Целиакия

(Глютеновая энтеропатия)

Авторы:Zubair Malik, MD, Virtua Health System
Reviewed ByMinhhuyen Nguyen, MD, Fox Chase Cancer Center, Temple University
Проверено/пересмотрено мар. 2025 | Изменено апр. 2025
v893989_ru

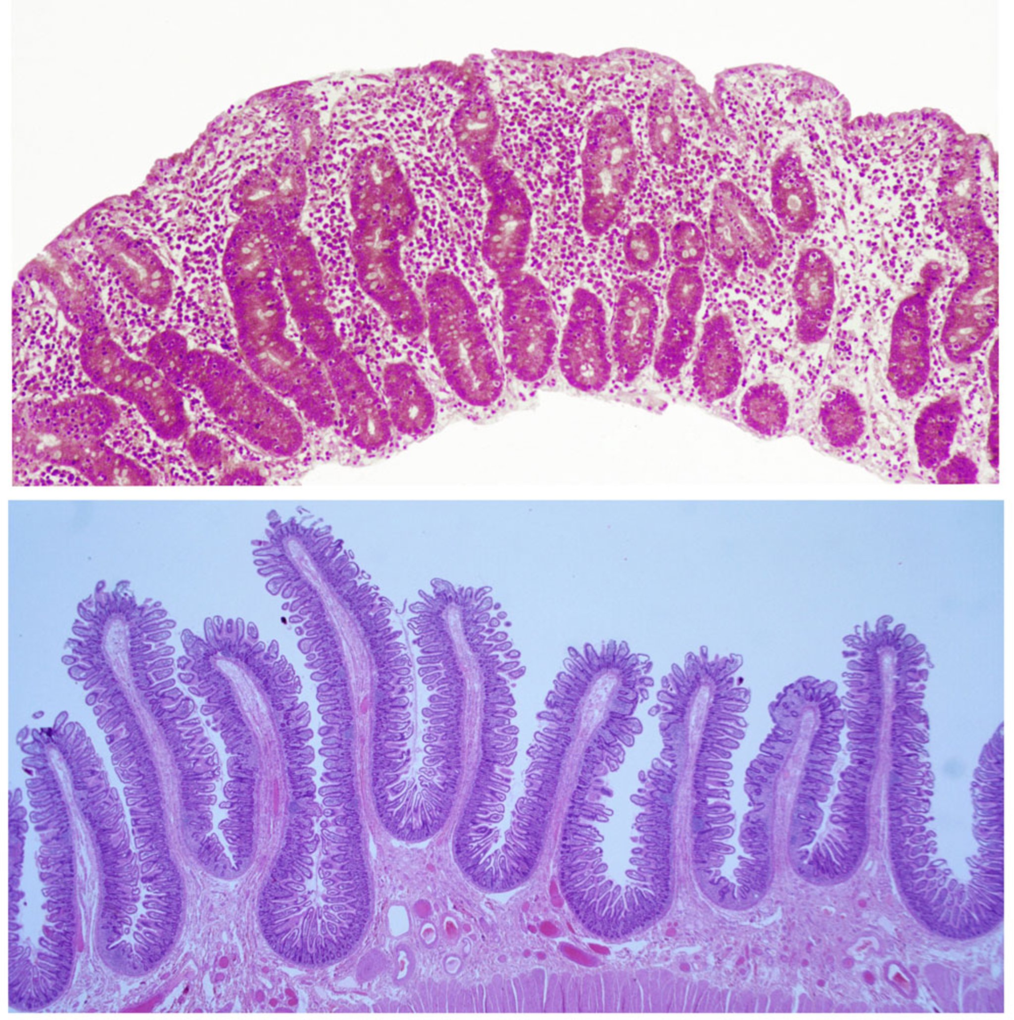
Целиакия - иммунологически опосредованное заболевание, развивающееся у генетически предрасположенных лиц и обусловленное непереносимостью глютена, что приводит к воспалению слизистой оболочки, атрофии ворсинок, что, в свою очередь, вызывает мальабсорбцию. К типичным проявлениям относятся диарея и дискомфорт в животе. Диагностика основывается на биопсии тонкой кишки, при которой определяются характерные, хотя и недостаточно специфичные признаки атрофии ворсин, которые претерпевают обратное развитие на фоне аглютеновой диеты.

Целиакия является нарушением мальабсорбции (1).

Справочные материалы

  1. 1. Stanciu D, Staykov H, Dragomanova S, et al. Gluten Unraveled: Latest Insights on Terminology, Diagnosis, Pathophysiology, Dietary Strategies, and Intestinal Microbiota Modulations-A Decade in Review. Nutrients. 2024;16(21):3636. Published 2024 Oct 25. doi:10.3390/nu16213636

Этиология целиакии

Целиакия – наследственное заболевание, развивающееся вследствие сенсибилизации к глиадиновой фракции глютена – белка пшеницы; сходные белки входят в состав ржи и ячменя. При наличии наследственной предрасположенности в ответ на представление пептидных антигенов в составе глютена происходит активация Т-клеточного звена. В ходе воспалительного процесса развивается характерная атрофия ворсин тонкой кишки.

Эпидемиология целиакии

Целиакия может поражать до 1,4% населения мира по данным серологических скринингов среди доноров крови (1). Мировая распространённость целиакии, подтверждённой при биопсии, примерно в два раза ниже и варьирует от 0,4 до 0,8 % в зависимости от региона.

Заболевание встречается примерно у 7,5% родственников первой степени родства, причём у женщин оно наблюдается чаще, чем у мужчин (2). В большинстве случаев заболевание начинается в детстве.

Пациенты, у которых есть другие заболевания, такие как лимфоцитарный колит, синдром Дауна, сахарный диабет 1-го типа, а также аутоиммунный тиреоидит (болезнь Хашимото), подвергаются риску развития целиакии.

Справочные материалы по эпидемиологии

  1. 1. Singh P, Arora A, Strand TA, et al. Global Prevalence of Celiac Disease: Systematic Review and Meta-analysis. Clin Gastroenterol Hepatol. 2018;16(6):823-836.e2. doi:10.1016/j.cgh.2017.06.037

  2. 2. Singh P, Arora S, Lal S, Strand TA, Makharia GK. Risk of Celiac Disease in the First- and Second-Degree Relatives of Patients With Celiac Disease: A Systematic Review and Meta-Analysis. Am J Gastroenterol. 2015;110(11):1539-1548. doi:10.1038/ajg.2015.296

Симптомы и признаки целиакии

Клиническая картина настолько разнообразна, что не существует типичного её проявления. У части пациентов симптомы отсутствуют или отмечаются только признаки дефицита нутриентов. У других наблюдаются выраженные симптомы со стороны желудочно-кишечного тракта.

Целиакия может проявляться в младенческом возрасте или раннем детстве после введения злаков в рацион питания. Дети отстают в развитии, апатичны, имеют пониженный аппетит; характерна бледность, гипотония, вздутие живота, гипотрофия мышц. Стул мягкий, объемный, глинистого цвета, со зловонным запахом. У детей более старшего возраста может отмечаться анемия и отставание в росте.

У взрослых наиболее часто отмечается повышенная утомляемость, общая слабость, анорексия. Может отмечаться мягковыраженная преходящая диарея. Стеаторея (дурно пахнущий, бледный, обильный, жирный стул) может варьировать от слабовыраженной до тяжелой (выделение жира с калом составляет от 7 до 50 г/день). У некоторых пациентов отмечается похудание, однако индекс массы тела, как правило, сохраняется в пределах нормы. У таких больных часто отмечается анемия, глоссит, ангулярный стоматит, афтозные язвы. Типичными являются проявления дефицита витамина D и кальция (например, остеомаляция, остеопения, остеопороз). Как у мужчин, так и у женщин может развиваться бесплодие; у женщин может отмечаться нарушение менструального цикла.

В 17% случаев отмечается герпетиформный дерматит – интенсивно зудящая папулезно-везикулярная сыпь с симметричным распределением на разгибательных поверхностях – локтях, коленях, ягодицах, плечах, коже головы (1). Появление сыпи отмечается на фоне питания с высоким содержанием глютена.

Герпетиформный дерматит на локтях
Скрыть подробности

На этой фотографии показан герпетиформный дерматит (с симметричной зудящей папуловезикулярной сыпью) на разгибательной поверхности локтей.

© Springer Science+Business Media
Герпетиформный дерматит, обусловленный целиакией
Скрыть подробности

Герпетиформный дерматит характеризуется сгруппировано расположенными интенсивно зудящими эритематозными уртикарными поражениями, а также везикулами, папулами и волдырями, которые, как правило, расположены симметрично на разгибательных поверхностях.

Image courtesy of the Public Health Image Library of the Centers for Disease Control and Prevention.

Справочные материалы по симптоматике

  1. 1. Reunala T, Salmi TT, Hervonen K, Kaukinen K, Collin P. Dermatitis Herpetiformis: A Common Extraintestinal Manifestation of Coeliac Disease. Nutrients. 2018;10(5):602. Published 2018 May 12. doi:10.3390/nu10050602

Диагностика целиакии

  • Серологические маркеры

  • Биопсия тонкой кишки

(См. также Обновленные Рекомендации по диагностике и лечению целиакии 2023 года от Американского колледжа гастроэнтерологии).

Диагноз целиакии следует заподозрить при наличии клинических проявлений и отклонений в данных лабораторных исследований, отражающих мальабсорбцию. Ценную информацию дает семейный анамнез. У пациентов с дефицитом железа без очевидных признаков кровотечения из желудочно-кишечного тракта, высокая вероятность наличия целиакии.

Для подтверждения диагноза необходимо проведение биопсии из нисходящей части двенадцатиперстной кишки. К характерным изменениям относят исчезновение или укорочение (атрофию) ворсин, повышение содержания интраэпителиальных лимфоцитов, гиперплазию крипт. Однако такие изменения могут возникать и при тропической спру, выраженном избыточном бактериальном росте в тонком кишечнике, эозинофильном энтерите, инфекционном энтерите (например, при лямблиозе), а также лимфоме.

Так как специфичность биопсии недостаточна, следует дополнительно исследовать серологические маркеры. Антитела к тканевой трансглутаминазе (tTG-IgA) и эндомизиальные антитела IgA (EMA — антитела к белку соединительной ткани кишечника) обладают чувствительностью и специфичностью выше 90 % (1). Данные маркеры также могут применяться для скрининга популяций с высокой распространенностью целиакии, в т.ч. родственников 1-й степени родства больных целиакией и пациентов, страдающих другими заболеваниями, которые чаще встречаются при целиакии. Если один из тестов дал положительный результат, следует провести диагностическую биопсию тонкой кишки. Если оба теста отрицательные, наличие целиакии крайне маловероятно. Титр антител снижается при соблюдении аглютеновой диеты, поэтому наблюдение за титром применяется для контроля соблюдения диеты. Все диагностические серологические тесты должны проводиться у пациентов, которые придерживаются диеты, содержащей глютен.

При проведении анализа на тканевую трансглутаминазу (tTG) необходимо одновременно определять уровень IgA в сыворотке, так как его дефицит может стать причиной ложноотрицательных результатов. В случае выявления дефицита IgA целесообразно проведение серологических тестов на антитела IgG к tTG и деамидированному пептиду глиадина (DGP).

Проба на гистосовместимость может быть полезна в отдельных клинических ситуациях. Более 95% пациентов с целиакией имеют человеческие лейкоцитарные антигены (HLA)-DQ2 или HLA-DQ8 (2), хотя они не особенно специфичны для целиакии. Однако, учитывая высокую чувствительность, отрицательные результаты тестирования на HLA-DQ2 или HLA-DQ8 могут эффективно исключить целиакию, когда результаты биопсии и серологические маркеры не согласуются.

Необходимо обращать внимание на другие лабораторные отклонения. К ним относятся анемия (железодефицитная анемия у детей и фолиеводефицитная анемия у взрослых); гипоальбуминемия, гипокальциемия, гипокалиемия, гипонатриемия, повышение уровня щелочной фосфатазы и увеличение протромбинового времени.

Тесты на мальабсорбцию неспецифичны для диагностики целиакии. При проведении этих тестов часто регистрируют стеаторею в количестве 10–40 г/день и отклонения в результатах теста с D-ксилозой, а также (при тяжелом поражении подвздошной кишки) положительную пробу Шиллинга.

Нецелиакийная чувствительность к глютену (НЧГ) или глютеновая непереносимость — это реакция на потребление глютена, не связанная с иммунной системой. Отмечаются схожие желудочно-кишечные симптомы, как и у пациентов с целиакией, но биопсия покажет нормальные ворсинки, а серологические маркеры исключат целиакию (и аллергию на пшеницу). Есть сообщения о неспецифических серологических маркерах, которые могут быть повышены при НЧГ (нецелиакийная чувствительность к глютену) (3). По сравнению с целиакией, чувствительность к глютену не оказывает серьезного негативного влияния на общее состояние здоровья, а ее последствия в основном ограничиваются дискомфортными желудочно-кишечными симптомами. Как и при целиакии, лечение заключается в избегании глютена.

Здравый смысл и предостережения

  • При наличии дефицита железа без признаков кровотечений из желудочно-кишечного тракта крайне высока вероятность наличия целиакии.

Справочные материалы по диагностике

  1. 1. Rubio-Tapia A, Hill ID, Semrad C, et al. American College of Gastroenterology Guidelines Update: Diagnosis and Management of Celiac Disease [published correction appears in Am J Gastroenterol. 2024 Jul 1;119(7):1441. doi: 10.14309/ajg.0000000000002210]. Am J Gastroenterol. 2023;118(1):59-76. doi:10.14309/ajg.00000000000020751. Epub 2022 Sep 21. Erratum in: Am J Gastroenterol. 2024 Jul 1;119(7):1441. doi: 10.14309/ajg.0000000000002210

  2. 2. Kaukinen K, Partanen J, Mäki M, Collin P. HLA-DQ typing in the diagnosis of celiac disease. Am J Gastroenterol. 97(3):695–699, 2002. doi: 10.1111/j.1572-0241.2002.05471.x

  3. 3. Hill ID, Fasano A, Guandalini S, et al. NASPGHAN Clinical Report on the Diagnosis and Treatment of Gluten-related Disorders. J Pediatr Gastroenterol Nutr. 2016;63(1):156-165. doi:10.1097/MPG.0000000000001216

Лечение целиакии

  • Безглютеновая диета

  • Пищевые компоненты для возмещения соответствующего дефицита

(См. также Обновленные Рекомендации по диагностике и лечению целиакии 2023 года от Американского колледжа гастроэнтерологии).

Лечение целиакии подразумевает назначение аглютеновой диеты (необходимо избегать продуктов из пшеницы, ржи и ячменя). Поскольку глютен часто входит в состав промышленных продуктов питания, пациентам следует предоставить чёткий перечень продуктов, которых нужно избегать. Пациента нужно настроить на консультацию с диетологом и вступление в группу поддержки больных целиакией (к англоговорящим группам относятся Beyond Celiac или Celiac Disease Foundation). Ответ на аглютеновую диету обычно наступает быстро с разрешением симптомов в течение 1–2 недель. Однако, употребление даже небольших количеств пищи, содержащих глютен, может препятствовать наступлению ремиссии или вызывать рецидив.

Биопсию тонкой кишки следует повторить через 3–6 месяцев соблюдения аглютеновой диеты. При сохранении патологических изменений необходимо рассмотреть другие причины атрофии ворсин (в частности, лимфому). Уменьшение выраженности симптомов и улучшение морфологической картины в тонкой кишке сопровождаются снижением титров антител к тканевой трансглутаминазе и эндомизию.

В зависимости от дефицита тех или иных компонентов дополнительно назначают витамины, минералы и необходимые для кроветворения вещества. При нетяжелых формах дополнительное назначение этих веществ может не потребоваться, но при тяжелом течении необходимо комплексное замещение дефицита. Для взрослых заместительная терапия включает приём внутрь сульфата железа, фолиевой кислоты, препаратов кальция и любого стандартного поливитаминного комплекса. У детей (редко у взрослых) при тяжелом течении болезни в ряде случаев показано создание функционального покоя кишечника и назначение полного парентерального питания.

Если ожидаемого ответа на аглютеновую диету не получено, вероятны ошибка в диагнозе или рефрактерное течение болезни. Назначение кортикостероидов при рефрактерном течении позволяет добиться улучшения.

Прогноз при целиакии

К осложнениям целиакии относятся рефрактерное течение, коллагеновая спру и лимфомы кишечника.

Лимфомы кишечника развиваются у 6–8% пациентов с целиакией, как правило, после 20–40 лет течения болезни. Также повышен риск развития других злокачественных опухолей (в частности, карциномы пищевода или ротоглотки, аденокарциномы тонкой кишки [1]). Приверженность к аглютеновой диете существенно снижает риск развития рака.

Если у пациентов, которые в течение длительного времени чувствуют себя хорошо на безглютеновой диете, вновь появляются симптомы целиакии, врачи обычно проводят эндоскопию верхних отделов пищеварительного тракта с биопсией тонкого кишечника и/или капсульную эндоскопию для исключения кишечной лимфомы.

Справочные материалы по прогнозу

  1. 1. Ilus T, Kaukinen K, Virta LJ, et al. Incidence of malignancies in diagnosed celiac patients: A population-based estimate. Am J Gastroenterol. 109(9):1471–1477, 2014. doi: 10.1038/ajg.2014.194

Основные положения

  • При целиакии наблюдается воспалительная реакция на глютен, приводящая к атрофии ворсинок и мальабсорбции.

  • Распространённость варьируется в разных популяциях по всему миру.

  • Целиакию можно подозревать при выявлении серологических маркеров – антител к тканевой трансглутаминазе и антител к эндомизию, диагноз подтверждается по данным биопсии тонкой кишки.

  • Следует провести беседу с пациентом о необходимости соблюдения аглютеновой диеты и проведения заместительной терапии дефицита витаминов и минералов.

quizzes_lightbulb_red
Test your KnowledgeTake a Quiz!
ANDROID iOS
ANDROID iOS
ANDROID iOS