Tiefe Venenthrombose (TVT)

VonJames D. Douketis, MD, McMaster University
Reviewed ByJonathan G. Howlett, MD, Cumming School of Medicine, University of Calgary
Überprüft/überarbeitet Dez. 2023 | Geändert Jan. 2024
v940913_de
Aussicht hier klicken.

Die tiefe Venenthrombose (TVT) führt zu einem Blutgerinnsel in einer tiefen Beinvene einer Extremität (üblicherweise Ober- oder Unterschenkel) oder im Becken. Eine tiefe Venenthrombose ist die führende Ursache der Lungenembolie. Eine tiefe Venenthrombose entsteht unter Bedingungen, die den venösen Rückfluss behindern, die zu Endothelverletzung und -dysfunktion oder zu einer Hyperkoagulabilität führen. Tiefe Venenthrombose können asymptomatisch sein oder zu Schmerzen und Schwellungen in einer Extremität führen; die Lungenembolie ist eine unmittelbare Komplikation. Die Diagnose wird gestellt durch Anamnese und körperliche Untersuchung und wird durch objektive Tests bestätigt, in der Regel mit Duplex-Sonographie. Bei Verdacht auf eine TVT wird manchmal ein D-Dimer-Test durchgeführt; ein negatives Ergebnis hilft, eine TVT auszuschließen, während ein positives Ergebnis unspezifisch ist und zusätzliche Tests zur Bestätigung einer TVT erfordert. Die Behandlung erfolgt mit Antikoagulanzien. Die Prognose ist bei umgehender und angemessener Therapie im Allgemeinen gut. Zu den üblichen langfristigen Komplikationen gehören venöse Insuffizienz mit oder ohne postthrombotischem Syndrom.

Eine TVT tritt am häufigsten an den unteren Extremitäten oder im Becken auf (siehe Abbildung Tiefe Beinvenen). TVT ist in den tiefen Venen der oberen Extremitäten seltener (< 5% der Fälle mit TVT) (1).

Tiefen Venen der Beine

Eine tiefe Venenthrombose der unteren Extremitäten kann sehr viel eher zur Lungenembolie (LE) führen, möglicherweise aufgrund der größeren Menge an Blutgerinnsel. Ungefähr 90% der proximalen TVT betreffen die V. femoralis oder poplitea und 10% erstrecken sich weiter nach proximal und betreffen die iliofemoralen Venen (2). Bei Thrombosen der distalen Venen oder der Wadenvenen sind in der Regel die hinteren Schienbein- oder Peronealvenen betroffen. Eine distale oder Wadenvenenthrombose ist weniger wahrscheinlich eine Quelle für große Embolien, kann sich jedoch auf die proximalen Oberschenkelvenen ausbreiten und von dort aus eine Lungenembolie verursachen. Etwa 50% der Patienten mit einer TVT haben okkulte Lungenembolien und etwa 30% der Patienten mit Lungenembolien haben eine nachweisbare TVT (3).

Tipps und Risiken

  • Etwa 50% der Patienten mit tiefe Venenthrombose haben okkulte Lungenembolien.

Allgemeine Literatur

  1. 1. Yamashita Y, Morimoto T, Amano H, et al. Deep vein thrombosis in upper extremities: Clinical characteristics, management strategies and long-term outcomes from the COMMAND VTE Registry. Thromb Res 2019;177:1-9. doi:10.1016/j.thromres.2019.02.029

  2. 2. Douketis JD, Kearon C, Bates S, Duku EK, Ginsberg JS. Risk of fatal pulmonary embolism in patients with treated venous thromboembolism. JAMA 1998;279(6):458-462. doi:10.1001/jama.279.6.458

  3. 3. Stevens SM, Woller SC, Kreuziger LB, et al. Antithrombotic Therapy for VTE Disease: Second Update of the CHEST Guideline and Expert Panel Report [published correction appears in Chest. 2022 Jul;162(1):269]. Chest 2021;160(6):e545-e608. doi:10.1016/j.chest.2021.07.055

Ätiologie der tiefen Venenthrombose

Viele Faktoren können zu einer TVT beitragen (siehe Tabelle Risikofaktoren für tiefe Venenthrombose und Lungenembolie). Krebs ist ein Risikofaktor für tiefe Venenthrombose, vor allem bei älteren Patienten und bei Patienten mit rezidivierender Thrombose. Am stärksten ist der Zusammenhang bei Lungen-, Eierstock-, Magen-, Hirn- oder Pankreaskarzinomen, bei denen 10–15% der Patienten eine VTE entwickeln können (1). Okkulte Krebsarten können bei Patienten mit dem Anschein nach idiopathischer tiefe Venenthrombose vorhanden sein; eine umfangreiche Abklärung von Patienten mit Tumoren ist jedoch nicht zu empfehlen, es sei denn die Patienten weisen Hauptrisikofaktoren für Krebs oder Symptome einer okkulten Krebserkrankung auf.

Hinweis zur Ätiologie

  1. 1. Farge D, Frere C, Connors JM, et al. 2022 international clinical practice guidelines for the treatment and prophylaxis of venous thromboembolism in patients with cancer, including patients with COVID-19. Lancet Oncol 2022;23(7):e334-e347. doi:10.1016/S1470-2045(22)00160-7

Pathophysiologie der tiefen Venenthrombose

Tiefe Venenthrombose der unteren Extremitäten ergibt sich meistens aus

  • Beeinträchtigter venöser Rückfluss (z. B. bei immobilisierten Patienten)

  • Endotheliale Verletzung oder Dysfunktion (z. B. nach Beinfrakturen)

  • Hyperkoagulabilität

Tiefe Venenthrombose der oberen Extremitäten ergibt sich meist aus

  • Eine Endothelverletzung infolge zentralvenöser Katheter, Schrittmacher oder Druckinjektion von Medikamenten

Eine tiefe Venenthrombose der oberen Extremitäten tritt gelegentlich im Rahmen eines Syndroms der V. cava superior auf (Kompression oder Invasion der V. cava superior durch einen Tumor, die zu Symptomen wie Gesichtsschwellung, erweiterten Halsvenen und Gesichtsrötung führt) oder ist die Folge eines hyperkoagulierbaren Zustands oder einer Kompression der V. subclavia an der Thoraxapertur (1). Die Kompression kann aufgrund einer normalen oder einer zusätzlichen ersten Rippe oder eines Faserbandes (Thoracic-outlet-Syndrom) oder während einer anstrengenden Armtätigkeit auftreten (Anstrengungsthrombose oder Paget-Schroetter-Syndrom, was selten ist).

Die tiefe Venenthrombose beginnt üblicherweise in den venösen Klappensegeln. Die Thromben bestehen aus Thrombin, Fibrin und Erythrozythen, mit relativ wenigen Thrombozyten (roter Thrombus); ohne Behandlung können die Thromben nach proximal hin zunehmen oder zur Lunge wandern.

Komplikationen

Zu den häufigen Komplikationen einer TVT gehören

Sehr viel seltener führt eine akute massive TVT zu einer Phlegmasia alba dolens oder einer Phlegmasia cerulea dolens, die beide zu einer venösen Gangrän führen können, wenn sie nicht sofort diagnostiziert und behandelt werden.

Bei der Phlegmasia alba dolens, einer seltenen Komplikation der tiefe Venenthrombose während der Schwangerschaft, wird das Bein milchweiß. Die Pathophysiologie ist unklar, aber Ödeme können den Druck im Weichteilgewebe über den kapillaren Perfusionsdruck hinaus erhöhen, was zu Gewebeischämie und venöser Gangrän führt. Die Phlegmasia alba dolens kann in eine Phlegmasia cerulea dolens übergehen.

Bei der Phlegmasia coerulea dolens verursacht eine massive venöse Thrombose einen nahezu kompletten venösen Verschluss; das Bein wird ischämisch, extrem schmerzhaft und zyanotisch. Die pathophysiologische Usache kann eine komplette Stase des venösen und arteriellen Blutflusses in der unteren Extremität sein, da der venöse Rückfluss verlegt ist oder ein massives Ödem den arteriellen Blutfluss abdrückt. Eine venöse Gangrän kann die Folge sein.

Eine Infektion entwickelt sich selten in venösen Gerinnseln. Eine eiternde Thrombophlebitis (Lemierres-Syndrom), eine bakterielle (üblicherweise durch Anaerobier) Infektion der V. jugularis interna und des umgebenden Weichteilgewebes, kann einer Tonsillopharyngitis folgen und ist durch eine Bakteriämie und Sepsis kompliziert. Bei septischer Beckenvenenthrombophlebitis entwickelt sich der Thrombus postpartal im Beckenbereich, infiziert sich und führt zu intermittierendem Fieber. Eine eiternde (septische) Thrombophlebitis, eine bakterielle Infektion einer Oberflächenvene, umfasst eine Infektion und Blutgerinnsel, was üblicherweise durch das Einlegen eines venösen Katheters bedingt wird.

Hinweis zur Pathophysiologie

  1. 1. Bosch FTM, Nisio MD, Büller HR, van Es N. Diagnostic and Therapeutic Management of Upper Extremity Deep Vein Thrombosis. J Clin Med 2020;9(7):2069. doi:10.3390/jcm9072069

Symptome und Anzeichen der tiefen Venenthrombose

Tiefe Venenthrombose kann bei ambulanten Patienten oder als Komplikation einer Operation oder umfassenden medizinischen Erkrankung auftreten. Bei Patienten, die hospitalisiert werden und ein hohes Risiko aufweisen, treten die meisten tiefen Venenthromben in den kleinen Wadenvenen auf, sind asymptomatisch und werden möglicherweise nicht entdeckt.

Wenn vorhanden, sind die Symptome von tiefe Venenthrombose (z. B. vager Schmerz, Empfindlichkeit entlang der Verteilung der Venen, Ödeme und Erytheme) nicht spezifisch, variieren in der Frequenz und Stärke und sind in den Armen ähnlich wie in den Beinen. Dilatierte oberflächliche Kollateralvenen können sichtbar und tastbar werden, ein Unterschenkelschmerz, der durch Dorsalflexion des Fußes bei ausgestrecktem Knie hervorgerufen wird (Homan-Zeichen), tritt gelegentlich bei distaler tiefer tiefe Venenthrombose des Beines auf, ist aber weder sensitiv noch spezifisch. Eine Empfindlichkeit und Schwellung des ganzen Beines, > 3 cm Umfangdifferenz zwischen den Unterschenkeln, Ödeme und oberflächliche Kollateralvenen können die größte spezifische Genauigkeit haben. Die tiefe Venenthrombose ist bei einer Kombination 3 Risikofaktoren und bei Fehlen einer anderen wahrscheinlichen Diagnose anzunehmen (siehe Tabelle Wahrscheinlichkeite einer tiefen Venenthrombose basierend auf klinischen Faktoren).

Es kann niedriges Fieber vorhanden sein; eine tiefe Venenthrombose kann die Ursache eines FUO (Fieber unbekannter Ursache) sein, besonders bei postoperativen Patienten. Symptome bei auftretender Lungenembolie können Kurzatmigkeit und pleuritische Brustschmerzen sein.

Tabelle
Tabelle

Häufige Ursachen für asymmetrische Beinschwellungen, die eine tiefe Venenthrombose imitieren, sind:

  • Weichteiltrauma

  • Zellulitis

  • Kompression einer Beckenvene

  • Obstruktion eines Lymphgefäßes im Nierenbecken

  • Poplitealzyste (Baker-Zyste), die den venösen Rückfluss behindert

Weniger häufige Ursachen sind Tumoren im Bauch- oder Beckenbereich, die den venösen oder lymphatischen Rückfluss behindern.

Symmetrische beidseitige Beinschwellungen sind das typische Ergebnis der Einnahme von Medikamenten, die ein abhängiges Ödem verursachen (z. B. Dihydropyridin-Kalziumkanalblocker, Östrogene, hochdosierte Opioide), venöser Hypertonie (in der Regel aufgrund einer Rechtsherzinsuffizienz) und Hypoalbuminämie; eine solche Schwellung kann jedoch asymmetrisch sein, wenn gleichzeitig eine venöse Insuffizienz besteht und in einem Bein stärker ausgeprägt ist.

Häufige Ursachen für Wadenschmerzen, die eine akute tiefe Venenthrombose imitieren, sind:

  • Venöse Insuffizienz und postthrombotisches Syndrom

  • Cellulitis, die ein schmerzhaftes Erythem an der Wade verursacht

  • Rupturierte Poplitealzyste (Baker-Zyste; Pseudo-tiefe Venenthrombose), die eine Schwellung der Wade, Schmerzen und manchmal einen Bluterguss in der Region des medialen Knöchels verursacht

  • Teilweise oder vollständige Risse der Wadenmuskeln oder Sehnen

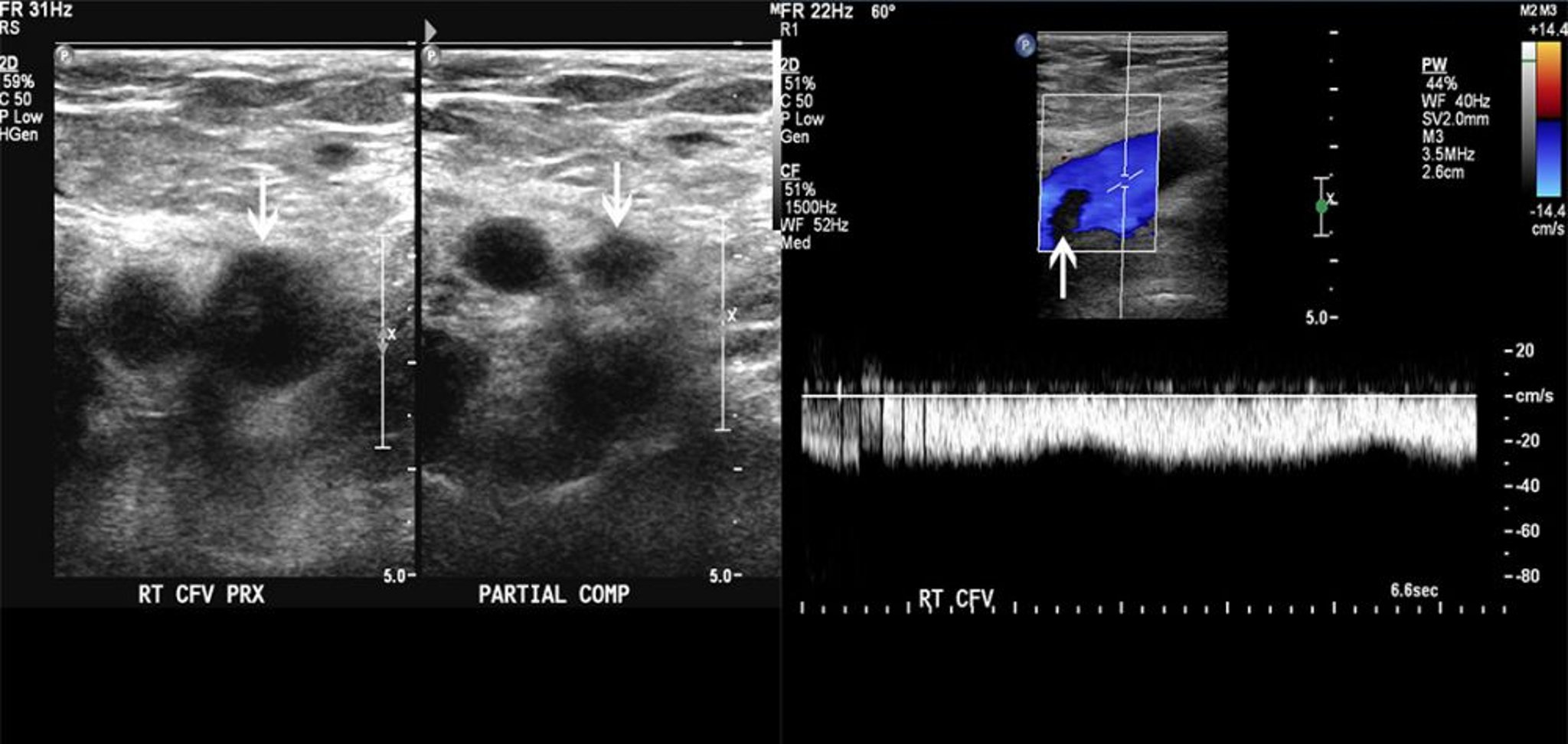
Diagnose der tiefen Venenthrombose

  • Sonographie

  • Manchmal D-Dimer-Test

Anamnese und körperliche Untersuchung helfen die Möglichkeit einer tiefe Venenthrombose vor der weiteren Untersuchungen zu bestimmen (siehe Tabelle Wahrscheinlichkeite einer tiefen Venenthrombose basierend auf klinischen Faktoren). Die Diagnose wird typischerweise durch Sonographie mit Doppler-Flussuntersuchungen gestellt (Duplex-Sonographie). Der Bedarf weiterer Tests (z. B. D-Dimere), ihre Auswahl und Reihenfolge hängen von der Prätestwahrscheinlichkeit und manchmal von den Ergebnissen der Sonographie ab. Es gibt kein einzelnes Testprotokoll, das am besten geeignet ist; ein Ansatz wird in der Abbildung Ein Ansatz zur Untersuchung auf Verdacht auf tiefe Venenthrombose beschrieben.

Ansatz für die Untersuchung bei Verdacht auf eine tiefe Venenthrombose

Sonographie

Die Sonographie weist Thromben nach durch eine direkte Visualisierung der venösen Begrenzung und durch den Nachweis einer veränderten Kompressibilität der Vene oder im Fall von Doppler-Flussmessungen den Nachweis eines veränderten venösen Blutflusses. Der Test hat eine Sensitivität von > 90% und eine Spezifität von > 95% für femorale und popliteale Venenthrombosen, ist aber weniger akkurat bei iliakalen oder Beckenvenenthrombosen (1).

D-Dimer

D-Dimere sind ein Beiprodukt der Fibrinolyse; erhöhte Spiegel sprechen für das Vorhandensein und die Lyse von Thromben. D-Dimer-Messungen variieren in Sensitivität und Spezifität, die meisten sind jedoch sensitiv und nicht spezifisch. Ein positives Testergebnis ist unspezifisch; da das Level durch andere Bedingungen erhöht sein kann (z. B. Leber-Krankheit, Trauma, Schwangerschaft, positive Rheumafaktor, Entzündungen, kürzlich erfolgte Operation, Krebs), sind weiter Untersuchungen erforderlich. Nur die genauesten Tests sollten verwendet werden. Der Enzyme-linked immunosorbent Assay (ELISA) ist zum Beispiel ist ein sehr sensitiver Test mit einer Sensitivität von etwa 95% (2). Auch die D-Dimer-Werte steigen mit dem Alter an, wodurch die Spezifität bei älteren Patienten weiter abnimmt (3).

Die Strategie der abgestuften D-Dimere bei Lungenembolie (PEGeD) ist ein diagnostischer Ansatz für die Lungenembolie, bei dem die D-Dimer-Werte entsprechend der klinischen Vortestwahrscheinlichkeit des Patienten angepasst werden (4):

  • Wenn die Vortestwahrscheinlichkeit einer TVT gering ist, kann eine TVT im Allgemeinen bei Patienten mit einem D-Dimer-Spiegel < 1000 ng/ml (< 5476 nmol/l) mit einem sensitiven Test ausgeschlossen werden.

  • Wenn die Vortestwahrscheinlichkeit einer TVT moderat ist, kann eine TVT bei Patienten mit einem normalen D-Dimer-Spiegel (d. H. < 500 ng/ml) mit einem sensitiven Test ausgeschlossen werden. Bei Patienten mit einem positiven Test sind zusätzliche Untersuchungen erforderlich, um eine TVT auszuschließen.

  • Wenn die Vortestwahrscheinlichkeit einer TVT mittelgradig oder hoch ist, kann der D-Dimer-Test gleichzeitig mit der Duplex-Sonographie durchgeführt werden. Ein positives Ergebnis der Sonographie bestätigt die Diagnose unabhängig vom D-Dimer-Level. Wenn die Sonographie keine Anhaltspunkte für eine tiefe Venenthrombose liefert, hilft ein normales D-Dimer-Level, eine tiefe Venenthrombose auszuschließen. Bei Patienten mit einem erhöhten D-Dimer-Level sollte die Sonographie nach ein paar Tagen wiederholt werden oder es sollten zusätzliche bildgebende Verfahren, wie Venographie, je nach klinischem Verdacht angewandt werden.

Zusätzliche Laboruntersuchungen

Wenn Symptome und Anzeichen auf PE hindeuten, ist eine zusätzliche Bildgebung (z. B. CT-Lungenangiographie oder seltener Beatmung/Perfusions-Scanning[V/Q]) erforderlich.

Alternative Bildgebung

Die kontrastverstärkte computertomographische Venographie und die Magnetresonanz-Venographie sind weitere bildgebende Verfahren, die bei der Diagnose einer TVT selten eingesetzt werden. Sie sind in der Regel für Fälle reserviert, in denen die Ultraschallergebnisse negativ oder unbestimmt sind und ein hoher klinischer Verdacht auf eine TVT weiterhin besteht. Diese bildgebenden Verfahren sind weniger gut für TVT validiert, sind teurer und können mit anderen Komplikationen verbunden sein (z. B. im Zusammenhang mit der Exposition gegenüber Strahlung und Kontrastmitteln).

Die Kontrastmittelvenographie war in der Vergangenheit der maßgebliche Test für die Diagnose einer TVT, wurde jedoch weitgehend durch die Ultraschalluntersuchung ersetzt, die nicht invasiv, leichter verfügbar und fast ebenso genau für die Erkennung von TVT ist.

Bestimmung der Ursache

Patienten mit gesicherter tiefe Venenthrombose und einer offensichtlichen Ursache (z. B. Immobilisation, chirurgischer Eingriff, Beintrauma) benötigen keine weiteren Untersuchungen. Die Untersuchung auf Hyperkoagulabilität ist umstritten, wird aber manchmal bei ausgewählten Patienten mit idiopathischer (oder unprovozierter) TVT oder rezidivierender TVT, bei Patienten mit einer persönlichen oder familiären Anamnese für andere Thrombosen und bei jungen Patienten ohne offensichtliche prädisponierende Faktoren durchgeführt. Einiges deutet darauf hin, dass die Untersuchung auf das Vorhandensein einer Hyperkoagulabilität bei Patienten mit oder ohne klinische Risikofaktoren das Wiederauftreten einer TVT nicht vorhersagt (5, 6, 7).

Die Untersuchung von Patienten mit einer tiefe Venenthrombose im Hinblick auf Krebserkrankungen ist unergiebig. Eine selektive Prüfung durch vollständige Anamnese und körperliche Untersuchung und grundlegende "Routine"-Testungen (komplettes Blutbild, Röntgenthorax, Urinanalyse, Leberenzyme und Elektrolyten, Blut-Harnstoff-Stickstoff und Kreatinin i. S.), ausgerichtet auf die Erkennung von Krebs, ist wahrscheinlich ausreichend. Darüber hinaus sollten bei den Patienten jegliche fälligen Krebsvorsorgeuntersuchungen (z. B. Mammographie, Koloskopie), durchgeführt werden.

Literatur zur Diagnose

  1. 1. Lensing AW, Prandoni P, Brandjes D, et al. Detection of deep-vein thrombosis by real-time B-mode ultrasonography. N Engl J Med 1989;320(6):342-345. doi:10.1056/NEJM198902093200602

  2. 2. Di Nisio M, Squizzato A, Rutjes AW, Büller HR, Zwinderman AH, Bossuyt PM. Diagnostic accuracy of D-dimer test for exclusion of venous thromboembolism: a systematic review [published correction appears in J Thromb Haemost 2013 Oct;11(10):1942]. J Thromb Haemost 2007;5(2):296-304. doi:10.1111/j.1538-7836.2007.02328.x

  3. 3. Righini M, Van Es J, Den Exter PL, et al. Age-adjusted D-dimer cutoff levels to rule out pulmonary embolism: the ADJUST-PE study [published correction appears in JAMA. 2014 Apr 23-30;311(16):1694]. JAMA 2014;311(11):1117-1124. doi:10.1001/jama.2014.2135

  4. 4. Kearon C, de Wit K, Parpia S, et al. Diagnosis of Pulmonary Embolism with d-Dimer Adjusted to Clinical Probability. N Engl J Med 2019;381(22):2125-2134. doi:10.1056/NEJMoa1909159

  5. 5. Coppens M, Reijnders JH, Middeldorp S, Doggen CJ, Rosendaal FR. Testing for inherited thrombophilia does not reduce the recurrence of venous thrombosis. J Thromb Haemost 2008;6(9):1474-1477. doi:10.1111/j.1538-7836.2008.03055.x

  6. 6. Lijfering WM, Middeldorp S, Veeger NJ, et al. Risk of recurrent venous thrombosis in homozygous carriers and double heterozygous carriers of factor V Leiden and prothrombin G20210A. Circulation 2010;121(15):1706-1712. doi:10.1161/CIRCULATIONAHA.109.906347

  7. 7. Segal JB, Brotman DJ, Necochea AJ, et al. Predictive value of factor V Leiden and prothrombin G20210A in adults with venous thromboembolism and in family members of those with a mutation: a systematic review. JAMA 2009;301(23):2472-2485. doi:10.1001/jama.2009.853

Behandlung der tiefen Venenthrombose

  • Antikoagulation

  • Gelegentlich Vena-cava-Filter, thrombolytische Therapie oder Operation

Die Behandlung zielt primär auf die Prävention einer Lungenembolie ab und erst in zweiter Linie auf die Linderung der Symptome und die Prävention eines TVT-Rezidivs, der chronisch venösen Insuffizienz und des postthrombotischen Syndroms. Die Behandlung der tiefe Venenthrombose der oberen und unteren Extremität ist in der Regel identisch.

Allgemeine unterstützende Maßnahmen umfassen Schmerztherapie mit Analgetika, die kurze (3– bis 5–tägige) Perioden der Gabe eines nichtsteroidalen Antiphlogistikum umfassen kann. EIne erweiterte Behandlung mit nichtsteroidalem Antiphlogistikum und Aspirin sollte vermieden werden, da ihre thrombozytenhemmende Wirkung das Risiko von Blutungskomplikationen erhöhen kann. Zusätzlich sollten die Beine während Ruhephasen hoch gelagert werden (gestützt durch ein Kissen oder eine andere weiche Oberfläche, um Venenkompression zu vermeiden). Die Patienten können körperlich so aktiv sein, wie sie es tolerieren; es gibt keinen Nachweis dafür, dass frühe Aktivität das Risiko einer Thrombusverschleppung oder einer Lungenembolie erhöht, und sie kann dazu beitragen, das Risiko eines postthrombotischen Syndroms zu verringern.

Antikoagulanzien

(Für Details zu Medikamenten und ihren Komplikationen siehe Medikamente bei tiefer Venenthrombose)

Fast alle Patienten mit einer TVT werden mit Antikoagulanzien behandelt (1, 2). Verschiedene Antikoagulanzien eignen sich für die Initialtherapie, und die Wahl des Mittels wird durch Begleiterkrankungen des Patienten (z. B. Nierenfunktionsstörungen, Krebs), Präferenzen, Kosten und Anwenderfreundlichkeit beeinflusst.

Einige Patienten erhalten zunächst ein injizierbares (in der Regel niedermolekulares) Heparin für 5 bis 7 Tage, gefolgt von einer längerfristigen Behandlung mit einem oralen Präparat. Falls Warfarin verwendet wird, wird es innerhalb von 24 Stunden nach Beginn der Injektion vonHeparin begonnen. Während Heparin schnell wirkt und eine sofortige Antikoagulation bietet, benötigt Warfarin etwa 5 Tage, um eine therapeutische Wirkung zu erzielen; daher ist Heparin für 5 bis 7 Tage erforderlich. Für Patienten, die mit Edoxaban (einem oralen Faktor Xa-Inhibitor) oder Dabigatran (einem oralen direkten Thrombin-Inhibitor),beginnen sollen, wird das orale Mittel nach 5 Tagen injizierbarem Heparin begonnen.

Alternativ kann die Antikoagulation mit ausgewählten direkten oralen Antikoagulanzien (Rivaroxaban oder Apixaban) eingeleitet werden, ohne dass zuvor ein injizierbares Heparin verabreicht wird. Der Beginn der Behandlung mit Rivaroxaban oder Apixaban ohne Heparin ist aufgrund der Ergebnisse klinischer Studien gerechtfertigt. Fondaparinux, ein parenteraler Faktor Xa-Inhibitor, wird manchmal anstelle von niedermolekularem Heparin eingesetzt und kann auch zur Behandlung einer akuten TVT verwendet werden.

Bei ausgewählten Patienten (z. B. mit ausgedehnter iliofemoraler TVT oder Krebs) kann eine fortgesetzte Behandlung mit einem niedermolekularen Heparin einer Umstellung auf ein orales Mittel vorgezogen werden.

Eine inadäquate Antikoagulation in den ersten 24–48 h erhöht das Risiko eines Wiederauftretens oder einer Lungenembolie. Eine akute tiefe Venenthrombose kann ambulant versorgt werden, es sei denn, schwere Symptome erfordern eine parenterale Analgesie; ebenso, wenn andere Krankheiten eine sichere ambulante Versorgung ausschließen oder andere Faktoren (z. B. funktionsbehaftet, sozioökonomisch) den Patienten davon abhalten könnten, die verschriebenen Behandlungen auch durchzuführen.

V.-cava-inferior-Filter

Ein VCI-Filter kann helfen, bei Patienten mit Lungenembolie der unteren Extremität und Kontraindikationen für die Antikoagulationsbehandlung oder bei Patienten mit rezidivierenden TVT (oder Embolien) trotz adäquater Antikoagulation eine Lungenembolie zu verhindern. Ein VCI Filter wird über eine Katheterisierung einer Jugular- oder Femoralvene in der V. cava inferior gerade unterhalb der Nierenvenen positioniert. Einige VIC Filter sind herausnehmbar und können temporär verwendet werden (z. B. bis die Kontraindikationen für Antikoagulation nachlassen oder verschwinden).

Vena Cava-Filter verringern das Risiko akuter embolischer Komplikationen, können jedoch längerfristige Komplikationen verursachen (z. B. können sich venöse Kollateralen entwickeln, die Embolien einen Weg bieten, den Filter zu umgehen). Außerdem besteht ein erhöhtes Risiko für rezidivierende TVT. Auch können VIC-Filter sich lösen oder durch ein Gerinnsel blockiert werden. Deshalb können Patienten mit wiederholter tiefe Venenthrombose oder nichtbeeinflussbaren Risikofaktoren trotz eines VIC Filters immer noch eine Antikoagulation benötigen.

Ein verstopfter Filter kann zu bilateraler venöser Stauung in den unteren Extremitäten (einschließlich akuter Phlegmasia coerulea dolens), Ischämie im Unterkörper und akuter Nierenverletzung führen. Losgelöste Filter werden durch Angiographie, oder wenn nötig einen operativen Eingriff, entfernt. Trotz weit verbreitetem Einsatz der VCI-Filter ist die Wirksamkeit zur Vermeidung von Lungenembolien unzureichend untersucht und nicht bewiesen (3). VCI-Filter sollten wann immer möglich entfernt werden.

Thrombolytische (fibrinolytische) Therapie

Thrombolytische Medikamente, zu denen Alteplase, Tenecteplase und Streptokinase, Lyse-Knochen gehören und die bei ausgewählten Patienten effektiver sein können als Antikoagulation allein, aber das Risiko von Blutungen ist höher als bei Heparin. Daher sollten Thrombolytika nur bei sehr ausgewählten Patienten mit tiefe Venenthrombose in Betracht gezogen werden. Zu den Patienten, die von Thrombolytika profitieren können, gehören Patienten < 60 Jahre mit ausgedehnter iliofemoraler TVT, die eine sich entwickelnde oder bestehende Ischämie der Gliedmaßen (z. B. Phlegmasia coerulea dolens) aufweisen und keine Risikofaktoren für Blutungen haben (4).

Die kathetergesteuerte Thrombolyse hat die systemische Verabreichung bei TVT weitgehend ersetzt.

Chirurgie

Ein chirurgisches Vorgehen wird selten benötigt. Thrombektomie, Fasziotomie oder beides sind jedoch bei der Phlegmasia alba dolens oder Phlemgmasia coerulea dolens, die nicht auf Thrombolytika reagieren, erforderlich, um eine lebensbedrohliche Gangrän zu verhindern.

Literatur zur Therapie

  1. 1. Ortel TL, Neumann I, Ageno W, et al: American Society of Hematology 2020 guidelines for management of venous thromboembolism: treatment of deep vein thrombosis and pulmonary embolism. Blood Adv 4(19):4693-4738, 2020. doi: 10.1182/bloodadvances.2020001830

  2. 2. Stevens SM, Woller SC, Kreuziger LB, et al: Antithrombotic Therapy for VTE Disease: Second Update of the CHEST Guideline and Expert Panel Report [published correction appears in Chest 2022 Jul;162(1):269]. Chest 160(6):e545-e608, 2021. doi:10.1016/j.chest.2021.07.055

  3. 3. Turner TE, Saeed MJ, Novak E, Brown DL: Association of Inferior Vena Cava Filter Placement for Venous Thromboembolic Disease and a Contraindication to Anticoagulation With 30-Day Mortality. JAMA Netw Open 1(3):e180452, 2018. Published 2018 Jul 6. doi:10.1001/jamanetworkopen.2018.0452

  4. 4. Kearon C, Akl EA, Comerota AJ, et al. Antithrombotic therapy for VTE disease: Antithrombotic Therapy and Prevention of Thrombosis, 9th ed: American College of Chest Physicians Evidence-Based Clinical Practice Guidelines [published correction appears in Chest 2012 Dec;142(6):1698-1704]. Chest 2012;141(2 Suppl):e419S-e496S. doi:10.1378/chest.11-2301

Prognose für tiefe Venenthrombose

Ohne entsprechende Therapie besteht bei der TVT der unteren Extremität ein Risiko von 3% für eine fatale Lungenembolie (1, 2); Todesfälle aufgrund einer TVT der oberen Extremität sind sehr selten. Das Risiko einer erneuten tiefe Venenthrombose ist am geringsten bei Patienten mit vorübergehenden Risiken (z. B. chirurgisches Tauma, vorübergehende Immobilität) und am höchsten bei Patienten mit persistierenden Risikofaktoren (z. B. Krebs), idiopathischer tiefe Venenthrombose oder unvollständiger Lyse einer früheren tiefe Venenthrombose (residualer Thrombus). Ein normaler D-Dimer-Spiegel, der nach Absetzen der Antikoagulation für 3 bis 4 Wochen erhalten wird, kann helfen, ein relativ geringes Risiko für ein TVT- oder Lungenembolie-Rezidiv vorherzusagen, und zwar eher bei Frauen als bei Männern. Das Risiko einer venösen Insuffizienz vorauszusagen ist schwierig. Zu den Risikofaktoren für ein postthrombotisches Syndrom gehören eine proximale Thrombose, eine rezidivierende ipsilaterale TVT und ein Body-Mass-Index (BMI) 22 kg/m2.

Literatur zur Prognose

  1. 1. Yamashita Y, Murata K, Morimoto T, et al. Clinical outcomes of patients with pulmonary embolism versus deep vein thrombosis: From the COMMAND VTE Registry. Thromb Res 2019;184:50-57. doi:10.1016/j.thromres.2019.10.029

  2. 2. Douketis JD, Kearon C, Bates S, Duku EK, Ginsberg JS. Risk of fatal pulmonary embolism in patients with treated venous thromboembolism. JAMA 1998;279(6):458-462. doi:10.1001/jama.279.6.458

Prävention der tiefen Venenthrombose

Es ist besser und sicherer, eine tiefe Venenthrombose (TVT) zu verhindern als sie zu behandeln, insbesondere bei Patienten mit hohem Risiko. Die folgenden Modalitäten werden verwendet (für eine ausführlichere Diskussion siehe tiefe Venenthrombose Prävention).

  • Vermeidung von Immobilität

  • Prophylaktische Antikoagulation (z. B. niedermolekulares Heparin, Fondaparinux, Warfarin in angepasster Dosierung, direktes orales Antikoagulans)

  • Intermittierende pneumatische Kompression

Patienten, die keine Antikoagulantien erhalten sollten, können von IPC-Geräten, elastischen Strümpfen oder beidem profitieren.

Filter der V. cava inferior verhindern keine tiefe Venenthrombose, werden aber manchmal eingesetzt, um eine Lungenembolie zu verhindern. Ein Vena-Cava-Filter kann bei Patienten mit einer TVT der unteren Extremitäten, bei denen eine Antikoagulanzientherapie kontraindiziert ist, oder bei Patienten mit rezidivierenden TVT (oder Embolien) trotz adäquater Antikoagulation zur Prävention einer Lungenembolie beitragen. Vena-Cava-Filter werden gelegentlich auch zur Primärprävention von Lungenembolien nach bestimmten Operationen oder bei Patienten mit schweren Mehrfachverletzungen eingesetzt; allerdings wird ihr Einsatz bei diesen Indikationen nicht routinemäßig empfohlen, da die Wirksamkeit nicht belegt ist (1).

Hinweis zur Prävention

  1. 1. Ho KM, Rao S, Honeybul S, et al. A Multicenter Trial of Vena Cava Filters in Severely Injured Patients. N Engl J Med 2019;381(4):328-337. doi:10.1056/NEJMoa1806515

Wichtige Punkte

  • Anzeichen und Symptome sind unspezifisch; daher müssen Kliniker wachsam sein, besonders bei Hochrisikopatienten.

  • Bei Patienten mit geringem Risiko können D-Dimer-Tests, durchgeführt werden, da ein normales Ergebnis im Wesentlichen eine tiefe Venenthrombose ausschließt; bei anderen Patienten sollte eine Sonographie durchgeführt werden.

  • Die Behandlung erfolgt zunächst mit einem injizierbaren Heparin (unfraktioniertes oder niedermolekulares Heparin [LMWH]), gefolgt von einem oralen Antikoagulans (Warfarin, Dabigatran oder ein Faktor-Xa-Inhibitor) oder einem LMWH; alternativ können die oralen Faktor-Xa-Inhibitoren Rivaroxaban und Apixaban zur Erst- und Weiterbehandlung eingesetzt werden.

  • Die Dauer der Behandlung beträgt in der Regel 3 bzw. 6 Monate, in Abhängigkeit vom Vorhandensein und der Art der Risikofaktoren; bei bestimmten Patienten muss eine lebenslange Behandlung erfolgen.

  • Eine präventive Behandlung ist bei schwer kranken, bettlägerigen Patienten und/oder bei Patienten, bei denen bestimmte chirurgische Eingriffe durchgeführt werden, erforderlich.

  • Frühe Mobilisation, Beinanhebung und ein Antikoagulans sind die empfohlenen präventiven Maßnahmen; Patienten, die keine Antikoagulantien erhalten sollten, können von IPC-Geräten, elastischen Strümpfen oder beidem profitieren.

quizzes_lightbulb_red
Test your KnowledgeTake a Quiz!
DE_MSD_Mobile_Pro_326iOS ANDROID
DE_MSD_Mobile_Pro_326iOS ANDROID
DE_MSD_Mobile_QR_Pro_326iOS ANDROID