Hẹp cột sống thắt lưng gây ra bởi trượt thoái hóa cột sống L4-L5
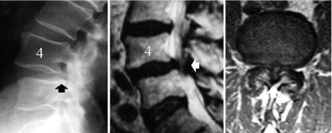
Hình ảnh bên trái là phim chụp X-quang cột sống thắt lưng nghiêng cho thấy đốt sống L4 bị trượt (mũi tên đen – bờ sau của thân đốt sống L5 không thẳng hàng với bờ sau của đốt sống L4). Hình ảnh ở giữa là MRI mặt cắt dọc giữa cho thấy sự chèn ép các cấu trúc thần kinh (mũi tên trắng). Hình ảnh bên phải là hình ảnh chụp MRI trục cho thấy tình trạng hẹp ống sống nặng ở mức độ trượt đốt sống do thoái hóa, L4-5 (mũi tên trắng).
© Springer Science+Business Media
Trong các chủ đề này
