Radiografia de tórax (prótese de valva cardíaca)
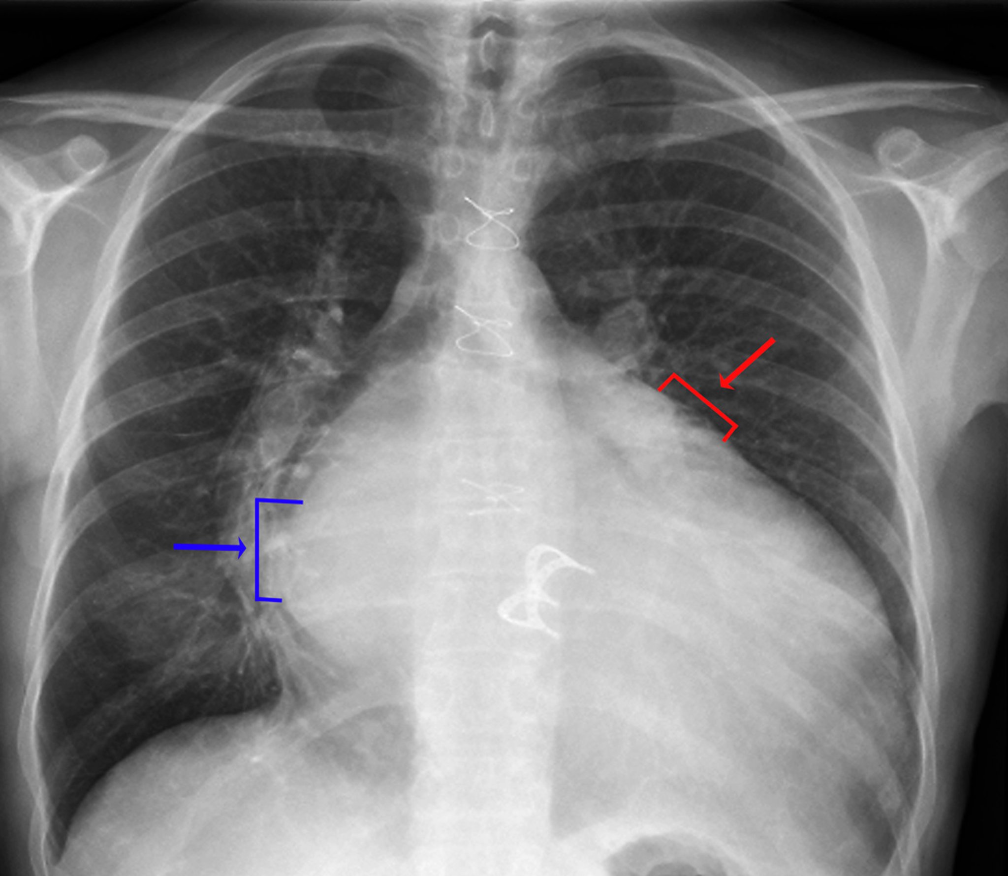
Sinais de aumento do átrio esquerdo incluem densidade visível do átrio esquerdo no hemitórax direito (seta azul, sinal de dupla densidade), maior distância (> 7 cm) entre a borda atrial esquerda no hemitórax direito e o brônquio principal esquerdo, convexidade ao longo da borda superior esquerda do coração causada pelo aumento do apêndice atrial esquerdo (seta vermelha) e alargamento da carina com maior separação entre os brônquios principais esquerdo e direito. Sinais de aumento do ventrículo esquerdo incluem aumento evidente da silhueta cardíaca e deslocamento da borda cardíaca esquerda para baixo e para a esquerda.
ZEPHYR/SCIENCE PHOTO LIBRARY
Nesses tópicos
