TC com contraste mostrando artérias coronárias normais – Diapositivo 3
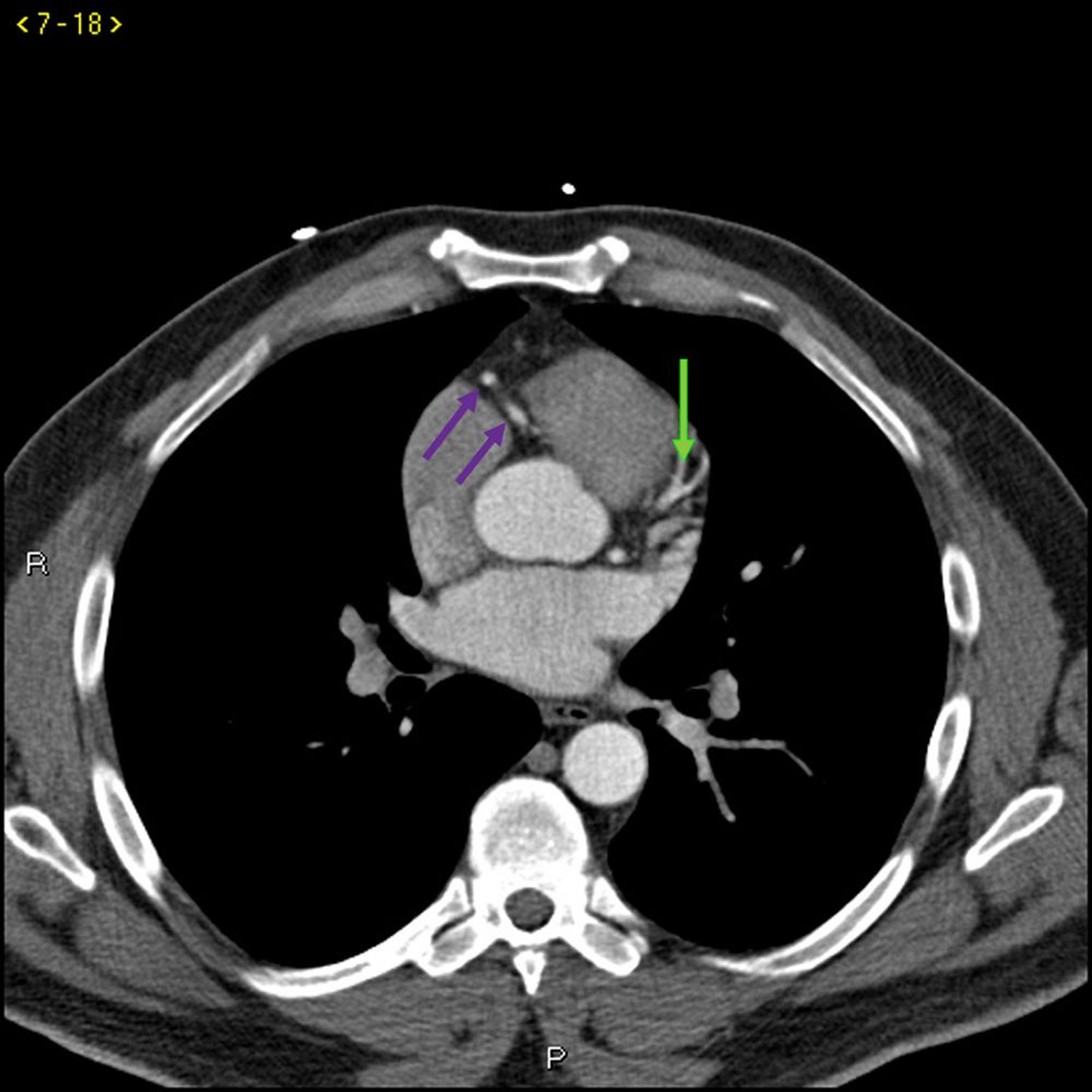
Essa TC com contraste mostra artérias coronárias normais. A artéria esquerda principal é indicada pela seta vermelha. As artérias descendente anterior esquerda e circunflexa esquerda são indicadas pelas setas verde e azul, respectivamente, e a artéria coronária direita é indicada pela seta roxa.
© 2017 Elliot K. Fishman, MD.
Nesses tópicos
