Eine Entzündung der Speiseröhe tritt meistens bei Patienten mit Abwehrschwäche auf. Primäre Erreger sind Candida albicans, Herpes-simplex-Virus und Zytomegalievirus. Symptome sind Odynophagie und Brustschmerz. Die Diagnose wird endoskopisch und durch Erregerkulturen gestellt. Die Behandlung erfolgt mit entsprechenden Medikamenten gegen Pilze oder gegen Viren.
(Siehe auch Übersicht zu Ösophagus- Schluckstörungen.)
Eine Infektion der Speiseröhre ist selten bei Patienten mit normalen Abwehrmechanismen. Diese primären Abwehrmechanismen bestehen am Ösophagus aus Speichel, der Ösophagusmotilität und zellulärer Immunität. Daher sind Risikopatienten jene mit AIDS, nach Organtransplantationen, mit Alkoholkonsumstörung, Diabetes mellitus, Unterernährung, Krebserkrankungen und ösophagealen Motilitätsstörungen. Zusätzlich können geschluckte oder inhalierte Kortikosteroide das Risiko einer infektiösen Ösophagitis erhöhen. Eine Candida-Infektion kann bei jedem dieser Patienten entstehen. Infektionen mit dem Herpes-simplex-Virus (HSV) und dem Cytomegalovirus (CMV) treten hauptsächlich bei Patienten mit HIV oder einer Transplantation auf.
Candida-Ösophagitis
Patienten mit einer Candida-Ösophagitis leiden im Allgemeinen unter Odynophagie und weniger häufig unter Dysphagie.
Ungefähr zwei Drittel haben Zeichen eines Mundsoors, obwohl sein Fehlen eine Beteiligung des Ösophagus nicht ausschließt. Patienten mit Odynophagie und typischem Soor können empirisch behandelt werden, wenn allerdings nach 5–7 Tagen Behandlung kein wesentlicher Erfolg eintritt, muss eine endoskopische Untersuchung durchgeführt werden. Der Bariumbreischluck ist weniger genau.
Image provided by Kristle Lynch, MD.
Die Behandlung einer Candida-Ösophagitis erfolgt mit Fluconazol 200–400 mg p.o. oder IV einmal täglich für 14–21 Tage (1). Alternativen sind andere Azole (z. B. Itraconazol, Voriconazol, Posaconazol) oder Echinocandine (z. B. Caspofungin, Micafungin, Anidulafungin). Eine topische Therapie spielt keine Rolle.
Hinweis
1. Pappas PG, Kauffman CA, Andes DR, et al: Clinical Practice Guideline for the Management of Candidiasis: 2016 Update by the Infectious Diseases Society of America. Clin Infect Dis 62(4):e1-e50, 2016. doi: 10.1093/cid/civ933
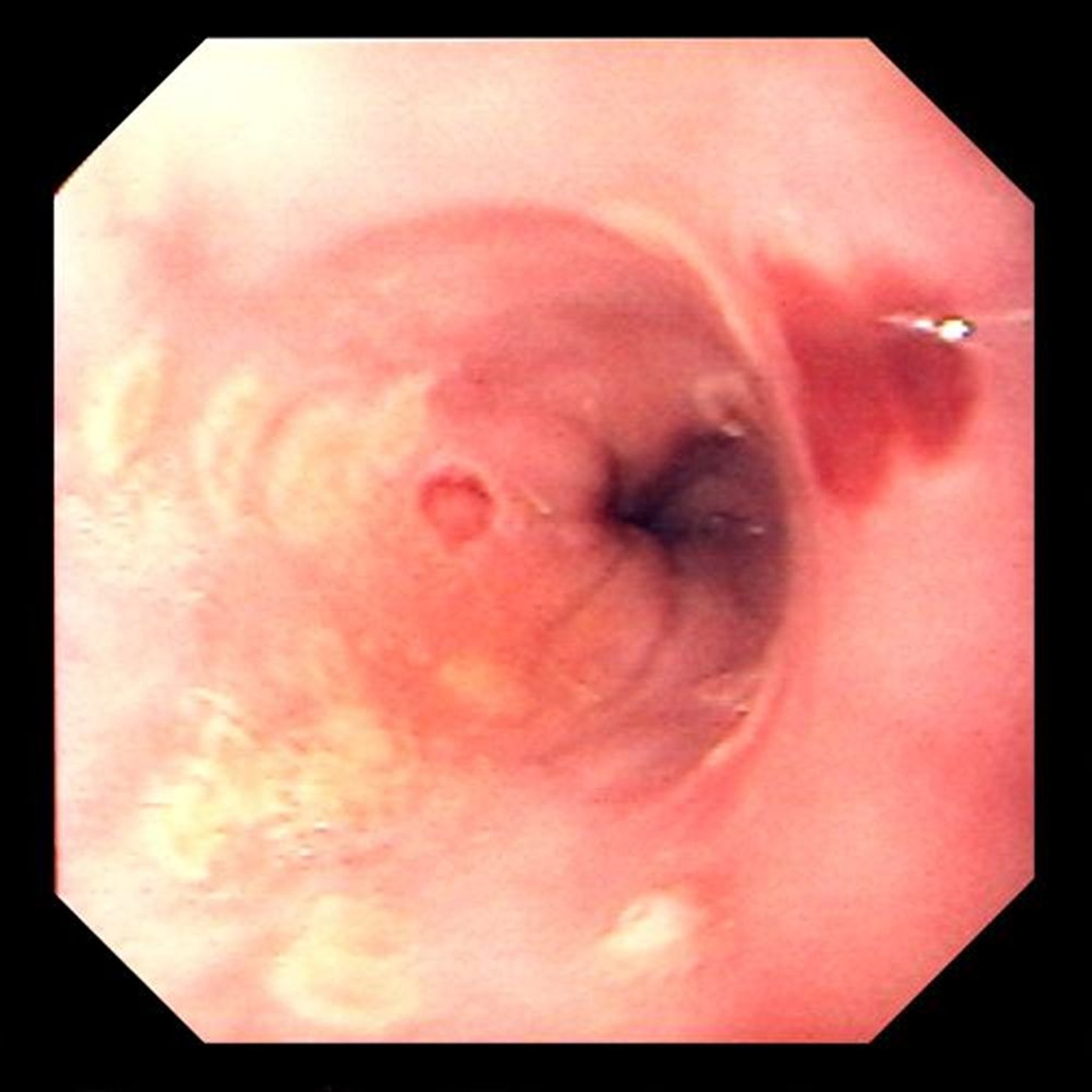
Herpes-simplex-Virus-Ösophagitis und Zytomegalievirus-Ösophagitis
Diese Infektionen treten bei transplantierten Patienten gleich häufig auf, HSV Ösophagitis meistens früh nach der Transplantation (Reaktivierung), CMV Ösophagitis nach 2–6 Monaten. Bei HIV-Patienten ist CMV wesentlich häufiger als HSV, und eine virale Ösophagitis tritt vor allem dann auf, wenn die CD4+-Zellzahl < 200/mcl ist. Eine schwere Odynophagie resultiert aus beiden Infektionen.
Image provided by David M. Martin, MD.
Eine endoskopische Untersuchung inkl. Zytologie oder Biopsie ist für die Diagnosestellung meist notwendig.
HSV wird mit oralem oder intravenösem Aciclovir, Valaciclovir oder Famciclovir behandelt. Patienten mit geschwächtem Immunsystem werden in der Regel länger behandelt (d. h. 14–21 Tage) als Patienten, bei denen dies nicht der Fall ist (7–10 Tage).
CMV wird in der Regel mit intravenösem Ganciclovir oder oralem Valganciclovir bei Patienten mit geschwächtem Immunsystem behandelt. Alternativen sind Foscarnet und Cidofovir.



