Sinar-x adalah jenis pencitraan medis yang menggunakan gelombang radiasi dosis sangat rendah untuk mengambil gambar tulang dan jaringan lunak. Pemeriksaan sinar-x pada dada kadang digunakan pada orang yang mungkin mengalami gangguan jantung.
Orang yang diduga mengalami gangguan jantung menjalani pemeriksaan sinar-x pada dada dari arah depan dan samping. Biasanya, orang tersebut berdiri tegak, tetapi pemeriksaan sinar-x dada dapat pula dilakukan jika ia tidak dapat berdiri. Mesin kemudian digunakan untuk mengarahkan sinar-x melalui tubuh orang tersebut dan merekam gambar pada film sinar-x. Uji ini tidak menimbulkan rasa sakit.
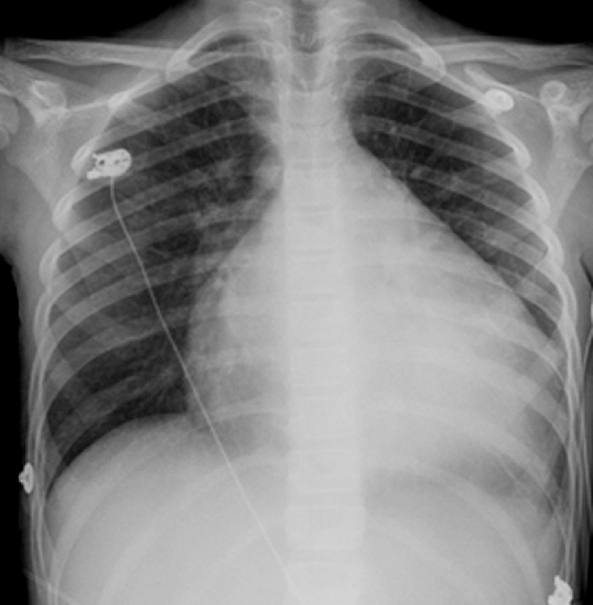
Sinar-x menunjukkan bentuk dan ukuran jantung dan garis bentuk pembuluh darah besar di paru-paru dan dada. Bentuk atau ukuran jantung yang tidak normal dan abnormalitas seperti endapan kalsium dalam pembuluh darah jadi mudah terlihat. Pemeriksaan sinar-x pada dada juga dapat mendeteksi informasi tentang kondisi paru-paru, terutama apakah pembuluh darah di paru-paru abnormal dan apakah ada cairan di dalam atau di sekitar paru-paru.
Jantung adalah struktur berbentuk bulat dan berwarna putih di tengah dada. Biasanya jantung memakan ruang kurang dari setengah dada, namun, pada orang ini yang mengalami pembesaran jantung (kardiomiopati), jantung hampir memenuhi 3/4 dimensi dada.
© Springer Science+Business Media
Sinar-X dapat mendeteksi pembesaran jantung, yang sering kali disebabkan oleh gagal jantung atau gangguan katup jantung. Sinar-X terkadang dapat membantu dalam diagnosis perikarditis konstriktif dengan mendeteksi endapan kalsium pada kantung yang menyelimuti jantung (perikardium).
Tampilan pembuluh darah di paru-paru sering kali lebih berguna dalam membuat diagnosis daripada tampilan jantung itu sendiri. Misalnya, pembesaran arteri paru (arteri yang membawa darah dari jantung ke paru) dan penyempitan arteri di dalam jaringan paru menunjukkan hipertensi pada arteri paru, yang dapat menyebabkan penebalan otot ventrikel kanan (ruang jantung bawah yang memompa darah melalui arteri paru ke paru).
