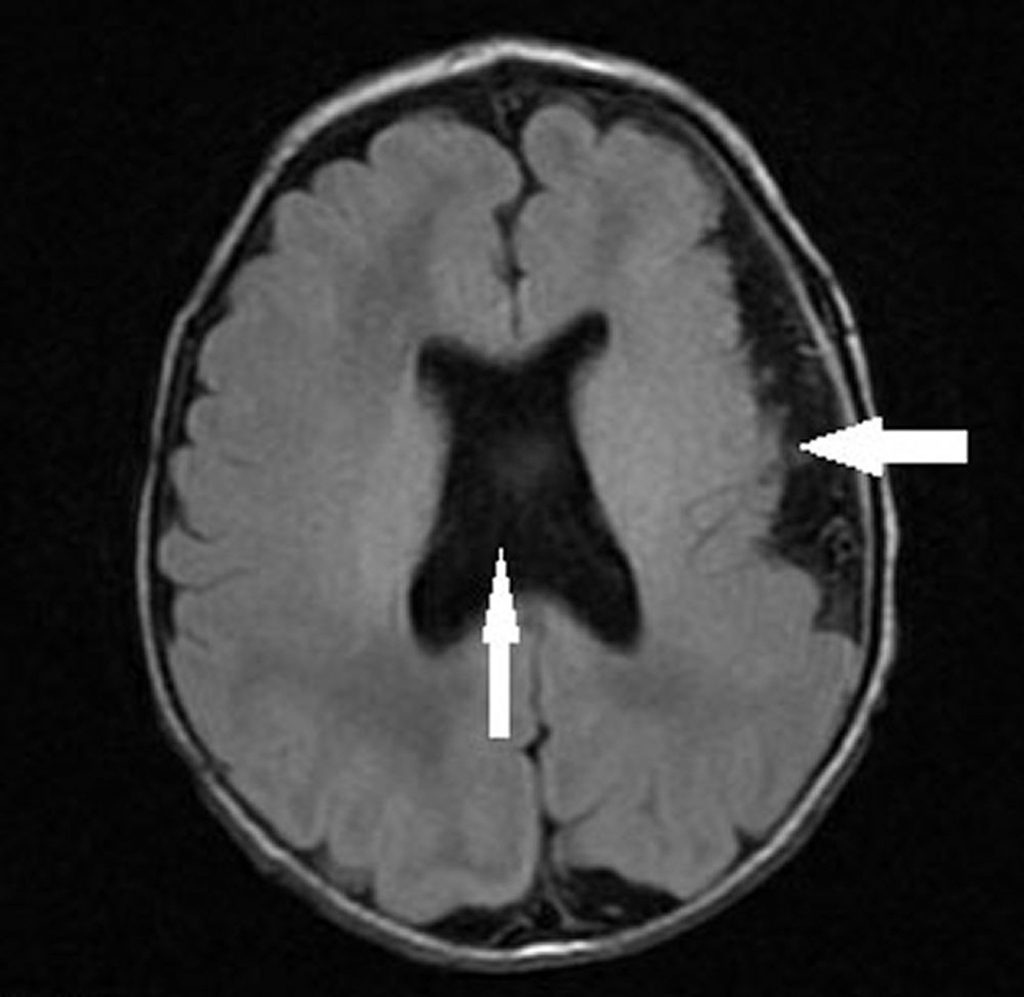
Полимикрогирия со септооптической дисплазией
На данном изображении показан грудной ребенок с полимикрогирией левого полушария (стрелка влево), отсутствием прозрачной перегородкой и аномальной конфигурацией желудочков (вертикальная стрелка), что соответствует септо-оптической дисплазии (гипоплазия зрительного нерва, отсутствующая или аномальная прозрачная перегородка и гипоплазия гипофиза).
Image courtesy of Stephen J. Falchek, MD.
