Uvungu wa Plantari

(Uvimbe wa Plantar)

NaJames C. Connors, DPM, Kent State University College of Podiatric Medicine
Imekaguliwa naBrian F. Mandell, MD, PhD, Cleveland Clinic Lerner College of Medicine at Case Western Reserve University
Imepitiwa/Imerekebishwa Imebadilishwa Oct 2025
v26371341_sw

Plantar fasciitis is pain originating from the dense band of tissue called the plantar fascia that extends from the bottom of the heel bone to the base of the toes (ball of the foot).

  • The connective tissue between the heel and ball of the foot may become damaged and painful.

  • Pain, which is often worse when first bearing weight in the morning and after periods of rest, is felt at the bottom of the heel.

  • The diagnosis is based on an examination of the foot and imaging tests.

  • Stretches, applying ice, changing footwear, wearing devices inside the shoe that cushion, support, and elevate the heel, and sometimes steroid injections can help.

(See also Overview of Foot Problems.)

The plantar fascia connects the bottom of the heel bone to the ball of the foot and is essential to walking, running, and giving spring to the step.

Other terms used to describe plantar fasciitis include plantar fasciosis, calcaneal enthesopathy, and calcaneal spur syndrome (heel spur). A heel spur is a pointed growth of extra bone on the heel bone. It is caused over time by a combination of increased pull on the fascia and foot dysfunction. However, a heel spur may or may not be present. Often a small tear results from excessive strain placed on the plantar fascia. Plantar fasciitis is one of the most common causes of heel pain.

Plantar fasciitis can develop in people who have a sedentary lifestyle, wear high-heeled shoes, have unusually high or low arches in the feet, or have tight calf muscles or a tight Achilles tendon (the tendon that attaches the calf muscles to the heel bone). Sedentary people are usually affected when they suddenly increase their level of activity or wear less supportive shoes such as sandals or flip-flops. Plantar fasciitis is also common among runners and dancers because of increased stress on the fascia, especially if the person also has poor foot posture. The development of this painful disorder occurs more often in people whose occupations involve standing or walking on hard surfaces for prolonged periods.

Disorders that may cause or aggravate plantar fasciitis are obesity, rheumatoid arthritis, and other types of arthritis. Too many steroid (sometimes called glucocorticoid or corticosteroid) injections given around the heel to help relieve plantar fasciitis can actually make it worse by causing thinning of the fat pad under the heel, leading to damage of the fascia.

Dalili za Uvungu wa Plantari

A person with plantar fasciitis may have pain anywhere along the course of the plantar fascia but most commonly where the fascia joins the bottom of the heel bone. The person often feels a great deal of pain with weight bearing, particularly when placing weight on the foot first thing in the morning. The pain temporarily lessens within 5 to 10 minutes but may return later in the day. It is often worse when pushing off of the heel (such as when walking or running) and after periods of rest. In this case, the pain radiates from the bottom of the heel toward the toes. Some people have burning or sticking pain along the inside border of the sole of the foot when walking.

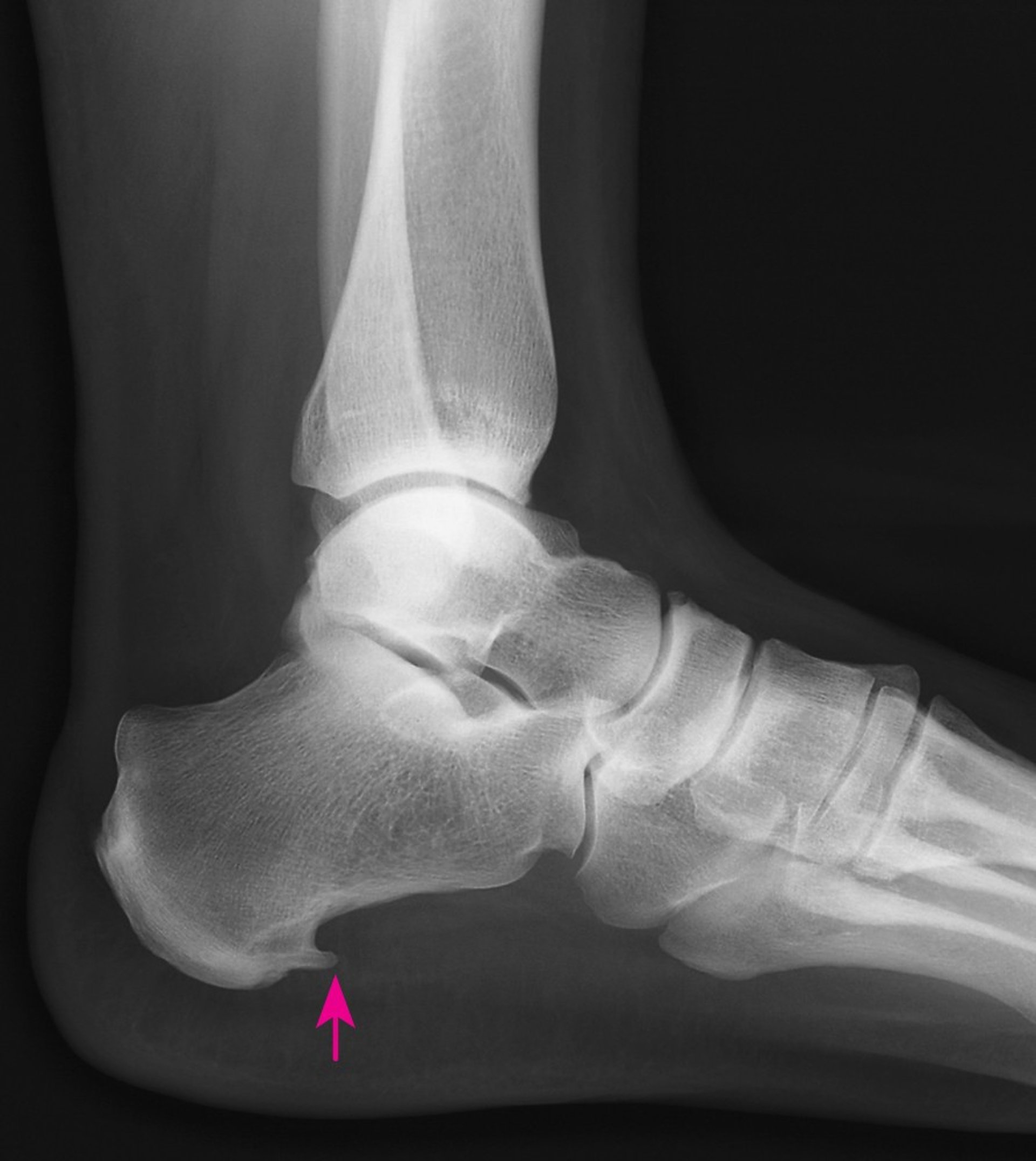
Kivimbe cha Kisigino ni Nini?

A heel spur is a pointed growth of extra bone on the heel bone (calcaneus). It may form when the plantar fascia, the connective tissue extending from the bottom of the heel bone to the base of the toes (ball of the foot), pulls excessively on the heel. The spur may be painful as it develops but it may become less painful as the foot adjusts to it. Not all heel spurs cause symptoms. When heel spurs do cause symptoms, most can be treated without surgery.

Dalili za Uvungu wa Plantari

  • A doctor's examination of the foot

  • Sometimes x-rays

The doctor may make the diagnosis of plantar fasciitis by examining the foot. The diagnosis is confirmed if people have tenderness where the plantar fascia enters the heel bone.

X-rays may show a heel spur protruding from the bottom front edge of the heel bone. However, people with plantar fasciitis often do not have heel spurs, and most people who do have heel spurs do not have pain, so the presence of a heel spur does not necessarily confirm plantar fasciitis and also does not mean the heel spur needs to be treated.

Other diagnostic tests, such as magnetic resonance imaging (MRI), may be done if doctors suspect the person's fascia is torn.

Matibabu ya Uvungu wa Plantari

  • Stretching, orthoses, and night splints

To relieve the stress and pain on the fascia, the person can take shorter steps and avoid walking barefoot. Activities that involve foot impact, such as jogging, should be avoided. The person may need to lose weight. Stretching the Achilles tendon and foot often accelerates healing. Therefore, the most effective treatments for plantar fasciitis include using in-shoe heel cushioning and arch supports, doing Achilles tendon-stretching exercises, and wearing splints that stretch the Achilles tendon and plantar fascia while sleeping. Orthoses (devices placed in the shoe) can help to cushion, support, and elevate the heel.

Other measures that may be needed include use of adhesive strapping or arch-supporting wraps, cold and ice massage, use of nonsteroidal anti-inflammatory drugs (NSAIDs), and occasional steroid injections into the heel. Steroid injections are usually not given more than a few times because they can make the disorder worse by thinning the heel fat pad.

If these measures are not helpful, a cast may be applied, and doctors may recommend physical therapy. If symptoms still continue, surgery may be needed to partially release pressure on the fascia and remove heel spurs if they seem to be contributing to the pain.

In some cases, doctors may use extracorporeal pulse activation therapy (EPAT) to apply pressure waves of sound to the heel. The pressure waves stimulate blood circulation, which may help healing.