U nguyên bào sợi mô màng phổi tự phát (chụp CT)
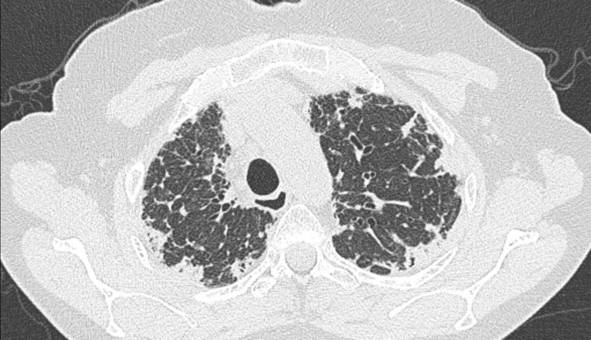
Chụp CT ngực cho thấy dày màng phổi và dưới màng phổi.
Hình ảnh do bác sĩ Joyce S. Lee cung cấp
Trong các chủ đề này
Chụp CT ngực cho thấy dày màng phổi và dưới màng phổi.
Hình ảnh do bác sĩ Joyce S. Lee cung cấp