Periorbital- und Orbitalphlegmone

(Periorbitaphlegmone)

VonRichard C. Allen, MD, PhD, University of Texas at Austin Dell Medical School
Reviewed BySunir J. Garg, MD, FACS, Thomas Jefferson University
Überprüft/überarbeitet Geändert Juli 2024
v958030_de
Aussicht hier klicken.

Periorbitalphlegmone (Präseptale Phlegmone) ist eine Infektion der Augenlider und der umgebenden Haut vor dem Septum orbitale. Orbitaphlegmone ist eine Infektion der orbitalen Gewebe hinter dem Septum orbitale. Beide können durch einen externen Infektionsherd (z. B. eine Wunde), eine Infektion, die sich von den Nasennebenhöhlen oder Zähnen ausbreitet, oder durch Dissemination einer Infektion an anderer Stelle hervorgerufen werden. Symptome umfassen Augenlidschmerzen, Verfärbung und Schwellung; Orbitalphlegmone verursacht außerdem Fieber, Unwohlsein, Exophthalmus, eingeschränkte Augenbeweglichkeit und Sehverschlechterung. Die Diagnose erfolgt anhand der Anamnese, Untersuchung, und CT oder MRT. Behandelt wird mit Antibiotika und gegebenenfalls mit einer chirurgischen Drainage.

Periorbitalphlegmone und Orbitalphlegmone sind verschiedene Krankheiten, die ein paar klinische Symptome und Beschwerden gemeinsam haben. Die Preseptalzellulitis beginnt in der Regel oberflächlich zum Septum orbitale, der häutigen Haut, die sich vom Orbitatrand in das obere und untere Augenlid erstreckt. Orbitaphlegmone beginnt meist in der Tiefe hinter dem Septum orbitale. Beide sind häufiger bei Kindern; Periorbitalphlegmone ist weitaus häufiger als Orbitaphlegmone.

Ätiologie der Preseptal- und Orbitaphlegmone

Die präseptale Zellulitis wird in der Regel durch eine zusammenhängende Ausbreitung der Infektion durch lokale Gesichts- oder Augenlidverletzungen, Insekten- oder Tierstiche, Chalazion oder Hordeolum, oder Sinusitis verursacht.

Orbitale Zellulitis ist am häufigsten durch die Ausdehnung der Infektion von benachbarten Nebenhöhlen, vor allem der Siebbeinhöhle verursacht. Seltener wird eine orbitale Zellulitis durch eine direkte Infektion in Verbindung mit einem lokalen Trauma (z. B. Insekten- oder Tierstich, penetrierende Augenlidverletzungen), durch eine angrenzende Ausbreitung der Infektion aus dem Gesicht oder von den Zähnen oder durch hämatogene Ausbreitung verursacht.

Die Krankheitserreger variieren mit der Ätiologie und dem Alter des Patienten. Streptococcus pneumoniae ist ein häufiger Erreger im Zusammenhang mit einer Sinusitis, während Staphylococcus aureus (in der Regel Methicillin-sensitiv) und Streptococcus pyogenes überwiegen, wenn die Infektion durch ein lokales Trauma entsteht (1). Haemophilus influenzae Typ B war früher eine häufige Ursache, ist aber heute wegen der weit verbreiteten HIB-Impfung seltener geworden. Pilze sind seltene Erreger, die bei Patienten mit Diabetes oder bei immunsupprimierten Patienten eine Orbitalphlegmone verursachen. Infektionen bei Kindern < 9 Jahren werden typischerweise durch einen einzigen Aerobier verursacht; mit zunehmendem Alter, insbesondere bei einem Alter > 15 Jahren, ist die Infektion meist polymikrobiell mit aerob-anaeroben Mischinfektionen (Bacteroides, Peptostreptococcus) (2, 3).

Literatur zur Ätiologie

  1. 1. Anosike BI, Ganapathy V, Nakamura MM: Epidemiology and management of orbital cellulitis in children. J Pediatric Infect Dis Soc 11(5):214-220, 2020. doi: 10.1093/jpids/piac006

  2. 2. Garcia GH, Harris GJ: Criteria for nonsurgical management of subperiosteal abscess of the orbit: analysis of outcomes 1988-1998. Ophthalmology 107(8):1454-1456, 2000; discussion 1457-8. doi: 10.1016/s0161-6420(00)00242-6

  3. 3. Liao JC, Harris GJ: Subperiosteal abscess of the orbit: Evolving pathogens and the therapeutic protocol. Ophthalmology 122(3):639-647, 2015. doi: 10.1016/j.ophtha.2014.09.009

Pathophysiology of Preseptal and Orbital Cellulitis

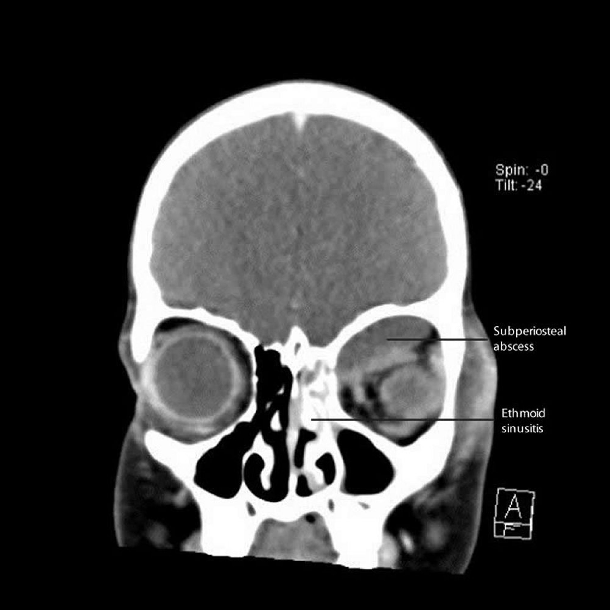
Da die Orbitalphlegmone durch große benachbarte fulminante Infektionsherde (z. B. Sinusitis) entsteht, die nur durch eine dünne knöcherne Barriere getrennt sind, kann sich die Orbita großflächig und schwer infizieren. Es können subperiostale Flüssigkeitsansammlungen entstehen, die manchmal recht groß sind; sie werden als subperiostale Abszesse bezeichnet, obwohl viele zu Beginn steril sind.

Periorbital- und Orbitalphlegmone

Zu den Komplikationen bei orbitaler Zellulitis zählen Sehverlust aufgrund von ischämischer Retinopathie sowie Optikusneuropathie aufgrund von erhöhtem intraorbitalen Druck; eingeschränkte Augenbeweglichkeit (Ophthalmoplegie) aufgrund von Weichteilentzündung; und intrakranielle Folgekrankheiten durch zentrale Ausbreitung der Infektion, wie Sinus-cavernosus-Thrombose, Meningitis und Hirnabszesse.

Symptome und Beschwerden von Preseptal- und Orbitaphlegmone

Symptome und Beschwerden der Periorbitalphlegmone umfassen Berührungsempfindlichkeit, Schwellung, Wärme, und Rötung oder Verfärbung (violett bei H. influenzae) der Lider und manchmal Fieber. Es kann sein, dass die Patienten aufgrund einer Augenlidschwellung ihre Augen nicht mehr öffnen können. Die Schwellungen und Beschwerden können die Untersuchung des Auges erschweren, aber wenn sie durchgeführt wird, zeigt sie, dass die Sehschärfe nicht betroffen, die Augenbewegung intakt, und der Augapfel nicht hervorgetreten ist (kein Exophthalmus).

Symptome und Beschwerden der Orbitalphlegmone umfassen Schwellung und Rötung des Augenlids und des umgebenden Gewebes, konjunktivale Hyperämie und Chemosis, eingeschränkte Augenbeweglichkeit, Schmerzen bei der Augenbewegung, Visusreduktion, und Exophthalmus verursacht durch die Orbitaschwellung. Beschwerden der Primärinfektion sind ebenfalls häufig vorhanden (z. B. Nasensekret und Nasenbluten bei Sinusitis, parodontale Schmerzen und Schwellung bei Abszess). Manchmal kommt es zu Fieber. Kopfschmerzen und Energielosigkeit sollten den Verdacht auf Meningitis erregen. Einige oder alle dieser Befunde können in der Frühphase der Infektion fehlen.

Subperiostale Abszesse können, wenn sie groß genug sind, zu Beschwerden einer Orbitalphlegmone beitragen, wie eine Schwellung und Rötung des Augenlids, Einschränkung der Augenbeweglichkeit, Exophthalmus und Visusreduktion.

Diagnose von Preseptal- und Orbitaphlegmone

  • Hauptsächlich klinische Bewertung

  • CT oder MRT, wenn Orbitaphlegmone möglich ist

Die Diagnose von präseptaler Zellulitis und orbitaler Zellulitis ist primär klinisch. Differentialdiagnostisch zu beachten sind Verletzungen, Insekten- oder Tierbisse ohne Phlegmone, Fremdkörper im Auge, allergische Reaktionen, Tumore und entzündliche Orbita-Pseudotumore.

Aufgrund der Lidschwellung können Lidretraktoren für die Untersuchungen des Augapfels erforderlich sein, und die ersten klinischen Zeichen einer komplizierten Infektion können subtil sein. Ein Ophthalmologe sollte konsultiert werden, wenn Orbitalphlegmone vermutet wird.

Periorbitalphlegmone und Orbitalphlegmone sind häufig klinisch zu unterscheiden. Periorbitalphlegmone ist wahrscheinlich, wenn die Augenbefunde bis auf eine Augenlidschwellung normal sind. Die Anwesenheit von einem lokalen Infektionsherd auf der Haut macht Periorbitalphlegmone noch wahrscheinlicher.

Die nekrotisierende Fasziitis (nekrotisierende Weichteilinfektion) der Orbita ist eine schwere Form der preseptalen Zellulitis, die rasch in das umliegende Gewebe in den Faszienebenen eindringen kann. Das chirurgische Débridement ist die Hauptstütze der Therapie, ergänzt durch intravenöse Breitbandantibiotika, die Streptokokken der Gruppe A und andere Bakterien abdecken (1, 2). Die Prognose ist reserviert.

Tipps und Risiken

  • Vermuten Sie eine Orbitaphlegmone und konsultieren Sie einen Ophthalmologen, wenn Augenbewegungsstörungen, Schmerzen bei Augenbewegungen, Exophthalmus, oder verminderte Sehschärfe auftreten.

Bei mehrdeutigen Befunden, einer schwierigen Untersuchung (wie bei kleinen Kindern) oder Vorhandensein von Nasensekret (deutet auf Sinusitis hin) sollte eine CT oder MRT durchgeführt werden, um Orbitalphlegmone, Tumor, und Pseudotumor ausschließen zu können. Bei Verdacht auf eine Sinus-cavernosus-Thrombose ist eine MRT besser als eine CT.

Die Richtung des Exophthalmus kann einen Hinweis auf den Sitz der Infektion geben; hat sie sich z. B. vom Sinus frontalis ausgebreitet, wird der Augapfel nach unten und vorn gedrückt, und bei einer Infektionsausbreitung aus dem Sinus ethmoidalis wird er seitlich und nach vorn gedrückt.

Bei Patienten mit orbitaler Zellulitis werden häufig Blutkulturen angelegt (idealerweise vor Beginn der Antibiotikatherapie), doch die Ausbeute ist gering (3). Bei Verdacht auf eine Meningitis wird eine Lumbalpunktion durchgeführt. Kulturen der Nasennebenhöhlenflüssigkeit werden durchgeführt, wenn der Verdacht auf eine Sinusitis besteht; wenn sie jedoch nicht intraoperativ durchgeführt werden, haben sie wahrscheinlich keinen Einfluss auf die Behandlung (4). Andere Laboruntersuchungen sind nicht besonders hilfreich.

Literatur zur Diagnose

  1. 1. Wladis EJ: Periorbital necrotizing fasciitis. Surv Ophthalmology 67(5):1547-1552. https://doi.org/10.1016/j.survophthal.2022.02.006

  2. 2. Tambe K, Tripathi A, Burns J, et al: Multidisciplinary management of periocular necrotising fasciitis: A series of 11 patients. Eye (Lond) 26(3):463-467, 2012. doi: 10.1038/eye.2011.241

  3. 3. Mukherjee G, Sufcak K, Hames N, et al: Bugs behind the bulging eyeball: Microbiology and antibiotic management in orbital cellulitis with or without subperiosteal abscess. Clin Pediatr (Phila) 63(2):214-221, 2024. doi: 10.1177/00099228231202158

  4. 4. Schein Y, Lin LY, Revere K, et al: Microbial patterns and culture utility in orbital cellulitis. J AAPOS 27(4):200.e1-200.e6, 2023. doi: 10.1016/j.jaapos.2023.05.010

Behandlung von Preseptal- und Orbitaphlegmone

  • Antibiotika

Periorbitalphlegmone

Bei Patienten mit Präseptalzellulitis, sollte die Therapie anfänglich gegen Sinusitis-Erreger gerichtet werden (S. pneumoniae, nicht typisierbare H. influenzae, S. aureus, Moraxella catarrhalis); allerdings sollten Ärzte in Bereichen, in denen Methicillin-resistente S. aureus weit verbreitet sind, geeignete Antibiotika hinzufügen (z. B. Clindamycin, Trimethoprim/Sulfamethoxazol, oder Doxycyclin für die orale Behandlung und Vancomycin für die stationäre Behandlung). Bei Patienten mit verschmutzten Wunden müssen gramnegative Infektionen berücksichtigt werden.

Die ambulante Therapie ist eine Option, wenn eine Orbitalphlegmone definitiv ausgeschlossen wurde; Kinder sollten keine Anzeichen einer systemischen Infektion aufweisen und sich in Betreuung verantwortungsbewusster Eltern oder Pfleger befinden. Die Patienten sollten genau durch einen Ophthalmologen überwacht werden. Ambulante Behandlungsmöglichkeiten umfassen Amoxicillin/Clavulansäure 30 mg/kg alle 8 Stunden oral (für Kinder < 12 Jahren) oder 500 mg alle 8 bis 12 Stunden oral oder 875 mg 2-mal täglich oral (für Erwachsene) über 10 Tage. (Die Dosis muss möglicherweise erhöht werden, wenn der Verdacht auf Penicillin-resistente S. pneumoniae besteht.)

Eine Option für stationäre Patienten ist Ampicillin/Sulbactam 50 mg/kg IV alle 6 Stunden (für Kinder) oder 1,5–3 g (für Erwachsene) IV alle 6 h (maximal 8 g Ampicillin/Tag) über 7 Tage. Wenn Methicillin-resistent S. aureus in Frage kommt, sollten die Antibiotika entsprechend angepasst werden.

Orbitaphlegmone

Patienten mit einer Orbitalphlegmone sollten stationär aufgenommen und mit Antibiotika in einer für Meningitis üblichen Dosierung (siehe Tabelle Übliche IV-Dosierungen von Antibiotika bei akuter bakterieller Meningitis) therapiert werden. Eine Option bei vorhandener Sinusitis ist ein Cephalosporin der 2. oder 3. Generation, wie Cefotaxim 50 mg/kg IV alle 6 h (für Kinder < 12 Jahren) oder 1–2 g IV alle 6 h (für Erwachsene) über 14 Tage; Imipenem, Ceftriaxon und Piperacillin/Tazobactam sind weitere Möglichkeiten.

Wenn die Zellulitis auf ein Trauma oder einen Fremdkörper zurückzuführen ist, sollte die Behandlung grampositive Erreger, einschließlich methicillinresistenter S. aureus, wenn sie in einem weit verbreiteten Gebiet auftreten (Vancomycin 1 g i.v. alle 12 Stunden) und gramnegative Erreger (z. B. Ertapenem 1 g i.v. einmal täglich) abdecken und 7–10 Tage lang oder bis zur klinischen Besserung durchgeführt werden.

Wenn der Verdacht auf anaerobe Erreger besteht (wie es bei Zahninfektionen der Fall sein kann), wird in der Regel Metronidazol verwendet.

Eine Operation zur Orbitadekompression, eine Abszessdrainage, Eröffnung infizierter Nebenhöhlen oder eine Kombination aus diesen ist in einem der folgenden Sachverhalte indiziert:

  • Die Sehkraft wird beeinträchtigt.

  • Es wird Vereiterung oder ein Fremdkörper vermutet.

  • Die Bildgebung zeigt einen orbitalen oder großen subperiostalen Abszess, insbesondere entlang des Orbitadachs.

  • Die Infektion lässt sich nicht mit Antibiotika behandeln.

Literatur zur Therapie

  1. 1. Liao JC, Harris GJ: Subperiosteal abscess of the orbit: Evolving pathogens and the therapeutic protocol. Ophthalmology 122(3):639-647, 2015. doi: 10.1016/j.ophtha.2014.09.009

Wichtige Punkte

  • Periorbitalphlegmone und Orbitaphlegmone werden dadurch unterschieden, ob die Infektion anterior oder posterior des Septum orbitale ist.

  • Die orbitale Zellulitis wird in der Regel durch eine angrenzende Ausbreitung einer ethmoidalen oder frontalen Sinusitis verursacht, während die präseptale Zellulitis in der Regel durch eine angrenzende Ausbreitung von lokalen Gesichts- oder Augenlidverletzungen, Insekten- oder Tierstichen, Konjunktivitis sowie Chalazion oder Hordeolum verursacht wird.

  • Beide Erkrankungen können zu Berührungsempfindlichkeit, Schwellung, Wärme, Rötung oder Verfärbungen des Augenlids, und Fieber führen.

  • Bei einer verringerten Augenmotilität, Schmerzen bei der Augenbewegung, Exophthalmus, oder verminderter Sehschärfe ist Orbitalphlegmone wahrscheinlich.

  • Eine Antibiotika-Behandlung wird indiziert, vorbehaltlich einer Operation bei einer komplizierten Orbitaphlegmone (z. B. Abszesse, Fremdkörper, Sehstörungen, Nichtansprechen auf Antibiotikum).

quizzes_lightbulb_red
Test your KnowledgeTake a Quiz!
DE_MSD_Mobile_Pro_326iOS ANDROID
DE_MSD_Mobile_Pro_326iOS ANDROID
DE_MSD_Mobile_QR_Pro_326iOS ANDROID