La glomerulopatia fibrillare e la glomerulopatia immunotattoide sono rare patologie definite istologicamente da depositi organizzati di strutture microfibrillari o microtubulari non amiloidi all'interno del mesangio renale e della membrana basale.
Le glomerulopatie fibrillari e immunotattoidi si riscontrano in circa lo 0,6% dei campioni di biopsia renale. L'età media alla diagnosi è intorno ai 55 anni, con una leggera predominanza femminile per la glomerulopatia fibrillare, che è la più comune delle due. Vi è controversia sulla relazione tra le due; alcuni esperti ritengono che siano disturbi correlati nonostante le caratteristiche cliniche e patologiche distinte (1). Il meccanismo è sconosciuto, nonostante i depositi di immunoglobuline, in particolare di catene leggere kappa e lambda delle IgG e del complemento (C3), suggeriscano un'alterazione del sistema immunitario. I pazienti possono presentare cancro concomitante, paraproteinemia, crioglobulinemia, discrasia plasmacellulare, infezione da virus C dell'epatite o lupus eritematoso sistemico o possono avere una forma primitiva di patologia renale senza evidenza di malattia sistemica. La glomerulopatia immunotattoide, in particolare, è comunemente associata a leucemia linfocitica cronica e a linfoma a cellule B.
Tutti i pazienti presentano proteinuria, spesso in range nefrotico (≥ 3 g/die). Alla presentazione possono essere rilevate ematuria microscopica, ipertensione e malattia renale cronica.
(Vedi anche Panoramica sulla sindrome nefrotica.)
Riferimento generale
1. Rosenstock JL, Markowitz GS, Valeri AM, Sacchi G, Appel GB, D'Agati VD. Fibrillary and immunotactoid glomerulonephritis: Distinct entities with different clinical and pathologic features. Kidney Int 2003;63(4):1450-1461. doi:10.1046/j.1523-1755.2003.00853.x
Diagnosi delle glomerulopatie fibrillari e immunotattoidi
Biopsia renale
La diagnosi è suggerita dai dati di laboratorio e confermata dalla biopsia renale. Se è presente sindrome nefrotica, si eseguono gli esami come per gli altri casi di sindrome nefrotica.
L'esame delle urine normalmente evidenzia le caratteristiche della sindrome nefritica e nefrotica.
Le frazioni del complemento sierico (C3 e C4) sono solitamente dosate e a volte sono diminuite.
La microscopia ottica di un campione bioptico mostra un'espansione mesangiale dovuta ai depositi di materiale eosinofilo amorfo e una lieve ipercellularità del mesangio. Diverse altre alterazioni possono essere presenti in microscopia ottica (p. es., la formazione di semilune, un pattern membranoproliferativo). La colorazione rosso Congo risulta negativa per amiloide. L'immunoistochimica rivela IgG e C3 e a volte catene leggere kappa e lambda all'interno dei depositi.
La microscopia elettronica mostra depositi glomerulari composti da microfibrille o microtubuli extracellulari, allungati e non ramificati. Nella glomerulopatia fibrillare, il diametro delle microfibrille e dei microtubuli varia da 20 a 30 nm. Nella glomerulopatia immunotattoide, il diametro delle microfibrille e dei microtubuli varia dal 30 al 50 nm. Al contrario, nell'amiloidosi, le fibrille sono da 8 a 12 nm.
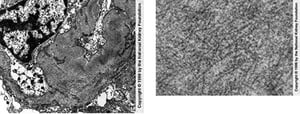
Grandi microtubuli (circa 50 nm di diametro) organizzati in matrici parallele possono essere visti alla microscopia elettronica a trasmissione. I depositi paralleli e la struttura microtubulare possono permettere di distinguere la glomerulopatia immunotattoide da quella fibrillare (×4000).
Imagine fornita da Agnes Fogo, MD, and the American Journal of Kidney Diseases' Atlas of Renal Pathology (vedi www.ajkd.org).
Alcuni esperti distinguono la glomerulopatia immunotattoide da quella fibrillare in base alla presenza di strutture microtubulari (al contrario delle più piccole microfibrillari) nei depositi; altri le distinguono per la presenza di una malattia sistemica correlata. Per esempio, una malattia linfoproliferativa, gammopatia monoclonale, crioglobulinemia, o lupus eritematoso sistemico possono suggerire una glomerulopatia immunotattoide.
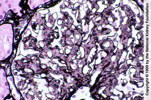
La proliferazione mesangiale è indicativa di glomerulopatia fibrillare; tuttavia, la diagnosi richiede una colorazione rosso Congo negativa, colorazione delle IgG mediante immunofluorescenza e dimostrazione delle fibrille alla microscopia elettronica (colorazione all'argento di Jones, ×400).
La proliferazione mesangiale è indicativa di glomerulopatia fibrillare; tuttavia, la diagnosi richiede una colorazione
Imagine fornita da Agnes Fogo, MD, and the American Journal of Kidney Diseases' Atlas of Renal Pathology (vedi www.ajkd.org).
Deposizione sparsa di IgG nel mesangio e nelle anse capillari (colorazione con immunofluorescenza con anti-IgG, ×400).
Deposizione sparsa di IgG nel mesangio e nelle anse capillari (colorazione con immunofluorescenza con anti-IgG, ×400).
Imagine fornita da Agnes Fogo, MD, and the American Journal of Kidney Diseases' Atlas of Renal Pathology (vedi www.ajkd.org).
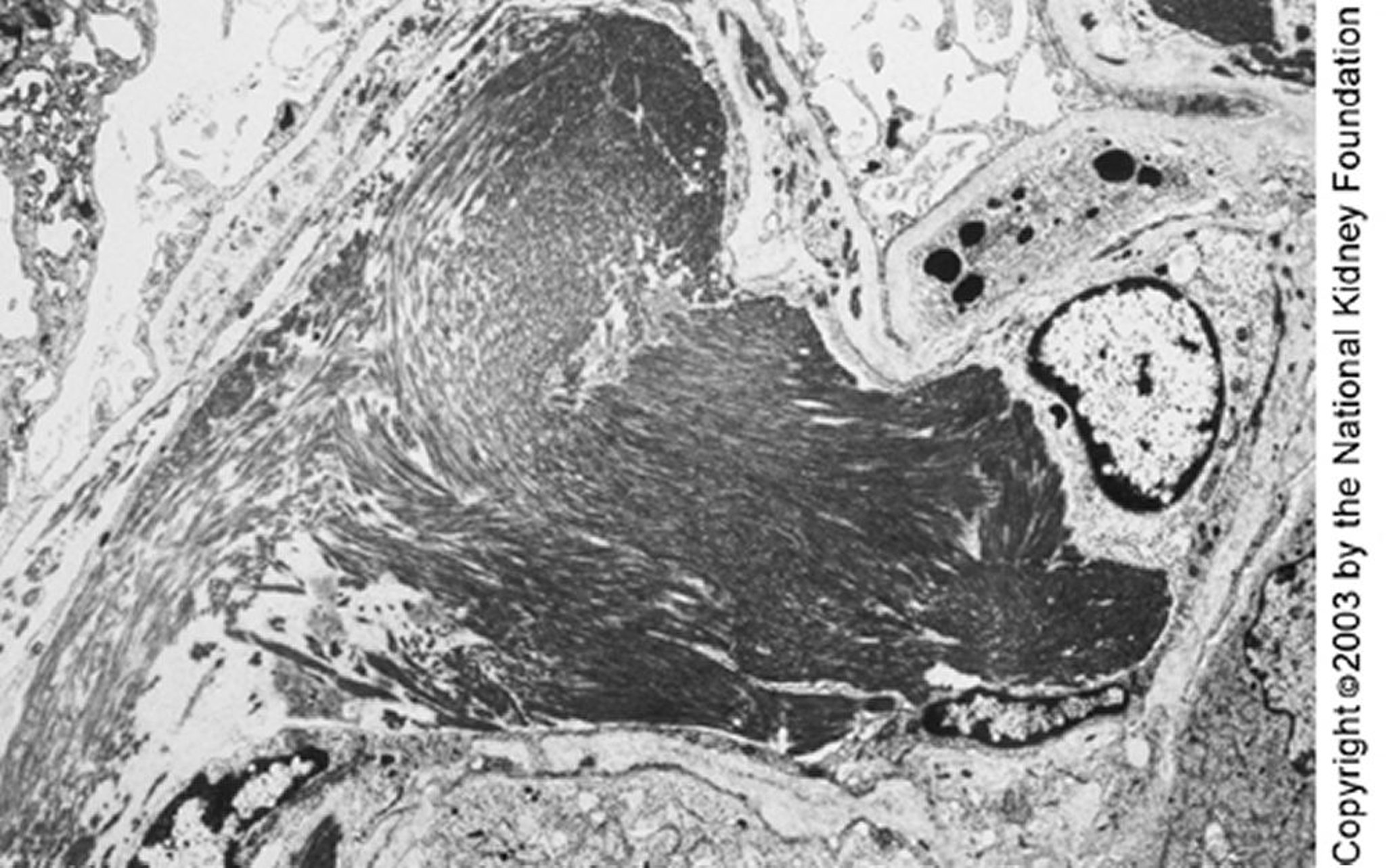
Fibrille disposte in modo casuale nelle anse mesangiali e capillari sono visibili alla microscopia elettronica a trasmissione (a sinistra). La mancanza di chiazze alla colorazione rosso Congo sono necessarie per escludere l'amiloidosi renale (×25 625). L'immagine a destra mostra una visione ad alto ingrandimento delle fibrille, che hanno un diametro più grossolano rispetto ai depositi di amiloide (× 98 000).
Fibrille disposte in modo casuale nelle anse mesangiali e capillari sono visibili alla microscopia elettronica a trasmi
Imagine fornita da Agnes Fogo, MD, and the American Journal of Kidney Diseases' Atlas of Renal Pathology (vedi www.ajkd.org).
Trattamento delle glomerulopatie fibrillari e immunotattoidi
A volte, rituximab
Considerare gli inibitori dell'enzima di conversione dell'angiotensina (ACE) o i bloccanti del recettore dell'angiotensina II (ARB), i corticosteroidi e/o altri immunosoppressori.
La condizione sottostante, se riscontrata, deve essere trattata.
Alcune evidenze supportano l'uso di rituximab sia nella glomerulopatia fibrillare che in quella immunotattoide (1, 2). Gli ACE-inibitori e gli inibitori dei recettori dell'angiotensina II possono essere utilizzati per ridurre la proteinuria. Possono essere usati anche i corticosteroidi. Il disturbo può ripresentarsi dopo il trapianto.
Riferimenti relativi al trattamento
1. Marinaki S, Tsiakas S, Liapis G, et al. Clinicopathologic features and treatment outcomes of patients with fibrillary glomerulonephritis: A case series. Medicine (Baltimore) 2021;100(20):e26022. doi:10.1097/MD.0000000000026022
2. Javaugue V, Dufour-Nourigat L, Desport E, et al. Results of a nation-wide cohort study suggest favorable long-term outcomes of clone-targeted chemotherapy in immunotactoid glomerulopathy. Kidney Int 2021;99(2):421-430. doi:10.1016/j.kint.2020.06.039
Prognosi delle glomerulopatie fibrillari e immunotattoidi
La glomerulopatia fibrillare progredisce verso l'insufficienza renale nel 50% dei pazienti entro 4 anni, con risultati probabilmente più favorevoli nella glomerulopatia immunotattoide trattata (1, 2). Un declino più rapido può essere predetto dalla presenza di ipertensione, proteinuria in range nefrotico e malattia renale cronica alla presentazione.
Riferimenti relativi alla prognosi
1. Javaugue V, Dufour-Nourigat L, Desport E, et al. Results of a nation-wide cohort study suggest favorable long-term outcomes of clone-targeted chemotherapy in immunotactoid glomerulopathy. Kidney Int 2021;99(2):421-430. doi:10.1016/j.kint.2020.06.039
2. Nasr SH, Valeri AM, Cornell LD, et al. Fibrillary glomerulonephritis: a report of 66 cases from a single institution. Clin J Am Soc Nephrol 2011;6(4):775-784. doi:10.2215/CJN.08300910



