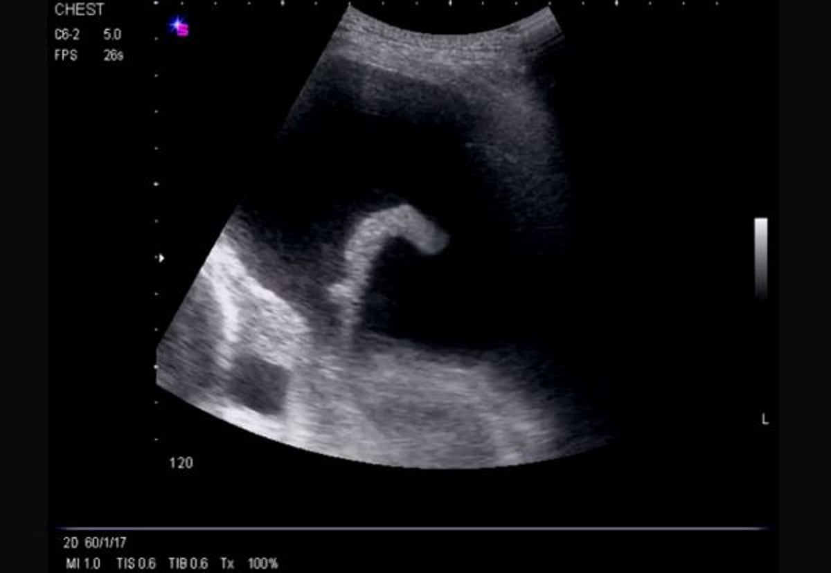
Ultrassom torácico lateral (esquerda)
Essa ultrassonografia mostra um derrame de fluxo livre e extenso do lado esquerdo, causando atelectasia compressiva do lobo inferior esquerdo e revelando o ventrículo esquerdo.
Imagem cedida por cortesia de Najib M. Rahman, BMBCh MA (oxon) DPhil.
Nesses tópicos
