Tá tràng có thể bị tắc nghẽn do teo, hẹp và áp lực chèn ép từ khối ngoài bên ngoài. Teo tá tràng và các nguyên nhân khác gây tắc tá tràng thường liên quan đến hội chứng Down. Chẩn đoán bằng các kiểm tra chẩn đoán hình ảnh. Điều trị là phẫu thuật sửa chữa.
(Xem thêm Tổng quan về dị tật tiêu hóa bẩm sinh.)
teo tá tràng
Teo tá tràng là tình trạng teo phổ biến thứ hai ở đường tiêu hóa (GI). Tỷ lệ mắc ước tính là 1 trên 10.000 ca sinh sống (1). Teo tá tràng là do sự thất bại trong việc làn rỗng lòng tá tràng thời kì phôi thai. Sự thất bại này có thể liên quan đến tình trạng thiếu máu hoặc các yếu tố di truyền.
Teo tá tràng, không giống như các chứng teo đường ruột khác, thường liên quan đến các dị tật bẩm sinh khác; khoảng 25% đến 40% số trẻ sơ sinh bị teo tá tràng có hội chứng Down (1). Các dị tật liên quan khác bao gồm VACTERL (vertebral anomalies, anal atresia, cardiac malformations, tracheoesophageal fistula, esophageal atresia, renal anomalies and radial aplasia, and limb anomalies) (dị tật đốt sống, teo hậu môn, dị tật tim, rò khí quản thực quản, teo thực quản, dị tật thận và loạn sản xương quay, dị tật chi), xoay bất thường, tụy hình khuyên, dị tật đường mật và dị tật hàm mặt.
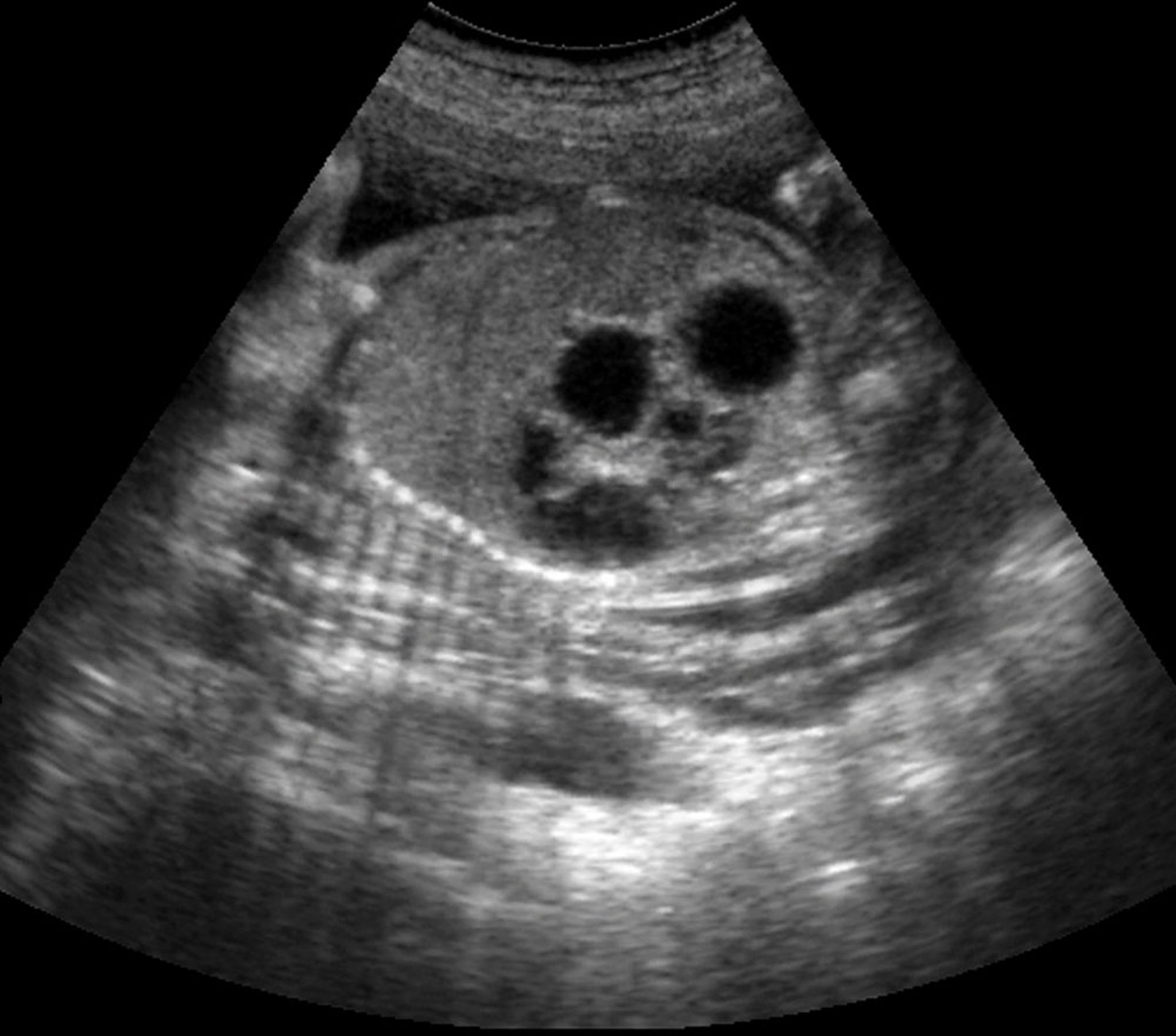
Chẩn đoán teo tá tràng được nghi ngờ trước khi sinh nếu có tình trạng đa ối và/hoặc dạ dày bị giãn. Siêu âm trước khi sinh có thể phát hiện dấu hiệu bong bóng đôi (bong bóng dạ dày lớn và bong bóng tá tràng gần nhỏ hơn) ở 80% số trường hợp (2).
Siêu âm này cho thấy dấu hiệu bong bóng đôi ở thai nhi bị teo tá tràng.
BÁC SĨ NAJEEB LAYYOUS/THƯ VIỆN HÌNH ẢNH KHOA HỌC
Phim chụp X-quang này cho thấy dấu hiệu bong bóng kép điển hình thường thấy trong tắc nghẽn hoàn toàn tá tràng. Bong bóng nhỏ hơn là hình ảnh của đoạn gần tá tràng bị giãn (mũi tên trắng); bong bóng lớn hơn là hình ảnh của dạ dày (mũi tên đen). Dấu hiệu này có thể gặp trong teo tá tràng, màng ngăn tá tràng, tuyến tụy hình nhẫn và tĩnh mạch cửa trước tá tràng. Mặc dù hiếm gặp, hiệu ứng này có thể gặp trong tắc nghẽn tá tràng hoàn toàn do các dải xơ ở bệnh nhân bị quay ruột bất thường.
Sau khi sinh, trẻ sơ sinh bị teo tá tràng có biểu hiện khó ăn và nôn có thể do dịch mật. Chẩn đoán nghi ngờ dựa trên các triệu chứng và hình ảnh chụp X-quang hai bóng khí điển hình cho thấy một bóng khí nằm trong dạ dày và bóng khí còn lại nằm ở tá tràng gần và hầu như không có không khí ở ruột đầu xa. Mặc dù chụp X-quang đường tiêu hóa trên có thể đưa ra chẩn đoán xác định, nhưng phải được thực hiện cẩn thận bởi bác sĩ chuyên khoa X-quang có kinh nghiệm thực hiện thủ thuật này ở trẻ em để tránh hít sặc và thường không cần thiết nếu phải phẫu thuật ngay lập tức. Nếu phải trì hoãn phẫu thuật (ví dụ: do các vấn đề y tế khác, chẳng hạn như hội chứng suy hô hấp hoặc cần ổn định tình trạng của trẻ sơ sinh), cần phải thực hiện thụt tháo thuốc cản quang để xác nhận rằng dấu hiệu bong bóng đôi không phải do tình trạng xoay bất thường.
Một khi rối loạn được nghi ngờ, trẻ sơ sinh không nên ăn đường miệng, và cần được đặt sonde dạ dày để giải áp lực dạ dày.
Phẫu thuật là phương pháp duy nhất.
Hẹp ống tá tràng
Tình trạng bất thường này ít xảy ra hơn teo tá tràng nhưng biểu hiện tương tự và cần phải phẫu thuật. Nó cũng thường kết hợp với hội chứng Down.
Nang đường mật
U mạch máu tụy có thể gây tắc hẹp tá tràng bởi áp lực bên ngoài. Tỷ lệ mắc bệnh dao động từ khoảng 1 trên 100.000 người ở Hoa Kỳ hoặc Châu Âu đến 1 trên 13.000 người ở Nhật Bản (3). Hơn một nửa số trường hợp được báo cáo xảy ra ở Nhật Bản. Có một số bằng chứng cho thấy tỷ lệ mắc u nang ống mật chủ đang gia tăng (4).
Trẻ sơ sinh có nang đường mật thường có tam chứng cổ điển là đau bụng (một phát hiện rất khó tìm ra ở trẻ sơ sinh), khối bụng dưới sườn bên phải và vàng da. Nếu u nang lớn, nó cũng có thể gây ra tình trạng tắc nghẽn tá tràng ở nhiều mức độ khác nhau. Trẻ sơ sinh có thể bị ứ mật. Ở một số trẻ sơ sinh, viêm tụy là một dấu hiệu có liên quan.
U nang ống mật chủ thường được chẩn đoán bằng siêu âm. Các u nang này có thể được xác định rõ hơn bằng cách sử dụng phương pháp chụp cộng hưởng từ đường mật tụy, chụp đường mật tụy ngược dòng qua nội soi (ERCP) hoặc siêu âm qua nội soi.
Điều trị u nang ống mật chủ bằng phẫu thuật và đòi hỏi phải cắt bỏ hoàn toàn u nang vì nguy cơ cao (7% đến 30%) phát triển ung thư ở phần còn lại của u nang (5, 6). Phương pháp phẫu thuật thường được sử dụng nhất là phẫu thuật mở thông ống gan ruột Roux-en-Y. Thủ thuật này thường được thực hiện bằng phương pháp nội soi ổ bụng. Một số nghiên cứu gần đây đã lưu ý rằng kết quả có thể được cải thiện khi phẫu thuật có sự hỗ trợ của robot. Nguy cơ ung thư giảm nhưng không loại bỏ hoàn toàn nguy cơ này khi cắt bỏ hết (7).
Tụy nhẫn
Tụy hình khuyên là một dị tật bẩm sinh hiếm gặp (5 đến 15/100.000 trẻ sinh sống) (8) và thường liên quan đến hội chứng Down. Trong dị tật này, mô tụy bao quanh phần thứ hai của tá tràng, gây tắc nghẽn tá tràng.
Khoảng hai phần ba số người có thương tổn vẫn không có triệu chứng. Trong số những người có triệu chứng, hầu hết xuất hiện ở thời kỳ sơ sinh, nhưng biểu hiện lâm sàng có thể bị trì hoãn cho đến khi trưởng thành. Trẻ sơ sinh có vấn đề về bú và nôn có thể do dịch mật.
Chẩn đoán gợi ý tụy hình khuyên bằng chụp X-quang bụng cho thấy dấu hiệu bong bóng đôi giống như trong teo tá tràng. Chẩn đoán cũng có thể xác định được bằng chụp một loạt phim trên và được xác định rõ ràng hơn với CT hay cộng hưởng từ mật tụy. ERCP có thể được thực hiện ở trẻ lớn hơn.
Điều trị tuyến tụy hình khuyên bằng phẫu thuật cắt bỏ tuyến tụy hình khuyên bằng phẫu thuật nối tá tràng, nối tá tràng hỗng tràng hoặc nối dạ dày hỗng tràng. Nên tránh việc cắt bỏ tuyến tụy vì các biến chứng tiềm ẩn của viêm tụy và sự phát triển của đường dò tụy.
Xoay không bình thường
Tắc nghẽn tá tràng do tình trạng xoay bất thường rất hiếm gặp, tạo nên một phần trẻ sơ sinh bị xoay bất thường "có triệu chứng" (1/2500 đến 6000) (9).
Tài liệu tham khảo
1. Bethell GS, Long AM, Knight M, Hall NJ; BAPS-CASS. Congenital duodenal obstruction in the UK: a population-based study. Arch Dis Child Fetal Neonatal Ed. 2020;105(2):178-183. doi:10.1136/archdischild-2019-317085
2. Engwall-Gill AJ, Zhou AL, Penikis AB, et al. Prenatal sonography in suspected proximal gastrointestinal obstructions: Diagnostic accuracy and neonatal outcomes. J Pediatr Surg. 2023;58(6):1090-1094. doi: 10.1016/j.jpedsurg.2023.02.029
3. Soares KC, Kim Y, Spolverato G, et al. Presentation and clinical outcomes of choledochal cysts in children and adults: a multi-institutional analysis. JAMA Surg. 2015;150(6):577-584. doi:10.1001/jamasurg.2015.0226
4. Ohashi T, Wakai T, Kubota M, et al. Risk of subsequent biliary malignancy in patients undergoing cyst excision for congenital choledochal cysts. J Gastroenterol Hepatol. 2013;28(2):243-247. doi:10.1111/j.1440-1746.2012.07260.x
5. Søreide K, Søreide JA. Bile duct cyst as precursor to biliary tract cancer. Ann Surg Oncol. 2007;14(3):1200-1211. doi:10.1245/s10434-006-9294-3
6. Frenette C, Mendiratta-Lala M, Salgia R, Wong RJ, Sauer BG, Pillai A. ACG Clinical Guideline: Focal Liver Lesions. Am J Gastroenterol. 2024;119(7):1235-1271. doi:10.14309/ajg.0000000000002857
7. Bloomfield GC, Nigam A, Calvo IG, et al. Characteristics and malignancy rates of adult patients diagnosed with choledochal cyst in the West: a systematic review. J Gastrointest Surg. 2024;28(1):77-87. doi:10.1016/j.gassur.2023.11.007
8. Alkhayyat M, Bachour S, Abou Saleh M, et al. The epidemiology of annular pancreas in the United States: a population-based study. J Clin Gastroenterol. 2022;56(2):186-191. doi:10.1097/MCG.0000000000001531
9. Salehi Karlslätt K, Husberg B, Ullberg U, Nordenskjöld A, Wester T. Intestinal Malrotation in Children: Clinical Presentation and Outcomes. Eur J Pediatr Surg. 2024;34(3):228-235. doi:10.1055/s-0043-1764239
