Atelectasia se refere ao colapso do tecido pulmonar com perda de volume. Os pacientes podem ter dispneia ou insuficiência respiratória se a atelectasia for extensa. Eles também podem desenvolver pneumonia. A atelectasia costuma ser assintomática, mas hipoxemia e dor torácica pleurítica podem estar presentes. O diagnóstico é feito por radiografia de tórax ou tomografia computadorizada. O tratamento inclui manter a tosse e a respiração profunda e tratar a causa.
A tendência natural de espaços abertos de ar, como os alvéolos, é colapsar. Isso é combatido pelo seguinte:
Surfactante (que mantém a baixa tensão superficial)
Respiração contínua (que mantém os alvéolos abertos)
Respiração profunda intermitente (que libera o surfactante nos alvéolos)
Tosse periódica (que remove as secreções das vias respiratórias)
As principais consequências da atelectasia incluem troca gasosa comprometida (isto é, hipóxia e/ou hipercapnia), pneumonia e insuficiência respiratória em casos graves.
Etiologia da atelectasia
Os fatores mais comuns que causam a atelectasia incluem:
Obstrução intrínseca das vias respiratórias (p. ex., por corpo estranho, tumor, tampão mucoso)
Compressão extrínseca das vias respiratórias (p. ex., por tumores, linfadenopatia)
Supressão da respiração ou tosse (p. ex., anestesia geral, sedação excessiva, dor)
Posicionamento em decúbito dorsal, particularmente em pacientes obesos e naqueles com cardiomegalia
Compressão ou colapso do parênquima pulmonar (p. ex., por um grande derrame pleural ou pneumotórax)
Cirurgias torácicas e abdominais são causas muito comuns, porque envolvem anestesia geral, consumo de opiáceos (com possível depressão respiratória secundária) e, muitas vezes, dor à respiração. Um tubo endotraqueal mal posicionado pode causar atelectasia ao ocluir um brônquio-fonte.
Causas menos comuns da atelectasia incluem deficiência ou disfunção do surfactante, cicatrizes do parênquima pulmonar, ou tumores.
Sinais e sintomas da atelectasia
A atelectasia em si é assintomática, a menos que se desenvolva hipoxemia ou pneumonia. Os sintomas da hipoxemia tendem a estar relacionados com a rapidez de instalação e a extensão da atelectasia. Na atelectasia rápida e extensa, podem se desenvolver dispneia ou até mesmo insuficiência respiratória. Na atelectasia de desenvolvimento mais lento e menos extensa, os sintomas podem ser leves ou ausentes.
A pneumonia pode causar tosse, dispneia e dor pleurítica. A dor pleurítica também pode ocorrer em razão da doença que inicialmente causou a atelectasia (p. ex., trauma ou cirurgia torácicos).
Muitas vezes há ausência de sinais se a atelectasia for mínima. Se a área da atelectasia for grande, detectam-se sons respiratórios diminuídos na região da atelectasia e, possivelmente, macicez à percussão e diminuição da expansibilidade torácica. Frequentemente, é descoberta incidentalmente em exames de imagem do tórax (p. ex., radiografias ou tomografia computadorizada [TC]).
Diagnóstico da atelectasia
Radiografia de tórax ou, particularmente em doenças mais leves, TC de tórax
Deve-se suspeitar de atelectasia em pacientes que têm quaisquer sintomas respiratórios inexplicáveis e que têm fatores de risco, particularmente uma cirurgia de grande porte recente. A atelectasia que é clinicamente significativa (p. ex., que provoca sintomas, aumenta o risco de complicações ou afeta significativamente a função pulmonar) geralmente é visível na radiografia do tórax; os achados podem incluir opacificação pulmonar localizada e/ou perda do volume pulmonar. Casos mais leves podem não ser aparentes em radiografias de tórax e só podem ser vistos com exames de imagem seccionais (isto é, TC de tórax).
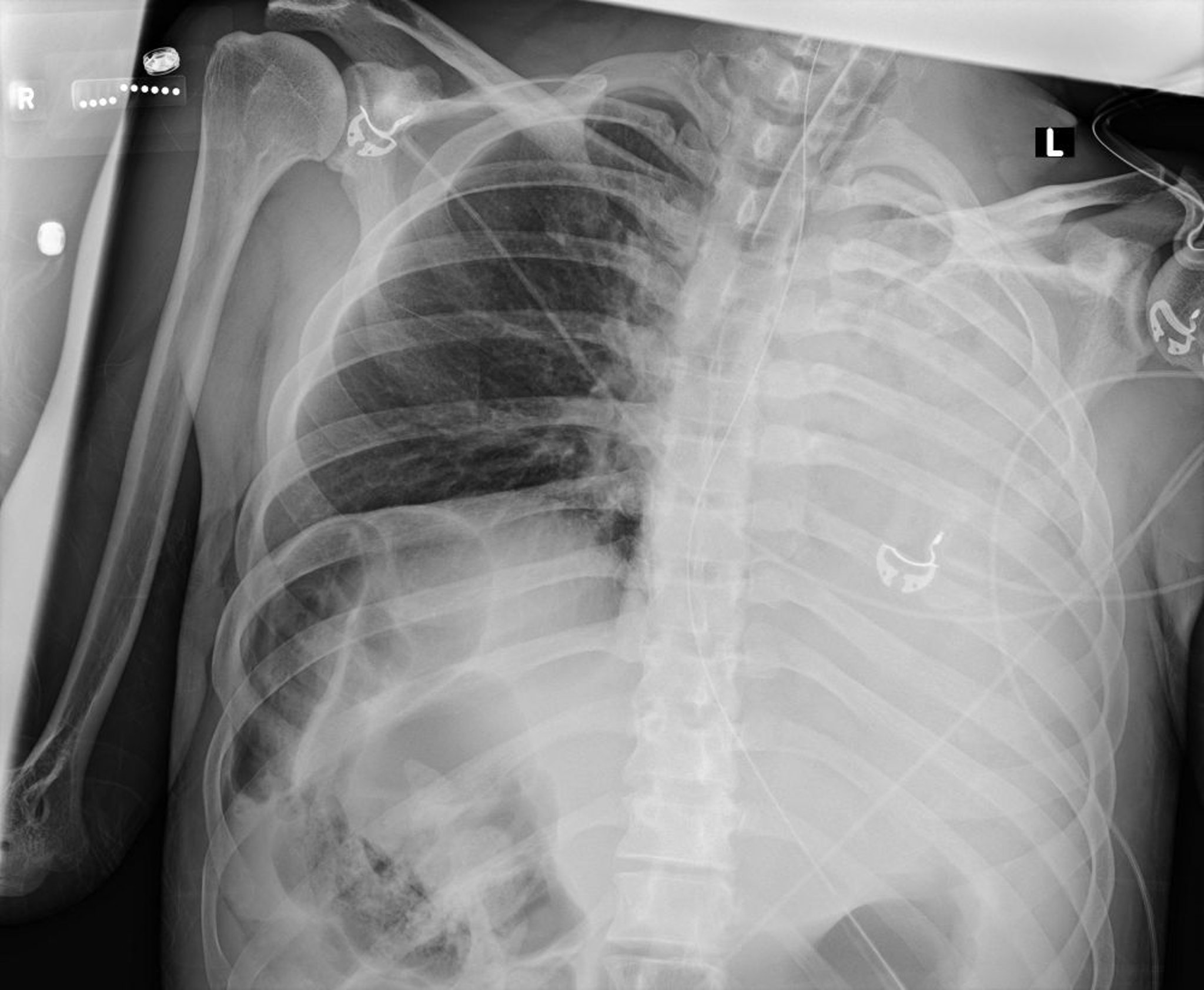
Esta radiografia do tórax mostra colapso de todos os lobos do pulmão esquerdo devido a um tampão de muco.
Courtesy of Alexander S. Niven, MD
Se a causa da atelectasia não for clinicamente aparente (p. ex., se não houve cirurgia recente nem foi identificada pneumonia na radiografia do tórax) ou houver suspeita de outra doença (p. ex., embolia pulmonar, tumor), outros testes, como uma broncoscopia ou TC de tórax, podem ser necessários.
Tratamento da atelectasia
Maximizar a tosse cinética e a respiração profunda
Se houver suspeita de obstrução por tumor ou corpo estranho, broncoscopia
As evidências de eficácia da maior parte dos tratamentos para a atelectasia são fracas. Contudo, as medidas comumente recomendadas incluem fisioterapia torácica para ajudar a manter a ventilação e remover as secreções, e incentivo de técnicas de expansão pulmonar como tosse direcionada, exercícios de respiração profunda e uso frequente de um espirômetro de incentivo, o que geralmente é feito em ambiente hospitalar (1). Em pacientes que deambulam, os exercícios (p. ex., caminhada) são uma forma adequada de promover a respiração profunda.
Para pacientes que estão intubados e ventilados mecanicamente, a pressão expiratória final positiva pode prevenir a atelectasia. Embora volumes correntes mais elevados possam reduzir a atelectasia, as evidências sustentam o uso de volumes mais baixos (p. ex., 6 a 8 mL/kg de peso corporal predito) para a grande maioria dos pacientes, a fim de reduzir o risco de lesão pulmonar induzida por ventilador. Para os pacientes que não estão intubados e não têm secreções excessivas, a pressão positiva contínua das vias respiratórias pode ajudar (2).
Evitar a sedação excessiva ajuda a garantir a ventilação, além de uma respiração profunda e tosse suficientes. Contudo, a dor pleural grave pode prejudicar a respiração profunda e a tosse e pode ser aliviada apenas com opioides. Assim, muitos médicos prescrevem analgésicos opioides em doses suficientes para aliviar a dor e aconselham os pacientes a tossir de maneira consciente e respirar profundamente periodicamente. Em determinados pacientes no pós-operatório, a analgesia epidural ou um bloqueio do nervo intercostal pode ser utilizado para aliviar a dor sem causar depressão respiratória. Terapia com antitussígeno deve ser evitada.
Mais importante ainda, a causa subjacente da atelectasia (p. ex., tampão mucoso, corpo estranho, tumor, massa, derrame pleural) deve ser tratada. Para tamponamento mucoso persistente, tenta-se o uso de dornase alfa nebulizada (que decompõe o DNA no muco) e, às vezes, broncodilatadores; ambos ajudam na liquefação e expectoração de muco tenaz (3). A acetilcisteína é eficaz, mas às vezes é evitada porque pode causar broncoconstrição. Se outras medidas forem ineficazes ou houver suspeita de outra causa de obstrução além de um tampão mucoso, deve-se fazer broncoscopia.
Referências sobre tratamento
1. Odor PM, Bampoe S, Gilhooly D, Creagh-Brown B, Moonesinghe SR. Perioperative interventions for prevention of postoperative pulmonary complications: systematic review and meta-analysis. BMJ 2020;368:m540. Published 2020 Mar 11. doi:10.1136/bmj.m540
2. Branson RD. The scientific basis for postoperative respiratory care. Respir Care 2013;58(11):1974-1984. doi:10.4187/respcare.02832
3. Tarrant BJ, Maitre CL, Romero L, et al. Mucoactive agents for adults with acute lung conditions: A systematic review. Heart Lung 2019;48(2):141-147. doi:10.1016/j.hrtlng.2018.09.010
Prevenção de atelectasias
Fumantes podem diminuir o risco de atelectasia pós-operatória parando de fumar, idealmente pelo menos 6 a 8 semanas antes da cirurgia. O tratamento farmacológico para pacientes com doenças pulmonares crônicas (p. ex., DPOC) deve ser otimizado antes da cirurgia.
Deve-se considerar o treinamento muscular inspiratório pré-operatório (incluindo espirometria de incentivo) para pacientes agendados para cirurgia torácica ou abdominal alta. Durante a cirurgia ou no período perioperatório imediato, o uso de fisioterapia respiratória profilática, modos de ventilação protetora pulmonar e pressão positiva contínua das vias respiratórias no pós-operatório (que fornece pressão expiratória constante e previne o colapso alveolar) tem se mostrado eficaz na prevenção de atelectasia. Depois da cirurgia, a deambulação precoce e técnicas de expansão pulmonar (p. ex., tosse, exercícios de respiração profunda, espirometria de incentivo) também podem diminuir o risco.
Pontos-chave
A atelectasia é o colapso reversível do tecido pulmonar com perda de volume; as causas comuns incluem compressão intrínseca ou extrínseca das vias respiratórias, hipoventilação e um tubo endotraqueal mal posicionado.
A atelectasia em uma área extensa pode causar hipoxemia sintomática, mas quaisquer outros sintomas são decorrentes da causa ou de uma pneumonia sobreposta.
O diagnóstico é feito por radiografia de tórax; se a causa não for clinicamente aparente, pode ser necessária uma broncoscopia ou TC do tórax.
O tratamento envolve o uso de espirometria de incentivo, maximizando a tosse, a respiração profunda e, sempre que possível, incentivando a mobilização.



