Kidonda kwa Ugonjwa wa Crohn
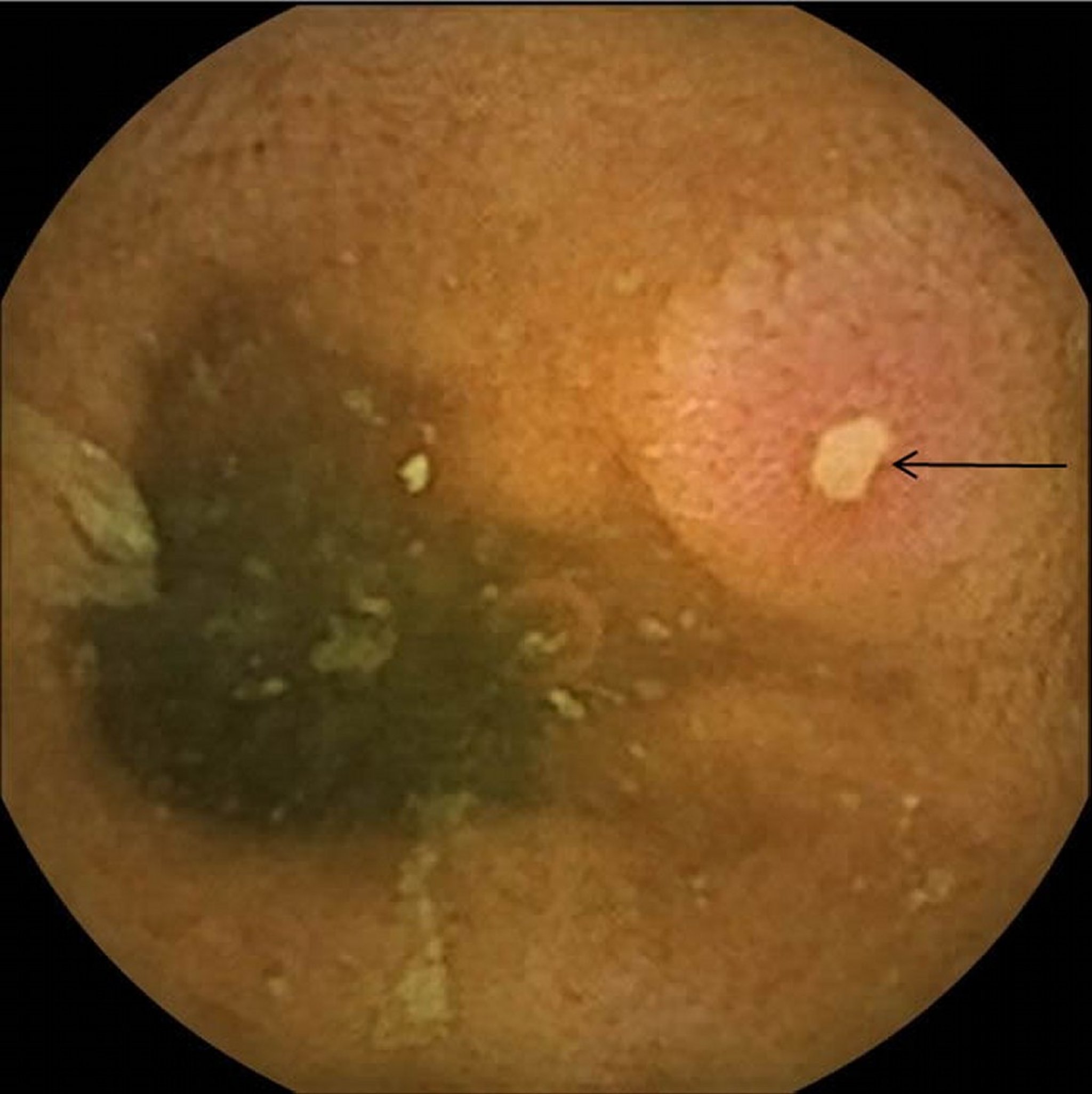
This photo shows a small ulcer (arrow) in the intestine resulting from Crohn disease.
Photo courtesy of Drs. Aaron E. Walfish and Rafael A. Ching Companioni.
Katika mada hizi
This photo shows a small ulcer (arrow) in the intestine resulting from Crohn disease.
Photo courtesy of Drs. Aaron E. Walfish and Rafael A. Ching Companioni.