Osteossarcoma
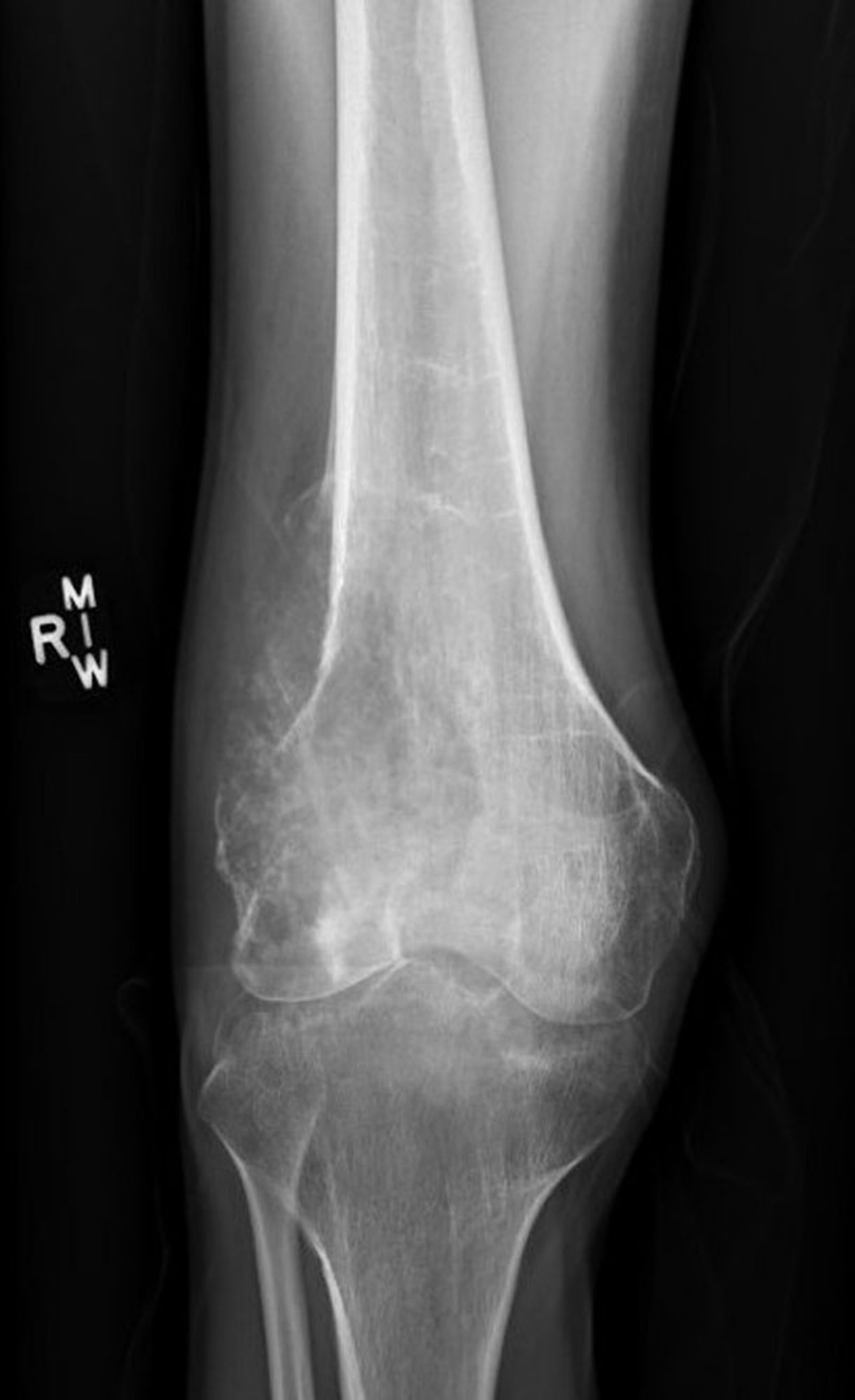
Esta radiografia do joelho mostra um osteossarcoma destrutivo no fêmur acima do joelho com uma aparência lítica destrutiva e um clássico triângulo de Codman mostrando elevação periosteal patológica.
Image courtesy of Lukas Nystrom, MD.
Nesses tópicos
