Parodontitis
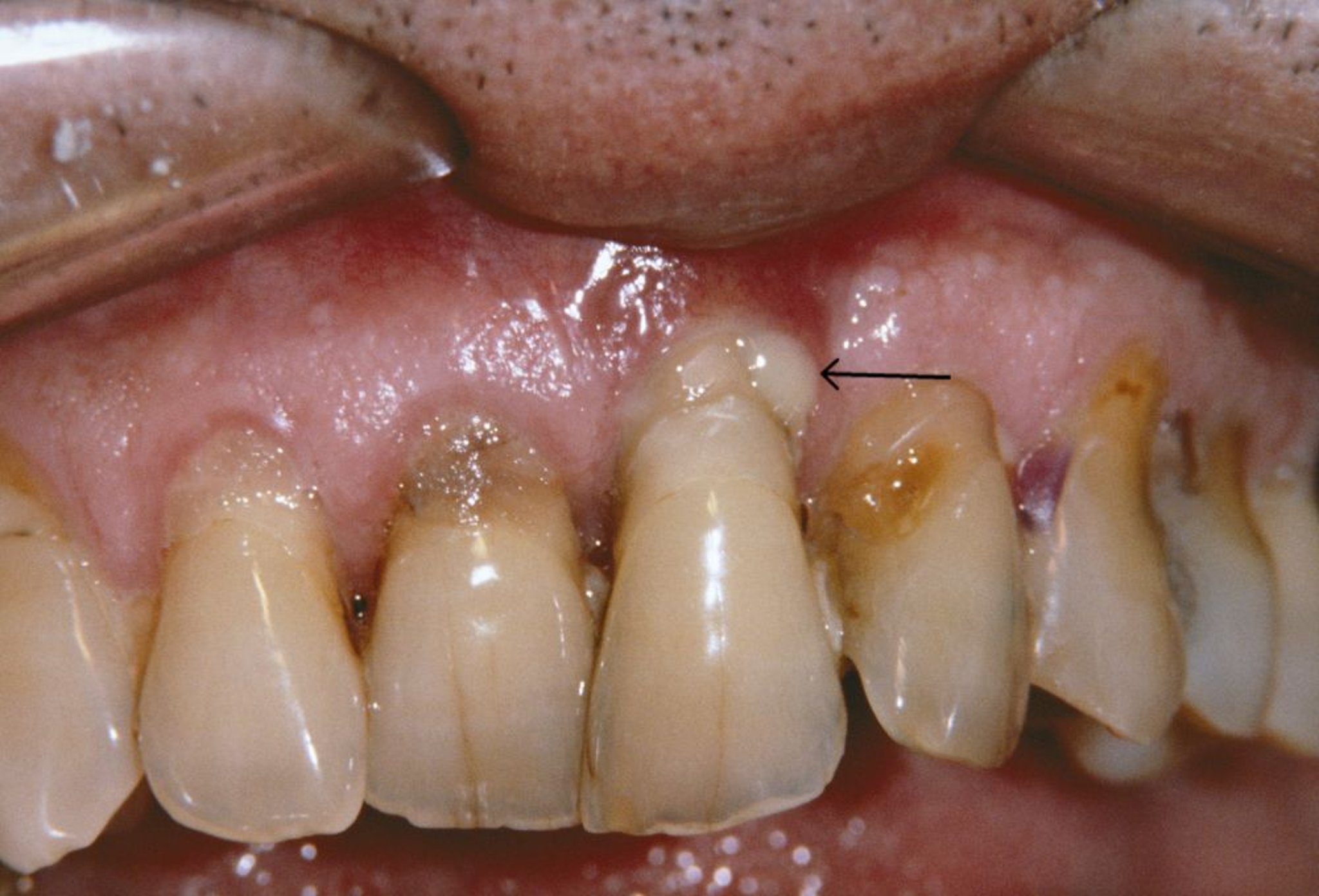
Dieses Foto zeigt einen Zahnfleischrückgang und einen periodontalen Abszess (Pfeil) bei einem Patienten mit Parodontitis.
CNRI/SCIENCE PHOTO LIBRARY
In diesen Themen
Dieses Foto zeigt einen Zahnfleischrückgang und einen periodontalen Abszess (Pfeil) bei einem Patienten mit Parodontitis.
CNRI/SCIENCE PHOTO LIBRARY