L'emotorace è l'accumulo di sangue nella cavità pleurica.
(Vedi anche Panoramica sui traumi del torace.)
La causa dell'emotorace è la lacerazione del polmone, dei vasi intercostali, o di un'arteria mammaria interna. Esso può derivare da un trauma contusivo o penetrante. L'emotorace è spesso accompagnato dallo pneumotorace (emopneumotorace).
Il volume dell'emorragia varia da una quantità minima a una imponente. L'emotorace massivo il più delle volte è definito come il rapido accumulo di sangue ≥ 1000 mL. Lo shock è comune.
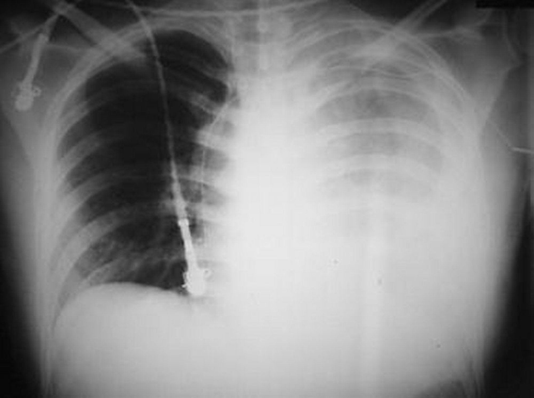
Questa foto mostra un emotorace sinistro massiccio in seguito ad una ferita da arma da fuoco alla parte sinistra del torace.
© Springer Science+Business Media
I pazienti con grande volume emorragico sono spesso dispnoici e hanno i suoni respiratori diminuiti e ottusità alla percussione (spesso difficili da apprezzare durante la valutazione iniziale dei pazienti con lesioni multiple). I reperti possono essere irrilevanti nei pazienti con emotoraci più piccoli.
Diagnosi dell'emotorace
RX torace
A volte E-FAST (Extended Focused Assessment With Sonography in Trauma)
L'emotorace è sospettato sulla base dei sintomi e rilievi fisici. La diagnosi è tipicamente confermata dalla RX torace e talvolta dall'E-FAST o dallaTC.
Trattamento dell'emotorace
Rianimazione con liquidi secondo necessità
Di solito toracostomia mediante tubo toracostomico
Talvolta toracotomia
Ai pazienti con segni di ipovolemia (p. es., tachicardia, ipotensione) devono essere somministrati cristalloidi EV e talvolta una trasfusione di sangue (vedi Rianimazione con liquidi endovenosi).
Se il volume di sangue è sufficiente da essere visibile alla RX torace (di solito richiede circa 500 mL), o se è presente lo pneumotorace, un tubo toracico di grosso calibro (p. es., da 28 a 38 Fr) è inserito nel 5o o 6o spazio intercostale sulla linea ascellare media. Il tubo di drenaggio migliora la ventilazione, riduce il rischio di emotorace coagulato (che può portare a empiema o al fibrotorace), e facilita la valutazione della perdita di sangue in corso e dell'integrità diaframmatica. Il sangue raccolto tramite toracostomia mediante tubo toracostomico può essere autotrasfuso, riducendo la necessità di cristalloidi e di sangue esogeno.
La toracotomia d'urgenza è indicata in ciascuna delle seguenti situazioni:
L'emorragia iniziale è > 1500 mL
Il sanguinamento è > 200 mL/h per > 2 a 4 h e causa compromissione respiratoria o emodinamica o la necessità di trasfusioni di sangue ripetute.



