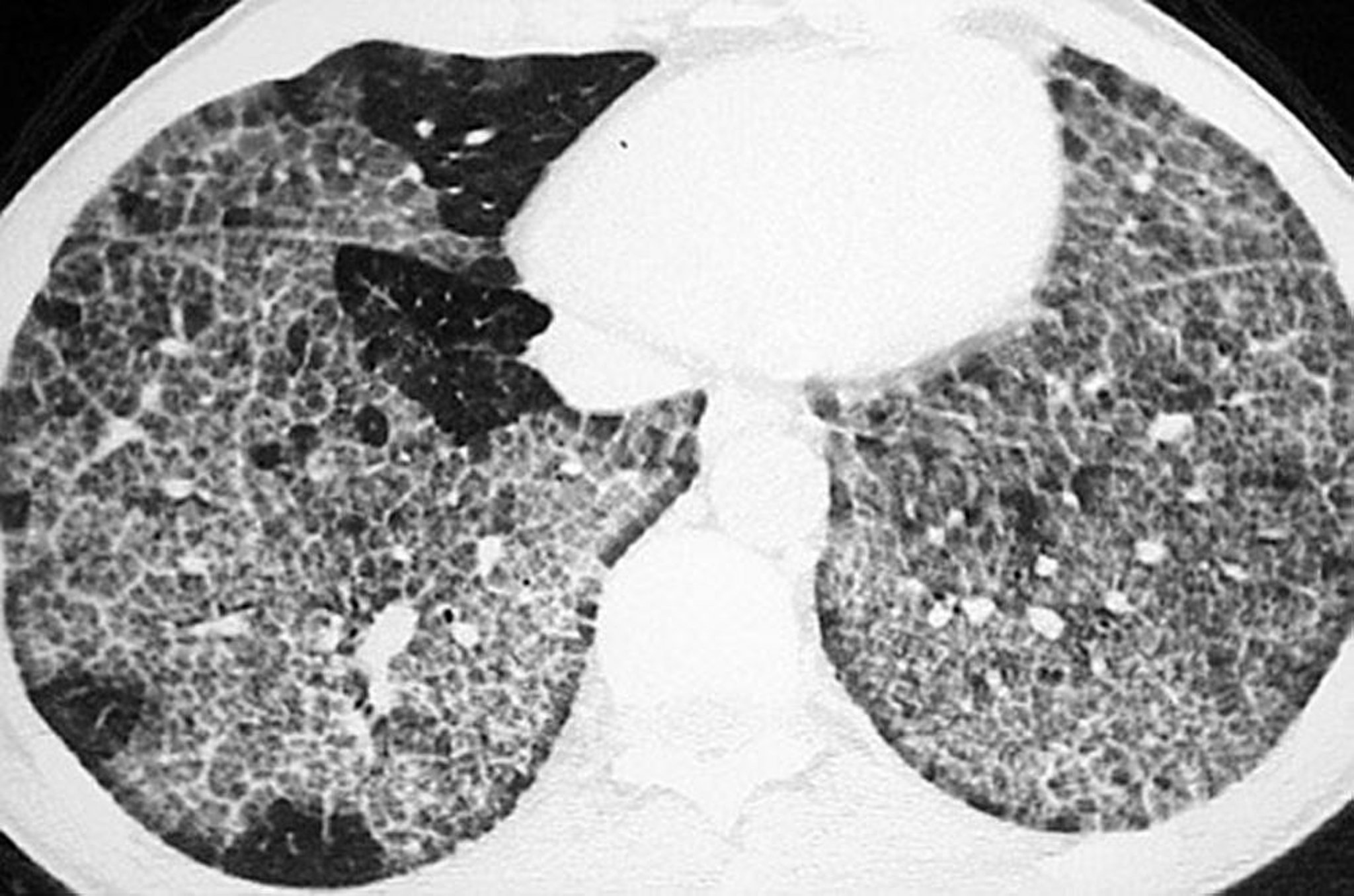
Bệnh tích protein phế nang (chụp CT)
CT độ phân giải cao cho thấy hình ảnh kính mờ, cấu trúc nội thùy dày lên và vách nội thùy tạo hình ảnh đa giác điển hình (“lát gạch”).
Hình ảnh do bác sĩ Talmadge E. King cung cấp
Trong các chủ đề này
CT độ phân giải cao cho thấy hình ảnh kính mờ, cấu trúc nội thùy dày lên và vách nội thùy tạo hình ảnh đa giác điển hình (“lát gạch”).
Hình ảnh do bác sĩ Talmadge E. King cung cấp