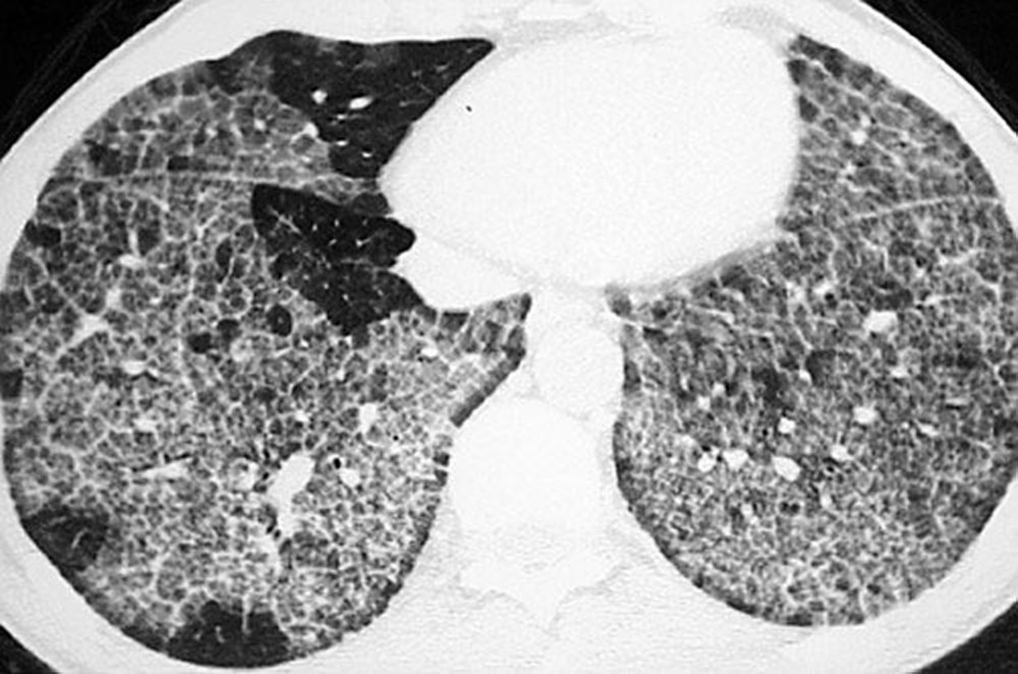
Proteinose alveolar pulmonar (TC)
TC de alta resolução mostra opacificação em vidro fosco e espessamento das estruturas interlobulares e septos em formatos poligonais (“pavimentação em mosaico”).
Imagem cedida por cortesia de Talmadge E. King, MD.
Nesses tópicos
