Thiếu máu cục bộ mạc treo cấp tính

TheoParswa Ansari, MD, Hofstra Northwell-Lenox Hill Hospital, New York
Xem xét bởiMinhhuyen Nguyen, MD, Fox Chase Cancer Center, Temple University
Đã xem xét/Đã chỉnh sửa đã sửa đổi Thg 7 2024
v890436_vi

Thiếu máu cục bộ mạc treo cấp là sự gián đoạn dòng máu nuôi ruột do cục nghẽn, huyết khối, hoặc tình trạng dòng chảy kém. Nó gây giải phóng các chất trung gian, viêm và cuối cùng là nhồi máu. Đau bụng không tương xứng với các dấu hiệu thực thể. Khó có chẩn đoán sớm, nhưng chụp mạch và nội soi ổ bụng thăm dò có độ nhạy nhất; các phương pháp chẩn đoán hình ảnh khác thường chỉ rõ ràng ở giai đoạn muộn của bệnh. Điều trị bằng cắt bỏ đoạn thuyên tắc, tái thông tuần hoàn đoạn ruột có thể phục hồi được hoặc cắt bỏ; đôi khi dùng thuốc giãn mạch cũng thành công. Tỷ lệ tử vong cao.

(Xem thêm Đau bụng cấp tính.)

Sinh lý bệnh của thiếu máu cục bộ mạc treo cấp tính

Niêm mạc ruột có tốc độ trao đổi chất cao, và do đó, đòi hỏi lưu lượng máu cao (thường nhận từ 20 đến 25% cung lượng tim), điều đó khiến cho nó rất nhạy cảm với những tác động giảm tưới máu. Thiếu máu cục bộ phá vỡ hàng rào niêm mạc, khiến cho vi khuẩn, độc tố và các chất trung gian vận mạch giải phóng ra, từ đó dẫn đến suy cơ tim, hội chứng phản ứng viêm hệ thống, suy đa cơ quan và tử vong. Quá trình giải phóng chất trung gian có thể xảy ra trước khi nhồi máu hoàn toàn.

Hoại tử có thể xảy ra trong 6 giờ sau khi khởi phát triệu chứng.

Căn nguyên của thiếu máu cục bộ mạc treo cấp tính

Ba mạch máu lớn cung cấp cho các cơ quan trong ổ bụng:

  • Động mạch thân tạng: Cấp máu cho thực quản, dạ dày, tá tràng đầu gần, gan, túi mật, tụy và lách

  • Động mạch mạc treo tràng trên (SMA): Cấp máu cho tá tràng đầu xa, hỗng tràng, hồi tràng và đại tràng góc lách

  • Động mạch mạc treo tràng dưới (IMA): Cấp máu cho đại tràng xuống, đại tràng sigma và trực tràng

Các mạch máu phụ có nhiều ở dạ dày, tá tràng và trực tràng; những vùng này hiếm khi có thiếu máu cục bộ. Góc lách là vị trí tiếp giao giữa động mạch mạc treo tràng trên và động mạch mạc treo tràng dưới và đặc biệt có nguy cơ thiếu máu cục bộ. Lưu ý rằng thiếu máu cục bộ mạc treo cấp tính khác với viêm đại tràng thiếu máu cục bộ chỉ gồm các mạch máu nhỏ và nguyên nhân chủ yếu do hoại tử niêm mạc và chảy máu.

Lưu lượng máu đến mạc treo có thể bị gián đoạn hoặc ở phía động mạch, hoặc ở phía tĩnh mạch. Nói chung, bệnh nhân> 50 tuổi có nguy cơ cao nhất và có các loại tắc nghẽn và các yếu tố nguy cơ được ghi trong Bảng các nguyên nhân của thiếu máu cục bộ mạc treo cấp. Tuy nhiên, nhiều bệnh nhân không có các yếu tố nguy cơ rõ ràng.

Bảng
Bảng

Các triệu chứng và dấu hiệu của bệnh thiếu máu cục bộ mạc treo cấp

Dấu hiệu sớm của thiếu máu cục bộ mạc treo là đau dữ dội nhưng các dấu hiệu thực thể mờ nhạt. Bụng vẫn mềm, đau ít hoặc không đau. Có thể có nhịp tim nhanh mức độ nhẹ. Sau đó, khi có hoại tử, các dấu hiệu viêm phúc mạc xuất hiện, với đau rõ rệt khi sờ vào bụng, phản ứng, co cứng và không nghe thấy nhu động ruột. Phân có thể có máu (có nhiều khả năng khi thiếu máu cục bộ tiến triển). Các dấu hiệu thường gặp của tình trạng sốc xuất hiện và bệnh nhân thường tử vong sau đó.

Khởi phát đột ngột cơn đau gợi ý nhưng không đủ chẩn đoán thuyên tắc động mạch, trong khi đó khởi phát dần dần điển hình cho huyết khối tĩnh mạch. Bệnh nhân có tiền sử khó chịu sau ăn (gợi ý thiếu máu cục bộ ở ruột) có thể có huyết khối động mạch.

Chẩn đoán thiếu máu cục bộ mạc treo cấp

  • Chẩn đoán trên lâm sàng quan trọng hơn chẩn đoán cận lâm sàng

  • Chụp mạch mạc treo hoặc chụp CT mạch nếu chưa rõ chẩn đoán.

Chẩn đoán sớm thiếu máu cục bộ mạc treo đặc biệt quan trọng vì tỷ lệ tử vong tăng đáng kể khi nhồi máu ruột xảy ra (1). Thiếu máu cục bộ mạc treo phải được nghĩ đến trên mọi bệnh nhân>50 tuổi có yếu tố nguy cơ hoặc tình trạng gây đau bụng dữ đội đột ngột.

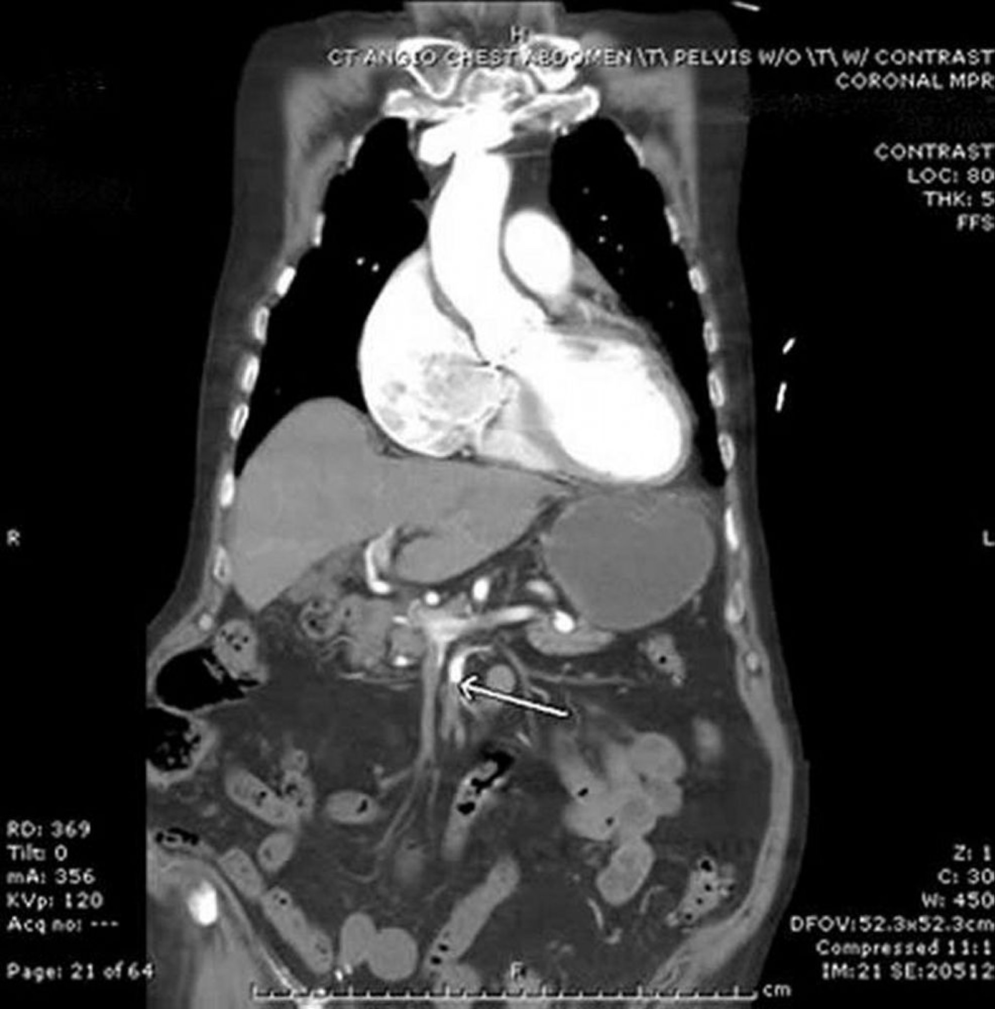
Những bệnh nhân có dấu hiệu phúc mạc rõ ràng nên được đưa thẳng vào phòng mổ để vừa chẩn đoán vừa điều trị. Với các trường hợp khác, chụp chọn lọc mạch mạc treo hoặc chụp CT mạch là thủ thuật chẩn đoán được lựa chọn. Chụp cộng hưởng từ mạch có thể được sử dụng nếu có chống chỉ định với thuốc cản quang tiêu chuẩn đường tĩnh mạch.

Các phương pháp chẩn đoán hình ảnh khác và các chất chỉ điểm trong huyết thanh có thể chỉ ra những bất thường nhưng thiếu độ nhạy và đặc hiệu trong giai đoạn sớm của bệnh, khi mà chẩn đoán là điều quyết định nhất. Các phim chụp X-quang bụng không chuẩn bị chủ yếu hữu ích trong việc loại trừ các nguyên nhân gây đau khác (ví dụ: thủng tạng rỗng), mặc dù khí tĩnh mạch cửa hoặc khí ruột có thể xuất hiện muộn trong quá trình mắc bệnh. Những dấu hiệu này cũng thấy trên CT, cũng có thể nhìn trực tiếp thấy hình ảnh tắc mạch - chính xác hơn là ở bên tĩnh mạch. Siêu âm Doppler đôi khi có thể xác định được tắc động mạch, nhưng độ nhạy thấp. MRI rất chính xác trong trường hợp tắc mạch máu đầu gần nhưng kém chính xác hơn trong tắc mạch máu đầu xa.

Các chất chỉ điểm huyết thanh (ví dụ creatine kinase, lactate) tăng trong hoại tử nhưng không phải là các dấu hiệu đặc hiệu và xuất hiện muộn hơn.

Tài liệu tham khảo chẩn đoán

  1. 1. Bala M, Catena F, Kashuk J, et al: Acute mesenteric ischemia: Updated guidelines of the World Society of Emergency Surgery. World J Emerg Surg 17(1):54, 2022. doi: 10.1186/s13017-022-00443-x

Điều trị thiếu máu cục bộ mạc treo cấp

  • Dịch và kháng sinh đường tĩnh mạch

  • Phẫu thuật: Cắt bỏ đoạn thuyên tắc, tái thông tuần hoàn, kèm theo hoặc không cắt bỏ đoạn ruột.

  • Chụp mạch: Thuốc giãn mạch hoặc tiêu huyết khối

  • Điều trị chống đông máu và chống ngưng tập tiểu cầu lâu dài

Bệnh nhân nên được hồi sức bằng dịch truyền tĩnh mạch để cải thiện tưới máu nội tạng. Kháng sinh phổ rộng cần phải được bắt đầu.

Nếu chẩn đoán bằng nội soi thăm dò ổ bụng thì lựa chọn điều trị là phẫu thuật lấy huyết khối, tái thông tuần hoàn và cắt bỏ. Phẫu thuật nội soi lần thứ hai có thể cần thiết để đánh giá lại khả năng tồn tại của các vùng ruột có vấn đề.

Nếu chẩn đoán được thực hiện bằng chụp mạch, truyền thuốc giãn mạch papaverine qua ống thông chụp mạch có thể cải thiện thời gian sống thêm trong tình trạng thiếu máu cục bộ không tắc nghẽn (1).

Đối với tắc nghẽn động mạch, có thể thực hiện phương pháp tiêu sợi huyết hoặc phẫu thuật lấy huyết khối. Sự xuất hiện của các dấu hiệu phúc mạc bất cứ lúc nào trong quá trình đánh giá đều gợi ý cần phẫu thuật ngay. Tái thiết lập lưu lượng máu đến ruột đôi khi có thể được thực hiện thông qua các kỹ thuật nội mạch.

Huyết khối tĩnh mạch mạc treo không có dấu hiệu viêm phúc mạc có thể được điều trị bằng thuốc chống đông máu.

Bệnh nhân thuyên tắc động mạch hoặc huyết khối tĩnh mạch cần phải được xem xét điều trị bằng thuốc chống đông và thuốc chống ngưng tập tiểu cầu kép lâu dài và theo dõi mức thông thoáng của mảnh ghép hoặc stent.

Tài liệu tham khảo về điều trị

  1. 1. Winzer R, Fedders D, Backes M, et al. Local Intra-arterial Vasodilator Infusion in Non-Occlusive Mesenteric Ischemia Significantly Increases Survival Rate [published correction appears in Cardiovasc Intervent Radiol. Tháng 10 năm 2021;44(10):1687]. Cardiovasc Intervent Radiol. 2020;43(8):1148-1155. doi:10.1007/s00270-020-02515-4

Tiên lượng về thiếu máu cục bộ mạc treo cấp

Nếu chẩn đoán và điều trị trước khi nhồi máu xảy ra, tỷ lệ tử vong thấp; sau nhồi máu ruột, tỷ lệ tử vong cao và thay đổi tùy theo nguyên nhân (1). Do đó, nên có chẩn đoán lâm sàng thiếu máu cục bộ mạc treo thay vì chẩn đoán dựa trên cận lâm sàng, phương pháp này có thể trì hoãn điều trị.

Tài liệu tham khảo về tiên lượng bệnh

  1. 1. Schoots IG, Koffeman GI, Legemate DA, Levi M, van Gulik TM. Systematic review of survival after acute mesenteric ischaemia according to disease aetiology. Br J Surg. 2004;91(1):17-27. doi:10.1002/bjs.4459

Những điểm chính

  • Chẩn đoán sớm là rất quan trọng vì tỷ lệ tử vong tăng đáng kể nếu có nhồi máu ruột.

  • Ban đầu, đau dữ dội nhưng dấu hiệu thực thể mờ nhạt.

  • Phẫu thuật thăm dò thường là phương pháp chẩn đoán tốt nhất cho bệnh nhân có dấu hiệu viêm phúc mạc rõ.

  • Đối với các bệnh nhân khác, chụp mạch mạc treo hoặc chụp cắt lớp mạch máu được thực hiện.

  • Các phương án điều trị bao gồm phẫu thuật cắt bỏ chỗ thuyên tắc, tái thông tuần hoàn và cắt bỏ đoạn ruột.

quizzes_lightbulb_red
Test your KnowledgeTake a Quiz!