Khối u (cục) vú có thể được bệnh nhân phát hiện một cách tình cờ hoặc khi tự khám vú hoặc bởi bác sĩ lâm sàng khi khám thực thể.
Khối u có thể không đau hoặc đau đớn và đôi khi kèm theo chảy dịch núm vú hoặc các thay đổi ở da.
Căn nguyên của các khối u ở vú
Tất cả các khối ở vú phải được đánh giá để loại trừ ung thư vú, nhưng phần lớn là không ác tính. Các nguyên nhân phổ biến nhất bao gồm
Thay đổi xơ nang
nhân xơ
Thay đổi xơ nang (trước đây là bệnh u xơ vú) đề cập đến các tổn thương không tăng sinh, bao gồm u nang vú và các khối không đặc trưng (thường ở phần trên bên ngoài của vú); những dấu hiệu này có thể xảy ra riêng biệt hoặc cùng nhau. Vú có cấu trúc hình nốt và đan xen dày đặc và thường căng lên khi được sờ. Vú có thể cảm thấy nặng nề và không thoải mái. Phụ nữ có thể cảm thấy đau ở ngực. Những thay đổi về xơ nang là nguyên nhân gây ra các triệu chứng vú thường gặp nhất. Các triệu chứng có xu hướng giảm dần sau thời kỳ mãn kinh.
Tình trạng kích thích lặp đi lặp lại của estrogen và progesterone có thể góp phần vào sự phát triển của các thay đổi xơ nang, thường xảy ra ở những phụ nữ bắt đầu có kinh sớm, những người sinh con lần đầu ở tuổi > 30, hoặc những người chưa sinh đẻ. Thay đổi xơ nang không liên quan đến tăng nguy cơ ung thư.
Nhân xơ vú thường trơn, tròn, di động, không đau; chúng có thể bị nhầm lẫn với ung thư. Chúng thường phát triển ở phụ nữ trong những năm sinh sản và có thể giảm về kích thước theo thời gian. U xơ tuyến đơn giản dường như không làm tăng nguy cơ bị ung thư vú. U xơ tuyến phức tạp có liên quan đến nguy cơ ung thư vú tăng nhẹ (1). U xơ tuyến vị thành niên là một biến thể xảy ra ở thanh thiếu niên và không giống như u xơ tuyến ở phụ nữ cao tuổi, những u xơ tuyến này tiếp tục phát triển theo thời gian.
Bức ảnh này cho thấy một cục u nhỏ phía trên núm vú. Khối u sau đó được chẩn đoán là u tuyến xơ.
GIRAND/SCIENCE PHOTO LIBRARY
Nhiễm trùng vú (viêm vú) gây đau, ban đỏ và sưng tấy; áp xe có thể tạo ra một mảng u lan toả. Viêm vú sau đẻ, thường là do Tụ cầu vàng, có thể gây ra một mảng viêm và đau ngực nghiêm trọng, đôi khi có áp xe. Nhiễm trùng là rất hiếm, ngoại trừ khi cho bú (sau sinh) hoặc sau khi bị chấn thương vào trong. Chúng có thể xảy ra sau khi phẫu thuật vú. Nếu nhiễm trùng xảy ra trong những tình huống khác, cần tìm kỹ vì có thể có một loại ung thư tiềm ẩn. Các loại viêm vú lành tính không sinh sữa là viêm vú quanh ống dẫn sữa, viêm vú u hạt tự phát, và viêm vú do lao (xem Lao ngoài phổi); những loại này xảy ra chủ yếu ở phụ nữ trẻ.
Hình ảnh một khối không đều trên cạnh bên của vú trái. Khối này sau đó được chẩn đoán là ung thư vú.
MID ESSEX HOSPITAL SERVICES NHS TRUST/THƯ VIỆN HÌNH ẢNH KHOA HỌC
Galactocele là một túi nang chứa sữa tròn và dễ di chuyển, thường xuất hiện đến 6 đến 10 tháng sau khi ngừng cho con bú. Những nang như vậy hiếm khi trở nên bị nhiễm trùng.
Bức ảnh này cho thấy một khối lớn có ban đỏ ở phía trên của vú phải. Khối này sau đó được chẩn đoán là ung thư.
BÁC SĨ M.A. ANSARY/THƯ VIỆN HÌNH ẢNH KHOA HỌC
Ung thư các loại có thể biểu hiện như một mảng xơ.
Tài liệu tham khảo nguyên nhân gây bệnh
1. Nassar A, Visscher DW, Degnim AC, et al: Complex fibroadenoma and breast cancer risk: a Mayo Clinic Benign Breast Disease Cohort Study. Breast Cancer Res Treat 153(2):397-405, 2015 doi:10.1007/s10549-015-3535-8
Đánh giá khối ở vú
Lịch sử
Tiền sử của bệnh hiện tại nên bao gồm khối lượng đã tồn tại bao lâu, kích thước không đổi hay thay đổi và khối lượng có gây đau hay không. Sự xuất hiện trước đó của một mảng xơ và kết quả đánh giá tình trạng của nó nên được xem xét.
Rà soát hệ thống cần xác định xem có hiện tượng tiết dịch ở núm vú hay không và nếu có, đó là một bên, tự phát hay chỉ do phản ứng với việc chạm vào vú và liệu nó có trong suốt, trắng đục hay có máu hay không. Các triệu chứng của ung thư tiến triển (ví dụ như giảm cân, mệt mỏi, đau xương) nên được tìm kiếm.
Bệnh sử nên bao gồm các yếu tố nguy cơ mắc bệnh ung thư vú, bao gồm chẩn đoán ung thư vú trước đó, tiền sử xạ trị ở vùng ngực trước 30 tuổi (ví dụ: u lympho Hodgkin). Tiền sử gia đình cần lưu ý ung thư vú ở người thân cấp 1 (mẹ, chị gái, con gái) và nếu tiền sử gia đình dương tính, liệu người thân đó có mang một trong những đột biến gen di truyền dẫn đến ung thư vú hay không (ví dụ: BRCA1, BRCA2).
Khám thực thể
Kiểm tra tập trung vào vú và các mô lân cận. Vú được kiểm tra để phát hiện những thay đổi da trên vùng của mảng xơ, sự co rút núm vú (co lại), và tiết dịch núm vú. Những thay đổi trên da có thể bao gồm ban đỏ, xuất hiện nốt eczema, phù nề hoặc lõm da (đôi khi được gọi là peau d’orange [vỏ cam]).
Bức ảnh này cho thấy cận cảnh núm vú bị tụt vào của một bệnh nhân nữ trưởng thành. Tình trạng này có thể là một biểu hiện của bệnh ung thư vú, hoặc nó có thể không phải do bất kỳ căn bệnh tiềm ẩn nào.
THƯ VIỆN HÌNH ẢNH KHOA HỌC
Khối được sờ nắn để tìm kích thước, ấn đau, độ đặc (tức là cứng hay mềm, mịn hoặc không đều), đường viền (rõ ràng hoặc không rời rạc) và tính di động (cho dù cảm giác di động tự do hay cố định vào da hoặc thành ngực).
Các vùng hạch nách, thượng đòn và vùng gấp của xương đòn được sờ để phát hiện mảng xơ và hạch.
Các dấu hiệu cảnh báo
Một số phát hiện nhất định được quan tâm đặc biệt:
Mảng xơ cố định lên da hoặc lồng ngực
Mảng cứng, không đều
Nổi mụn trên da
Da dày, đỏ
Tiết dịch núm vú tự nhiên hay tiết dịch máu
Hạch nách khó xác định hay dính
Giải thích các dấu hiệu
Mảng xơ đau, căng, đàn hồi ở những phụ nữ có tiền sử có những phát hiện tương tự và những phụ nữ ở độ tuổi sinh sản thường là do những thay đổi xơ nang.
Các phát hiện báo động nghĩ tới ung thư. Tuy nhiên, đặc điểm của các tổn thương lành tính và ác tính, bao gồm sự hiện diện hoặc không của các yếu tố nguy cơ, trùng lặp giống nhau đáng kể. Vì lý do này và vì việc không nhận ra ung thư sẽ gây ra hậu quả nghiêm trọng nên bệnh nhân cần xét nghiệm để loại trừ ung thư vú một cách chắc chắn hơn.
Xét nghiệm
Ban đầu, các bác sĩ cố gắng phân biệt mảng xơ cứng với khối u nang vì u nang hiếm khi ung thư. Thông thường, siêu âm được thực hiện đầu tiên. Các tổn thương xuất hiện dạng nang có thể được chọc hút (ví dụ, khi các tổn thương này gây ra các triệu chứng).
Chất lỏng hút ra từ nang sẽ được gửi đi xét nghiệm tế bào học nếu
Nó đục hoặc có máu.
Có được chất lỏng tối thiểu.
Một mảng xơ vẫn còn sau khi hút.
Nếu có những dấu hiệu này, thực hiện chụp nhũ ảnh sau đó là sinh thiết kim lõi có dẫn hướng hình ảnh.
Bệnh nhân được kiểm tra lại trong 4 đến 8 tuần. Nếu nang không còn sờ thấy, nó sẽ được coi là lành tính. Nếu nang tái phát, nó được hút lại, và bất kỳ dịch nào hút được cũng gửi để làm tế bào. Khối u tái phát hoặc tồn tại lần thứ ba sau khi chọc hút ban đầu (ngay cả khi tế bào học âm tính) thì cần phải sinh thiết.
Các khối đặc được đánh giá bằng chụp nhũ ảnh sau đó là sinh thiết kim lõi có dẫn hướng hình ảnh. Sinh thiết bằng phẫu thuật được thực hiện nếu không thể thực hiện sinh thiết có hướng dẫn hình ảnh do tổn thương quá gần da hoặc gần thành ngực, nếu bệnh nhân không thể duy trì tư thế cần thiết để sinh thiết bằng kim, hoặc nếu bệnh nhân thích sinh thiết bằng phẫu thuật.
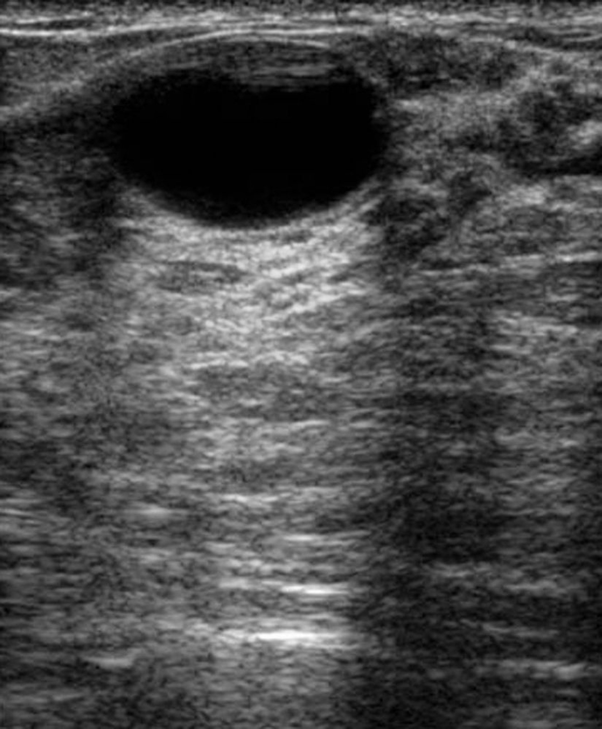
Hình ảnh này cho thấy siêu âm của một khối u tuyến xơ ở vú (cấu trúc giảm âm hình bầu dục ở trung tâm phía trên của hình ảnh).
ZEPHYR/THƯ VIỆN HÌNH ẢNH KHOA HỌC
Lần siêu âm vú này của một bệnh nhân bị bệnh xơ nang cho thấy một u nang ở trung tâm phía trên. U nang là những túi chứa đầy chất lỏng thường lành tính.
BÁC SĨ NAJEEB LAYYOUS/SCIENCE PHOTO LIBRARY
Điều trị khối ở vú
Điều trị khối ở vú trực tiếp theo nguyên nhân gây ra.
U tuyến xơ thường được lấy ra nếu nó phát triển hoặc gây ra các triệu chứng. Các u tuyến xơ có thể được cắt bỏ bằng phẫu thuật hoặc, nếu < 3 cm, nó được làm đông lạnh lại sau khi bệnh nhân được gây tê cục bộ, nhưng u tuyến xơ thường tái phát. Hiệp hội bác sĩ phẫu thuật vú Hoa Kỳ khuyến cáo nên cắt bỏ u tuyến nếu các khối u này có bất kỳ đặc điểm nào sau đây: giảm thiểu mô đệm, phát triển quá mức mô đệm, đa hình dạng hạt nhân, phân mảnh hoặc thâm nhiễm mô mỡ (1). Những bệnh nhân bị nhân xơ không bị cắt bỏ nên được kiểm tra định kỳ để phát hiện những thay đổi. Sau khi bệnh nhân đã có một số nhân xơ ở vú được đánh giá lành tính, họ có thể quyết định chống lại việc bóc những nhân còn lại. Bởi vì u xơ tuyến vị thành niên có xu hướng phát triển nên các khối u này cần được loại bỏ chỉ vì tăng kích thước.
Acetaminophen, thuốc chống viêm không steroid (NSAID) và áo lót thể thao (để giảm chấn thương) có thể được sử dụng để làm giảm các triệu chứng của thay đổi xơ nang. Dầu hoa anh thảo buổi tối có thể hiệu quả phần nào.
Một nang sữa tràn dịch sữa thường khỏi sau khi hút.
Ung thư vú được điều trị khi thích hợp.
Tài liệu tham khảo về điều trị
1. The American Society of Breast Surgeons: Consensus guideline on concordance assessment of image-guided breast biopsies and management of borderline or high-risk lesions; 2016. Truy cập ngày 18 tháng 12 năm 2023.
Những điểm chính
Hầu hết các mảng xơ không phải là ung thư.
Khối u vú thường được đánh giá đầu tiên bằng siêu âm.
Các khối nang được chọc hút và cần đánh giá thêm nếu dịch có màu đục hoặc có máu, lượng dịch nhỏ thu được hoặc khối không hết.
Các khối đặc được đánh giá bằng chụp nhũ ảnh và sinh thiết.
