Переломи човноподібної кістки

ЗаDanielle Campagne, MD, University of California, San Francisco
ПереглянутоDiane M. Birnbaumer, MD, David Geffen School of Medicine at UCLA
Переглянуто/перевірено Змінено бер. 2025
v13387088_uk

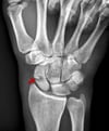
Переломи човноподібної кістки зазвичай виникають внаслідок надмірного розгинання зап’ястка. Вони можуть бути непомітні на первинних рентгенограмах. Ускладнення можуть бути тяжкими.

(Див. також «Огляд переломів».)

Човноподібна кістка є однією з найбільш вразливих кісток зап'ястка. Переломи човноподібної кістки зазвичай виникають внаслідок надмірного розгинання зап'ястка, зазвичай під час падіння на витягнуту руку. Такі переломи можуть порушити кровопостачання проксимального відділу човноподібної кістки. Таким чином, досить частим ускладненням є остеонекроз, і навіть якщо початкова медична допомога є оптимальною, він може спричинити інвалідизацію та дегенеративний артрит зап’ястка.

Симптоми та ознаки переломів човноподібної кістки

Променева частина зап'ястка характеризується припухлістю та болем при пальпації. Якщо у пацієнтів є такі симптоми, слід розглянути ймовірність перелому човноподібної кістки. Більш специфічні ознаки є наступними:

  • біль при компресії великого пальця в аксіальному напрямку;

  • біль під час супінації зап'ястка з опором;

  • особлива болючість у зоні анатомічної табакерки під час відхилення зап'ястка в напрямку ліктьової кістки

Анатомічна табакерка пальпується дистальніше по відношенню до променевої кістки, між довгим розгиначем великого пальця, коротким розгиначем і сухожиллями відвідного м'яза великого пальця.

Діагностика переломів човноподібної кістки

  • Рентгенограми

  • МРТ

  • В разі підозри на перелом човноподібної кістки та в разі недостатньої діагностичної цінності візуалізуючих досліджень виконується попереднє лікування шляхом накладання на великий палець руки колосоподібної шини та проведенням контрольної рентгенографії

На початку виконується звичайна рентгенографія (в передньо-задній, бічній та косій проекціях), хоча досить часто рентгенівські знімки є нормальними. Лише близько 70% переломів човноподібної кістки помітні на початкових рентгенограмах (1).

Якщо рентгенограми в межах норми, але все ще є підозра на перелом, можна провести МРТ. МРТ може використовуватися для діагностики переломів човноподібної кістки, оскільки при гострих станах даний метод дослідження є більш точним, ніж КТ або сканування кісток (1).

Якщо клінічно підозрюється перелом, а візуалізаційне зображення не має діагностичної цінності, то такий перелом, імовірно, лікують презумптивно і накладається шина для великого пальця. Пацієнта слід оглянути повторно через 1 тиждень після травмування. Якщо пацієнт все ще відчуває біль або якщо зап'ястя болюче при огляді через 1 тиждень після травми, слід провести повторну рентгенографію, КТ або МРТ.

Цінні поради та підводні камені

  • Якщо клінічні дані свідчать про переломи човноподібної кістки, виконайте МРТ або накладіть на великий палець колосоподібну шину, навіть якщо на рентгенограмі немає жодних ознак перелому.

Колосоподібна шина великого пальця

Довідкові матеріали щодо діагностики

  1. 1. Gäbler C, Kukla C, Breitenseher MJ, Trattnig S, Vécsei V. Diagnosis of occult scaphoid fractures and other wrist injuries. Are repeated clinical examinations and plain radiographs still state of the art?. Langenbecks Arch Surg. 2001;386(2):150-154. doi:10.1007/s004230000195

  2. 2. Carpenter CR, Pines JM, Schuur JD, et al. Adult scaphoid fracture. Acad Emerg Med. 21 (2):101–121, 2014. doi: 10.1111/acem.12317

Лікування переломів човноподібної кістки

  • Іммобілізація великого пальця колосоподібною шиною

Багато переломів без зміщення можна лікувати за допомогою накладення шини на великий палець, яку носять до 6–8 тижнів. Колосоподібна шина може накладатися, якщо накладання гіпсової пов'язки слід відстрочити.

Іноді при помірному зміщенні сегментів перелому може знадобитися відкрита репозиція з внутрішньою фіксацією (ORIF).

Ключові моменти

  • Переломи човноподібної кістки зазвичай виникають внаслідок надмірного розгинання зап'ястка, зазвичай під час падіння на витягнуту руку.

  • Ці переломи можуть порушувати кровопостачання проксимального відділу човноподібної кістки, таким чином, остеонекроз є досить поширеним ускладненням, яке іноді призводить до втрати працездатності.

  • Слід виконати рентгенографію в передньо-задній, бічній і косій проекціях. Якщо результати візуалізуючого дослідження в межах норми або не мають діагностичної цінності, однак клінічні дані свідчать про перелом човноподібної кістки, слід виконати МРТ або іммобілізувати великий палець колосоподібною шиною і організувати повторне рентгенологічне обстеження через 1 тиждень.