Saratani ya Ini ya Metastatic

NaDanielle Tholey, MD, Sidney Kimmel Medical College at Thomas Jefferson University
Imekaguliwa naMinhhuyen Nguyen, MD, Fox Chase Cancer Center, Temple University
Imepitiwa/Imerekebishwa Mar 2025 | Imebadilishwa Aug 2025
v760356_sw

Metastatic liver cancer is a cancer that has spread to the liver from elsewhere in the body.

  • Weight loss and a poor appetite may be the first symptoms.

  • Doctors base the diagnosis on results of blood tests and usually biopsy.

  • Chemotherapy agents and radiation therapy may help relieve symptoms but do not cure the cancer.

(See also Overview of Liver Tumors.)

Metastatic liver cancer most commonly originates in the lungs, breasts, colon, pancreas, or stomach. Leukemia (a cancer of white blood cells) and lymphoma (a cancer of the lymph system), especially Hodgkin lymphoma, may involve the liver.

Cancers spread to the liver because the liver filters most of the blood from the rest of the body, and when cancer cells break away from a primary cancer, they often enter and travel through the bloodstream. Sometimes the discovery of metastatic liver cancer is the first indication that a person has cancer.

Dalili za Saratani ya Ini ya Metastatic

Often, the first symptoms are vague. They include weight loss, poor appetite, and sometimes fever. Typically, the liver is enlarged and hard. It may feel tender and often lumpy. Occasionally, the spleen is enlarged. At first, unless the cancer is blocking the bile ducts, the person has mild or no jaundice (a yellowish discoloration of the skin and the whites of the eyes). If the itself grows or spreads so much that it replaces most of the liver tissue (infiltrative disease), the abdomen may become swollen (distended) with fluid (a condition called ascites).

In patients with infiltrative disease, in the weeks before death, jaundice progressively worsens. People may become confused and drowsy as toxins accumulate in the brain because the liver is too damaged to remove them from the blood. This condition is called hepatic encephalopathy.

Je, Ulijua...

  • Sometimes the discovery of metastatic liver cancer is the first indication of cancer elsewhere in the body.

Utambuzi za Saratani ya Ini ya Metastatic

  • Liver imaging tests

Doctors may suspect metastatic liver cancer in people who lose weight and have an enlarged liver or who have a cancer that tends to spread to the liver. However, doctors often have difficulty diagnosing the cancer until it is advanced.

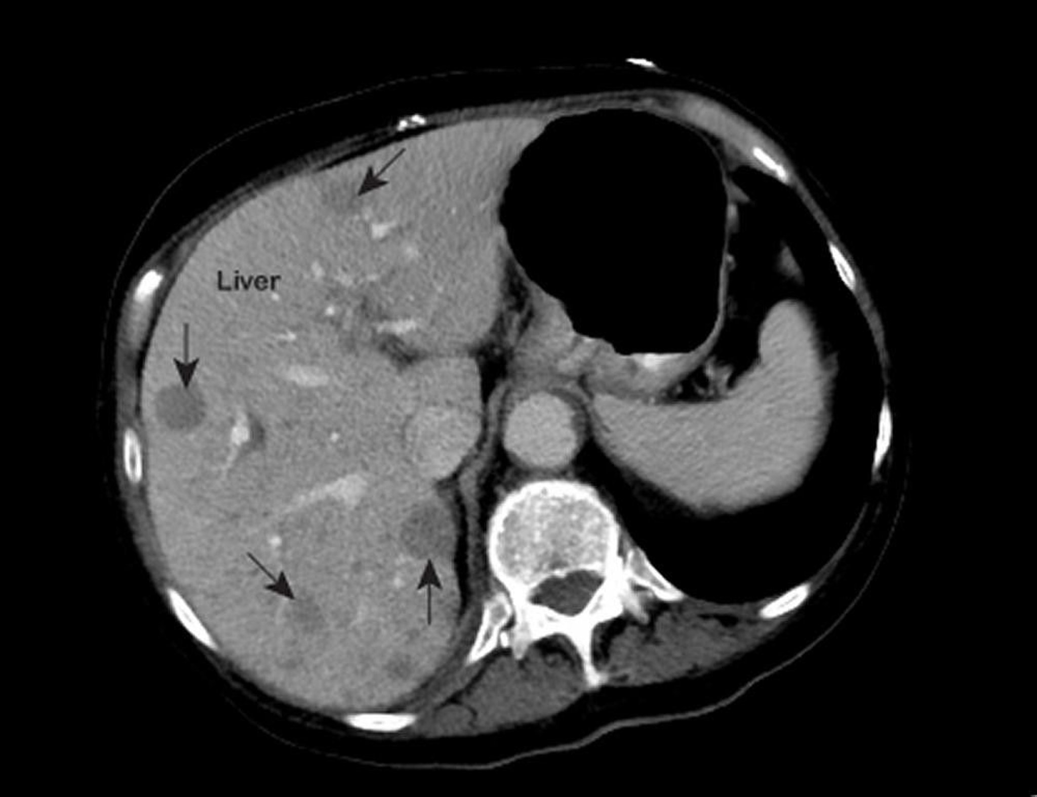
If doctors suspect liver cancer, liver tests, which are simple blood tests, are done to evaluate how well the liver is functioning. Results may be abnormal, as they are in many disorders. Thus, this finding cannot confirm the diagnosis. An ultrasound test is usually helpful, but computed tomography (CT) and magnetic resonance imaging (MRI) of the liver are usually more accurate in detecting the cancer. Before CT or MRI is done, a contrast agent is injected into a vein. The contrast agent helps make abnormalities, if present, easier to see (see Imaging Tests of the Liver and Gallbladder). However, imaging tests cannot always detect small tumors or distinguish cancer from cirrhosis or other abnormalities.

Kipimo cha Maabara

A liver biopsy (removal of a sample of liver tissue with a needle for examination under a microscope) is done if the diagnosis is unclear after imaging tests or if more information is needed to help with treatment decisions. To improve the chances of obtaining cancerous tissue, doctors use ultrasound or CT to guide the placement of the biopsy needle. Alternatively, doctors may insert a flexible viewing tube (laparoscope) through a tiny incision in the abdomen to better identify and obtain cancerous tissue.

Matibabu ya Saratani ya Ini ya Metastatic

  • Chemotherapy

  • Radiation

  • Surgery

  • Sometimes liver transplantation (when colorectal cancer spreads to the liver)

Treatment depends on how far the cancer has spread and what the primary cancer is. Options include the following:

  • Chemotherapy agents: These medications may be used to temporarily shrink the tumor and prolong life, but they do not cure the cancer. Chemotherapy agents may be injected into the liver’s main artery (the hepatic artery), delivering a large amount of the medications directly to the cancer cells in the liver. With this method, the rest of the body is less exposed to the medications, and thus side effects are fewer and milder.

  • Radiation therapy to the liver: Sometimes this treatment reduces severe pain caused by advanced cancer, but it has little other benefit.

  • Surgery: If only a single tumor or a few small tumors are found in the liver, they may be surgically removed, especially if they originated in the intestines. However, not all experts consider this surgery worthwhile.

If the primary cancer is leukemia or lymphoma, doctors focus on treating that cancer.

There is an evolving role for liver transplantation in some people whose colorectal cancer has spread to the liver.

If cancer has spread extensively, usually all a doctor can do is relieve the symptoms (see Symptoms During a Fatal Illness). People may prepare an advance directive to specify the type of care they desire if they become unable to make decisions about care.

Taarifa Zaidi

The following English-language resources may be useful. Please note that The Manual is not responsible for the content of these resources.

  1. American Cancer Society

  2. American Liver Foundation