Atelektase bezeichnet den Kollaps von Lungengewebe mit einhergehendem Volumenverlust. Die Patienten können Dyspnoe oder Atemstillstand haben, wenn die Atelektase ausgeprägt ist. Sie können auch eine Lungenentzündung entwickeln. Atelektase ist in der Regel asymptomatisch, aber Hypoxämie und pleuritische Brustschmerzen können vorhanden sein. Die Diagnose wird mittels Röntgenthorax oder Computertomographie gestellt. Die Behandlung umfasst Husten, tiefes Atmen und die Behandlung der Ursache.
Der natürlichen Tendenz für offene Lufträume wie die Alveolen zu kollabieren wird durch folgendes entgegengewirkt:
Surfactant (das die niedrige Oberflächenspannung aufrechterhält)
Kontinuierliche Atmung (die die Alveolen offen hält)
Intermittierendes tiefes Atmen (das Tensid in die Alveolen lässt)
Periodischer Husten (welcher die Atemwege von Sekreten befreit)
Zu den wichtigsten Folgen der Atelektase gehören ein beeinträchtigter Gasaustausch (d. h. Hypoxie und/oder Hyperkapnie), Lungenentzündung und in schweren Fällen respiratorische Insuffizienz.
Ätiologie der Atelektase
Die häufigsten Ursachen die eine Alektase verursachen können, sind:
Intrinsische Obstruktion der Atemwege (z. B. durch Fremdkörper, Tumor, Schleimpfropf)
Extrinsische Kompression der Atemwege (z. B. durch Tumoren, Lymphadenopathie)
Unterdrückung der Atmung oder Husten (z. B. durch eine Vollnarkose, Übersedierung, Schmerzen)
Rückenlage, insbesondere bei Patienten mit Adipositas oder Kardiomegalie
Kompression oder Zusammenbruch des Lungenparenchyms (z. B. durch großen Pleuraerguss oder Pneumothorax)
Brust- und Bauchoperationen sind sehr häufige Ursachen, weil sie eine Vollnarkose, Opioid-Einsatz (mit möglichen sekundären Atemdepression), und oft schmerzhafte Atmung einbeziehen. Eine Fehlstellungen des Endotrachealtubus kann Atelektasen durch Verschließen eines Hauptbronchus verursachen.
Weniger häufige Ursachen von Atelektase umfassen Tensid-Mangel oder -Dysfunktion, parenchymale Narbenbildung der Lunge oder Tumoren.
Symptome und Anzeichen von Atelektase
Die Atelektase selbst ist asymptomatisch, es sei denn, es entwickeln sich Hypoxämie oder Lungenentzündung. Die Symptome der Hypoxämie hängen von der Akuität des Krankheitsbeginns und dem Ausmaß der Atelektase ab. Schnell können sich umfangreiche Atelektase, Dyspnoe oder sogar Atemstillstand entwickeln. Bei langsamer Entwicklung und weniger ausgeprägter Atelektasen können Symptome schwach sein oder fehlen.
Pneumonie kann Husten, Dyspnoe und pleuritische Thoraxschmerzen verursachen. Pleuritische Schmerzen können auch auf die Erkrankungsursache zurückzuführen sein, die ursprünglich die Atelektase verursacht hat (z. B. ein Thoraxtrauma, eine Operation).
Bei minimaler Atelektase fehlen oft die Anzeichen. Verminderte Atemgeräusche im Bereich der Atelektase und möglicherweise Klopfschalldämpfung und verminderte Thoraxexkursion sind nachweisbar, wenn der Bereich der Atelektase groß ist. Oft wird sie zufällig bei der Bildgebung des Thorax entdeckt (z. B. Röntgenbilder oder Computertomographie [CT]).
Diagnose der Atelektase
Röntgenaufnahme des Thorax oder, insbesondere bei leichterer Erkrankung, Thorax-CT
Atelektase sollte bei Patienten vermutet werden, die ungeklärte respiratorische Symptome jeglicher Art haben sowie Risikofaktoren, insbesondere kürzliche größeren Operationen. Eine klinisch bedeutsame Atelektase (d. h. eine Atelektase, die Symptome verursacht, das Risiko von Komplikationen erhöht oder die Lungenfunktion erheblich beeinträchtigt) ist in der Regel auf Röntgenbildern des Brustkorbs sichtbar; der Befund kann eine lokalisierte Lungentrübung und/oder einen Verlust des Lungenvolumens umfassen. Leichtere Fälle sind auf Röntgenaufnahmen des Thorax möglicherweise nicht erkennbar und können nur mit Schnittbildverfahren (z. B. Thorax-CT) dargestellt werden.
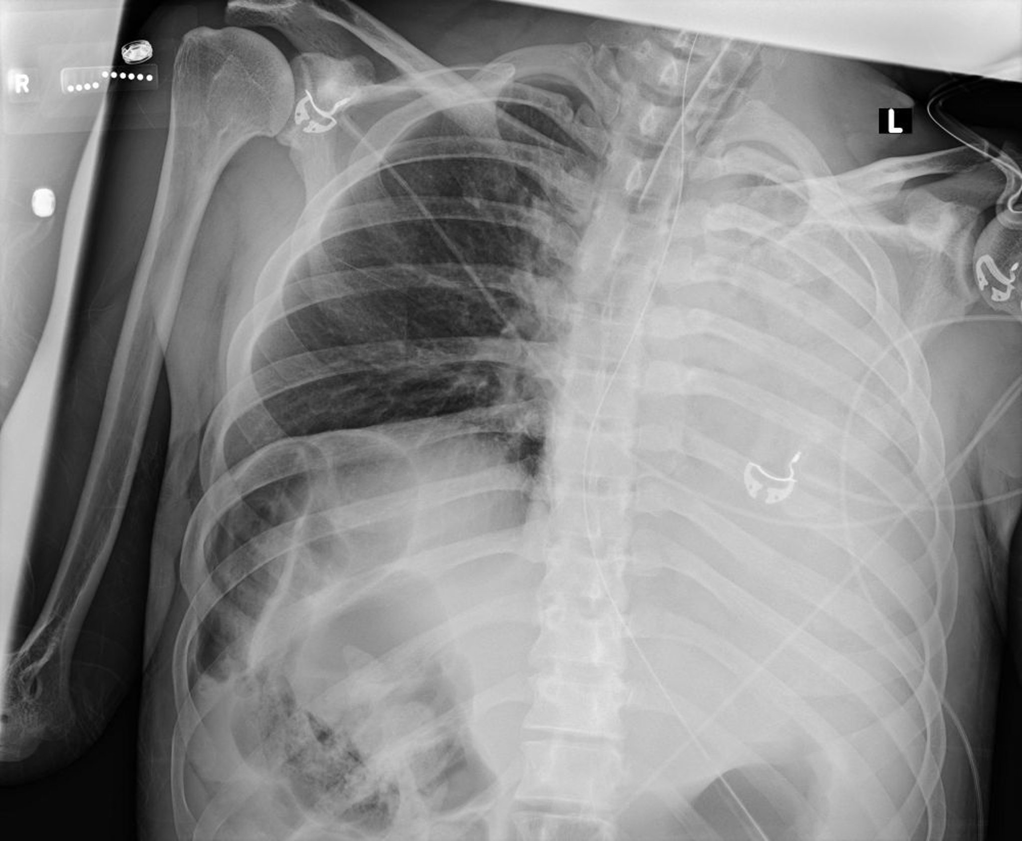
Dieses Thoraxröntgenbild zeigt einen Kollaps aller Lappen der linken Lunge infolge eines Schleimpfropfs.
Courtesy of Alexander S. Niven, MD
Wenn die Ursache der Atelektase nicht klinisch manifest ist (z. B. wenn keine kürzlich erfolgte Operation oder Lungenentzündung im Röntgenthorax zu erkennen ist) oder eine andere Störung vermutet wird (z. B. Lungenembolie, Tumor), können weitere Tests wie Bronchoskopie oder Thorax-Computertomographie (CT) notwendig sein.
Behandlung der Atelektase
Maximierung von Husten und tiefer Atmung
Falls Behinderung durch Tumor oder Fremdkörper vermutet wird, Bronchoskopie
Die Wirksamkeit der meisten Behandlungen für Atelektase ist nur schwach belegt. Zu den allgemein empfohlenen Maßnahmen gehören jedoch Thorax-Physiotherapie zur Aufrechterhaltung der Ventilation und Clearance von Sekreten und zur Förderung von Lungenexpansionstechniken wie gezieltes Husten, tiefe Atemübungen und die häufige Verwendung eines Anreiz-Spirometers, was in der Regel in stationären Einrichtungen erfolgt (1). Bei ambulanten Patienten ist Bewegung (z. B. Spazierengehen) ein wünschenswertes Mittel zur Förderung der Tiefenatmung.
Bei intubierten und mechanisch beatmeten Patienten kann ein positiver endexspiratorischer Druck (PEEP) helfen, eine Atelektase zu verhindern. Höhere Tidalvolumina können zwar die Atelektase reduzieren, aber es gibt Hinweise darauf, dass bei der überwiegenden Mehrheit der Patienten niedrigere Volumina (z. B. 6 bis 8 cm H2O) verwendet werden sollten, um das Risiko einer beatmungsinduzierten Lungenschädigung zu verringern. Bei Patienten, die nicht intubiert werden und keine überschüssigen Sekrete haben, kann kontinuierlich positiver Atemwegsdruck helfen (2).
Vermeiden von Übersedierung hilft, Ventilation und ausreichend tiefe Atmung und Husten sicherzustellen. Allerdings können schwere pleuritische Schmerzen tiefes Atmen und Husten beeinträchtigen und können nur mit Opioiden gelindert werden. Daher verschreiben viele Ärzte Opioid-Analgetika in Dosen, die ausreichen, um Schmerzen zu lindern und raten Patienten bewusst zu husten und in regelmäßigen Abständen tief zu atmen. Bei bestimmten postoperativen Patienten können Epiduralanalgesie oder eine Intercostalnervenblockade verwendet werden, um Schmerzen zu erleichtern, ohne eine Atemdepression zu verursachen. Eine antitussive Theraapie sollte vermieden werden.
Am wichtigsten ist es, die zugrunde liegende Ursache der Atelektase (z. B. Schleimpfropf, Fremdkörper, Tumor, Raumforderung, Pleuraerguss) zu behandeln. Bei hartnäckiger Schleimverstopfung werden vernebeltes Dornase alfa (das die DNA im Schleim abbaut) und manchmal Bronchodilatatoren ausprobiert; beide helfen bei der Verflüssigung und dem Abhusten von zähem Schleim (3). Acetylcystein ist wirksam, wird aber manchmal vermieden, weil es Bronchokonstriktion verursachen kann. Wenn andere Maßnahmen erfolglos sind, oder wenn eine andere Ursache für die Obstruktion außer Schleimpfropf vermutet wird, sollte eine Bronchoskopie durchgeführt werden.
Literatur zur Behandlung
1. Odor PM, Bampoe S, Gilhooly D, Creagh-Brown B, Moonesinghe SR. Perioperative interventions for prevention of postoperative pulmonary complications: systematic review and meta-analysis. BMJ 2020;368:m540. Published 2020 Mar 11. doi:10.1136/bmj.m540
2. Branson RD. The scientific basis for postoperative respiratory care. Respir Care 2013;58(11):1974-1984. doi:10.4187/respcare.02832
3. Tarrant BJ, Maitre CL, Romero L, et al. Mucoactive agents for adults with acute lung conditions: A systematic review. Heart Lung 2019;48(2):141-147. doi:10.1016/j.hrtlng.2018.09.010
Prävention von Atelektase
Menschen die rauchen können ihr Risiko für postoperative Atelektasen durch Rauchentwöhnung, idealerweise mindestens 6 bis 8 Wochen vor der Operation, verringern. Die medikamentöse Behandlung von Patienten mit chronischen Lungenerkrankungen (z. B. chronischer obstruktiver Lungenerkrankung [COPD]) sollte vor der Operation optimiert werden.
Präoperatives Inspirationsmuskeltraining (einschließlich antreibende Spirometrie) sollte für Patienten mit Brust- oder Oberbauchchirurgie geplant werden. Während der Operation oder in der unmittelbaren perioperativen Phase haben sich prophylaktische Atemphysiotherapie, lungenschonende Beatmungsmodi und postoperativer kontinuierlicher positiver Atemwegsdruck (durch Bereitstellung eines konstanten Exspirationsdrucks und Verhinderung eines Alveolarkollapses) als hilfreich erwiesen, um Atelektasen zu vermeiden. Nach der Operation können frühes Gehen und Lungenexpansionstechniken (z. B. Husten, Atemübungen, antreibende Spirometrie) auch das Risiko verringern.
Wichtige Punkte
Atelektase ist der reversibel Zusammenbruch des Lungengewebes mit Volumenverlust; zu den häufigen Ursachen gehören intrinsische oder extrinsischen Atemwegskompression, Hypoventilation, und eine Fehlstellung des Endotrachealtubus.
Ein großer Bereich von Atelektase kann symptomatische Hypoxämie verursachen, aber alle anderen Symptomedie entstehen aufgrund der Ursache oder einer überlagerten Lungenentzündung.
Die Diagnose erfolgt durch Röntgenthorax; wenn die Ursache nicht klinisch erkennbar ist, können Bronchoskopie oder eine Computertomographie des Thorax notwendig sein.
Die Behandlung umfasst den Einsatz des Anreiz-Spirometers, die Maximierung von Husten und tiefer Atmung sowie, wann immer möglich, die Förderung der Mobilisation.



