Xuất huyết phế nang lan tỏa
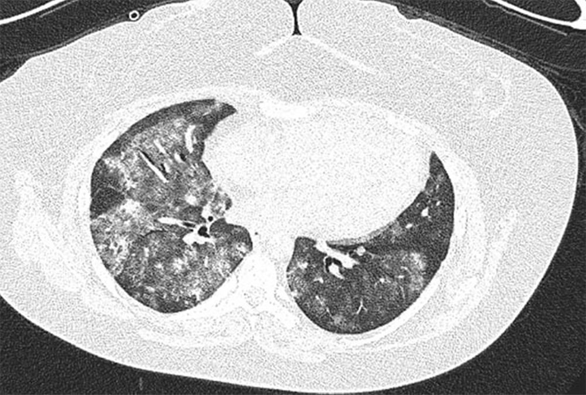
Hình ảnh CT độ phân giải cao của phụ nữ 28 tuổi mắc hội chứng kháng phospholipid với xuất huyết phế nang lan tỏa tái phát. Hình ảnh cho thấy hình ảnh kính mờ ở phế nang hai bên và loang lổ kèm theo không tổn thương dưới màng phổi. Rửa phế quản phế nang xác nhận có xuất huyết phế nang.
Hình ảnh do bác sĩ Joyce Lee cung cấp.
Trong các chủ đề này
