Saratani ya Ini ya Metastatic
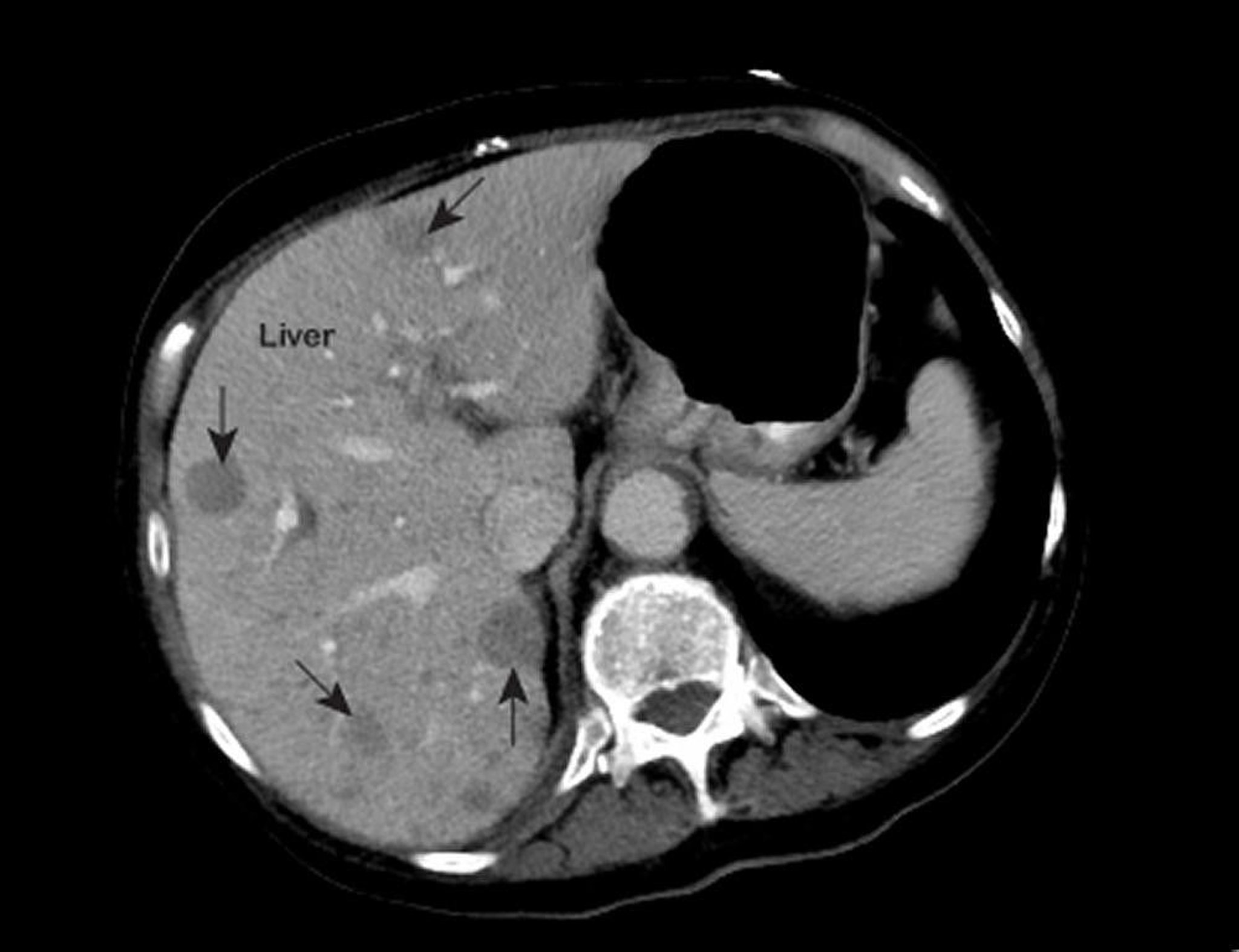
An abnormal magnetic resonance image (MRI) of the chest shows abnormal areas (marked with arrows) inside the liver. These findings are typical of metastatic liver cancer.
Photo courtesy of Patrick O’Kane, MD.
Katika mada hizi
