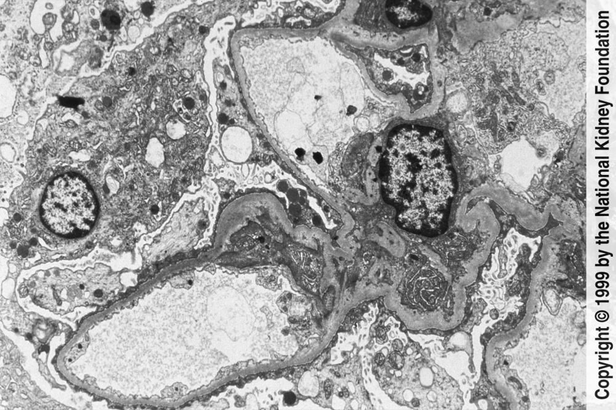
Bệnh xơ hóa cầu thận ổ cục bộ (cùn và xóa chân phụ)
Có thể nhìn thấy quá trình chân bị cùn và hiệu quả trên diện rộng trên kính hiển vi điện tử truyền qua (×3000).
Hình ảnh do bác sĩ Agnes Fogo và American Journal of Kidney Diseases' Atlas of Renal Pathology cung cấp (xem www.ajkd.org).
Trong các chủ đề này
