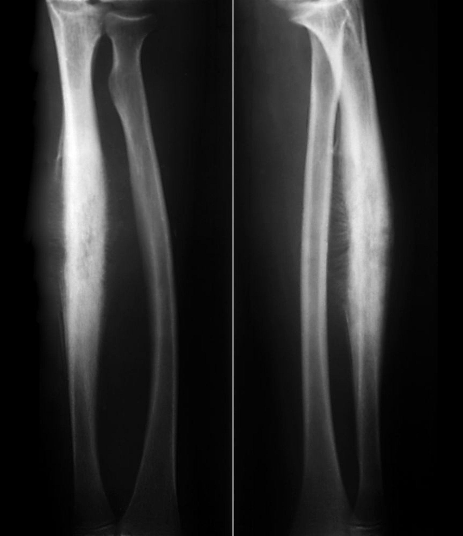
Sarcoma de Ewing do rádio
Esse sarcoma de Ewing da haste radial mostra nova formação óssea reativa subperiosteal em uma reação periosteal clássica com aparência de "explosão solar" junto com destruição lítica do osso cortical.
ZEPHYR/SCIENCE PHOTO LIBRARY
Nesses tópicos
