Tràn khí màng phổi

TheoNajib M Rahman, BMBCh MA (oxon) DPhil, University of Oxford
Xem xét bởiM. Patricia Rivera, MD, University of Rochester Medical Center
Đã xem xét/Đã chỉnh sửa đã sửa đổi Thg 7 2025
v923137_vi

Tràn khí màng phổi là khí trong khoang màng phổi gây xẹp một phần hoặc toàn bộ phổi. Tràn khí màng phổi có thể xảy ra tự phát hoặc do chấn thương hoặc thủ thuật y tế. Chẩn đoán dựa trên tiêu chuẩn lâm sàng và phim chụp X-quang ngực. Tùy thuộc vào các triệu chứng và mức độ nặng, phương pháp điều trị có thể là can thiệp (hút dịch qua ống thông hoặc thủ thuật đặt ống thông ngực), hoặc theo dõi và theo dõi cẩn thận.

Căn nguyên của tràn khí màng phổi

Tràn khí màng phổi tự phát nguyên phát xảy ra ở những bệnh nhân không có bệnh nền ở phổi, thường gặp ở nam giới cao, gầy ở độ tuổi thiếu niên và 20. Người ta cho rằng nguyên nhân là do vỡ tự phát các bọng nước hoặc các bọng khí ở đỉnh phổi dưới màng phổi do hút thuốc (cần sa hoặc thuốc lá) hoặc do di truyền. Bệnh thường xảy ra lúc nghỉ ngơi, mặc dù một số trường hợp xảy ra trong các hoạt động liên quan đến gắng sức hoặc kéo dài. tràn khí màng phổi tự phát nguyên phát cũng xảy ra khi lặn và bay ở độ cao lớn.

Tràn khí màng phổi tự phát thứ phát xảy ra ở bệnh nhân bị bệnh phổi. Bệnh thường là kết quả của vỡ của một bóng hoặc kén hoặc ở bệnh nhân bị bệnh phổi tắc nghẽn mạn tính nặng (thể tích thở ra gắng sức trong một giây [FEV1 < 1 L), Nhiễm Pneumocystis jirovecii liên quan đến HIV, xơ nang, hoặc bất kỳ bệnh nhu phổi nền nào (Xem bảng ). Tràn khí màng phổi tự phát thứ phát nghiêm trọng hơn tràn khí màng phổi tự phát nguyên phát vì bệnh xảy ra ở những bệnh nhân có bệnh phổi làm giảm thể tích dự trữ phổi của họ.

Tràn khí màng phổi liên quan đến kinh nguyệt là một dạng tràn khí màng phổi tự phát hiếm xảy ra trong vòng 48 giờ khi bắt đầu có kinh nguyệt ở phụ nữ tiền mãn kinh và đôi khi ở phụ nữ sau mãn kinh đang dùng estrogen. Nguyên nhân là do lạc nội mạc tử cung trong lồng ngực, có thể do sự di chuyển của mô nội mạc tử cung qua phúc mạc qua lỗ khuyết cơ hoành hoặc do thuyên tắc mạch qua tĩnh mạch vùng chậu.

Bảng
Bảng

Tràn khí màng phổi do chấn thương là một biến chứng thường gặp của chấn thương ngực xuyên thấu hoặc do vật tầy.

Tràn khí màng phổi sau can thiệp là do các biện pháp can thiệp y khoa, bao gồm sinh thiết xuyên thành, chọc dịch màng phổi, đặt catheter tĩnh mạch trung tâm, thông khí nhân tạo và hồi sức tim phổ.

Sinh lý bệnh của tràn khí màng phổi

Áp suất khoang màng phổi thường là âm (thấp hơn áp suất khí quyển) do phổi hướng vào trong và thành ngực hướng ra ngoài. Trong tràn khí màng phổi, không khí xâm nhập vào khoang màng phổi từ bên ngoài ngực hoặc từ chính phổi thông qua các lớp mô trung thất hoặc thủng màng phổi trực tiếp. Tăng áp lực khoang màng phổi và thể tích phổi giảm.

Tràn khí màng phổi áp lực là tình trạng tràn khí màng phổi gây ra tăng dần dần áp lực khoang màng phổi đến mức dương trong suốt chu kỳ hô hấp và làm xẹp phổi, dịch chuyển trung thất và làm suy giảm khả năng hồi lưu tĩnh mạch về tim. Không khí tiếp tục đi vào khoang màng phổi nhưng không thể thoát ra. Nếu không được điều trị thích hợp, tình trạng suy giảm hồi lưu tĩnh mạch toàn thân có thể gây hạ huyết áp toàn thân, ngừng thở và ngừng tim (hoạt động điện vô mạch) chỉ trong vài phút. Tràn khí màng phổi áp lực thường xảy ra nhất ở những bệnh nhân được thở máy áp lực dương (thở máy hoặc đặc biệt là trong quá trình hồi sức). Hiếm gặp là biến chứng của tràn khí màng phổi do chấn thương, khi vết thương ở ngực hoạt động như một van một chiều giữ lại lượng không khí ngày càng tăng trong khoang màng phổi khi hít vào.

Triệu chứng hoặc dấu hiệu của tràn khí màng phổi

tràn khí màng phổi ít đôi khi không có triệu chứng. Các triệu chứng của tràn khí màng phổi bao gồm khó thở và đau ngực kiểu màng phổi. Khó thở có thể đột ngột hoặc khởi phát dần dần tùy thuộc vào tốc độ phát triển và mức độ của tràn khí màng phổi. Đau có thể giống viêm màng ngoài tim, viêm phổi, viêm màng phổi, thuyên tắc mạch phổi, chấn thương cơ xương (khi lan đến vai) hoặc một bệnh lý trong ổ bụng (khi lan đến bụng). Đau cũng có thể giống tình trạng thiếu máu cơ tim cục bộ, mặc dù điển hình là cơn đau tim do thiếu máu cục bộ không phải là kiểu màng phổi.

Các dấu hiệu lâm sàng cổ điển bao gồm giảm rung thanh, gõ vang, và giảm rì rào phế nang. Nếu tràn khí màng phổi lớn, bên bị thương tổn có thể bị phình ra kèm theo dấu hiệu khí quản bị dịch chuyển sang bên đối diện một cách rõ ràng hoặc có thể sờ thấy và có thể không có tiếng thở ở bên bị thương tổn. Khi có tràn khí màng phổi có áp lực, có thể xảy ra tình trạng hạ huyết áp và ngừng tim phổi.

Chẩn đoán tràn khí màng phổi

  • Chẩn đoán hình ảnh lồng ngực

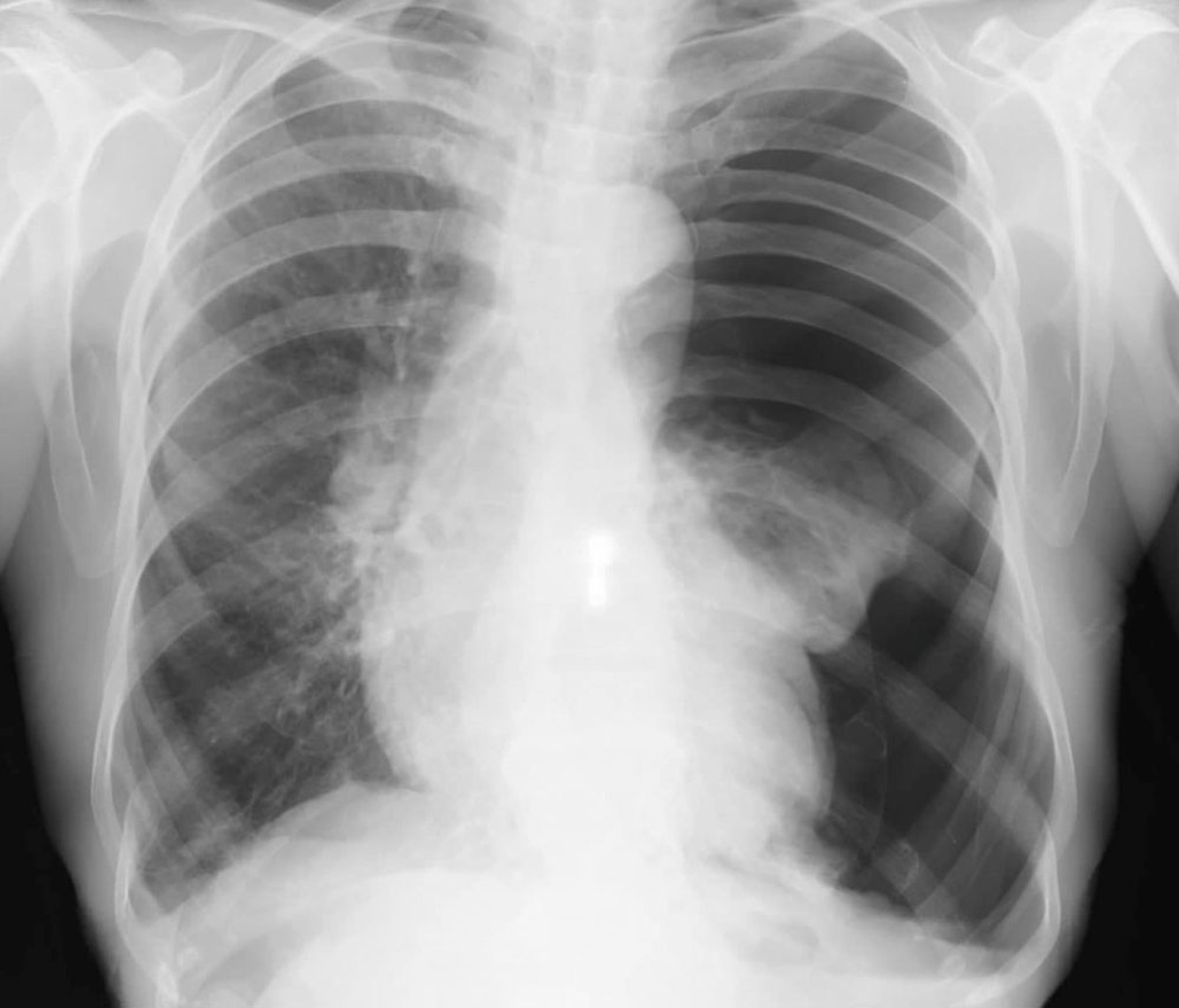
Chẩn đoán này được nghi ngờ ở những bệnh nhân có tình trạng ổn định nhưng bị khó thở hoặc đau ngực kiểu màng phổi và thường được xác nhận bằng chụp X-quang ngực tư thế thẳng đứng. Mật độ mô phổi tăng lên nếu chụp phim phổi khi thở ra, do đó làm tăng sự khác biệt về độ tương phản giữa không khí trong khoang màng phổi và mô phổi liền kề (có ít không khí hơn do sự kết hợp của trạng thái thở ra và bất kỳ tình trạng xẹp phổi nào). Viền khí không cản quang và không có vân phổi giữa phổi hoặc thùy phổi với màng phổi lá thành là dấu hiệu củan tràn khí màng phổi. Di lệch khí quản và dịch chuyển trung thất được quan sát thấy trong tràn khí màng phổi nhiều. Chẩn đoán cũng có thể được đưa ra bằng siêu âm tại giường nếu bệnh nền ở phổi không ngăn cản việc quan sát đầy đủ.

Kích cỡ của tràn khí màng phổi được xác định bằng tỷ lệ phần trăm của phổi tổn thương với lồng ngực. Tỷ lệ phần trăm này được ước tính bằng cách lấy 1 trừ đi tỷ lệ lập phương của chiều rộng của phổi và một bên lồng ngực. Ví dụ, nếu chiều rộng của nửa tràn khí là 10 cm và chiều rộng của phổi là 5 cm, tỷ lệ là 53/103= 0.125. Như vậy, kích thước tràn khí màng phổi vào khoảng 1 trừ 0,125, tương đương 87,5%. Nếu có sự kết dính giữa phổi và thành ngực, phổi không bị xẹp, tràn khí màng phổi có thể xuất hiện không điển hình hoặc khu trú, và tính toán không chính xác.

Tràn khí màng phổi ít (ví dụ: < 10%) đôi khi bị bỏ qua trên phim chụp X-quang ngực. Ở những bệnh nhân có khả năng bị tràn khí màng phổi, cần theo dõi vân phổi đến tận mép màng phổi trên phim chụp X-quang ngực. Ngay cả tràn khí màng phổi lớn cũng có thể không thấy rõ trên phim chụp X-quang tư thế nằm ngửa và cần đặc biệt chú ý đến dấu hiệu rãnh sâu (góc sườn hoành sâu bất thường) vì đây có thể là dấu hiệu duy nhất của tràn khí màng phổi trên phim chụp X-quang ở bệnh nhân nằm ngửa. Các tình trạng giống tràn khí màng phổi trên chẩn đoán hình ảnh bao gồm khí phế thũng, nếp gấp da, tấm trải giường gấp và chồng lên nhau của dạ dày hoặc ruột trên vùng phổi.

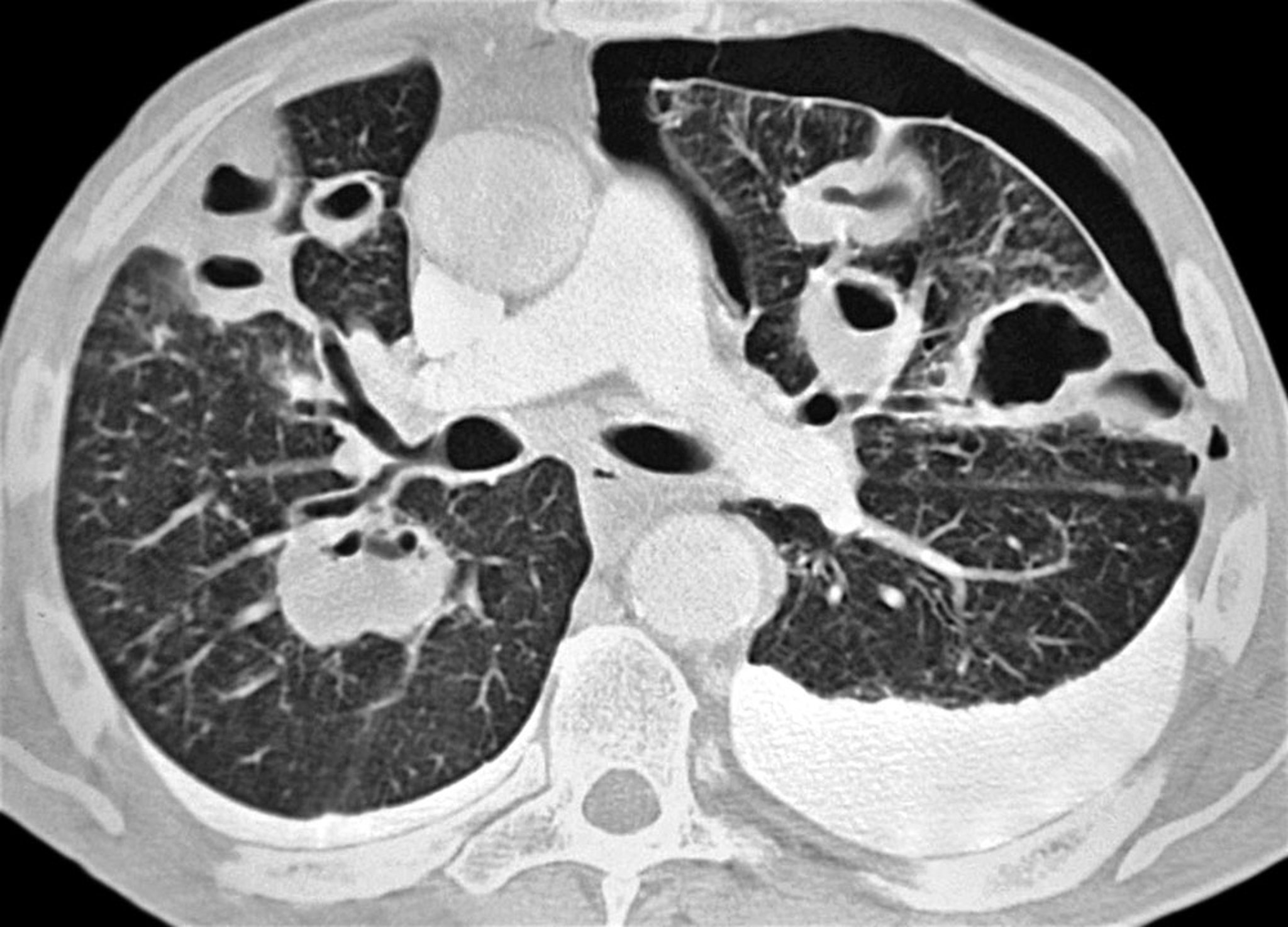
Chụp CT cũng cho phép hiển thị hình ảnh rõ ràng của tràn khí màng phổi và các bệnh lý liên quan ở bệnh nhân nằm ngửa.

Ngọc trai & cạm bẫy

  • Tụt áp đột ngột ở bệnh nhân thở máy cần nhanh chóng xem xét tràn khí màng phổi áp lực. Nếu bệnh nhân cũng có tiếng thở giảm và tăng âm vang khi gõ, cần phải chẩn đoán tràn khí màng phổi áp lực và điều trị ngay lập tức mà không cần chờ xác nhận bằng chụp X-quang ngực.

Công cụ tính toán lâm sàng

Điều trị tràn khí màng phổi

  • Giảm áp bằng kim ngay với tràn khí màng phổi áp lực

  • Quan sát và chụp X-quang theo dõi tràn khí màng phổi tự phát nguyên phát không có triệu chứng bất kể kích thước

  • Thiết bị hút bằng ống thông hoặc thiết bị điều trị di động bằng ống thông đối với tràn khí màng phổi tự phát nguyên phát có triệu chứng

  • Đặt ống dẫn lưu màng phổi cho tràn khí màng phổi thứ phát hoặc sau chấn thương

Điều trị tùy thuộc vào loại, kích thước và ảnh hưởng của tràn khí màng phổi.

Bất kể kích thước tràn khí màng phổi, tràn khí màng phổi tự phát nguyên phát không gây ra các triệu chứng về hô hấp hoặc các triệu chứng về tim có thể được theo dõi một cách an toàn mà không cần điều trị nếu phim chụp X-quang ngực theo dõi được thực hiện theo định kỳ (đầu tiên là 4 tiếng một lần và cuối cùng là mỗi tuần một lần) cho đến khi khỏi hoàn toàn không thấy tiến triển và nếu bệnh nhân ổn định về mặt sinh lý. Có thể theo dõi tại cơ sở điều trị ngoại trú. Liệu pháp oxy cho tràn khí màng phổi tự phát nguyên phát ở những bệnh nhân không bị hạ oxy máu, mặc dù được một số người sử dụng, nhưng có rất ít bằng chứng và không phải trong khuôn khổ của các khuyến nghị hiện tại (1, 2, 3).

Tràn khí màng phổi tự phát nguyên phát có triệu chứng nên được hút bằng ống hút hoặc bằng các thiết bị điều trị cấp cứu (thiết bị dẫn lưu kết nối với van một chiều mà bệnh nhân có thể di chuyển, ví dụ như van Heimlich). Phẫu thuật mở ngực bằng ống dẫn lưu kèm theo nhập viện là một giải pháp thay thế.

Hút dịch qua ống thông được thực hiện bằng cách đưa một ống thông theo đường tĩnh mạch hoặc ống thông đuôi lợn có lỗ nhỏ (thường là cỡ từ 7 đến 9 French) vào ngực ở khoang liên sườn thứ hai trên đường giữa đòn. Catheter được gắn vào ba chạc và bơm tiêm. Không khí được lấy ra từ khoang màng phổi qua ba chạc vào trong ống tiêm và bị đẩy ra ngoài. Quá trình này được lặp lại cho đến khi phổi nở ra trở lại hoặc cho đến khi 4 L khí được lấy ra. Nếu phổi nở ra, catheter có thể được rút ra hoặc giữ lại gắn vào van Heimlich một chiều (do vậy cho phép bệnh nhân vận động sớm), và bệnh nhân không cần phải nằm viện. Nếu phổi không nở, nên đặt ống dẫn lưu màng phổi và bệnh nhân phải nằm viện. Tràn khí tự phát nguyên phát cũng có thể được điều trị ban đầu bằng ống dẫn lưu gắn liền với một cột nước có hoặc không có lực hút. Bệnh nhân có tràn khí tự phát nguyên phát cũng cần được tư vấn cai nghiện thuốc lá.

Phẫu thuật mở ngực bằng ống dẫn lưu có lỗ khoan nhỏ (< 14 French) thường được sử dụng để điều trị tràn khí màng phổi thứ phát và tràn khí màng phổi do chấn thương. Bệnh nhân tràn khí màng phổi do nguyên nhân y khoa có triệu chứng cần phải được xử trí ban đầu bằng cách hút dịch.

Tràn khí màng phổi áp lực là một trường hợp cấp cứu nội khoa và cần được chẩn đoán trên lâm sàng; không nên lãng phí thời gian để xác nhận chẩn đoán bằng phim chụp X-quang ngực. Tình trạng này cần được điều trị ngay bằng phương pháp chọc kim vào thành ngực, bao gồm việc đưa kim cỡ 14 hoặc 16 gauge có lắp ống thông, đủ dài để xuyên qua thành ngực, qua thành ngực ở khoang liên sườn thứ hai trên đường giữa đòn. Âm thanh của khí có áp suất cao thoát ra xác định chẩn đoán. Catheter có thể để mở ngoài không khí hoặc gắn với van Heimlich. Giảm áp cấp cứu phải được thực hiện ngay bằng ống dẫn lưu sau khi rút catheter.

Tài liệu tham khảo về điều trị

  1. 1. Cheng HS, Wong C, Chiu PH, Tong CW, Miu PF. Management of spontaneous pneumothorax: a mini-review on its latest evidence. J Thorac Dis 2024;16(7):4756-4763. doi:10.21037/jtd-24-415

  2. 2. Roberts ME, Rahman NM, Maskell NA, et al. British Thoracic Society Guideline for pleural disease. Thorax 2023;78(Suppl 3):s1-s42. doi:10.1136/thorax-2022-219784

  3. 3. Speck KE, Kulaylat AN, Baerg JE, et al. Evaluation and Management of Primary Spontaneous Pneumothorax in Adolescents and Young Adults: A Systematic Review From the APSA Outcomes & Evidence-Based Practice Committee. J Pediatr Surg 2023;58(10):1873-1885. doi:10.1016/j.jpedsurg.2023.03.018

Các biến chứng của tràn khí màng phổi

3 vấn đề chính gặp phải khi điều trị tràn khí màng phổi là:

  • Rò khí

  • Phổi không nở

  • Phù phổi do tái giãn nở

Rò khí thường là do khiếm khuyết nguyên phát - tức là tiếp tục rò rỉ khí từ phổi vào khoang màng phổi - nhưng có thể là do khí rò rỉ từ xung quanh vị trí đặt ống dẫn lưu nếu vị trí đó không được khâu và bịt kín đúng cách. Sự rò rỉ khí phổ biến hơn ở tràn khí thứ phát so với tràn khí màng phổi tự phát nguyên phát. Hầu hết tự hồi phục trong < 1 tuần.

Thất bại của việc phổi không nở ra thường là do một trong những điều sau đây:

  • Rò rỉ khí dai dẳng

  • Tắc nghẽn nội phế quản

  • Phổi treo

  • Ống dẫn lưu sai vị trí

Gây dính màng phổi bằng máu, van nội phế quản, nội soi màng phổi hoặc mở lồng ngực được xem xét nếu không khí bị rò rỉ hoặc phổi không nở còn tồn tại quá 1 tuần.

Phù phổi do tái giãn xảy ra khi phổi bị giãn ra nhanh chóng, cũng như xảy ra khi một ống dẫn lưu ngực được nối với áp suất âm sau khi phổi bị xẹp trong > 2 ngày. Điều trị là hỗ trợ, oxy, thuốc lợi tiểu, và trợ tim mạch nếu cần.

Phòng ngừa tràn khí màng phổi

Tỷ lệ tái phát trong các nghiên cứu lớn dao động từ 19% đến 29% sau 1 năm kể từ tràn khí màng phổi tự phát nguyên phát ban đầu (1, 2), nhưng cao hơn trong các trường hợp tràn khí màng phổi thứ phát.

Phương pháp phòng ngừa tốt nhất là phẫu thuật ngực có hỗ trợ bằng video (VATS), trong đó các bọng nước được khâu lại và tiến hành gây dính màng phổi bằng cách mài mòn màng phổi, cắt màng phổi thành hoặc bơm bột talc; ở một số trung tâm, phẫu thuật mở ngực vẫn thỉnh thoảng được sử dụng.

Các thủ thuật này được khuyến nghị trong tràn khí màng phổi nguyên phát sau lần xuất hiện thứ hai, trong một số trường hợp sau đợt đầu tiên (ví dụ: tràn khí màng phổi áp lực, nghề nghiệp có nguy cơ [ví dụ: phi công, lặn]), trong tràn khí màng phổi thứ phát hoặc khi điều trị ban đầu không giải quyết được tràn khí màng phổi kèm theo rò rỉ không khí liên tục. Tỷ lệ tái phát sau các thủ tục này giảm (3). Nếu không thể thực hiện nội soi lồng ngực hoặc chống chỉ định, có thể thực hiện gây dính màng phổi bằng hóa chất thông qua ống dẫn lưu ngực; thủ thuật này làm giảm tỷ lệ tái phát nhưng không đến mức của VATS, do đó VATS là kỹ thuật được ưu tiên khi có thể (4).

Tài liệu tham khảo về phòng ngừa

  1. 1. Hallifax RJ, Goldacre R, Landray MJ, Rahman NM, Goldacre MJ. Trends in the Incidence and Recurrence of Inpatient-Treated Spontaneous Pneumothorax, 1968-2016. JAMA 2018;320(14):1471-1480. doi:10.1001/jama.2018.14299

  2. 2. Walker SP, Bibby AC, Halford P, Stadon L, White P, Maskell NA. Recurrence rates in primary spontaneous pneumothorax: a systematic review and meta-analysis. Eur Respir J 2018;52(3):1800864. Xuất bản ngày 6 tháng 9 năm 2018. doi:10.1183/13993003.00864-2018

  3. 3. Lin Z, Zhang Z, Wang Q, Li J, Peng W, Ge G. A systematic review and meta-analysis of video-assisted thoracoscopic surgery treating spontaneous pneumothorax. J Thorac Dis 2021;13(5):3093-3104. doi:10.21037/jtd-21-652

  4. 4. Elsayed HH, Hassaballa A, Ahmed T. Is video-assisted thoracoscopic surgery talc pleurodesis superior to talc pleurodesis via tube thoracostomy in patients with secondary spontaneous pneumothorax? Interact Cardiovasc Thorac Surg 2016;23(3):459-461. doi:10.1093/icvts/ivw154

Những điểm chính

  • Tràn khí màng phổi tự phát nguyên phát xảy ra ở những bệnh nhân không có bệnh nền ở phổi, thường gặp ở nam giới cao, gầy ở độ tuổi thiếu niên và 20.

  • Tràn khí màng phổi tự phát thứ phát xảy ra ở những bệnh nhân mắc bệnh nền ở phổi; thường là do vỡ bóng khí ở những bệnh nhân mắc bệnh phổi tắc nghẽn mạn tính (COPD) nặng.

  • Chẩn đoán bằng chụp X-quang ngực tư thế thẳng đứng hoặc siêu âm, ngoại trừ tràn khí màng phổi áp lực, được chẩn đoán trên lâm sàng ngay khi nghi ngờ.

  • Tràn khí màng phổi tự phát nguyên phát không gây ra các triệu chứng về hô hấp hoặc triệu chứng về tim có thể được theo dõi một cách an toàn mà không cần điều trị nếu chụp X-quang ngực theo dõi sau khoảng 4 tiếng không thấy tiến triển, đồng thời theo dõi thường xuyên trong những tuần tiếp theo.

  • Tràn khí màng phổi tự phát nguyên phát có triệu chứng cần phải được hút bằng ống thông hút, thiết bị di động hoặc thủ thuật mở thông thành ngực có đặt ống.

  • Tràn khí màng phổi thứ phát và sau chấn thương thường được điều trị bằng đặt ống dẫn lưu.

  • Phẫu thuật lồng ngực có video hỗ trợ (VATS) và các thủ thuật khác có thể giúp ngăn ngừa tái phát tràn khí màng phổi tự phát.

quizzes_lightbulb_red
Test your KnowledgeTake a Quiz!