Остеосаркома
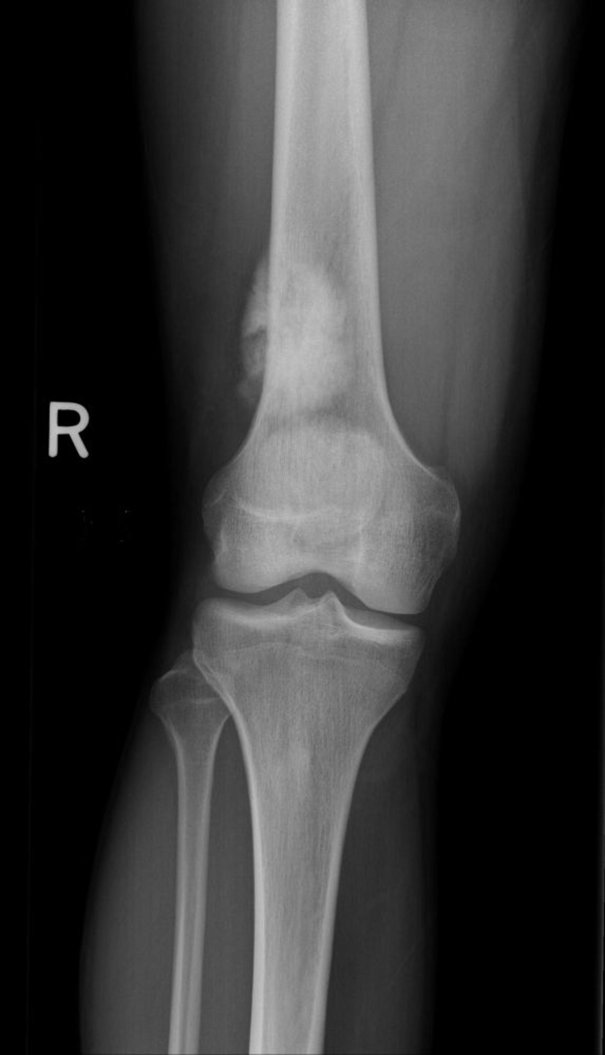
На этой рентгенограмме колена показана остеосаркома бедренной кости выше колена.
Изображение любезно предоставлено д-ром Майклом Дж. Джойсом (Michael J. Joyce) и д-ром Хаканом Иласланом (Hakan Ilaslan).
По этим темам
На этой рентгенограмме колена показана остеосаркома бедренной кости выше колена.
Изображение любезно предоставлено д-ром Майклом Дж. Джойсом (Michael J. Joyce) и д-ром Хаканом Иласланом (Hakan Ilaslan).