Круп

(ларинготрахеобронхит)

Авторы:Rajeev Bhatia, MD, Phoenix Children's Hospital
Reviewed ByAlicia R. Pekarsky, MD, State University of New York Upstate Medical University, Upstate Golisano Children's Hospital
Проверено/пересмотрено мар. 2024 | Изменено июн. 2025
v1090139_ru

Круп – острое воспаление верхних и нижних дыхательных путей, чаще всего вызываемое вирусом парагриппа 1-го типа. Он характеризуется лающим громким кашлем c металлическим оттенком и инспираторным стридором. Диагноз, как правило, устанавливается клинически, но иногда возможно проведение рентгенографии шеи. Лечение заключается в применении симптоматических средств (жаропонижающие), ингаляций рацемического адреналина и кортикостероидов. Прогноз благоприятный.

Круп развивается в основном у детей в возрасте от 6 месяцев до 3 лет.

Этиология крупа

Наиболее частыми патогенами являются:

Менее типичными причинами являются респираторно-синцитиальный вирус (РСВ) и аденовирус, затем следуют вирусы гриппа А и В, энтеровирус, риновирус, вирус кори и Mycoplasma pneumoniae. Круп, вызванный вирусом гриппа, может быть особенно тяжелым и развиваться также у более старших детей.

Характерны сезонные вспышки. Случаи, вызванные вирусами парагриппа, как правило, происходят осенью, а вызванные респираторно-синцитиальным и вирусами гриппа – чаще всего зимой и весной. Инфицирование происходит, как правило, через воздух или при контакте с инфицированными выделениями.

Патофизиология крупа

Инфекция вызывает воспаление гортани, трахеи, бронхов, бронхиол и иногда паренхимы легких. Обструкция вызвана отеком и воспалительным экссудатом, которые развиваются в подсвязочной области. Обструкция увеличивает работу дыхания; реже утомление приводит к гиперкапнии. Если в воспалительный процесс вовлекаются бронхиолы, одновременно могут происходить ателектазы легких.

Симптомы и признаки крупа

Обычно крупу предшествуют симптомы инфекции верхних дыхательных путей. Затем развиваются лающий, часто спазматический кашель и осиплость голоса, как правило, эти симптомы развиваются в ночное время; может возникать стридор. Ребенок нередко просыпается среди ночи с удушьем, тахипноэ, дыханием с втяжением уступчивых мест грудной клетки. В тяжелых случаях возможны цианоз и поверхностное дыхание, особенно когда ребенок тепло одет.

Аудио

Очевидный респираторный дистресс и грубый стридор – наиболее значимые клинические проявления. При аускультации выслушиваются удлиненный вдох и стридор. Также могут присутствовать хрипы, указывающие на вовлечение нижних дыхательных путей. Дыхательные шумы могут быть ослаблены при ателектазе.

Лихорадка имеет место примерно у половины детей. Может показаться, что состояние ребенка улучшается утром, но оно снова ухудшается ночью.

Повторные эпизоды часто называют спазматическим крупом. Аллергия или гиперреактивность дыхательных путей могут играть определенную роль в развитии синдрома крупа, но клинические проявления не отличаются от симптомов вирусного крупа. Кроме того, спазматический круп обычно провоцируется вирусной инфекцией; однако лихорадка, как правило, отсутствует.

Диагностика крупа

  • Клинические проявления (например, лающий кашель, стридор)

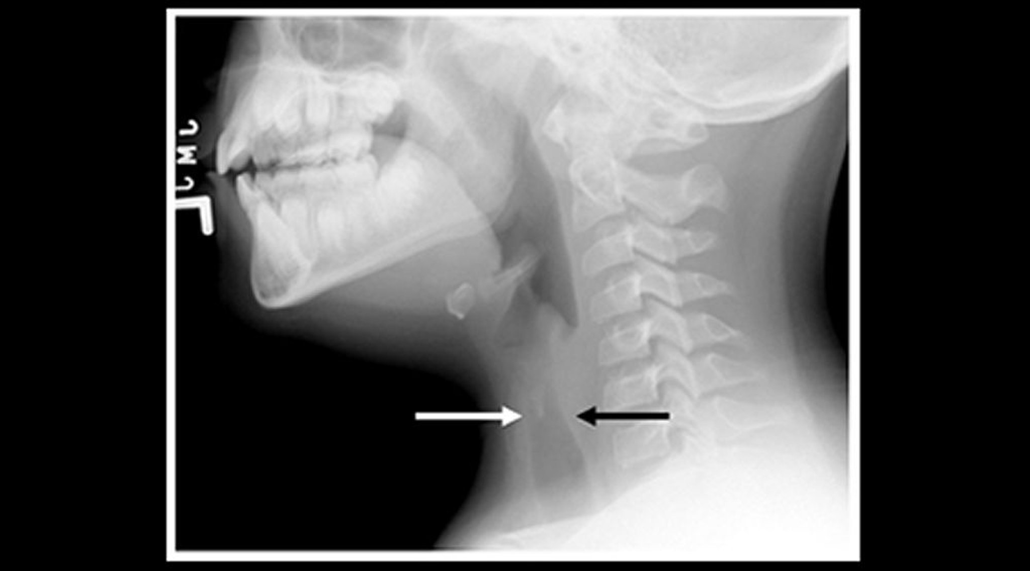
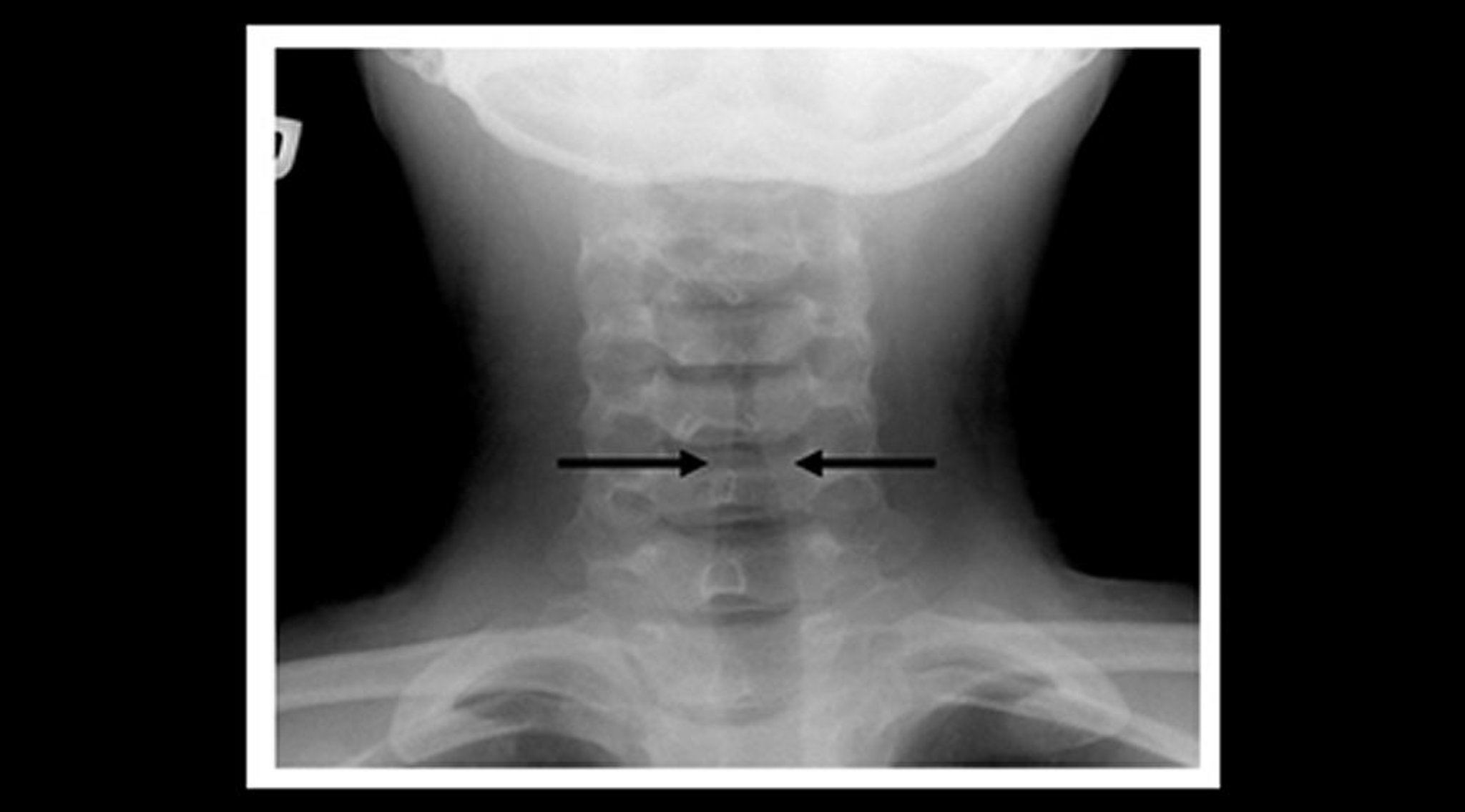
  • Рентгенография шеи в переднезадней и боковой проекциях при необходимости

Диагноз крупа, как правило, очевиден по лающему характеру кашля.

Подобный инспираторный стридор может быть вызван эпиглоттитом, бактериальным трахеитом, инородным телом в дыхательных путях, дифтерией, заглоточным абсцессом. Эпиглоттит, заглоточный абсцесс и бактериальный трахеит прогрессируют быстрее и вызывают более выраженную интоксикацию и одинофагию, при этом симптомы респираторной инфекции верхних дыхательных путей выражены слабее. Аспирация инородного тела может привести к дыхательной недостаточности и типичному крупозному кашлю, но лихорадка и предшествующие инфекции верхних дыхательных путей обычно отсутствуют. Диагноз дифтерии исключается при наличии адекватной иммунизации в анамнезе и подтверждается путём идентификации возбудителя при посеве соскоба с типичных сероватых дифтерийных пленок.

Если диагноз неясен, пациентам нужно провести передне-задний и боковой рентгены шеи и груди; субэпиглоттическое сужение (знак шпиля), выявляемое на передне-заднем рентгене шеи, подтверждает диагноз. Тяжелобольные пациенты с эпиглоттитом должны быть осмотрены в операционной соответствующим специалистом, способным установить поражение дыхательных путей (см. Лечение эпиглоттита). Пациентам необходимо проводить пульсоксиметрию, а тем, у кого имеется респираторный дистресс, можно измерять уровень газов в артериальной крови.

Здравый смысл и предостережения

  • Эпиглоттит, заглоточный абсцесс и бактериальный трахеит провоцируют более выраженную интоксикацию, чем круп, и не взаимосвязаны с лающим громким кашлем c металлическим оттенком.

Лечение крупа

  • Для амбулаторных пациентов – прохладный увлажненный воздух и, возможно, одна доза кортикостероида длительного действия

  • Для стационарных больных – увлажненный кислород, рацемический адреналин и кортикостероиды

Болезнь обычно длится 3–4 дня и проходит спонтанно. При легком течении заболевания ребенок может получать уход на дому с проведением регидратации и применением жаропонижающих средств. Пребывание ребенка в комфортных условиях важно, потому что утомляемость и плач могут усугубить его состояние. Увлажняющие устройства (например, испарители холодного пара или увлажнители) могут предотвратить пересыхание верхних дыхательных путей и часто используются в домашних условиях, но данные о том, что они изменяют ход течения болезни, отсутствуют. Подавляющее большинство детей с крупом полностью выздоравливают.

Высокие дозы дексаметазона – 0,6 мг/кг внутримышечно или перорально один раз (максимальная доза 10 мг) могут принести пользу детям в первые 24 часа заболевания. Это может помочь предотвратить госпитализацию или помочь госпитализированному ребенку с умеренным или тяжёлым крупом; детям, находящимся в стационаре, у которых нет быстрого ответа на лечение, может понадобиться несколько доз. Вирусы, наиболее часто вызывающие круп, обычно не предрасполагают к вторичной бактериальной инфекции, и антибиотики показаны в редких случаях.

Госпитализация обычно показана при:

  • Нарастающем или постоянном респираторном дистрессе

  • Тахикардии

  • Усталости

  • Цианозе или гипоксемии

  • Дегидратации

Пульсоксиметрия полезна для оценки и мониторинга тяжелых случаев. Если сатурация кислорода падает ниже 92%, следует применять увлажненный кислород и измерять газовый состав артериальной крови для оценки задержки CO2. Обычно достаточно концентрации вдыхаемого кислорода 30–40%. Задержка CO2 (PaCO2 > 45 мм рт. ст.), как правило, указывает на усталость и потребность в эндотрахеальной интубации, соответственно, и неспособности поддерживать оксигенацию.

Небулизированный рацемический эпинефрин обеспечивает облегчение симптомов и снимает усталость. Однако эффекты являются временными; течение болезни, фоновой вирусной инфекции и PaO2 не изменяются при его использовании. Могут развиться тахикардия и другие неблагоприятные последствия. Этот препарат рекомендуется в основном для пациентов с умеренным или тяжелым крупом.

Основные положения

  • Круп – это острая вирусная инфекция дыхательных путей, поражающая младенцев в возрасте от 6 до 36 месяцев и, как правило, вызванная вирусами парагриппа (в основном, 1 типа).

  • Лающий, часто спастический кашель, а иногда и инспираторный стридор (вызванный подсвязочным отеком), являются наиболее явными симптомами; симптомы часто усугубляются ночью.

  • Диагноз, как правило, ставится на основании клинических данных, но если в передне-задней проекции рентгенограммы шеи и грудной клетки видно классическое сужение подскладочного пространства гортани (симптом шпиля), то это подтверждает диагноз.

  • Следует обеспечить прохладный, увлажненный воздух или кислород, иногда назначают кортикостероиды и рацемический адреналин в аэрозоле.

quizzes_lightbulb_red
Test your KnowledgeTake a Quiz!
iOS ANDROID
iOS ANDROID
iOS ANDROID