Bệnh cơ tim phì đại là một rối loạn bẩm sinh hoặc mắc phải được đặc trưng bởi phì đại tâm thất rõ rệt kèm theo rối loạn chức năng tâm trương (ví dụ, do hẹp van động mạch chủ, hẹp eo động mạch chủ, tăng huyết áp toàn thân). Các triệu chứng bao gồm khó thở, đau ngực, ngất và đột tử. Tiếng thổi tâm thu, tăng lên bởi nghiệm pháp Valsalva là biểu hiện điển hình của thể bệnh cơ tim phì đại có tắc nghẽn. HCM được chẩn đoán là siêu âm tim hoặc MRI tim. Điều trị bằng thuốc chẹn beta, verapamil, disopyramide, mavacamten và đôi khi giảm thiểu hóa chất hoặc phẫu thuật loại bỏ tắc nghẽn đường ra.
Bệnh cơ tim là rối loạn nguyên phát của cơ tim (xem thêm Tổng quan về Bệnh tim mạch).
Bệnh lý cơ tim phì đại là một nguyên nhân phổ biến gây Đột tử ở các vận động viên trẻ. HCM có thể gây ra ngất không giải thích và có thể không thể được chẩn đoán trước khi có giải phẫu tử thi.
Căn nguyên của bệnh cơ tim phì đại
Hầu hết các trường hợp bệnh cơ tim phì đại đều do di truyền. Có ít nhất 1.500 đột biến khác nhau được kế thừa trong bệnh nguyên HCM; đột biến tự phát cũng có thể xảy ra gây ra HCM. Tỷ lệ hiện hành là 1:200 đến 1:500 (1); biểu hiện kiểu hình thay đổi rõ rệt.
Bệnh cơ tim phì đại. Tình trạng này có thể phát sinh ở những bệnh nhân mắc bệnh to cực chi, u tế bào ưa crôm hoặc u xơ thần kinh.
Tài liệu tham khảo nguyên nhân gây bệnh
1. Maron BJ, Desai MY, Nishimura RA, et al. Diagnosis and Evaluation of Hypertrophic Cardiomyopathy: JACC State-of-the-Art Review. J Am Coll Cardiol 2022;79(4):372-389. doi:10.1016/j.jacc.2021.12.002
Sinh lý bệnh của bệnh cơ tim phì đại
Trong HCM, cơ tim bất thường được thay thế bằng mô xơ và vùng cơ tim bất thường nên không có chức năng hoặc suy giảm chức năng.
Trong dạng phổ biến nhất của HMC là vách liên thất phía trước và vách liên thất tiếp giáp phía dưới van động mạch chủ dày lên rõ rệt, có ít hoặc không có phì đại của thành vách trái (LV). Đôi khi xuất hiện bệnh cơ tim phì đại vùng mỏm tim đơn thuần; tuy nhiên, hầu hết lá phì đại cơ tim không đồng nhất và không đối xứng hay không đồng tâm, một số nhỏ bệnh nhân bị HCM phì đại đồng tâm được khi nhận.
Khoảng hai phần ba số bệnh nhân HCM có biểu hiện tắc nghẽn trong lúc nghỉ hoặc trong lúc gắng sức. Sự tắc nghẽn là kết quả của trở kháng cơ học đối với dòng chảy ra của thất trái trong thì tâm thu do chuyển động ra trước của van hai lá. Trong SAM, van hai lá và thiết bị van bị hút vào đường ra LV nhờ hiệu ứng Venturi của dòng máu tốc độ cao, dẫn đến tắc nghẽn dòng chảy và giảm cung lượng tim. Hở van hai lá cũng có thể xảy ra do sự biến dạng chuyển động của lá van do SAM của van hai lá. Tình trạng tắc nghẽn và hở van tim này góp phần vào sự phát triển của các triệu chứng liên quan đến suy tim. Ít phổ biến hơn, phì đại phần giữa tâm thất dẫn đến gradien trong khoang ở mức cơ nhú, hiếm khi dẫn đến tăng căng thẳng thành thất trái và tăng nguy cơ phình đỉnh thất trái.
Co bóp cơ tim là tương đối bình thường, kết quả là chức năng thất trái (EF) bình thường. Sau đó, EF tăng lên do thất trái có kích thước nhỏ và sự đổ đầy thất chưa hoàn toàn để duy trì được cung lượng tim.
Phì đại là kết quả do buồng tim cứng và không giãn nở (thường là buồng thất trái) gây hạn chế đổ đầy trong thì tâm trương, tăng áp lực cuối tâm trương và do đó tăng áp lực tĩnh mạch phổi. Khi kháng lực đổ đầy, cung lượng tim giảm, triệu chứng trở nên tồi tệ hơn bởi bất kỳ gradient qua đường ra thất trái phát triển. Do nhịp tim nhanh có thời gian để làm đầy, các triệu chứng có xu hướng xuất hiện chủ yếu trong khi tập thể dục hoặc nhịp tim nhanh. (Xem thêm Suy tim bảo tồn phân suất tống máu.)
Dòng máu động mạch vành có thể bị suy giảm, gây cơn đau thắt ngực, ngất, hoặc loạn nhịp khi không có bệnh động mạch vành (CAD). Dòng chảy có thể bị suy giảm do mật độ mao mạch liên quan đến kích thước noãn bào không thích hợp (sự mất cân bằng mao mạch/tế bào thần kinh) hoặc đường kính lumen của động mạch vành trong cơ tim được thu hẹp bởi tăng sản và tăng thể trung bình và trung gian. Một sự không phù hợp cung cầu cũng có thể có mặt do nhu cầu oxy tăng lên do sự phì đại và điều kiện tải bất lợi.
Trong một số trường hợp, các tế bào thần kinh dần dần chết, có lẽ vì sự mất cân bằng mao mạch/tế bào thần kinh gây ra chứng thiếu máu cục bộ lan rộng. Khi các tế bào chết, chúng được thay thế bằng xơ hóa lan tỏa. Sau đó, tâm thất tăng cao với rối loạn chức năng tâm trương dần dần giãn ra và rối loạn chức năng tâm thu phát triển.
Các triệu chứng và dấu hiệu của bệnh cơ tim phì đại
Thông thường, các triệu chứng xuất hiện trong khoảng từ 20 tuổi đến 40 tuổi và khi gắng sức, nhưng các triệu chứng có thể rất khác nhau. Các triệu chứng bao gồm khó thở, đau ngực (thường giống với đau thắt ngực điển hình), đánh trống ngực và ngất. Do chức năng tâm thu được bảo tồn bệnh nhân,triệu chứng mệt biếm khi được báo cáo. Hầu hết triệu chứng gây ra chủ yếu do rối loạn chức năng tâm trương. Ở những bệnh nhân bị tắc nghẽn đường ra, phân biệt các triệu chứng do tắc nghẽn với những triệu chứng gây ra do rối loạn chức năng tâm trương có thể khó khăn.
Ngất có thể xảy ra trong quá trình gắng sức do tắc nghẽn đường ra trở lên nặng hơn khi cơ tim tăng co bóp hoặc do các rối loạn nhịp thất hay nhĩ không bền bỉ. Ngất là dấu hiệu gia tăng nguy cơ đột tử.
Huyết áp và nhịp tim thường là bình thường, và dấu hiệu tăng áp lực tĩnh mạch rất hiếm gặp. Khi đường ra bị tắc nghẽn, tiếng đập mạch cảnh mạch cảnh có lên nhanh, hai đỉnh, và xuống nhanh. Tiếng tim ở mỏm có thể có nhịp đập mạnh do phì đại thất trái. Tiếng tim thứ 4 (S4) thường có mặt và thường do co thắt ở nhĩ chống lại đáp ứng kém của thất trái ở giai đoạn muộn thì tâm trương.
Ở những bệnh nhân mắc bệnh cơ tim phì đại tắc nghẽn, có thể nghe thấy tiếng thổi tâm thu không lan ra cổ. Tiếng thét này được nghe rõ nhất ở khoang liên sườn 3 hoặc 4 đường cạnh ức trái. Có thể nghe thấy tiếng thổi do hở hai lá do rối loạn kênh van hai lá nghe thấy được ở mỏm tim. Tiếng thổi do hẹp đường ra thất trái có thể được tăng lên qua nghiệm pháp Valsalva (làm giảm máu trở về tĩnh mạch và thể tích thất trái cuối tâm trương), các biện pháp giảm áp lực động mạch chủ (ví dụ nitroglycerin) hoặc tăng các biện pháp làm tăng co bóp sau tâm thu (làm tăng gradient qua đường ra). Nắm chặt tay làm tăng áp lực động mạch chủ, do đó làm giảm cường độ tiếng thổi.
Chẩn đoán bệnh cơ tim phì đại
Nghi ngờ trên lâm sàng (ngất, các triệu chứng khác hoặc tiếng thổi)
Siêu âm tim và/hoặc MRI
Chẩn đoán là nghi ngờ dựa trên một tiếng thổi điển hình và các triệu chứng. Nghi ngờ được tăng lên nếu bệnh nhân có tiền sử ngất trí không giải thích được hoặc tiền sử gia đình có người đột tử không rõ nguyên nhân. Ngất đi không rõ nguyên nhân trong vận động viên trẻ nên luôn gây nghi ngờ. Bệnh cơ tim phì đại phải được phân biệt với hẹp động mạch chủ và bệnh động mạch vành, gây ra các triệu chứng tương tự. Các rối loạn thâm nhiễm tim ít phổ biến hơn như bệnh Anderson-Fabry và bệnh tim amyloid có thể bắt chước các dấu hiệu của bệnh cơ tim phì đại.
ECG và siêu âm tim 2 chiều và/hoặc MRI là các xét nghiệm khẳng định không xâm lấn tốt nhất. Chụp X-quang ngực thường được thực hiện nhưng thường là bình thường vì tâm thất không giãn (mặc dù tâm nhĩ trái có thể được mở rộng). Thăm dò gắng sức và Holter theo dõi 24 giờ có thể hữu ích cho bệnh nhân được xem là có nguy cơ cao, mặc dù việc xác định chính xác các bệnh nhân có nguy cơ cao hay không khá là khó khăn. Bệnh nhân bị ngất hoặc loạn nhịp kéo dài nên được nhập viện điều trị nội trú.
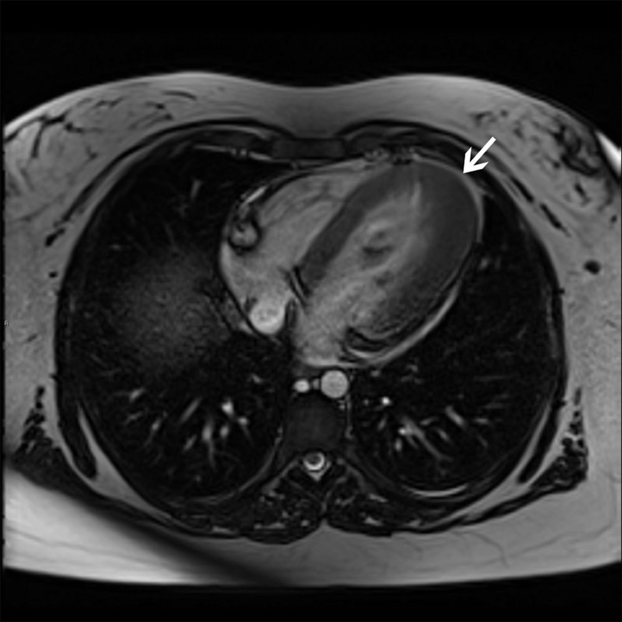
MRI tim này cho thấy thể phì đại mỏm (mũi tên) của bệnh cơ tim phì đại.
© 2017 Bác sĩ Elliot K. Fishman.
ECG thường có các dấu hiệu phì đại thất rái (ví dụ, S ở V1 cộng với sóng R ở V5 hoặc là V6 > 35 mm). Sóng Q rất sâu trong các chuyển đạo I, aVL, V5, và V6 thường có hiện tượng phì vách không đối xứng; bệnh cơ tim phì đại đôi khi tạo ra một phức hợp QRS trong V1 và V2, giống với nhồi máu cơ tim cũ vùng vách. Sóng T thường là bất thường; phổ biến nhất là T đảo ngược đối xứng trong các chuyển đạo I, aVL, V5, và V6. ST chênh xuống trong cùng một chuyển đạo là phổ biến (đặc biệt là trong dạng tắc nghẽn ở mỏm). Sóng P thường rộng và có đỉnh ở các chuyển đạo II, III, và aVF, với sóng P hai pha ở V1 và V2, cho thấy phì đại trái. Tỷ lệ hiện tượng trễ của nhóm hội chứng Wolff-Parkinson-White có thể gây ra đánh trống ngực. Thường gặp các loại Block nhánh.
Siêu âm tim Doppler hai chiều có thể phân biệt các dạng bệnh cơ tim (xem hình ) và định lượng mức độ nặng của chứng phì đại và mức độ tắc nghẽn đường ra. Những phép đo này đặc biệt hữu ích cho việc đánh giá hiệu quả của điều trị nội khoa hoặc phẫu thuật. Van động mạch chủ đóng ở giữa thì tâm thu đôi khi xảy ra khi tắc nghẽn nặng đường ra. Nên theo dõi lưu động 24 giờ trong quá trình đánh giá ban đầu và cứ sau 1 năm đến 3 năm để đánh giá nguy cơ tử vong do tim đột ngột và giúp hướng dẫn điều trị rối loạn nhịp tim (1).
Thông tim chỉ được thực hiện khi điều trị xâm lấn được cân nhắc. Thông thường, động mạch vành không bị hẹp đáng kể, nhưng bệnh nhân cao tuổi có thể mắc bệnh động mạch vành cùng tồn tại.
Siêu âm tim này cho thấy vách ngăn tâm thất (VS) và thành sau (PW) của tâm thất trái dày lên nghiêm trọng ở một bệnh nhân bị bệnh cơ tim phì đại.
© Springer Science+Business Media
Các chất chỉ điểm di truyền không xác định được những cá nhân có nguy cơ cao hoặc ảnh hưởng đến việc điều trị. Tuy nhiên, xét nghiệm di truyền có thể có ích trong việc sáng lọc các thành viên trong gia đình.
Tài liệu tham khảo chẩn đoán
1. Maron BJ, Desai MY, Nishimura RA, et al. Diagnosis and Evaluation of Hypertrophic Cardiomyopathy: JACC State-of-the-Art Review. J Am Coll Cardiol 2022;79(4):372-389. doi:10.1016/j.jacc.2021.12.002
Điều trị bệnh cơ tim phì đại
Thuốc chẹn beta
Các thuốc chẹn kênh canxi làm giảm nhịp tim và sức co bóp
Mavacamten
Tránh nitrat, thuốc lợi tiểu, và thuốc ức chế ACE
Có thể sử dụn thuốc chống loạn nhịp tim (ví dụ disopyramide, amiodarone)
Có thể cấy máy khử rung tim và đôi khi phẫu thuật hoặc các thủ thuật đốt
Việc điều trị dựa trên kiểu hình. Bệnh nhân không bị tắc nghẽn thường có lâm sàng ổn định mà không có triệu chứng đáng kể, mặc dù một số người gặp các triệu chứng suy tim do rối loạn chức năng tâm trương. Các thuốc chẹn beta và thuốc chẹn kênh canxi có giới hạn về nhịp tim có làm giảm khả năng giãn nở thành động mạch (thường là verapamil), đơn thuần hoặc kết hợp, là những biện pháp chính. Bằng cách làm chậm nhịp tim, chúng sẽ kéo dài thời gian làm đầy tâm trương, làm tăng khả năng đổ đầy thất trái ở bệnh nhân rối loạn chức năng tâm trương. Hiệu quả lâu dài của liệu pháp này, tuy nhiên, không được chứng minh.
Ở những bệnh nhân có tắc nghẽn, ngoài việc cố gắng cải thiện chức năng tâm trương, điều trị được hướng tới việc làm giảm chênh áp đường ra. Thuốc chẹn kênh canxi non-dihydropyridin (ví dụ: verapamil, diltiazem), thuốc chẹn beta và disopyramid làm giảm gradient dòng chảy ra ngoài thông qua các tác dụng ức chế co bóp của các thuốc này. Disopyramide dường như có hiệu quả nhất đối với những bệnh nhân có độ chênh lệch khi nghỉ ngơi trong khi thuốc chẹn beta có tác dụng tốt nhất trong việc làm giảm độ chênh lệch xảy ra trong khi gắng sức. Thuốc chẹn beta thường được coi là phương pháp điều trị bước đầu cho những bệnh nhân có kiểu hình tắc nghẽn; disopyramide giúp giảm triệu chứng cho những bệnh nhân thất bại khi điều trị bước đầu bằng thuốc chẹn beta, verapamil hoặc diltiazem.
Những bệnh nhân tiếp tục gặp các triệu chứng liên quan đến chênh áp đường ra (≥ 50 mm Hg) mặc dù điều trị nội khoa tối ưu là những bệnh nhân được điều trị xâm lấn. Khi được thực hiện tại một trung tâm có kinh nghiệm, phẫu thuật cắt bỏ khối cơ có tỷ lệ tử vong do phẫu thuật thấp với kết quả tuyệt vời, làm cho nó trở thành phương pháp trị liệu ưu thế. Triệt đốt vách ngăn bằng cồn qua da qua da là một phương pháp thay thế cho phẫu thuật ở bệnh nhân cao tuổi và những người khác có nguy cơ cao phải phẫu thuật.
Các loại thuốc làm giảm tiền gánh (ví dụ: nhóm nitrat, thuốc lợi tiểu, thuốc ức chế ACE, thuốc ức chế thụ thể angiotensin II) làm giảm kích thước buồng tim và làm trầm trọng thêm các triệu chứng và dấu hiệu. Chất làm giãn mạch làm tăng chênh áp đường ra và gây ra nhịp tim nhanh phản xạ làm rối loạn chức năng tâm trương thất trái trầm trọng hơn. Các thuốc tăng co bóp (như digitalis glycoside, catecholamine) làm xấu đi sự tắc nghẽn đường ra, không làm giảm áp lực cuối tâm trương cao và có thể gây loạn nhịp. Mavacamten, thuốc ức chế myosin tim đường uống làm giảm sự hình thành cầu nối Actin-myosin, giảm triệu chứng, giảm tắc nghẽn đường ra thất trái (LVOT) và tăng khả năng gắng sức ở bệnh nhân mắc bệnh cơ tim phì đại (1, 2).
Nếu ngất hoặc ngừng tuần hoàn đã xảy ra hoặc nếu loạn nhịp thất liên tục được xác nhận bằng ECG hoặc theo dõi bệnh nhân 24 giờ, nên cáy máy khử rung tim (ICD). Có một sự tranh cãi về sự cần thiết phải cấy máy khử rung tim ở bệnh nhân mà không có ngất, ngừng tuần hoàn, hoặc loạn nhịp thất. Người ta thường tin rằng nên cân nhắc đặt ICD ở những bệnh nhân có các đặc điểm nguy cơ cao (3). Các đặc điểm nguy cơ cao bao gồm
Tiền sử gia đình bị ngừng tim đột ngột sớm
Độ dày vách liên thất > 3 cm
Chậm bắt thuốc trên MRI tim
Ngất gần đây không rõ nguyên nhân
Sống sót sau ngừng tim do loạn nhịp thất
Nhiều đợt nhịp nhanh thất không kéo dài (NSVT)
Phân suất tống máu thất trái (LVEF) < 50% (bệnh giai đoạn cuối)
Phình thành thất trái
Phẫu thuật cắt bỏ u xơ và triệt đốt bằng cồn đã được sử dụng để làm giảm tắc nghẽn đường ra và làm giảm các triệu chứng. Không có sự khác biệt nào được chứng minh về tỷ lệ tử vong giữa các biện pháp can thiệp này, nhưng phẫu thuật cắt u xơ có hiệu quả hơn trong việc làm giảm tắc nghẽn và giảm việc cần phải can thiệp lặp lại (4).
Trước đây, việc tránh các môn thể thao cạnh tranh đã được khuyến cáo vì có thể xảy ra đột tử khi gắng sức. Các hướng dẫn hiện hành khuyến nghị rằng các vận động viên với HCM phải được đánh giá toàn diện và chia sẻ thảo luận về nguy cơ tiềm ẩn với một chuyên gia chuyên về HCM.
Điều trị giai đoạn ứ huyết của bệnh cơ tim phì đại cũng tương tự như bệnh cơ tim giãn có rối loạn chức năng tâm thu.
Tư vấn di truyền thích hợp cho những bệnh nhân có phì đại vách bất đối xứng.
Tài liệu tham khảo về điều trị
1. Olivotto I, Oreziak A, Barriales-Villa R, et al: Mavacamten for treatment of symptomatic obstructive hypertrophic cardiomyopathy (EXPLORER-HCM): a randomised, double-blind, placebo-controlled, phase 3 trial. Lancet 396:759–769, 2020 doi: 10.1016/S0140-6736(20)31792-X
2. Spertus JA, Fine JT, Elliott P, et al: Mavacamten for treatment of symptomatic obstructive hypertrophic cardiomyopathy (EXPLORER-HCM): health status analysis of a randomized, double-blind, placebo-controlled, phase 3 trial. Lancet 397:2467–2475, 2012 doi: 10.1016/S0140-6736(21)00763-7
3. Maron MS, Rowin EJ, Wessler BS, et al: Enhanced American College of Cardiology/American Heart Association Strategy for Prevention of Sudden Cardiac Death in High-Risk Patients With Hypertrophic Cardiomyopathy. JAMA Cardiol 4(7):644–657, 2019. doi:10.1001/jamacardio.2019.1391
4. Nguyen A, Schaff HV, Hang D, et al: Surgical myectomy versus alcohol septal ablation for obstructive hypertrophic cardiomyopathy: A propensity score-matched cohort. J Thorac Cardiovasc Surg 157(1):306–315.e3, 2019 doi:10.1016/j.jtcvs.2018.08.062
Tiên lượng về bệnh cơ tim phì đại
Nói chung, tỷ lệ tử vong hàng năm khoảng 1% đối với người lớn nhưng cao hơn đối với trẻ em. Tử vong thường là đột ngột và tử vong đột ngột là di chứng thường gặp nhất; suy tim mạn tính xảy ra ít thường xuyên hơn. Nguy cơ đột tử cao hơn khi có các yếu tố nguy cơ sau:
Tiền sử gia đình có đột tử do tim do bệnh cơ tim phì đại, ngừng tim hoặc loạn nhịp thất kéo dài
Tiền sử cá nhân về ngất không rõ nguyên nhân, ngừng tim hoặc loạn nhịp thất kéo dài
Nhịp nhanh thất không bền bỉ lặp lại nhiều lần (trên ECG)
Phì đại thất trái lớn (dày ≥ 30 mm), rối loạn chức năng LV (EF < 50%), phình động mạch đỉnh LV
Mở rộng và khuếch tán muộn gadolinium trên MRI
Những điểm chính
Bệnh lý cơ tim phì đại thường do một trong số nhiều đột biến di truyền gây ra nhiều kiểu phì đại thất khác nhau, làm hạn chế khả năng đổ đấy (nghĩa là gây ra rối loạn chức năng tâm trương) và đôi khi tắc nghẽn đường ra thất trái.
Lưu lượng máu mạch vành có thể bị suy giảm ngay cả khi không có xơ vữa động mạch vành vì mật độ mao mạch không đủ và các động mạch vành trong cơ tim bị thu hẹp do tăng sản và phì đại nội mạc và trung gian.
Ở độ tuổi trẻ, bệnh nhân có thể bị đau ngực, khó thở, đánh trống ngực, ngất, và đôi khi đột tử, điển hình được kích hoạt bởi gắng sức.
Siêu âm tim được thực hiện, nhưng, nếu có thể, MRI là công cụ tốt nhất cho thấy bất thường cơ tim.
Sử dụng thuốc chẹn beta và/hoặc thuốc chẹn kênh canxi làm giảm nhịp tim (thường là verapamil) làm giảm tình trạng co bóp cơ tim và làm chậm nhịp tim, do đó kéo dài thời gian đổ đầy tâm trương và giảm tắc nghẽn đường ra.
Cân nhắc sử dụng mavacamten để làm giảm gradient đường ra thất trái, cải thiện khả năng gắng sức và làm giảm triệu chứng.
Tránh dùng nhóm nitrat và các thuốc khác làm giảm tiền gánh (ví dụ: thuốc lợi tiểu, thuốc ức chế men chuyển angiotensin, thuốc ức chế thụ thể angiotensin II) vì những thuốc này làm giảm kích thước thất trái và làm xấu đi chức năng tâm thất trái.
cấy máy khử rung tim cho bệnh nhân bị ngất hoặc ngừng tuần hoàn.
Thực hiện phẫu thuật cắt bỏ cơ hoặc triệt đốt vách bằng cồn ở những bệnh nhân có triệu chứng mặc dù đã điều trị nội khoa.
Thông tin thêm
Tài nguyên bằng tiếng Anh sau đây có thể hữu ích. Vui lòng lưu ý rằng CẨM NANG không chịu trách nhiệm về nội dung của tài liệu này.
American Heart Association Guidelines on Hypertrophic Cardiomyopathy: Ommen SR, Mital S, Burke MA, et al: 2020 AHA/ACC Guideline for the Diagnosis and Treatment of Patients With Hypertrophic Cardiomyopathy A Report of the American College of Cardiology/American Heart Association Joint Committee on Clinical Practice Guidelines [published correction appears in Circulation. 22 tháng 12 năm 2020;142(25):e633]. Circulation 20 November 2020. doi: 10.1161/CIR.0000000000000937
