Viêm xương tủy
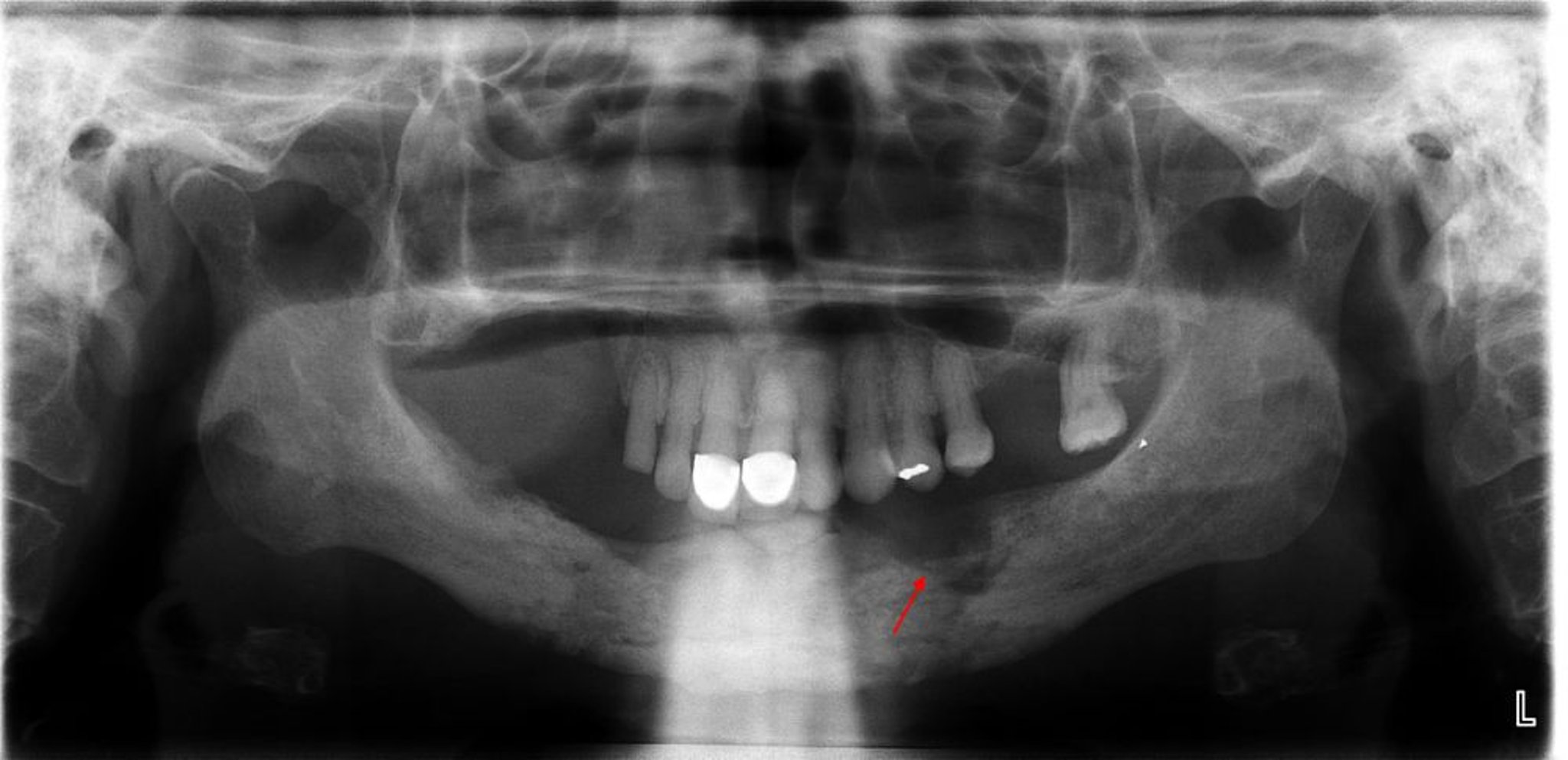
Phim chụp X-quang này cho thấy tình trạng viêm tủy xương với xương gãy rõ ràng (xương không còn sống) ở góc hàm dưới bên trái (mũi tên).
Hình ảnh do thạc sĩ, bác sĩ nha khoa Byron (Pete) Benson, Đại học Texas A&M, Cao đẳng Nha khoa Baylor cung cấp.
Trong các chủ đề này
