersuchung des VEGF-D
Lungenbiopsie, wenn Hochauflösende CT und VEGF-D-Test nicht zur Diagnose führen.
Die Diagnose der Lymphangioleiomyomatose wird bei jungen Frauen mit Dyspnoe und interstitiellen Veränderungen mit normalen oder vergrößerten Lungenvolumina auf dem Röntgenthoraxbild, Spontanpneumothorax oder chylösem Pleuraerguss vermutet (1). Die Lymphangioleiomyomatose wird häufig fälschlicherweise als eine andere Form der interstitiellen Lungenerkrankung diagnostiziert.
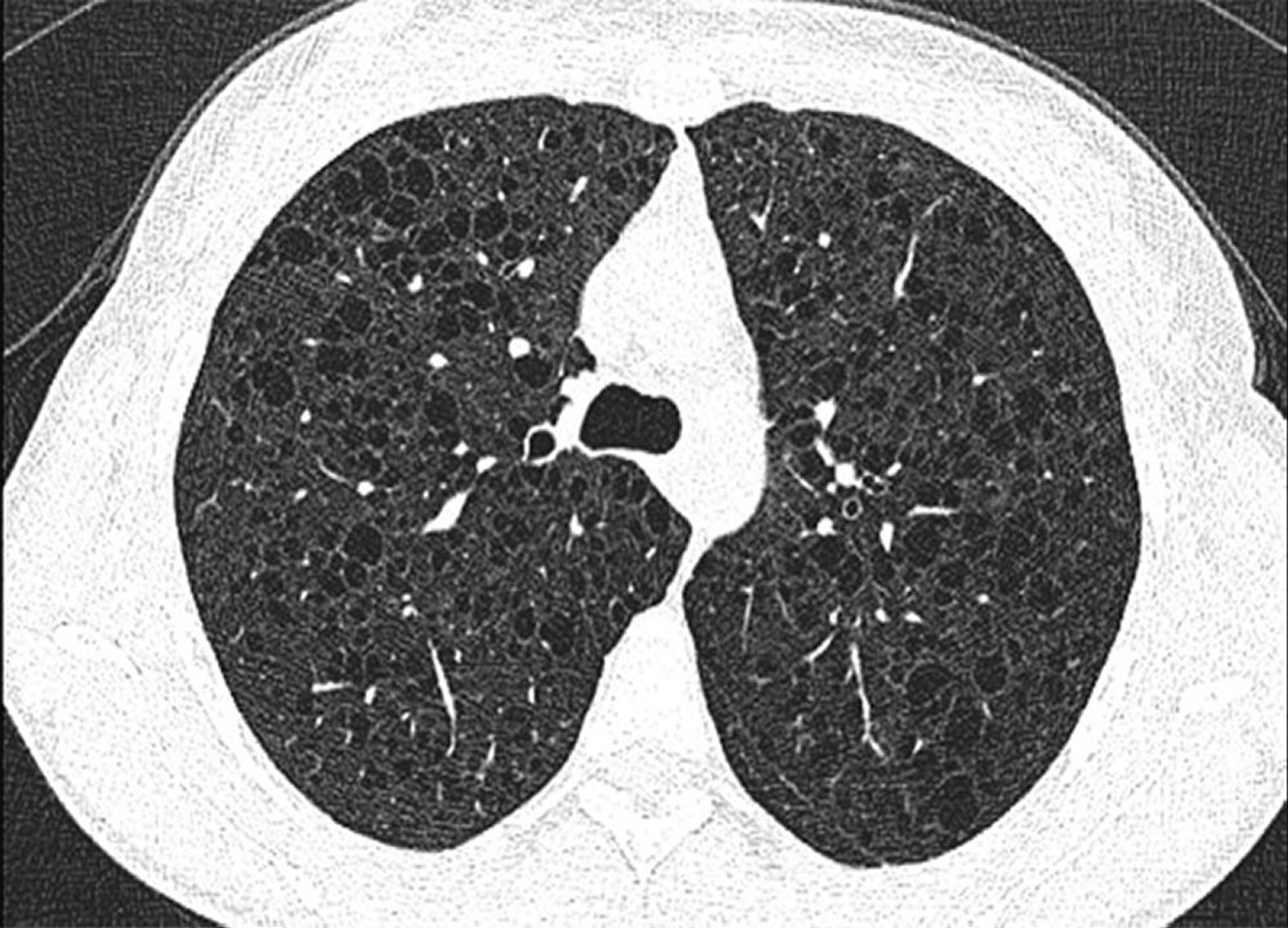
Eine HRCT wird bei allen Patienten mit Verdacht auf die Erkrankung empfohlen; Der Nachweis mehrerer kleiner, diffus verteilter, dünnwandiger Zysten ist in der Regel pathognomonisch für LAM. Pneumothorax, Pleuraergüsse und chylöse Ergüsse (im Thorax oder Abdomen) können in der Bildgebung sichtbar sein.
Dieses Bild zeigt diffuse Zysten in beiden Lungen bei einem Patienten mit Lymphangioleiomyomatose.
Image courtesy of Joyce Lee, MD, MAS.
Ein VEGF-D-Serumtest (vaskulärer endothelialer Wachstumsfaktor D) wird empfohlen. Die VEGF-D-Spiegel im Serum sind bei der Mehrheit der Frauen mit LAM erhöht und bei Frauen mit anderen Formen der zystischen Lungenerkrankung normal. Ein erhöhter VEGF-D Wert kann LAM bestätigen, aber ein normaler Wert schließt die Diagnose nicht aus (2).
Eine Biopsie (chirurgisch) ist nur dann angezeigt, wenn die Hochauflösende CT -Befunde und der VEGF-D-Test nicht diagnostisch sind. Der histologische Befund einer pathologischen Proliferation glatter Muskelzellen (LAM-Zellen) in Verbindung mit zystischen Veränderungen bestätigt die Diagnose.
Lungenfunktionsprüfungen stützen die Diagnose und sind besonders hilfreich zur Verlaufskontrolle. Typische Befunde sind Obstruktion oder eine gemischte obstruktive und restriktive Ventilationsstörung. Die Lungen sind normalerweise überbläht mit Erhöhung der totalen Lungenkapazität (TLC) und des intrathorakalen Gasvolumens. Eine Lungenüberblähung (Erhöhung des Residualvolumens [RV] und des RV/TLC-Verhältnisses) liegt häufig vor. Der arterielle Sauerstoffpartialdruck (PaO₂) und die Diffusionskapazität der Lunge für Kohlenmonoxid (DLCO) sind häufig vermindert. Die körperliche Belastbarkeit ist bei den meisten Patientinnen vermindert.
Literatur zur Diagnose
1. McCarthy C, Gupta N, Johnson SR, Yu JJ, McCormack FX. Lymphangioleiomyomatosis: pathogenesis, clinical features, diagnosis, and management. Lancet Respir Med 2021;9(11):1313-1327. doi:10.1016/S2213-2600(21)00228-9
2. McCormack FX, Gupta N, Finlay GR, et al: Official American Thoracic Society/Japanese Respiratory Society Clinical Practice Guidelines: Lymphangioleiomyomatosis Diagnosis and Management. Am J Respir Crit Care Med 194 (6):748–761, 2016.
Behandlung der Lymphangioleiomyomatose
Sirolimus
Selten Lungentransplantation
Sirolimus (ein mTOR-Hemmer) kann dazu beitragen, die Verschlechterung der Lungenfunktion bei Patienten mit mittelschwerer Lungenfunktionsstörung (forciertes expiratorisches volumen in 1 Sekunde [FEV1] < 70% vorhergesagt) zu stabilisieren oder zu verlangsamen. Die Behandlung mit Sirolimus wird für Patienten mit abnormaler oder abnehmender Lungenfunktion empfohlen (1). Alternative Behandlungsansätze wie hormonelle Manipulation mit Gestagenen, Tamoxifen, Ovarektomie oder eine entzündungshemmende Therapie mit Tetrazyklinen sind weitgehend unwirksam und werden nicht empfohlen.
Der Pneumothorax ist möglicherweise schwierig zu behandeln, da er häufig wiederkehrt, bilateral auftritt und weniger auf Standardmaßnahmen reagiert. Ein rezidivierender Pneumothorax kann eine Pleuraabrasio oder Pleurodese mit Talkum oder anderen Substanzen oder eine Pleurektomie erfordern. Eine Embolisation zur Vermeidung von Blutungen sollte bei Angiomyolipomen > 4 cm in Erwägung gezogen werden.
Die Standardtherapie bei Lymphangioleiomyomatose besteht in einer Lungentransplantation. Die Erkrankung kann jedoch in der transplantierten Lunge wieder auftreten.
Flugreisen werden von den meisten Patienten gut vertragen (2).
Literatur zur Behandlung
1. Feemster LC, Lyons PG, Chatterjee RS, et al. Summary for Clinicians: Lymphangioleiomyomatosis Diagnosis and Management Clinical Practice Guideline. Ann Am Thorac Soc 2017;14(7):1073-1075. doi:10.1513/AnnalsATS.201609-685CME
2. Taveira-DaSilva AM, Burstein D, Hathaway OM, et al. Pneumothorax after air travel in lymphangioleiomyomatosis, idiopathic pulmonary fibrosis, and sarcoidosis. Chest 2009;136(3):665-670. doi:10.1378/chest.08-3034
Prognose für Lymphangioleiomyomatose
Die Prognose für Patienten mit Lymphangioleiomyomatose ist unklar, weil die Erkrankung so selten vorkommt und der klinische Verlauf von Patienten mit LAM variabel ist. Im Allgemeinen verläuft eine LAM langsam progredient, führt im Laufe der Zeit zu respiratorischer Insuffizienz und Tod. Die geschätzten 10-Jahres-Überlebensraten sind unterschiedlich, liegen aber über 90% und sind günstiger als bisher angenommen (1). Frauen sollten darüber aufgeklärt werden, dass die Erkrankung während einer Schwangerschaft schneller fortschreiten kann.
Hinweis zur Prognose
1. Gupta N, Lee HS, Ryu JH, et al. The NHLBI LAM Registry: Prognostic Physiologic and Radiologic Biomarkers Emerge From a 15-Year Prospective Longitudinal Analysis. Chest 2019;155(2):288-296. doi:10.1016/j.chest.2018.06.016
Wichtige Punkte
Die Lymphangioleiomyomatose (LAM) kann eine interstitielle Lungenerkrankung imitieren, ist aber eigentlich ein seltenes, langsam progredientes Wachstum von glatten Muskelzellen in verschiedenen Organen, einschließlich der Lungen.
Diese Diagnose sollte bei jungen Frauen mit ungeklärter Dyspnoe und interstitiellen Veränderungen mit normalen oder erhöhten Lungenvolumina auf dem Röntgenthoraxbild, Spontanpneumothorax oder chylösem Pleuraerguss in Betracht gezogen werden.
Führen Sie hochauflösende CT und VEGF-D (vascular endothelial growth factor D)-Tests durch; wenn die Ergebnisse nicht schlüssig sind, ziehen Sie eine chirurgische Lungenbiopsie in Betracht.
Ziehen Sie eine Sirolimus-Behandlung für LAM mit abnormaler oder progressiv abnehmender Lungenfunktion in Betracht.
Weitere Informationen
Die folgenden englischsprachigen Quellen können nützlich sein. Bitte beachten Sie, dass das MSD-Manual nicht für den Inhalt dieser Quelle verantwortlich ist.



