Tumor jarang memengaruhi sendi kecuali ada tumor tulang atau tumor jaringan lunak di dekat sendi. Namun, terjadi 2 kondisi—kondromatosis sinovial dan sel raksasa tenosinovial (sebelumnya disebut sinovitis vilonodular berpigmen)—pada lapisan (sinovium) sendi. Tumor ini bersifat nonkanker (jinak), tetapi dapat menyebabkan kerusakan parah pada sendi. Kedua kondisi ini biasanya memengaruhi 1 sendi, yang paling sering adalah lutut atau pinggul, dan dapat menyebabkan nyeri serta penumpukan cairan.
Untuk mendiagnosis kondisi ini, dokter akan melakukan pemeriksaan sinar-x, tomografi terkomputasi (CT), pencitraan resonansi magnetik (MRI), atau kombinasi dari tes-tes tersebut. Untuk mengonfirmasi diagnosisnya, dokter biasanya mengambil sampel jaringan untuk diperiksa dengan mikroskop (biopsi).
Pengobatan untuk kedua tumor ini membutuhkan pengangkatan sinovium abnormal melalui pembedahan (yang disebut sinovektomi).
(Lihat juga Gambaran Umum tentang Tumor Tulang.)
Tumor sel raksasa tenosinovial
Tumor sel raksasa tenosinovial (sebelumnya disebut sinovitis vilonodular berpigmentasi [PVNS] dan tumor sel raksasa selubung tumor) menyebabkan pembengkakan dan pertumbuhan pada lapisan sendi. Pertumbuhan ini membahayakan tulang rawan dan tulang di sekitar sendi. Lapisan ini juga menghasilkan cairan ekstra yang dapat menyebabkan nyeri dan pembengkakan. Proses ini sering menyebabkan cairan berdarah di dalam sendi dan dapat mengakibatkan artritis. Tumor sel raksasa tenosinovial biasanya memengaruhi satu sendi.
Pengobatan biasanya dilakukan melalui pembedahan, tetapi kekambuhan tidak jarang terjadi. Pexidartinib, obat yang diminum melalui mulut, digunakan untuk mengurangi pertumbuhan tumor, tetapi hanya jika gejalanya parah dan tidak sembuh dengan pembedahan. Pexidartinib hanya tersedia di Amerika Serikat di pusat-pusat kanker melalui Program Evaluasi Risiko dan Strategi Mitigasi produsen. Obat ini dapat menyebabkan cedera hati yang serius dan berpotensi fatal pada sebagian penderita.
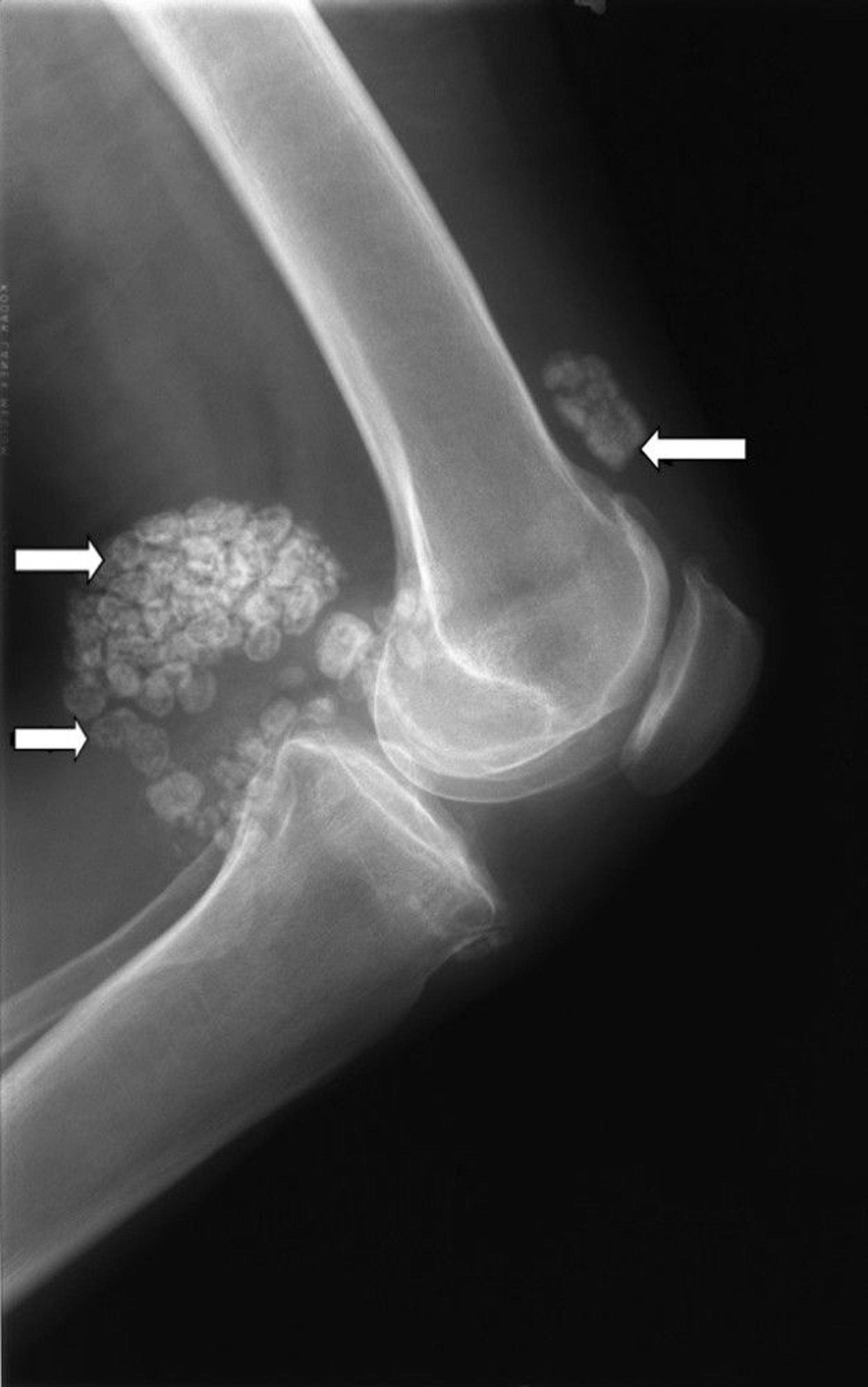
Kondromatosis sinovial
Kondromatosis sinovial (sebelumnya disebut osteokondromatosis sinovial) adalah kondisi di mana sel-sel dalam lapisan sendi berubah menjadi sel-sel yang memproduksi tulang rawan. Sel-sel yang terkonversi ini dapat membentuk gumpalan tulang rawan, kemudian masuk ke dalam ruang di sekitar sendi, membentuk partikel-partikel kecil yang mungkin tidak lebih besar dari sebutir beras, dan menyebabkan nyeri serta pembengkakan. Kondisi ini jarang bersifat kanker (ganas).
Pemeriksaan sinar-x pada lutut ini menunjukkan beberapa gumpalan tulang rawan (panah) yang dikenal sebagai kondromatosis sinovial.
Gambar milik Michael J. Joyce, MD, dan Hakan Ilaslan, MD.
Jika gejalanya parah, partikel-partikel kecil tersebut akan diangkat bersama dengan sinovium abnormal. Kondisi ini umum kembali setelah pengobatan dan biasanya diobati dengan pembedahan.
Kondromatosis sinovial didiagnosis dengan pencitraan. Pencitraan resonansi magnetik (MRI) lebih disukai karena lebih sensitif dalam mendeteksi badan longgar yang lebih kecil. Badan longgar yang lebih besar dapat dideteksi dengan sinar-x atau tomografi terkomputasi (CT) saat mengeras ke tulang.
