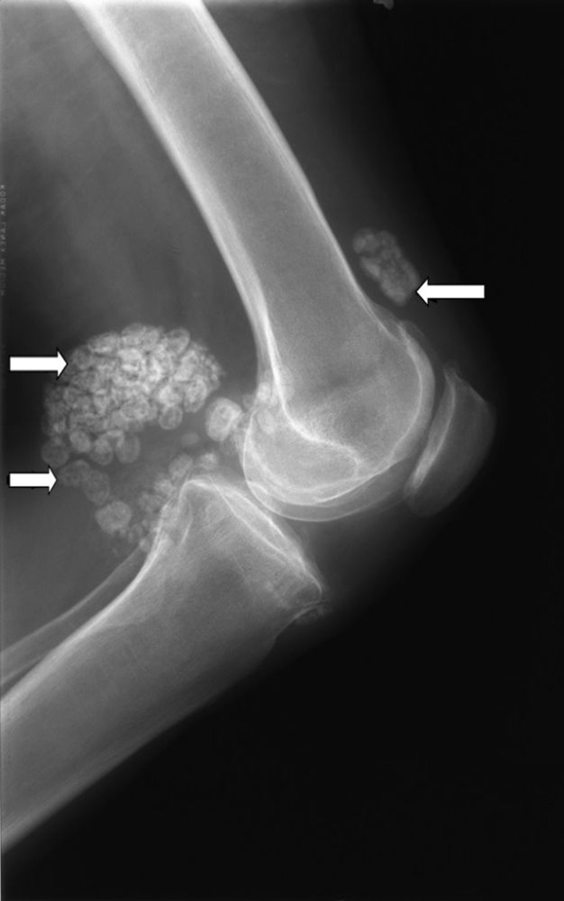
Синовиальный хондроматоз
На этой рентгенограмме колена показаны множественные узлы хрящевой ткани (стрелки), которые называются «синовиальный хондроматоз».
Изображение любезно предоставлено д-ром Майклом Дж. Джойсом (Michael J. Joyce) и д-ром Хаканом Иласланом (Hakan Ilaslan).
По этим темам
