Предоставлено Вамmsd logo
This site is not intended for use in the Russian Federation

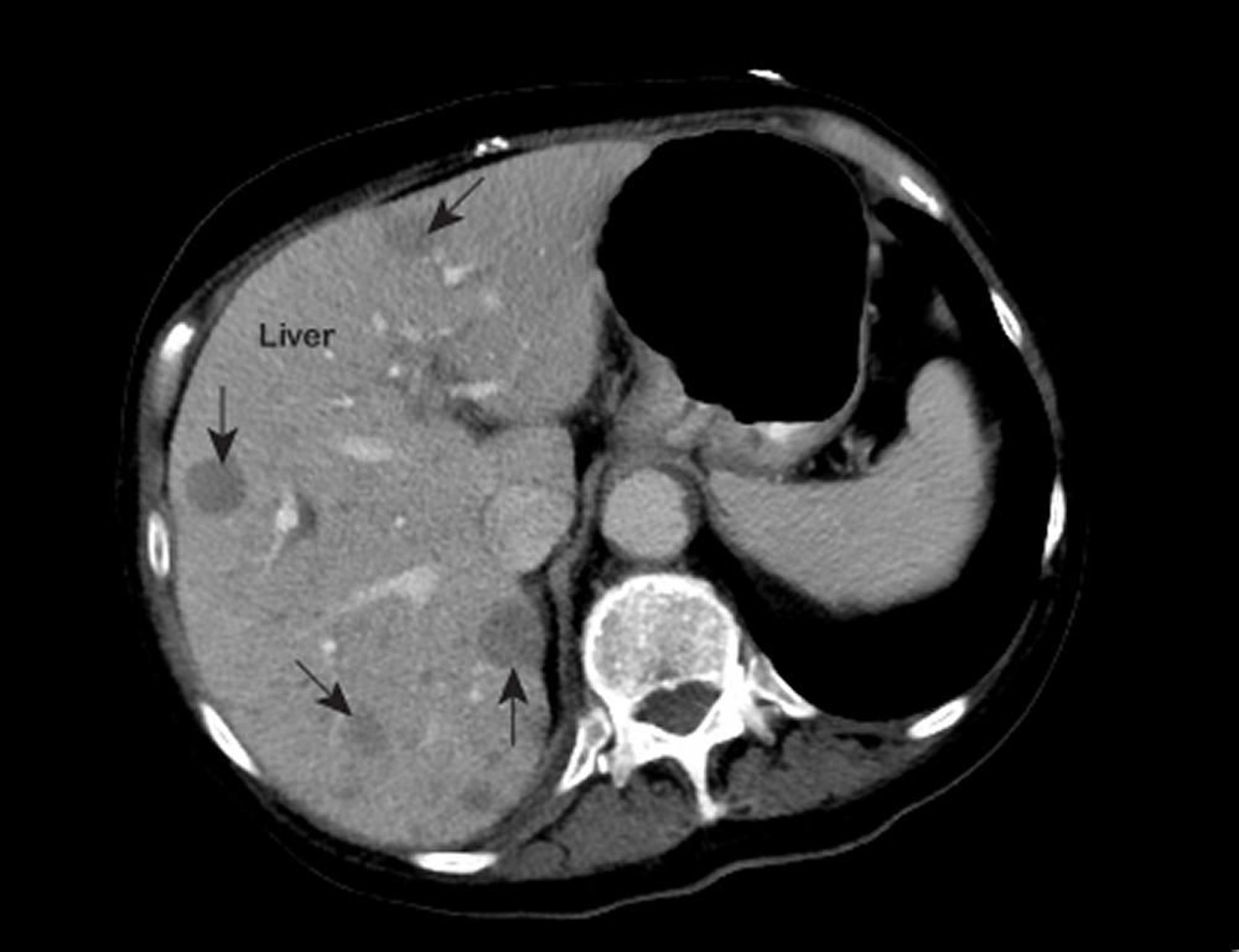
Метастатический рак печени

Авторы:Danielle Tholey, MD, Sidney Kimmel Medical College at Thomas Jefferson University
ПровереноMinhhuyen Nguyen, MD, Fox Chase Cancer Center, Temple University
Проверено/пересмотрено Изменено мар. 2025
v760356_ru
Просмотреть профессиональную версию

Метастатический рак печени — это рак, который распространяется в печень из других частей организма.

  • Первыми симптомами могут служить потеря массы тела и плохой аппетит.

  • Врачи основывают диагноз на результатах анализа крови и, как правило, биопсии.

  • Химиотерапевтические препараты и лучевая терапия могут помочь облегчать симптомы, но не излечивают рак.

(См. также Общие сведения об опухолях печени).

Метастатический рак печени обычно начинается в легких, молочных железах, ободочной кишке, поджелудочной железе или желудке. Печень могут поражать лейкоз (рак лейкоцитов) и лимфома (рак лимфатической системы), особенно лимфома Ходжкина.

Рак распространяется в печень, потому что печень фильтрует большую часть крови, поступающей из остальной части организма, и когда злокачественные клетки отрываются от первичной злокачественной опухоли в другом месте в организме, они часто попадают в кровоток и перемещаются с кровотоком. Иногда обнаружение метастатического рака печени является первым свидетельством того, что у человека есть рак.

Симптомы метастатического рака печени

Часто первые симптомы являются неопределенными. К ним относится потеря массы тела, плохой аппетит и, иногда, повышенная температура. Печень, как правило, увеличенная и твердая. Она может ощущаться болезненной и часто бугорчатой. Иногда увеличена селезенка. Сначала, если рак не блокирует желчные протоки, желтуха (пожелтение кожи и белков глаз) отсутствует или проявляется в легкой степени. Если сама по себе опухоль растет или распространяется настолько сильно, что она замещает большую часть ткани печени (инфильтративное заболевание), живот может раздуваться (растягиваться) жидкостью (состояние, называемое асцитом).

У пациентов с инфильтративным заболеванием в течение нескольких недель перед смертью желтуха постепенно усиливается. У людей может появиться дезориентация и сонливость по мере того, как токсины накапливаются в мозге, потому что печень слишком сильно поражена для удаления их из крови. Это заболевание называют печеночной энцефалопатией.

Знаете ли Вы, что...

  • Иногда обнаружение метастатического рака печени является первым свидетельством наличия рака в другом месте в организме.

Диагностика метастатического рака печени

  • Визуализирующие обследования печени

Врачи могут подозревать метастатический рак печени у людей, которые теряют массу тела, и у которых увеличена печень, либо у которых есть рак, распространяющийся в печень. Однако у врачей часто возникают трудности с диагностикой рака, пока он не достигнет поздних стадий.

Если врачи подозревают наличие рака печени, для оценки того, насколько хорошо печень функционирует, проводят печеночные пробы, которые представляют собой простые анализы крови. Как и в случае многих других нарушений, результаты могут отклоняться от нормы. Таким образом, этот результат не может служить подтверждением диагноза. Обычно полезную информацию дает ультразвуковое исследование, но компьютерная томография (КТ) и магнитно-резонансная томография (МРТ) печени при обнаружении рака, как правило, обладают более высокой точностью. Перед КТ или МРТ внутривенно вводится контрастное вещество. Контрастное вещество помогает лучше видеть отклонения от нормы, если они есть (см. Визуализирующие обследования печени и желчного пузыря). Тем не менее, визуализирующие обследования не всегда могут обнаружить маленькие опухоли или отличить рак от цирроза или других патологий.

Лабораторное исследование

Биопсию печени (удаление образца ткани печени с помощью иглы для исследования под микроскопом) проводят, если после визуализирующих обследований диагноз остается неясным, или если для принятия решения о виде лечения необходимо больше информации. Для улучшения шансов получения раковой ткани при введении биопсийной иглы врачи используют ультразвуковое исследование или КТ. В качестве альтернативы врачи могут вводить гибкий зонд с оптической системой (лапароскоп) через небольшой разрез в брюшной полости, чтобы лучше идентифицировать и получить раковую ткань.

Лечение метастатического рака печени

  • Химиотерапии;

  • Воздействия радиации;

  • Хирургическое вмешательство

  • Иногда трансплантация печени (когда рак ободочной и прямой кишки распространяется на печень)

Лечение зависит от того, как далеко рак распространился, и от типа первичного рака. Возможны следующие варианты:

  • Химиотерапевтические препараты: Эти лекарственные препараты могут использоваться для временного сокращения размера опухоли и продления жизни, но они не вылечивают рак. Химиотерапевтические препараты могут вводиться прямо в главную артерию печени (печеночную артерию), доставляя высокую дозу лекарственных препаратов непосредственно к раковым клеткам в печени. При использовании этого метода остальная часть организма менее подвержена воздействию лекарственных препаратов, в результате чего развивается меньше побочных эффектов или они более легкой степени.

  • Лучевая терапия печени: Иногда этот тип лечения снижает сильную боль, вызванную раком на поздних стадиях, но имеет мало других преимуществ.

  • Хирургическое вмешательство: Если в печени обнаружена одиночная опухоль или несколько мелких опухолей, они могут быть удалены хирургическим путем, особенно если их источником является кишечник. Однако не все эксперты считают такое хирургическое вмешательство целесообразным.

Если первичным раком является лейкемия или лимфома, врачи концентрируются на лечении этого рака.

У некоторых людей, у которых рак ободочной и прямой кишки распространился на печень, роль трансплантации печени возрастает.

Если рак сильно распространился, обычно все, что может сделать врач, это облегчить симптомы (см. Симптомы во время смертельного заболевания). Люди могут подготовить предварительные медицинские указания, чтобы сообщить, какие виды помощи они хотели бы получить, если окажутся в состоянии, когда будут неспособны принимать решение об оказании медицинской помощи.

Дополнительная информация

Могут быть полезны перечисленные ниже ресурсы на английском языке. Обратите внимание, что составители СПРАВОЧНИКА не несут ответственности за содержание этих ресурсов.

  1. Американское общество по борьбе с онкологическими заболеваниями (American Cancer Society)

  2. Американский фонд изучения печени (American Liver Foundation)

quizzes_lightbulb_red
Test your KnowledgeTake a Quiz!
ANDROID iOS
ANDROID iOS
ANDROID iOS