Травма очного яблука

ЗаJurij R. Bilyk, MD, Thomas Jefferson University Hospital
ПереглянутоDiane M. Birnbaumer, MD, David Geffen School of Medicine at UCLA
Переглянуто/перевірено Змінено жовт. 2024
v94157928_uk

Травма очного яблука може виникати внаслідок тупої або проникаючої травми ока.

Результатом травми очного яблука може бути наступне:

(Див. також Загальні відомості про травму ока).

Наступні травми, які розглядаються в інших частинах Посібника, можуть мати різні причини, включно з провокуючими травматичними ушкодженнями:

Інші поширені травми очного яблука включають кон'юнктивальні, субкон'юнктивальні та склеральні крововиливи, які зазвичай не потребують лікування, крововилив у сітківку, набряк сітківки або відшарування сітківки, крововилив у склоподібне тіло, розрив райдужної оболонки і вивих кришталика, які зазвичай потребують термінового обстеження офтальмологом.

За наявності масивного набряку, крововиливу або розриву повік обстеження може бути складним. Тим не менш, якщо не є очевидною потреба в хірургічному втручанні на око (вимагаючи тим самим якнайшвидшого обстеження офтальмологом), повіку обережно відкривають, не тиснучи на очне яблуко, і проводять якомога більш повне обстеження. Як мінімум відмічають наступне:

  • Гострота зору

  • Форма зіниці та зіничні рефлекси

  • Екстраокулярні рухи

  • Глибина передньої камери або наявність крововиливу

  • Наявність червоного рефлексу

  • Внутрішньоочний тиск

Оцінка гостроти зору

В низхідному порядку гостроти, зір оцінюється як

  • Читання таблиці Снеллена

  • Підрахунок пальців із відмічанням відстані (наприклад, підрахунок пальців на відстані приблизно 3 см [1 дюйм])

  • Виявлення руху рук

  • Сприйняття світла (документується як СС або «сприйняття світла»)

  • Відсутність сприйняття світла (документується як ВСС або «відсутність сприйняття світла»)

Для полегшення обстеження може бути використаний анальгетик або анксіолітик. Делікатне та обережне використання ретракторів повік або розширювача повік дозволяє відкрити повіки, якщо пацієнт потребує допомоги. Якщо комерційний інструмент недоступний, повіки можуть бути відокремлені за допомогою саморобних ретракторів, зроблених шляхом відкриття розгинання канцелярської скріпки до S-подібної форми, а потім згинання U-подібних кінців до кута 180°. Інструменти не повинні тиснути на очне яблуко. Розрив очного яблука слід запідозрити у таких випадках:

  • Розрив рогівки або склери є видимим.

  • Підтікає водяниста волога (позитивна ознака Зайделя).

  • Передня камера дуже неглибока (наприклад, створюючи видимість складок на рогівці) або дуже глибока (через розрив задньої камери до кришталика).

  • Зіниця неправильної форми або деформована (можливо, вказує на перфорацію очного яблука або вип'ячування райдужної оболонки).

  • Червоний рефлекс відсутній (можливо, вказує на крововилив у скловидне тіло або пошкодження сітківки).

Якщо є підозра на розрив очного яблука, заходи, які слід вжити до прибуття офтальмолога, полягають у накладанні захисного щитка та внутрішньовенному введенні антибіотиків (наприклад, цефтазидиму та ванкоміцину) (1). Щоб знайти стороннє тіло та інші пошкодження, наприклад переломи, необхідно зробити комп'ютерну томографію. МРТ уникають через потенційну наявність прихованого металевого стороннього тіла. Слід уникати застосування місцевих антибіотиків. Блювання, яке може підвищити внутрішньоочний тиск (ВОТ) і сприяти екстравазації вмісту ока, за потреби пригнічується за допомогою протиблювотних засобів. Оскільки небезпеку становить грибкове забруднення відкритих ран, кортикостероїди протипоказані, доки рани не будуть закриті хірургічним шляхом. При відкритих ушкодженнях очного яблука показано проведення профілактики правця. Хірургічне відновлення зазвичай вимагає ревізії очного яблука, видалення будь-яких сторонніх тіл, пошарового закриття склери та рогівки та ін'єкції антибіотиків та/або протигрибкових засобів у склоподібне тіло під загальною анестезією. Після хірургічного втручання око закривають щитком. Мідріатики та місцеві антибіотики/протигрибкові засоби застосовують залежно від конкретної етіології початкової травми та знахідок під час хірургічного втручання. Слідкують за внутрішньоочним тиском, а будь-яке підвищення лікують місцевими препаратами. Протягом кількох днів пацієнт перебуває під ретельним спостереженням через ризик посттравматичного ендофтальміту. Дуже рідко після розриву очного яблука починається запалення у неушкодженому контралатеральному оці (симпатична офтальмія), яке за відсутності лікування може призвести до втрати зору аж до повної сліпоти. Механізмом є автоімунна реакція, а динаміка є змінною (2).

Внутрішньоочні сторонні тіла

Проникаюча травма ока також може призвести до затриманого внутрішньоочного стороннього тіла (наприклад, зламаного олівця, фрагменту металу від обертового інструменту). Внутрішньоочні сторонні тіла потребують негайного хірургічного видалення офтальмологом. Інтравітреальні, системні та місцеві протимікробні препарати показані через їхню ефективність проти Bacillus cereus, яка може бути присутньою у будь-якому пошкодженні, забрудненому ґрунтом або рослинністю. Ці протимікробні препарати включають інтравітреальне введення цефтазидиму у комбінації з ванкоміцином з подальшим внутрішньовенним введенням і місцевим застосуванням ванкоміцину і цефтазидиму або фторхінолонів, таких як моксифлоксацин (1, 3). При розриві очного яблука слід уникати використання мазі.

Щоб уникнути небажаного тиску, який може спричинити вихід вмісту очного яблука через місце пошкодження, на око накладають захисний щиток (наприклад, пластиковий або алюмінієвий щиток для захисту очей, або нижню третину паперового стаканчика) та фіксують його. Слід уникати накладання пов'язок на очі, оскільки вони також можуть ненавмисно тиснути на очне яблуко. Після відкритих ушкоджень очного яблука показано проведення профілактики правця.

Як і у випадку будь-якого розриву очного яблука необхідно проводити профілактику блювання (наприклад, внаслідок болю), яке може підвищити внутрішньоочний тиск. При виникненні нудоти слід призначати протиблювотні засоби.

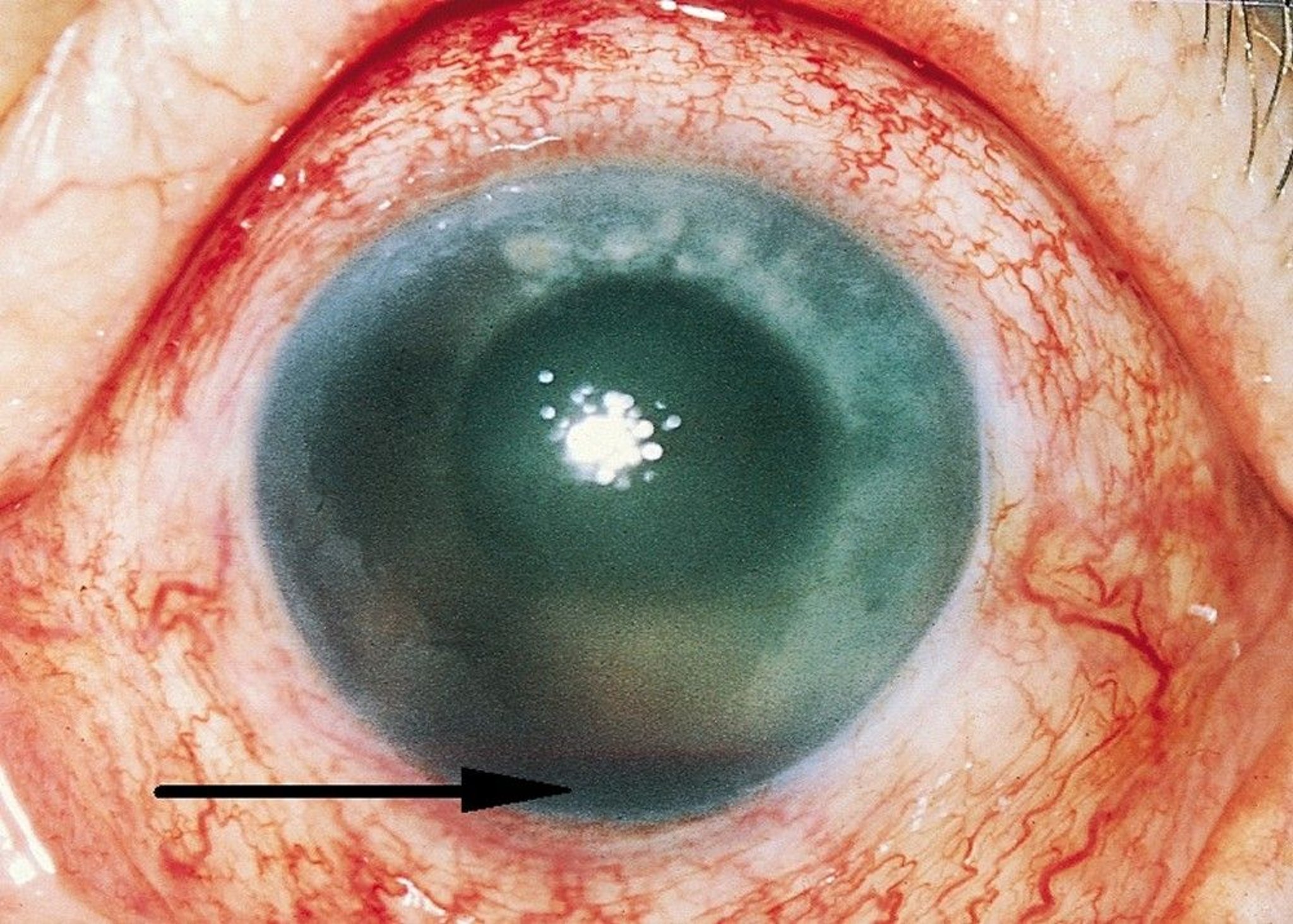
Гіфема (крововилив у передню камеру)

Гіфема зазвичай виникає внаслідок пошкодження переднього сегмента ока, зокрема райдужної оболонки, та її вклинення у склеру, що призводить до крововиливу в передню камеру ока. Гіфема може супроводжуватися рецидивуючою кровотечею, аномаліями внутрішньоочного тиску (ВОТ) та/або забарвленням рогівки кров'ю, і будь-який з цих станів може призвести до незворотної втрати зору. Симптоми залежать від пов'язаних травм, за винятком випадків, коли гіфема достатньо велика для порушення зору. Прямий огляд зазвичай виявляє клітини крові в передній камері, з нашаруванням крові або без нього, та/або наявність згустку в передній камері. Нашарування виглядає як меніскоподібний рівень крові у підлеглій (зазвичай нижній) частині передньої камери. Мікрогіфема, менш тяжка форма гіфеми, може бути виявлена лише прямим оглядом передньої камери шляхом обстеження за допомогою щілинної лампи, яке дає змогу візуалізувати суспензію еритроцитів.

Офтальмолог повинен якомога швидше відвідати пацієнта. Пацієнту призначають ліжковий режим з піднятим до кута 30–45° головним кінцем ліжка і накладають очний щиток для захисту очей від подальшої травми (див. Абразії та сторонні тіла рогівки). Пацієнти з високим ризиком рецидивуючої кровотечі (тобто пацієнти з великими гіфемами, геморагічними діатезами або серповидноклітинною анемією, а також пацієнти, які отримують антикоагулянти), з внутрішньоочним тиском (ВОТ), який важко контролювати, або пацієнти, які, ймовірно, не зможуть дотримуватися рекомендованого лікування, можуть бути госпіталізовані. Якщо причина гіфеми невідома, слід розглянути можливість проведення обстеження на наявність порушень гемостазу. Протипоказані пероральні та місцеві нестероїдні протизапальні препарати (НПЗП), оскільки вони можуть сприяти рецидивам кровотечі. Антифібринолітики, такі як транексамова кислота, зазвичай не використовуються, але можуть бути корисними пацієнтам із високим ризиком повторної кровотечі або інших ускладнень (4).

Лікування гіфеми головним чином зосереджено на контролі ВОТ. Внутрішньоочний тиск може зрости різко (протягом годин, зазвичай у пацієнтів із серповидноклітинною анемією або аномалією) або протягом декількох місяців чи років потому. Через це ВОТ контролюється щодня протягом декількох днів, а потім регулярно протягом наступних тижнів і місяців, а також у разі появи симптомів (наприклад, поява болю в очах, зниження гостроти зору, нудота — усі ці симптоми схожі на симптоми гострої закритокутової глаукоми). Якщо тиск підвищується, вводять тимолол 0,5% двічі на добу, бімонідин 0,2% або 0,15% двічі на добу, або обидва препарати. Реакція на лікування визначається тиском, часто перевіряється кожні 1 або 2 години до досягнення контролю або до демонстрації суттєвого зниження показників; після цього він зазвичай перевіряється один або два рази на добу. Для зменшення запалення та рубцювання часто призначають мідріатичні краплі (наприклад, скополамін 0,25% 3 рази на добу або атропін 1% 3 рази на добу протягом 5 днів) та місцеві кортикостероїди (наприклад, преднізолону ацетат 1% 4–8 разів на добу протягом 2–3 тижнів). Однак докази на підтримку використання мідріатиків і кортикостероїдів при гіфемі не є остаточними (5).

Повідомляється, що повторна кровотеча внаслідок ретракції тромбу виникає у 38 % пацієнтів (4). Щодо лікування слід проконсультуватися з офтальмологом, оскільки повторна кровотеча може бути сильнішою, ніж початкова кровотеча. Можна розглянути призначення антифібринолітиків, прийнятними варіантами є міотичні або мідріатичні препарати. За наявності повторної кровотечі слід також контролювати внутрішньоочний тиск. Зрідка рецидивуюча кровотеча з вторинною глаукомою вимагає хірургічного видалення крові.

«Вибуховий» перелом

«Вибуховий» перелом виникає, коли тупа травма проштовхує вміст очниці через одну з найбільш крихких частин стінки очниці, як правило, через дно (6). Також можуть виникати переломи медіальної, латеральної стінок та склепіння. У пацієнтів може бути біль в обличчі або в очниці, диплопія, енофтальм, гіпестезія щоки та верхньої губи (через ушкодження інфраорбітального нерва), носова кровотеча та/або підшкірна емфізема. Слід також виключити інші переломи або травми обличчя. В усіх випадках перелому очниці необхідно враховувати можливість ушкодження очного яблука, зорового нерва та головного мозку і, за наявністю показань, проводити обстеження для їх виявлення.

Діагноз найкраще встановлювати за допомогою комп'ютерної томографії (КТ) з тонкими зрізами через кістки обличчя. Якщо рухливість очей порушена (наприклад, викликаючи диплопію), необхідно провести обстеження окорухових м'язів на предмет ознак защемлення.

Якщо присутня диплопія або клінічно значущий енофтальм, може бути показане хірургічне відновлення. Проте лікування багатьох, якщо не більшості пацієнтів з переломами дна очниці, може бути консервативними без хірургічного втручання. Пацієнтів слід попросити уникати видування носа з метою запобігання розвитку компартмент-синдрому очниці від зворотного току повітря (7). Застосування місцевого інтраназального судинозвужуючого засобу протягом 2–3 днів може зменшити носову кровотечу. Якщо у пацієнтів є синусит, можуть застосовуватися пероральні антибіотики.

Компартмент-синдром очниці

Компартмент-синдром очниці (КСО) — це невідкладний офтальмологічний стан. КСО виникає, коли тиск в очниці раптово збільшується, зазвичай через травму, яка викликає кровотечу в очницю. Все, що збільшує об'єм очниці (повітря, кров або гній в очниці), може призводити до КСО. Симптоми можуть включати раптову втрату зору, а також диплопію, біль в оці та набряк повік (8).

Результати фізикального обстеження можуть включати зниження зору, набряк кон'юнктиви (хемоз), екхімоз, обмежену та/або болючу рухомість ока, аферентний зіничний дефект, проптоз, офтальмоплегію та підвищений внутрішньоочний тиск (ВОТ). Діагностика ґрунтується на клінічній картині, при цьому лікування не слід відкладати до проведення візуалізуючого дослідження (9).

Лікування передбачає негайну латеральну кантотомію та кантоліз (хірургічний доступ до латерального кантального сухожилка з розсіченням його нижньої гілки), після якого проводять:

  • Моніторинг з можливою госпіталізацією пацієнта у стаціонар, із припіднятим до кута 45° головним кінцем ліжка

  • Лікування підвищеного ВОТ; у гострій фазі в якості короткочасного відтермінування можна вводити внутрішньовенний манітол (якщо немає системних або нейрохірургічних протипоказань) (10).

  • Усунення будь-якої коагулопатії

  • Профілактику подальшого підвищення внутрішньоорбітального тиску (профілактика або мінімізація болю, нудоти, кашлю, напруження, тяжкої гіпертензії)

  • Прикладання льоду або холодних компресів

  • Консультація з офтальмологом для розгляду питання про хірургічне втручання та/або інші показані специфічні для спеціальності методи лікування. Медикаментозна терапія не повинна бути підставою для відкладення консультації та розгляду питання щодо хірургічного втручання

Довідкові матеріали

  1. 1. Bhagat N, Nagori S, Zarbin M. Post-traumatic infectious endophthalmitis. Surv Ophthalmol 6(3):214-251, 2011. doi: 10.1016/j.survophthal.2010.09.002

  2. 2. Parchand S, Agrawal D, Ayyadurai N, et al: Sympathetic ophthalmia: A comprehensive update. Indian J Ophthalmol 70(6):1931-1944, 2022. doi: 10.4103/ijo.IJO_2363_21

  3. 3. Knox FA, Best RM, Kinsella F, et al: Management of endophthalmitis with retained intraocular foreign body. Eye (Lond) 18(2):179-182, 2004. doi: 10.1038/sj.eye.6700567

  4. 4. Deans R, Noël LP, Clarke WN. Oral administration of tranexamic acid in the management of traumatic hyphema in children. Can J Ophthalmol 27(4):181-183, 1992 PMID: 1633590

  5. 5. Woreta FA, Lindsley KB, Gharaibeh A, Ng SM, Scherer RW, Goldberg MF. Medical interventions for traumatic hyphema. Cochrane Database Syst Rev 3(3):CD005431, 2023. doi: 10.1002/14651858.CD005431.pub5

  6. 6. Iftikhar M, Canner JK, Hall L, Ahmad M, Srikumaran D, Woreta FA. Characteristics of orbital floor fractures in the United States from 2006 to 2017. Ophthalmology 128(3):463-470, 2021. doi: 10.1016/j.ophtha.2020.06.065

  7. 7. Kersten RC, Vagefi MR, Bartley GB. Orbital "blowout" fractures: Time for a new paradigm. Ophthalmology 125(6):796-798, 2018. doi: 10.1016/j.ophtha.2018.02.014

  8. 8. Papadiochos I, Petsinis V, Sarivalasis S-E: Acute orbital compartment syndrome due to traumatic hemorrhage: 4-year case series and relevant literature review with emphasis on its management. Oral Maxillofac Surg 27(1):101-116, 2023. doi: 10.1007/s10006-021-01036-9

  9. 9. Hatton MP, Rubin PA. Management of orbital compartment syndrome. Arch Ophthalmol 125(3):433-434, 2007; author reply 434. doi: 10.1001/archopht.125.3.433-b

  10. 10. Johnson D, Winterborn A, Kratky V. Efficacy of intravenous mannitol in the management of orbital compartment syndrome: A nonhuman primate model. Ophthalmic Plast Reconstr Surg 32(3):187-190, 2016. doi: 10.1097/IOP.0000000000000463

Ключові моменти

  • Гіфема, яка найкраще діагностується при обстеженні за допомогою щілинної лампи, вимагає ліжкового режиму із піднятим до кута 30–45° головним кінцем ліжка та ретельного моніторингу внутрішньоочного тиску.

  • Пацієнтів із «вибуховими» переломами, які викликають диплопію або неприйнятний енофтальм, слід направляти на хірургічне відновлення ушкодження.

  • Пацієнтам із компартмент-синдромом очниці слід негайно виконати латеральну кантотомію та нижній кантоліз, а також отримати негайну консультацію офтальмолога.

  • Травма рогівки може спричинити розрив очного яблука, катаракту, вивих кришталика, глаукому, крововилив у скловидне тіло або пошкодження сітківки (крововилив, відшарування або набряк).

  • Лікування сторонніх тіл рогівки здійснюється шляхом видалення стороннього матеріалу, призначення місцевого антибіотика та іноді закапування циклоплегіка.

  • Підозра на внутрішньоочне стороннє тіло має виникати, якщо спостерігається відтік флуоресцеїну від дефекту рогівки, якщо зіниця має неправильну форму або якщо у механізмі травми задіяна високошвидкісна машина (наприклад, дриль, пила, будь-який інший інструмент, принцип роботи якого передбачає дію металу на метал), кування або вибух.

  • Якщо є підозра на проникаюче поранення, ні в якому разі не слід накладати на око пов'язку. Завжди слід використовувати лише щиток на око.

  • За наявності внутрішньоочного стороннього тіла застосовують системні та місцеві антибіотики, накладається щиток, контролюється біль і нудота, а також проводиться консультація з офтальмологом з приводу хірургічного видалення.