Chẩn đoán hình ảnh bụng (Sỏi mật)
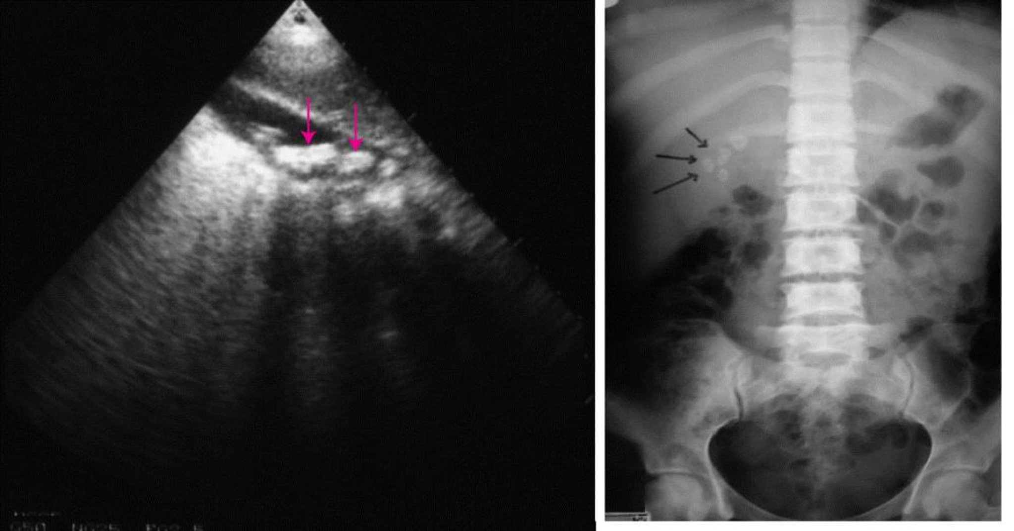
Ở bên trái, siêu âm ổ bụng cho thấy có nhiều sỏi mật (hình mũi tên). Ở bên phải, chụp X-quang ổ bụng thông thường cho thấy sỏi mật chắn bức xạ (hình mũi tên).
© Springer Science+Business Media
Trong các chủ đề này
Ở bên trái, siêu âm ổ bụng cho thấy có nhiều sỏi mật (hình mũi tên). Ở bên phải, chụp X-quang ổ bụng thông thường cho thấy sỏi mật chắn bức xạ (hình mũi tên).
© Springer Science+Business Media