Kufunjika kwa Mfupa wa Paja wa Katikati
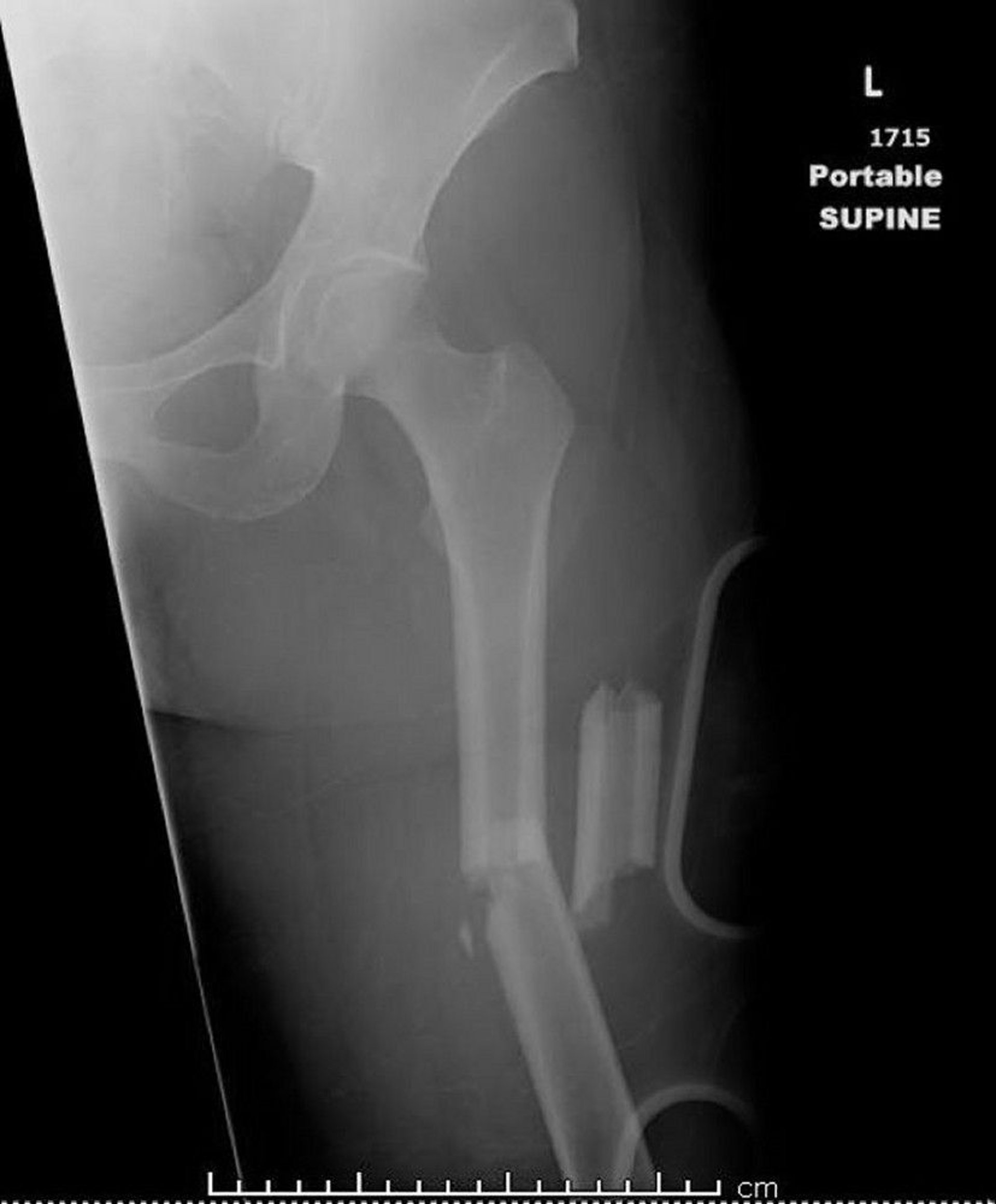
This image shows a femur that is fractured in more than two places (comminuted).
Image courtesy of Danielle Campagne, MD.
Katika mada hizi
This image shows a femur that is fractured in more than two places (comminuted).
Image courtesy of Danielle Campagne, MD.